AOTRAUMA.ORG Центр Илизарова  

Ортопедия и травматология Общие вопросы/General questions Help Информационные технологии в медицине
 вверх
 отправить
 поиск
 админ
 главная
 Предыдущее


Re: The patient with non-union of the distal femur
Djoldas Kuldjanov 09 Май 2007, 14:12
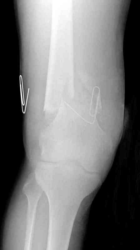
Предлагаемые ретро-антеградные штифты идеальны для свежих диафизарных переломов, но, по-моему, имеют слабые возможности при "коротком" ложном суставе бедра и при наличии контрактуры.
Антеградный метод из-за короткого дистального фрагмента и малого рычага не дает адекватную фиксацию, а ретроградный штифт трудно установить из-за отсутствия сгибания, или это повлечет дополнительное повреждение суставной поверхности.
Укороченный фрагмент с самого начала являлся проблемным, на рентгене не видны следы от множественных спиц, обычно применяемых для лечения "коротких" переломов.

Адекватную фиксацию можно получить путем экстрафокальной косой остеотомии более проксимально, тем самым удлинить дистальный фрагмент, без повторной работы в фокусе патологии, что, в свою очередь, приведет к еще большему укорочению фрагмента.
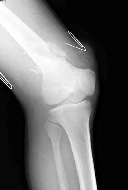
Как предлагают коллеги, свежие стрессовые снимки уточнят наличие подвижности, а длинный на всю длину конечности снимок позволит провести точный предоперационный расчет по коррекции.

Предпочтительно фиксацию провести пластинами, во-первых, можно было сделать квадрицепс-пластику по Judet для восстановления движения в суставе, а потом коррекцию и фиксацию кондилярной пластиной с угловой стабильностью. Стерильный турникет на конечность поможет уменьшить кровепотерю во время операции.

До выхода Locking Plate, 95 градусная Blade Plate считалась одним из первых locking concept и фаворитов в лечении супракондилярных переломов и осложнений, потому что лезвие внедряясь параллельно к суставу, что создавало хорошую фиксацию. Для усиления фиксации иногда применяли Schuhli nut, чтобы блокировать шуруп в отверстии
(первый прототип locking concept)

Многие уточняющие вопросы участников остаются без ответа, поэтому просьба отправителям исходного сообщения принять живое участие, и также описать свою материальную базу, что имеем, с чем работаем, а то рекомендовать-то можно..

Djoldas Kuldjanov, MD
Department of Orthopedic Surgery
St. Louis University Medical Center
  • Сообщения о Ортопедия и травматология
  • Также Djoldas Kuldjanov
  • Связаться с автором
  • Ответить

    Re: The patient with non-union of the distal femur
    Djoldas Kuldjanov 10 Май 2007, 00:36
    Вдогонку..
    Вчера утром поступил больной с огнестрельной раной, осмотрен сосудистым специалистом, сделана ангиограмма (снимки) Во время операции при вскрытии обнаружили кровотечение, рану забили салфетками, установили пластину locking DePuy.




    Из-за возрастающего давления в компартменте сделана фасциотомия и вызванный сосудистый хирург ушил разрыв вены на уровне перелома. Все раны оставлены открытими, в пятницу закроем.


    Djoldas Kuldjanov, MD
    Department of Orthopedic Surgery
    St. Louis University Medical Center

    [ Ответить ]

    • Re: The patient with non-union of the distal femur
      Отправитель: vit 13 Май 2007, 23:09
      интересны обстоятельства ранения. известен ли вид ранящего снаряда( по всей видимости имеет место быть ранение низкокинетическим ранящим снарядом, м.б. это был рикошет? кто стрелял- полицейский?) из раны какой поверхности бедра реализовывалось кровотечение?-операционной раны?.в чем заключались сложности осуществления гемостаза?что посужило показанием к осуществлению фасциотомии при при напряженной гематоме, особенно в условиях анамнестически неустойчивого гемостаза, а не срочной ревизии гематомы? была ли закрыта металлоконструкция мышечной тканью?

      [ Ответить ]

     

    ( Ответить )

    Powered by Zope  Squishdot Powered MedLink
    Посетитель: 0182849
      "По форме правильно, а по существу - издевательство" В.И.Ленин
    ©2001-2019Orthoforum Coordinator.
    [ Главная | Отправить сообщение | Поиск | Админ ]