Ответить
|
Re: Последствия травмы предплечья
Alexander Rykov 08 Июнь 2007, 03:54
|
Хочется, не убирая пластину посеять косточки.
А Рыков
|
[
Ответить ]
|
Re: Последствия травмы предплечья
В.Машталов 08 Июнь 2007, 03:56
|
Уважаемый Александр Николевич!
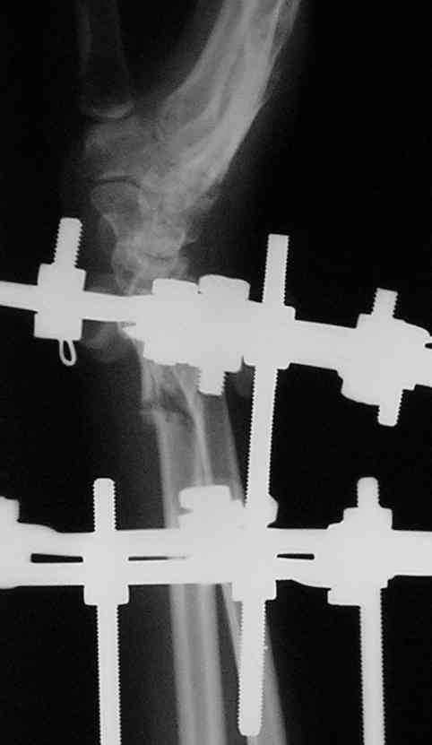
В данном случае проситься разгибательная укорочивающая остетомия луча, концевая резекция локтевой кости, синтез обеих костей. Костная пластика на локтевой кости менее предпочтительна (посеянные косточки лизируются), хотя их можно посеять, тем более, что они уже будут получены из луча. Главное семь раз отмерить, один раз остетомировать. Судя по состоянию сустава общая амлитуда движения не увеличится, изменится ось нуля, что будет
выгодно функционально.
С ув. В.Машталов
|
[
Ответить ]
|
Re: Последствия травмы предплечья
Исмаил Дибиров 08 Июнь 2007, 03:56
|
Клиновидная остеотомия лучевой исправит локтевую косорукость,по возможности клин использовать при остеосинтезе локтевой,чем и восстановим длину. "Одним выстре
|
[
Ответить ]
|
Re: Последствия травмы предплечья
Андрей 08 Июнь 2007, 07:59
|
Судя по состоянию суставных поверхностей луча - никакая остеотомия объём флексии-экстензии заметно не увеличит. Мне кажется, что при отсутствии болевого синдрома лучевую кость лучше оставить как есть.
При наличии же болей, следовало бы подумать насчёт артродеза. Для увеличения же объёма ротации имело бы смысл снять пластинку с локтевой кости, шурупом фиксировать дистальный фрагмент локтевой кости к лучу, с проксимального фрагмента отрезецировать 1-1,5 см, оброзующийся ложный сустав даст вполне приличный объём ротации. Сам я делал эту операцию дважды - результаты вполне удовлетворительные. Кстати, лет6-7 назадэта операция описывалась в Acta ortopaedica scandinavica,не могу вспомнить по автору - какое-то трудно запоминаемое греческое имя.
С уважением Андрей.
|
[
Ответить ]
|
Re: Последствия травмы предплечья
Антон Андрианов 08 Июнь 2007, 11:41
|
Наряду с предложенной выше клиновидной остеотомией луча возможна моделирующая резекция локтевой на уровне псевдоартроза, это вернет подвижность в луче-локтевом суставе не добавляя артроза в кистевом, тк он там уже есть.
|
[
Ответить ]
|
Re: Последствия травмы предплечья
Виктор 08 Июнь 2007, 22:46
|
Спице-стержневой аппарат с компактотомией лучевой кости, костная пластика локтевой с удалением пластины. Не комфортно, но больше шансов на благоприятный исход. Заканчиваю лечение с похожей деформацией лучевой кости.

Виктор.
|
[
Ответить ]
|
Re: Последствия травмы предплечья
Отправитель: Aharon Liberson 09 Июнь 2007, 06:01
|
I would do about the same
AL
|
[
Ответить ]
|
Re: Последствия травмы предплечья
Отправитель: Alexander Chelnokov 09 Июнь 2007, 06:14
|
Как насчет наложения шарнирно-дистракционного аппарата на кисть-предплечье с последующими принудительными движениями?
|
[
Ответить ]
|
Re: Последствия травмы предплечья
Отправитель: Evgueny Tchekashkine 10 Июнь 2007, 04:03
|
Виктор, спасибо за высланные фото и Ргграммы.
У больного/ой кроме перелома лучевой кости и шиловидного отростка локтевой, разрыв дистального радиоульнарного сочленения, перелом ладьевидной кости и ладьевидно-полулунная диссоциация.
Если позволите свое мнение, не стал бы лечить аппаратом эту травму, перелом луча не консолидировался: открытая репозиция+ костная пластика+ пластина, синтез ладьевидной кости, по возможности шов ладьевидно полулунной связки,
если восстановить связку не представляется возможным, фиксация 2 спицами.
Желаю успеха,
Евгений
|
[
Ответить ]
|
|
Re: Последствия травмы предплечья
Evgueny Tchekashkine 08 Июнь 2007, 23:39
|
Александр, Здравствуй,
Судя по показанным Рг граммам, очевиден посттравм. артроз лучезапястного сустава, проблема дистального радиоульнарного сочленения(TFCC).
Угол наклона лучевой фасетки в норме в пределах 10-15 градусов, на представленном боковом снимке -может быть чуть больше 15градусов. Выполнив
разгибательную остеотомию луча, ты поставишь фасетку в нейтральное положение и таким образом увеличится угол разгибания , но уменьшится сгибание. По сути, амплитуда движений останется такой же.
Первым этапом я бы убрал пластину с последующей ограниченной резекцией головки локтевой кости(hemiresection and interposition arthroplasty Bowers technique). провести курс реабилитации. если уровень мобильности сустава не
будет устраивать больного, можно рассмотреть проксимальную карпальную резекцию в качестве последующего этапа.
Не думаю, что несращение локтевой кости является критичным в данных условиях, когда необходимо добиваться её консолидации - в условиях
контрактуры радио-ульнарного и лучезапястного сустава . Описана техника создания дистального радиоульнарного артродеза с преднамеренным созданием псевдоартроза локтевой кости( ограниченная резекция её на уровне
дистального метадиафиза - Сауве-Капанджи). Посмотри описание в Кэмбел 4 том, 10 -ое издание , стр. 3577.
Всего Доброго,
Евгений Чекашкин
|
[
Ответить ]
|
Re: Последствия травмы предплечья
Отправитель: Alexander Chelnokov 09 Июнь 2007, 06:16
|
e> разгибательную остеотомию луча, ты поставишь фасетку в нейтральное положение
e> и таким образом увеличится угол разгибания , но уменьшится сгибание. По
e> сути, амплитуда движений останется такой же.
Может быть, и это кое-что? Разгибание кисти функционально, может быть, более значимо.
Плюс - если лечить аппаратом, может быть, есть смысл попытаться сделать "закрытую артропластику" шарнирным аппаратом? Подрастянуть сустав, центрировать шарниры по полулунной кости, и принудительно поразгибать аппаратом?
e> будет устраивать больного, можно рассмотреть проксимальную карпальную
e> резекцию в качестве последующего этапа.
В смысле, резекцию проксимального ряда костей запястья? А не сделать ли декомпрессивную остеотомию дистального отдела луча, то есть иссечение клина основанием в лучевую сторону чуть проксимальнее шиловидного отростка? Эта операция предложена покойным А.М.Лавруковым, у нас делается при псевдатрозах ладьевидной кости, и даже без ее
остеосинтеза есть заметное клиническое улучшение.
e> Не думаю, что несращение локтевой кости является критичным в данных
e> условиях, когда необходимо добиваться её консолидации - в условиях
Согласен. Но глаз ортопеда "царапеает" ;-)
e> дистального метадиафиза - Сауве-Капанджи). Посмотри описание в Кэмбел 4 том,
Да, спасибо, она много где описана.
В общем, здесь надо разобраться, что важнее. Пациент от боли не слиьно страдает, хочет улучшения функции в первую очередь, на которую состояние локтевой кости вряд ли влияет.
|
[
Ответить ]
|
Re: Последствия травмы предплечья
Отправитель: Evgueny Tchekashkine 10 Июнь 2007, 03:57
|
Саша, приветствую,
Конечно согласен с тобой, что не плохо бы было восстановить разгибание. Прежде чем планировать оклосуставные остеотомии, поговори со своими
коллегами, которые занимаются артроскопией, может они возьмутся *подбрить*
сустав и сделать капсульный релиз.
+ в постоп периоде в.суставное введение анастетика со стероидами и физиолечение улучшат амплитуду движений? По поводу дистракции л.з. сустава
в шарнирном аппарате- когда-то попалась статья по функциональной оценке лечения переломов дистального луча bridging and non bridging внешними фиксаторами и при восстановленной анатомии объем движений в группе c bridging ex fix. был значительно хуже - по -видимому, при растяжении капсулы теряется её эластичность, что и влияет на объем движений. У тебя больше опыт
работы с аппаратами, чем у меня, может быть я и не прав, но *за что купил, за то и продал*, поэтому сам стараюсь никогда не *перекрывать* сустав в
аппарате.
операцию А.М. Лаврукова упоминали на форуме, насколько я понял, она показана при псевдоартрозах ладьевидной кости с последующим формированием
артроза радио-ладьевидного сустава, в случае, который ты показал дегенеративные изменения очевидны и в радио-лунарном отделе сустава, следуя
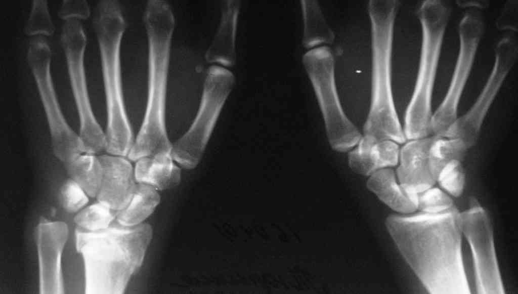
логике, декомпрессия только одного отдела маловероятно улучшит функцию сустава в целом, мне так кажется. Отправлю тебе картинку с 6 летним результатом после проксимальной карпальной
резекции - для меня убедительно, может быть для тебя тоже будет интересна.

Всего Доброго,
Евгений
|
[
Ответить ]
|
|
Re: Последствия травмы предплечья
Evgueny Tchekashkine 12 Июнь 2007, 15:44
|
I found this article at Ortho SuperSite.com and thought you might find it of interest.
evgueny
Arthroscopic arthrolysis procedure effective for post-fracture wrist rigidity and pain
|
[
Ответить ]
|
Re: Последствия травмы предплечья
Пётр Ромчук 14 Июнь 2007, 05:49
|
При наличии пронационной контрактуры (которая скорее всего и доминирует в его жалобах) и несращения локтевой кости в таком месте, операция Суав-Капанджи напрашивается сама собой.
http://www.wheelessonline.com/ortho/sauve_kapandji_procedure
Удачи,
Пётр Ромчук
|
[
Ответить ]
|
Re: Последствия травмы предплечья
Михаил 15 Июнь 2007, 04:55
|
Как вам видится такой вариант: убрать пластину с локтевой кости, выполнить резекцию локтевой вместе с псевдоартрозом, установить протез лучезапястного сустава?
|
[
Ответить ]
|
( Ответить )
|
|