вверх
отправить
поиск
админ
главная
Предыдущее
|
Re: Что делать с эпифизом tibia?
Alexander Zolotov 12 Август 2007, 06:40
|
Уважаемый Салават,
> 1.Какой доступ предпочесть?
На основании небольшого личного опыта (4 пациента с отрывным переломом задне-верхнего края большеберцовой кости) и данных литературы оптимальным считаю задний доступ, упомянутый David P. Zamorano.
> 2.Чем фиксировать?
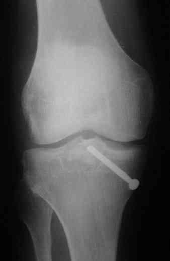
В 3 из 4 случаев мы применили винт, проведенный ретроградно по аналогии с фиксацией заднего края большеберцовой кости при переломах в
области голеностопного сустава. В прищепке рентгенограммы одного из наших пациентов до операции и спустя полгода. Остальные 3 наблюдения
описаны в статье "Изолированный отрывной перелом большеберцовой кости в месте прикрепления задней крестообразной связки // Вестник
травматологии и ортопедии им. Приорова. - 2001. - №1. – С. 38-40. Если есть интерес, могу прислать копию. Ваш случай, безуловно, отличается величиной костного фрагмента, его локализацией, характером и степенью смещения. Но думаю, принцип лечения может быть общим.

Best regards,
|
|
|