AOTRAUMA.ORG Центр Илизарова  

Ортопедия и травматология Общие вопросы/General questions Help Информационные технологии в медицине
 вверх
 отправить
 поиск
 админ
 главная
 Предыдущее
 Весь тред


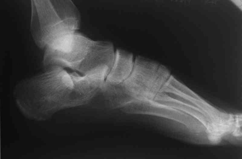
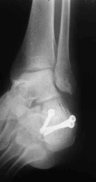
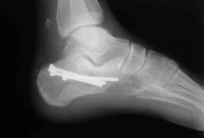
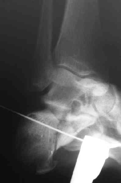
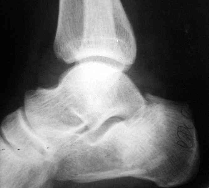
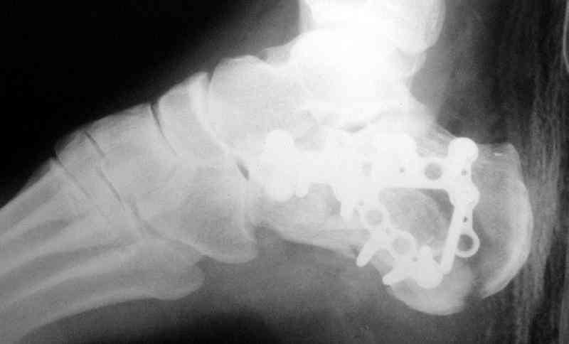
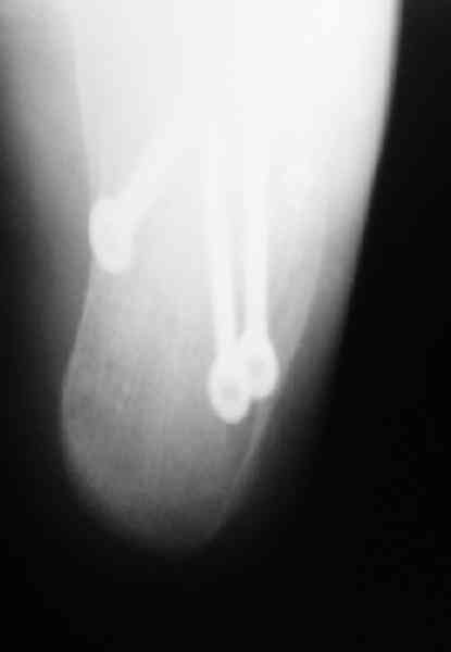
Re: Перелом пяточной кости
Viktor Kost 30 Сентябрь 2007, 12:12
Какой предпочитаете доступ? Нет ли показательных рентгенснимков?
  • Сообщения о Ортопедия и травматология
  • Также Viktor Kost
  • Связаться с автором
  • Ответить

    Re: Перелом пяточной кости
    А.П.Ким 09 Октябрь 2007, 09:41
    Открытый и закрытый способы лечения.








    [ Ответить ]


    ( Ответить )

    Powered by Zope  Squishdot Powered MedLink
    Посетитель: 0198450
      "По форме правильно, а по существу - издевательство" В.И.Ленин
    ©2001-2019Orthoforum Coordinator.
    [ Главная | Отправить сообщение | Поиск | Админ ]