AOTRAUMA.ORG Центр Илизарова  

Ортопедия и травматология Общие вопросы/General questions Help Информационные технологии в медицине
 вверх
 отправить
 поиск
 админ
 главная
 Предыдущее


Re: Локтевой отросток
Шарафиев Руслан 14 Ноябрь 2007, 21:05
Вова привет! Снимки покажи для начала!!!
  • Сообщения о Ортопедия и травматология
  • Также Шарафиев Руслан
  • Связаться с автором
  • Ответить

    Re: Локтевой отросток
    Владимир Бахарев 15 Ноябрь 2007, 09:48
    Руслан рад услышать тебя!
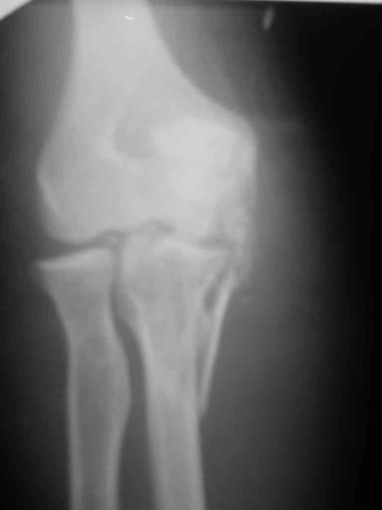
    Снимки вот еще какие есть (наши лаборанты пытались сделать что то)


    [ Ответить ]


    ( Ответить )

    Powered by Zope  Squishdot Powered MedLink
    Посетитель: 0142080
      "По форме правильно, а по существу - издевательство" В.И.Ленин
    ©2001-2019Orthoforum Coordinator.
    [ Главная | Отправить сообщение | Поиск | Админ ]