ВХОД ДЛЯ ПАЦИЕНТОВ
вверх
поиск
админ
главная
исходное
|
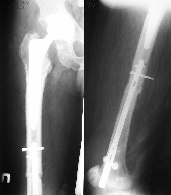
Re: Множественные переломы бедра
послал Сергей Ардатов 15 Январь 2008, 15:44
|

Уважаемые коллеги. Благодарим за дискуссию. Мы решили выполнить комбинированную операцию - эндопротезирование тазобедренного сустава и ретроградный интрамедуллярный остеосинтез (одномоментно)
|
| Послать ответ |
Обратите внимание: Поля с жирными названиями обязательны.
Старайтесь отвечать в рамках обсуждаемой темы, а не начинать новые обсуждения.
Указывайте адекватную тему сообщения, чтобы было ясно, о чем оно.
Не послайте сообщений не по теме (оффтопик), раздраженных, грубых или обидных комментариев. Здесь это неуместно.
|