Ответить
|
Re: Множественные переломы бедра
Djoldas Kuldjanov, M.D. 09 Январь 2008, 07:19
|
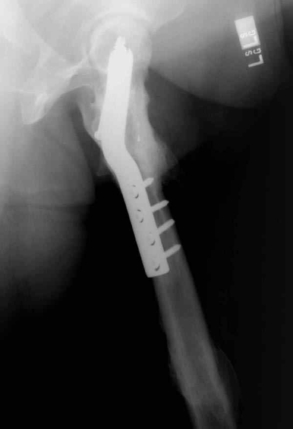
Ошибки случаются, когда игнорируются правила обследования больных с переломом бедра. Часто, когда "экономят" рентген пленки и снимают без надлежащих захватов сустава.
Одним из "золотых" правил при лечении переломов бедра в обязательном порядке до операции необходимо убедиться в отсутствии или наличии перелома шейки.
Отдельный снимок шейки или ЭОП является стандартом обследования. Все сомнительные рентген снимки проверяются тщательно дополнительными срезами КТ.
Из-за опасности вторичного смещения переломов "без смещения" во время интрамедуллярных манипуляций, особенно при ретроградном введении, необходимо каждый случай протоколировать с описанием состояния шейки после операции.
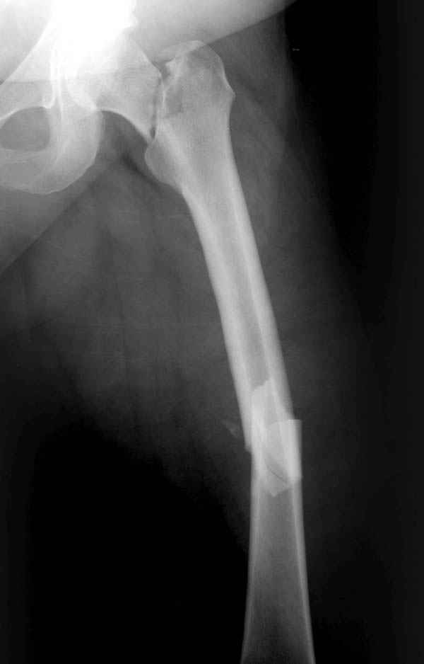
Установленный в бедро штифт, без стимуляции, не гарантирует сращение.
А не опорная болтающаяся конечность с большим рычагом усложнит состояние перелома шейки и поэтому ипсилатеральные переломы, тем более ятрогенные, очень часто осложняются двойными ложными суставами.
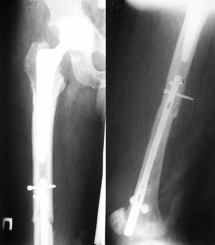
Учитывая молодой возраст больного, из всех рекомендуемых вариантов для лечения ложного сустава шейки предпочтительным является вальгусная остеотомия (на сайте имеются прежние разборы) из-за простоты исполнения и биомехнических преимуществ.
После удаления штифта нет необходимости проведения "стресса" на сращение, лучше провести фиксацию пластиной по два шурупа с каждой стороны.
Минимальный перкутанный доступ без ущерба сохранит сомнительное мозолеобразование и создаст условия для профилактики ложного сустава бедра.
Или при наличии ретроградной техники, короткий штифт с одним блокирующим шурупом дистально, создаст адекватную фиксацию и условия для быстрейшего восстановления.
Djoldas Kuldjanov, M.D.
|
[
Ответить ]
|
Re: Множественные переломы бедра
Markushevich Michael 10 Январь 2008, 01:50
|
Good day dear colleagues!
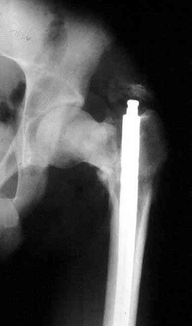
This is very bad situation. To miss fracture subcapital like this is unforgivable. Now the fracture of the femoral shaft isn't healed with malreduction component and fracture of the subcapital femur (doesn't matter what grade) without any chance for healing. More of them, therк is very high chanse to AVN of the femoral head. At the moment nothing can be done exept change of the intramedullary nail in femoral shaft
with femoral neck fixation after open reduction . I mean PF Aesculap nail or TAN Smith & Nerphuy). After that waiting with hoope to union of the femoral shaft fracture and, depending on condition of the femoral head, in the life - suprise, or go to THR noncemented if the head will be dead. Any way this young man is invalid. Good luck !
Michael Markushevich
|
[
Ответить ]
|
Re: Множественные переломы бедра
mixail 10 Январь 2008, 14:11
|
В этом случае наилучший способ лечения - тотальное эндопротезирование тазобедренного сустава.
|
[
Ответить ]
|
Re: Множественные переломы бедра
Отправитель: Сергей Ардатов 11 Январь 2008, 14:39
|
А как же быть с диафизарным переломом бедра, консолидация которого вызывает определенные сомнения?
|
[
Ответить ]
|
|
Re: Множественные переломы бедра
Michael Markushevich 12 Январь 2008, 14:45
|
I was sure that you can read in english.At the moment nothing can be done exept change of the intramedullary nail in femoral shaft.Nail with femoral neck fixation after open reduction. This may be PF Aesculap nail or TAN Smith & Nerphuy
|
[
Ответить ]
|
Re: Множественные переломы бедра
Отправитель: Alexander Chelnokov 13 Январь 2008, 01:28
|
А открытая репозиция шейки окончательно не лишит кровоснабжения головку? Не говоря о технической сложности вальгизации проксимального отдела бедра при фиксации гвоздем.
Наверно, вариант с вальгизирующей остеотомией с фиксацией blade plate или DHS более щадящий. А диафиз можно рефиксировать ретроградно. Или про эндопротезирование с очень длинной ножкой подумать.
|
[
Ответить ]
|
|
Re: Множественные переломы бедра
Djoldas Kuldjanov 14 Январь 2008, 22:06
|
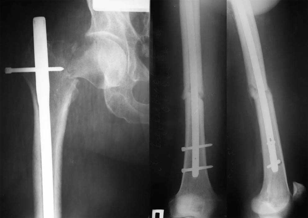
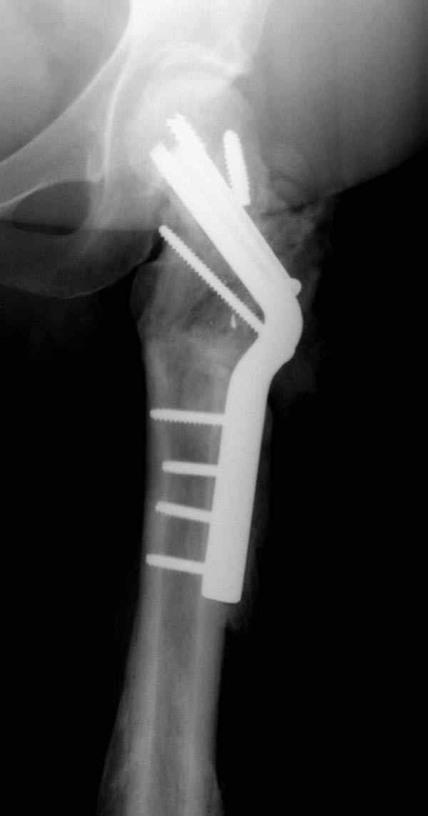
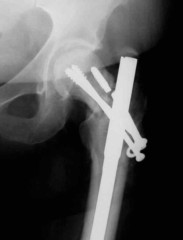
Несмотря на пессимистические прогнозы, у молодых
коррегирующая вальгусная остеотомия является более
приемлемым.

Представленные случаи доказательства тому, что еще
имеется резервы на восстановление даже у 5-6 месячных ложных суставов шейки.
Djoldas Kuldjanov, MD
Department of Orthopedic Surgery
St. Louis University Medical Center
|
[
Ответить ]
|
Re: Множественные переломы бедра
Сергей Ардатов 15 Январь 2008, 15:44
|

Уважаемые коллеги. Благодарим за дискуссию. Мы решили выполнить комбинированную операцию - эндопротезирование тазобедренного сустава и ретроградный интрамедуллярный остеосинтез (одномоментно)
|
[
Ответить ]
|
( Ответить )
|