AOTRAUMA.ORG Центр Илизарова  

Ортопедия и травматология Общие вопросы/General questions Help Информационные технологии в медицине
 вверх
 отправить
 поиск
 админ
 главная
 Предыдущее


Re: Множественные переломы нижних коенечностей на фоне деформаций
Сычёв Д. 24 Июнь 2008, 21:46
Спасибо большое за совет и предложенную тактику лечения.
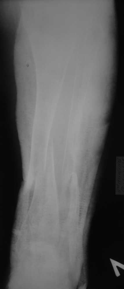
Но даже при малоинвазивной методике лечения применимой для даной больной существуют следующие проблемы: выраженный остеопороз, тонкий кортикал, очень широкий канал.
Хотел бы узнать ваше мнение по поводу металлофиксаторов которые можно применить в данном случае.




Контрольные рентгенограммы прилагаю.
Заранее большое спасибо!


  • Сообщения о Ортопедия и травматология
  • Также Сычёв Д.
  • Связаться с автором
  • Ответить

    Re: Множественные переломы нижних коенечностей на фоне деформаций
    Alexander Chelnokov 25 Июнь 2008, 09:46
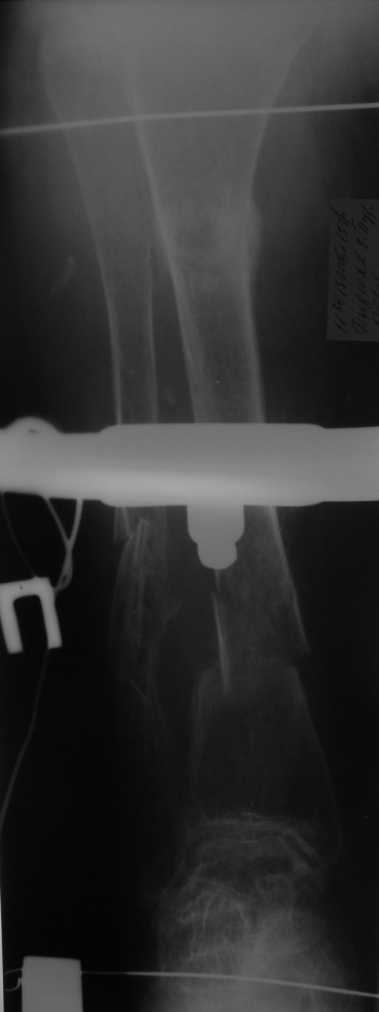
    А что доступно на месте? У нас бы голени зашифтовали закрыто стержнями диаметром 12 мм с запирающими винтами 6 мм производства предприятия "ЦИТО", Москва.
    [ Ответить ]

    • Re: Множественные переломы нижних коенечностей на фоне деформаций
      Отправитель: Дмитрий Сычев 26 Июнь 2008, 10:33
      И снова Здравствуйте! Спасибо за совет!
      На месте доступно всё, даже стержни ЦИТО с небольшой задержкой.
      Проблема в том, что в сагитальной плоскости угол голеней =30 градусам. Ширина канала 30.
      Будет ли остеосинтез стержнем стабильный?
      И возможны ли другие варианты остеосинтеза?

      Заранее благодарен!

      [ Ответить ]
      • Re: Множественные переломы нижних коенечностей на фоне деформаций
        Отправитель: Alexander Chelnokov 26 Июнь 2008, 10:43
        ДС> На месте доступно всё, даже стержни ЦИТО с небольшой задержкой.
        ДС> Проблема в том, что в сагитальной плоскости угол голеней =30 градусам. Ширина канала 30.


        Если при введении стержня будет видно, что из-за искривления дело идет к перфорации стенки, надо будет сделать чрескожную остеотомию на уровне кончика стержня.

        ДС> Будет ли остеосинтез стержнем стабильный?

        Во-1-х, интрамедулярный остеосинтез относится к методам, дающим относительную, не абсолютную стабильность. Во-2-х, стабильность неплохо обеспечивается запирающими винтами. В-3-х, несоответствие кривизны стержня и канала приводит к повышению стабильности, в-4-х, канал можно искусственно сузить введением отклоняющих (трансмедуллярных, Poller) винтов.

        ДС> И возможны ли другие варианты остеосинтеза?

        Конечно, возможны - любые существующие. Но оптимальным из возможных здесь однозначно является закрытый интрамедуллярный остеосинтез.

        [ Ответить ]

     

    ( Ответить )

    Powered by Zope  Squishdot Powered MedLink
    Посетитель: 0197013
      "По форме правильно, а по существу - издевательство" В.И.Ленин
    ©2001-2019Orthoforum Coordinator.
    [ Главная | Отправить сообщение | Поиск | Админ ]