вверх
отправить
поиск
админ
главная
|
Отправлено ALEXEY 15 Ноябрь 2008, 23:20
Уважаемые коллеги! Ниже представлен больной с тяжелой сочетанной травмой находящийся на лечении в одной из московских клиник. Хотелось бы услышать ваше мнение о проведенном и последующем лечении данного пациента
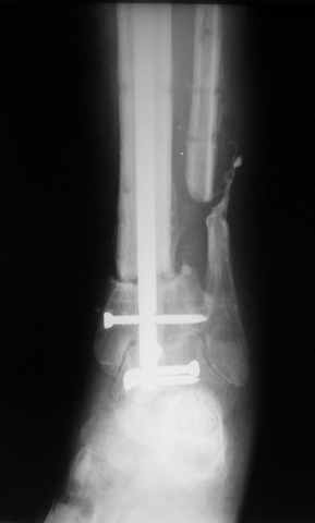
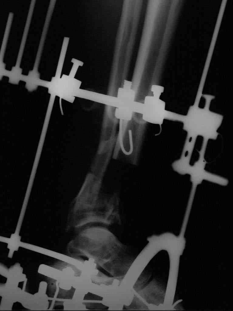
|  |  |  |  status localis на 14.11.08 (В ране визуализируется сухожилие.) | Больной А, 40 лет, находится в клинике с 15.10.08 с диагнозом: Сочетанная травма. Ушиб головного мозга лёгкой степени тяжести. Компрессионные переломы тел 12 грудного и 5 поясничного позвонков без неврологических осложнений. Закрытый внутрисуставной многооскольчатый перелом дистальных метаэпифизов обеих костей правой голени со смещением. Открытый внутрисуставной многооскольчатый перелом дистальных метаэпифизов обеих костей левой голени со смещением (см. Р-граммы). Хронический алкоголизм. Доставлен СМП после падения с 5-го этажа (не суицид). При поступлении состояние тяжелое. Глубокое оглушение. Дыхание самостоятельное, адекватное. Гемодинамика стабильная. По внутренней поверхности левой голени, в нижней трети, рвано-ушибленная рана 10-6 см, из раны выстоит проксимальный отломок большеберцовой кости, рана обильно загрязнена землёй. Интенсивная терапия в условиях реанимационного отделения, вытяжение за правую пяточную кость, параартериальная блокада обеих нижних конечностей, гипсовая лонгета на левую нижнюю конечность, ас-повязка на рану. Через 4 часа после поступления оперирован: после неоднократного промывания раны тёплой проточной водой с мылом, антисептиками, при ревизии определяется земля в канале проксимального отломка на глубину 3 см..., отсутствие надкостницы на концах дистального и проксимального отломков на 3 см. Удалено значительное количество мелких костных фрагментов, перемешанных с землёй, выполнена ПХО раны, резекция проксимального конца большеберцовой кости на 3,5 см, ЧКДО аппаратом Илизарова. Рана не ушивалась. В последующем перевязки раны с "Левомеколь", через 3 недели с момента травмы в ране определялись грануляции, нежизнеспособный конец дистального отломка. 10.11.08 ВХО раны, резекция дистального отломка на 3 см, перемонтаж аппарата наружной фиксации (см. Р-граммы). Отломки сближены на 2 см (остеотомию малоберцовой не делали). В настоящее время (5 сутки после операции) незначительное количество серозного отделяемого из раны, имеется дефект кости 4 см (см. Р-граммы). В последующем склоняемся к перемонтажу аппарата наружной фиксации, остеотомии малоберцовой кости в области повреждения, сближении отломков. По заживлению раны удлинение левой голени на 4 см. Однако, некоторыми высказывалось мнение о необходимости артродеза. Представляем рентгенограммы левой голени при поступлении, после повторного оперативного лечения и фото st.localis на 14.11.08. Будем очень благодарны за критику, комментарии, пожелания и мнения о дальнейшей тактике лечения.
P.S Ситуация несколько осложнена тем, что наша клиника не закупает аппараты наружной фиксации, сам же больной по причине алкогольной зависимости не работает. Т.о. конструкция аппарата ограничена имеющимися деталями... P.P.S. На правую нижнюю конечность наложена циркулярная гипсовая повязка после 4 недель скелетного вытяжения. Положение отломков в гипсе удовлетворительное.
<
|
>
|
|
Ответить
|
Re: Открытый "пилон"
Артем Ровенский 17 Ноябрь 2008, 22:58
|
Больному показано билокальное замещение дефекта в аппарате Илизарова ( остеотомия б/берцовой кости в с/тр или в/тр + фиксировать стопу спицей через головки плюсневых костей в конструкции для стопы + промывная система раны сразу же после ПХО!).
|
[
Ответить ]
|
Re: Открытый "пилон"
Pavel Ivanov 18 Ноябрь 2008, 00:14
|
Алексей, здравствуйте.
Позвольте изложить мнению докторов из НИИСП им. Склифосовского в следующей форме.
«Вечереет. Институт Склифосовского. Ординаторская отделения множественной и сочетанной травмы. Небольшой перерыв в работе, пока машины Скорой помощи пробираются к институту в московских пробках. Дежурные доктора Павел Иванов и Александр Неведров, сидят за столом и пьют чай с печеньем.
П.И. – Александр Валерьевич, Вы уже прочитали сообщение на Ортофоруме про больного с открытым переломом пилона?
А.Н. – Да. Случай действительно интересный, особенно для нас. Ведь такие пациенты в нашем отделении не редкость. А Вы бы тоже сделали артродез у подобного больного? И если нет, то как бы решали проблему?
П.И. - Показаний для артродезирования голеностопного сустава в настоящее время я пока не вижу. И о какой именно проблеме Вы говорите? Их у больных две - дефект мягких тканей и дефект кости. Я бы в подобной ситуации выбирал их двух вариантов, имеющих свои плюсы и минусы, но в итого примерно равнозначных. В обоих вариантах необходим перемонтаж аппарата – установка дополнительного кольца и проведение спиц через дистальный отломок большеберцовой кости, его репозиция. В данной области лучше использовать карбоновое рентгеннегативное кольцо, так как оно не мешает на снимках (помните, на прямой проекции, полукольцо на стопе закрывает перелом и дистальный отломок). Кроме того, можно поставить дополнительное кольцо (или два) с учетом выполнения остеотомии большеберцовой кости.
Вариант 1. Острое укорочение (плюсы и минусы).
+ проще сделать репозицию дистального отломка большеберцовой кости;
+ адаптация и стыковка опилов костей под визуальным контролем;
+ при плотном контакте опилов кости их компрессии можно в конце операции демонтировать элементы аппарата со стопы, а после операции разрабатывать движения в голеностопном суставе и наступать на стопы;
+ некоторое, но наверное не полное, уменьшение площади раны;
- нет уверенности, что кость сразу будет укрыта мягкими тканями (так как в нижней трети голени, где нет большого массива мягких тканей, укорочение приводит к расширению сегмента, сопровождающемуся значительным натяжением кожи);
- необходима резекция малоберцовой кости на величину укорочения (если кость не резецировать, то это может привести к еще большему натяжению кожи из-за расхождения отломков малоберцовой кости «в стороны»;
- необходим второй отдельный доступ к малоберцовой кости для ее резекции.
Вариант 2. Пластика дефекта мягких тканей суральным лоскутом, остеотомия большеберцовой кости с последующим низведением фрагмента большеберцовой кости.
+ одномоментное закрытие дефекта мягких тканей;
+ перенесенный лоскут выполняет питающую и санирующую функцию;
- необходимость освоения методики перемещения сурального лоскута (а может это и «+», тем более что больной не банкир);
Методика перемещения сурального лоскута не сложна для освоения, хотя имеет ряд нюансов. Она подробно описана во многих книгах по травматологии. Например, Master Techniques in Orthopaedic Surgery: Soft Tissue Surgery, 1st Edition и
AO Principles of Fracture Management (2000 г.). Прочитав эти доступные книги (ссылки на них выкладывали на форуме не раз) и сделав пару лоскутов в морге можно смело делать эту операцию у живого пациента. Кстати у нас на следующей неделе планируется подобная операция для закрытия раны на пятке. Пусть доктора приезжают, поделимся своим скромным опытом. (рис. 1 , 2, 3 [извините, не успели отмыть кожу от иода], 4)
А.Н. - Павел Анатольевич, а почему бы нам тогда и не помочь коллегам с деталями аппарата Илизарова? Хоть у нас с этим делом не густо, но сейчас вроде сформировался небольшой пополняемый фонд!
П.И. - Александр Валерьевич, отличная идея! Чем можем – поможем. Правда, карбоновые кольца (диаметр 160 или 180 мм) сможем дать только на время с последующим возвратом. У нас их немного.
А.Н. - Еще один интересный момент. Обычно по переднее-внутренней поверхности голени нет сухожилий. Но доктора говорят, что дном раны является сухожилие. Интересно, сухожилие какой мышцы у этого пациента сместилось из другой области и выстоит в рану?
П.И. - Да это было бы здорово узнать.
А.Н. - Да, и еще. Сообщается ли рана в данный момент с полостью голеностопного сустава? Я бы однозначно не говорил, что в данный момент нет показаний для атродеза, так как:
1. Если рана сообщается с полостью голеностопного сустава, то за 20 дней хрящ уже погиб, и в последующем на 95% у пациента разовьется артроз;
2. Возможно, что дистальный метаэпифиз расколот на два больших фрагмента, между которыми много мелких осколков - даже у молодого, « умного» пациента восстановление его функции под большим вопросом, а у немолодого, несколько асоциального пациента лучше использовать наиболее надежные методики лечения.
Поэтому, возможный вариант:
резекция дистального метаэпифиза большеберцовой кости, удаление нежизнеспособной части проксимального отломка, удаление хряща таранной кости. Далее перемонтаж аппарата Илизарова: 3 спицы через тело пяточной кости, 2 спицы с упорами с разных сторон через тело или шейку таранной кости, в фиксации переднего отдела в данном случае нет необходимости, так как это ухудшит функцию Шопарова сустава, и сустава Лисфранка, которые необходимы при ходьбе у больного с артродезом в голеностопном суставе. Пластика дефекта мягких тканей суральным лоскутом, хотя лучше было бы использовать какой-то мышечный лоскут. Например, проксимально -, а еще лучше -дистальноприкрепленный лоскут из камбаловидной мышцы, который обладает лучшим санирующим эффектом и заполнит полость, образовавшуюся при резекции (см. AO Principles of Fracture Management (2000 г.) и Master Techniques in Orthopaedic Surgery: Fractures, 2nd Edition, глава 46 - Gastrocnemius and Soleus Rotational Muscle Flaps: Soft-Tissue Coverage) - (рис. 5, 6, 7, 8, 9). Далее - остеотомия большеберцовой кости. И не надо дожидаться стихания признаков воспаления, ведь используется внешний фиксатор - он никак не влияет на течение воспалительного процесса. По окончанию дистракции: артродез в голеностопном суставе штифтом с антибактериальным покрытием, проведенным через тело пяточной кости, демонтаж аппарата Илизарова (титановый штифт для артродеза голеностопного сустава с недавнего времени выпускается фирмой «Остеомед», а раньше нам изготавливали подобный штифт на предприятии ЦИТО на заказ в течение 2-х недель, стоило это недорогоо, около 4 тыс. рублей). Мне кажется этим способом доктора в наиболее короткие сроки и с максимальной вероятностью восстановят функцию конечности. Правда, у нас вроде в архиве нет ни одного отснятого примера для демонстрации. Но в среду на контроль должен придти больной И., мы отснимем рентгенограммы и покажем их коллегам.
П.И. - Александр Валерьевич, не могу не признать, что Ваша точка зрения не лишена здравого смысла. И мне даже симпатична, хотя кажется чуть радикальной. И еще. Алексей, автор сообщения, может быть сторонником аппаратных методов лечения. И даже если коллега выберет вариант артродезирования, то может не поддержать Вашу идею о замене аппарата на штифт. Да и среди докторов с Ортофорума много искренних поклонников метода Илизарова, и они, я уверен, спросят «А зачем делать больному еще одну операцию, когда можно решить эту ситуацию только при помощи аппарата? Ведь аппаратом можно творить чудеса!»
А.Н. - А вот и будет интересно узнать мнению других участников Ортофорума!
(звонит телефон)
Голос из трубки. - Доктора, хватить бездельничать. Поступление.. …
П.И. - Жаль, что нас прервали. Случай непростой и интересный. Еще многое хотелось бы обсудить.
Доктора встают и выходят из ординаторской.»
Best regards,
Pavel Ivanov
Alexandr Nevedrov
Sklifosovsky Clinical and Research Institute for Emergency Medicine
Polytrauma Department
3, Bolshaya Sukharevskay sq.
Moscow, 129090 Russia
|
[
Ответить ]
|
Re: Открытый "пилон"
Отправитель: ALEXEY 01 Декабрь 2008, 21:38
|
Прошу прощения за столь поздний ответ... Большое спасибо откликнувшимся, в особенности докторам НИИ Склифосовского.
Ситуация пока на следующем этапе:
Больному выполнена резекция малоберцовой кости, ВХО раны, сближение отломков. Резекция м\б через отдельный разрез. После ВХО компрессия в аппарате, края раны сближены наводящими швами (без натяжения).
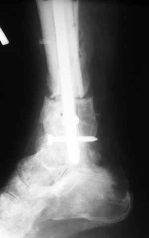
В случае гладкого заживления раны, при условии положительного решения вопроса с металлом, планируем перемонтаж аппарата Илизарова, дополнительную резекцию дистального отломка, выведение полокости голеностопного сустава в правильное положение (см. боковую Р-грамму), одномоментно остеотомия большеберцовой кости. После восстановления длинны голени, по всей видимости, артродез голеностопного сустава.
Если вопрос с металлом не решится - выписка по заживлению раны, в последующем контрольный осмотр (перелом, при имеющемся положении дистального отломка, с большой вероятностью не срастётся). К тому времени металл появится - продолжение оперативного лечение исходя из ситуации.
Рентгенограммы прилагаются. Фото местного статуса выложу в ближайшее время.

Заранее благодарен за любые разъяснения или комментарии.
|
[
Ответить ]
|
Re: Открытый "пилон"
Отправитель: Ерсин Жунусов 03 Декабрь 2008, 03:09
|
Уважаемые коллеги! В принципе у Вас есть еще время решить дальнейшую тактику, но у меня вопрос: почему остеотомия малоберцовой кости произведена на уровне перелома б/б кости?
Мне кажется надо было произвести косую остетомию в В/з м/б кости!
Так как в данном случае зона вилки ГСС ослаблена (нестабильна), а она вам нужна будет при артродезирования и еще дистальный отломок м/б кости не фиксирована спицей? при билокальном остеосинтезе особенно во время дистракции будут проблемы в данной зоне!
С уважением Ерсин Жунусов, зав отд множест травмы НИИТО Астана.
|
[
Ответить ]
|
Re: Открытый "пилон"
Отправитель: Павел Иванов 05 Декабрь 2008, 00:20
|
Уважаемый Ерсин!
Пока ALEXEY готовит свой ответ на Ваши вопросы, включусь в разговор.
ЕЖ> дальнейшую тактику, но у меня вопрос: почему остеотомия
ЕЖ> малоберцовой кости произведена на уровне перелома б/б кости?
ЕЖ> Мне кажется надо было произвести косую остетомию в В/з м/б кости!
Я бы в похожей ситуации делал остеотомию малоберцовой кости на уровне перелома большеберцовой, как это сделал доктор ALEXEY. Ведь в верхней трети голени при остеотомии, и резекции особенно, высок риск повреждения малоберцового нерва или его крупных ветвей. А резекция на одном уровне с большеберцовой костью особых неприятностей не приносит ни во время операции ни после.
Еще один момент. При резекции костей голени на разных уровнях существенно затрудняется одномоментное укорочение и стыковка опилов большеберцовой кости, так как мешает натяжение неповрежденной межкостной мембраны между проксимльным отломком большеберцовой и дистальным отломком малоберцовой костей.
ЕЖ> Так как в данном случае зона вилки ГСС ослаблена (нестабильна), а
ЕЖ> она вам нужна будет при артродезирования и еще дистальный отломок
ЕЖ> м/б кости не фиксирована спицей? при билокальном остеосинтезе
ЕЖ> особенно во время дистракции будут проблемы в данной зоне!
Мы обычно не фиксируем малоберцовую кость. Просто стараемся сопоставить ее концы за счет хорошей репозиции. В представленном случае имеется некоторое смещение дистальных фрагментов кнаружи, и, как мне кажется, ротация их вместе со стопой кнутри (ротация хорошо заметна на прямом снимке по форме таранной кости и на боковом по соотношению отломков малоберцовой). Если это действительно так, то это несложно сейчас постепенно устранить в аппарате. И тогда концы малоберцовой кости будут находиться поближе друг к другу.
Интересно, а о каких проблемах при дистракции в данной зоне вы предупреждаете?
И еще. Если доктора решат делать артродез, то при артродезировании штифтом через пятку особых проблем с нестабильностью дистального отломка большеберцовой кости не возникает. Даже при том обстоятельстве, что уже где-то через месяц после операции пациент ходит почти с полной нагрузкой на ногу. Такого рода проблемы чаще бывают при лечении спице-стержневым аппаратом. Переломы в нижней трети голени в аппаратах частенько срастаются с большой неохотой. Правда в этой ситуации наша совесть абсолютно чиста - мы не повреждаем таранно-пяточный сустав. Пока лежит аппарат этот сустав приходит в полную негодность самостоятельно, всего лишь за 4-6 месяцев.
Ерсин, рад нашей дискуссии. Ведь мне, политравматологу, всегда приятно поговорить с Вами - политравматологом.
С уважением.
Best regards,
Pavel Ivanov
Sklifosovsky Clinical and Research Institute for Emergency Medicine
Polytrauma Department
3, Bolshaya Sukharevskay sq.
Moscow, 129090 Russia
|
[
Ответить ]
|
Re: Открытый "пилон"
Отправитель: Ерсин Жунусов 05 Декабрь 2008, 21:26
|
Уважаемый Павел здравствуйте! Взаимно, мне так же приятно общаться с Вами.
По данному клинческому случаю, я имел ввиду, что до ретроградного артродезирования штифтом нашим коллегам необходимо же устранить укорочение сегмента?, вскорее всего путем кортикотомии проксимального метафиза б/б кости.
Так при перемещении промежуточного фрагмента вместе с дистальным не возникнут проблемы с малоберцовой так как уровни остетомии разные?. или коллеги будут прводить монолокальную дистракцию?
Тогда могут возникнут проблемы с мягкими тканями. Вообще замещение дефектов мягких тканей при открытых переломах с одномоментным замещением кости хорошо описано в дисс. работе Мартель И.И. (Курган), 2006 г.
Насчет проблем с м/б нервом я с Вами полностью согласен. У меня подобных случаев ятрогенного повреждения не было, мне наверное пока везет.
Я не имею опыта ретрогардного введения штифта, было всего два случая закрытого артродезирования ГСС, но в обеих случаях штфит устанавливал антеградно (классическим ввдением) и у этих паицентов не было необходимости удлинения, а блокирующие винты ввинчивал в таранную кость (таранно-пяточное сочленение был интактным), при этом проксимальное отверстие атакующего конца штифта совпадал с уровнем межберцового синдесмоза и получалось синостозирование синдесмоза. Может этого не надо было делать? по крайней мере малое количество больных не позволяет мне делать выводы.
Иван я хотел спросить: при ретроградном ввдении штифта атакующий конец проходит в толще проксимального регенерата? (при случаях удилнения сегмента) или не доводите до уровня регенерата?
по поводу судьбы таранно-пяточного сустава также согласен с Вами, если даже перелом срастается, то длительно фиксированный в аппарате ГСС и т/п сочленение создает проблемы. Обычно пациенты часто повторно обращаются и жалуются именно на боль в ГСС или таранно-пяточного сочленения.
Жду от Вас ответа с нетерпением. Кстате, я тоже недавно прочитал Ваше обсуждение со своей коллегой этого же паицента, также был приятно удивлен настолько травматологи могут быть оригинальными в изложении своих мыслей. Можно претендовать на номинацию лучший "травматологический бестселлер". С уважением Ерсин Жунусов зав отд множеств травмы НИИТО Астана.
|
[
Ответить ]
|
Re: Открытый "пилон"
Отправитель: Павел Иванов 10 Декабрь 2008, 19:58
|
Ерсин, здравствуйте.
You wrote 5 декабря 2008 г., 19:26:24:
ЕЖ> случая закрытого артродезирования ГСС, но в обеих случаях штфит
ЕЖ> устанавливал антеградно (классическим ввдением) и у этих паицентов
ЕЖ> не было необходимости удлинения, а блокирующие винты ввинчивал в
ЕЖ> таранную кость (таранно-пяточное сочленение был интактным), при
ЕЖ> этом проксимальное отверстие атакующего конца штифта совпадал с
ЕЖ> уровнем межберцового синдесмоза и получалось синостозирование
ЕЖ> синдесмоза. Может этого не надо было делать? по крайней мере малое
ЕЖ> количество больных не позволяет мне делать выводы.
Ерсин, мы тоже имеем опыт такой фиксации. Подобную операцию за последние 3 года мы сделали трем пациентам. Снимки одного из них я прилагаю.

К сожалению, ни в одном из этих 3-х случаев мы не получили удовлетворяющего нас результата. Очень трудно провести штифт, введенный антеградно ровно по центру таранной кости. Отсутствие подвижности между диафизом и дистальным отломком большеберцовой кости (после фиксации в аппарате в течение 1-2 мес) очень усложняет проведение штифта в центр блока таранной кости. Поэтому мы от этого пока отказались, и проводим штифт через пятку. При данном варианте фиксации подобных проблем не возникало ни разу.
--
Best regards,
Pavel Ivanov
Sklifosovsky Clinical and Research Institute for Emergency Medicine
Polytrauma Department
3, Bolshaya Sukharevskay sq.
Moscow, 129090 Russia
|
[
Ответить ]
|
Re: Открытый "пилон"
Отправитель: Ерсин Жунусов 10 Декабрь 2008, 20:08
|
Здравствуйте Павел! Спасибо за информацию, оказывается нам надо учесть эти моменты. В Москве на выставке (на конференции по сочетке)я у "остеомеда" видел ретроградные штифты для артродеза ГСС, этими имплантами пользуйетесь?
Павел! как часто оперируете лучи в типичном месте? Буквально вчера прооперировал перелом луча в типичном месте (LCP от схм) ладонным доступом. Получилось неплохо, понравилось, самое главное время операции составил всего 35 мин., сами знаете как важно длительность операции при политравме. У нас неуверенность в плане послеоперационного ведения т.е. раннюю реабилитацию можно или нет? спорим. характер перелома оскольчатый (Коллеса), синтез стабильный, ведем без внешней иммобилизации (это понятно), но хотел узнать со 2 дня ПДС проводить не противопоказано? Я как приверженес функционального подхода назначил, но мои ребята (леч врач) уговраивают меня ссылаясь на то, что все таки первая операция может подождем недели 2. Отсутствие большого опыта не позволяет четко оперделить тактику ведения. С уважением Ерсин Жунусов зав отд множеств травмы НИИТО Астана.
|
[
Ответить ]
|
|
( Ответить )
|
|