вверх
отправить
поиск
админ
главная
|
ложный сустав левой голени. |
 |
 |
 |
Отправлено Глеб Коробушкин 05 Декабрь 2008, 01:30
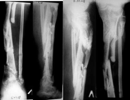
Больной К 45 лет, ДЗ: ложный сустав левой голени. Травма 1 год назад, ТСТ. открытый фрагментарный перелом левой голени, перелом мыщелков левой голени, н.з малоберцовой кости. +плечо, Алкогольный делирий. В настоящий момент левая нижняя конечность не опорная, имеется патологическая подвижность в с.з голени. Раны зажили более 6 мес назад.
Обдумываем варианты лечения: Аппарат Илизарова: два кольца на проксимальный отдел голени, два кольца на промежуточный фрагмент, два кольца на дистальный, остеотомия малоберцовой кости. 1.Закрыто сделать дистракцию-компрессию между отломками проксимального и дистального фрагментов 2. Или открыто резекция концов фрагментов с укорочением. 3 Удалить целиком средний фрагмент и «зарастить» регенератом.
С ув Коробушкин Г
<
|
>
|
|
Ответить
|
Re: ложный сустав левой голени.
Евгений Береговой 05 Декабрь 2008, 11:30
|
Если мягкие ткани в удовлетвротительм состоянии, то рассмотрите вариант выполнения блокирующего остеосинтеза большеберцовой реконструктивным стержнем с, как минимум, тремя проксимальными и тремя дистальными винтами, с открытой репозицией отломков и дополнением костной пластики большеберцовой кости диафизом малоберцовой кости на питающей ножке. Другой вариант - остеосинтез в аппарате Илизарова, но с открытой репозицией переома и аналогичной костной пластикой на питающей ножке фрагментом из малоберцовой кости.
|
[
Ответить ]
|
Re: ложный сустав левой голени.
Иван Владимирович 05 Декабрь 2008, 16:45
|
ДА УЖ! ситуация "прикольная" в данном случае наверное имеют место и социальный фактор (материальный) по поводу блокирующего стержня, да и что там с ним делать? на мой взгляд Ваш вариант с наложением аппарата Илизарова правильный а именно с резекцией и укорочением конечности с возможным в последующем монолокальным или билокальным выращиванием регенерата. только одно дополнение может сразу сделать стопный компонент и артродез г\стопного сустава. удачи!
|
[
Ответить ]
|
Re: ложный сустав левой голени.
Odessky Jacob M.D. 06 Декабрь 2008, 13:50
|
Уважаемый Глеб!
В плане обследования обязательно необходимо сделать:
1. 4-х фазное Скенирование костей с технецием.
2. Скенирование костей с меченными лейкоцитами или с Галием.
3. КТ
4. МРТ
Это небходимо для знания жизнеспособности косных фрагментов и наличия инфекционного процесса и их границ.
С Уважением!
|
[
Ответить ]
|
Re: ложный сустав левой голени.
Djoldas Kuldjanov 07 Декабрь 2008, 00:42
|
Обычно долгие ожидания сказываются отрицательно на движениях в коленном суставе, поэтому, кроме восстановления голени приоритетным считается также восстановление движения в конечности.
Из представленных вариантов, удаление целого фрагмента и "зарастить" регенератом - долгий процесс. Больному со "слабой протоплазмой" и не дисциплинированному, тем более с прошлой историей "алкогольного делирия" предлагать такие восстановительные операции считаю рискованным.
Нашпиговать на гвоздь как на “шашлычную палочку” остаток большеберцой кости до тарана не составляет трудности, (на снимке голеностопный сустав безнадежно потерян) но для такой операции нужны специальные сверла. (др.Челноков показывал “custom made” сверла)
Не уверен, что мобильность больного и возможности нагрузки на конечности решит проблему со сращением без дополнительной костной пластики.
Если кость не поражена инфекцией, желательно сохранить имеющиеся остаток, но для восстановления требуется усиление его. Можно усилить "тибиализацией", и для этого нет необходимости открывать фокус.
Закрытая остеотомия, спица с опорной площадкой приблизит малоберцовую медиально. Поэтапность сохранит от риска повреждения нерва. Подобную процедуру повторить внизу, потом окончательная фиксация перкутанным шурупом.
Если больной восстановлен от алкоголя и при мотивации на более длительный процесс, тогда имеется другой метод.
Недостаток костной массы можно заместить расширением малоберцовой. На небольшое расстояние можно передвинуть медиальный кортекс малоберцовой в аппарате. Отрицательным моментом техники является продольная остеотомия малоберцовой.
При отсутствии желания и страхе от предыдущего опыта лечения аппаратом, можно сделать одномоментную операцию длинной латеральной пластиной с угловой стабильностью, начиная от верхней трети до тарана. Дополнительная костная пластика из двух гребней будет достаточно, чтобы заполнить дефекты между пластиной и латеральным аспектом большеберцовой.
Операция не срочная, имеется время для обдумывания метода и для санации с улучшением кондиции кожных покровов. Ежедневные ванны для конечности улучшит состояние кожи, а также кровоснабжение.

Картинки метода расщепления малоберцовой представлены.
Djoldas Kuldjanov, MD
Department of Orthopedic Surgery
St. Louis University Medical Center
|
[
Ответить ]
|
Re: ложный сустав левой голени.
Глеб Коробушкин 08 Декабрь 2008, 07:32
|
Коллеги! Спасибо за советы!
Odessky Jacob M.D. 06 Декабрь 2008, 13:50 Вы писали:
>В плане обследования обязательно необходимо сделать:
>3. КТ
>4. МРТ
>Это небходимо для знания жизнеспособности косных фрагментов и наличия инфекционного процесса и их границ.
- Из доступных методов можно расчитывать на выполнение КТ. КТ сделаем. Жизнеспособность фрагментов не вызывает особых сомнений, рентгнологически не отличается от рядом расположенных костных фргментов, свищей и признаков воспаления нет.
>1. 4-х фазное Скенирование костей с технецием.
>2. Скенирование костей с меченными лейкоцитами или с Галием.
- со сканированием кости с меченными лейкоцитами не знаком к своему стыду. А что это?
Итак, возможные варианты лечения:
1) Открытая репозиция отломком, костная пластика погружной остеосинтез
Djoldas Kuldjanov 07 Декабрь 2008, 00:42 Вы писали:
>можно сделать одномоментную операцию длинной латеральной пластиной с угловой стабильностью, начиная от верхней трети до
>тарана. Дополнительная костная пластика из двух гребней будет достаточно, чтобы заполнить дефекты между пластиной и
>латеральным аспектом большеберцовой.
Евгений Береговой 05 Декабрь 2008, 11:30 Вы писали:
>Если мягкие ткани в удовлетвротительм состоянии, то рассмотрите вариант выполнения блокирующего остеосинтеза большеберцовой
>реконструктивным стержнем с, как минимум, тремя проксимальными и тремя дистальными винтами, с открытой репозицией отломков
>и дополнением костной пластики большеберцовой кости диафизом малоберцовой кости на питающей ножке.
- Мягкие ткани, думаю, позволят выполнить открытую репозицию, костную пластику. Смущает, что два продольно расположенных фрагмента между собой не срослись, выполним фиксацию и имплантат будет как "распорка". Относительно костной пластики малоберцовой костью на питающей ножке, Вы подразумеваете микрохирургическую операцию?
2) Вариант открытой репозиции, костной пластики и фиксации аппаратом Илизарова видится более "надежным"
Евгений Береговой 05 Декабрь 2008, 11:30 Вы писали:
>остеосинтез в аппарате Илизарова, но с открытой репозицией перелома и аналогичной костной пластикой на питающей ножке
>фрагментом из малоберцовой кости.
- Выполнить резекцию области ложного сустава между.
Согласен с мнением Джолдаса Кулджанова, что "...Из представленных вариантов, удаление целого фрагмента и "зарастить" регенератом - долгий процесс. Больному со "слабой протоплазмой" и не дисциплинированному, тем более с прошлой историей "алкогольного делирия" предлагать такие восстановительные операции считаю рискованным..."
3) Тибилизация малоберцовой кости очень интересная идея.
Djoldas Kuldjanov 07 Декабрь 2008, 00:42 Вы писали:
>Если кость не поражена инфекцией, желательно сохранить имеющиеся остаток, но для восстановления требуется усиление его. Можно >усилить "тибиализацией", и для этого нет необходимости открывать фокус.
>Закрытая остеотомия, спица с опорной площадкой приблизит малоберцовую медиально. Поэтапность сохранит от риска повреждения
>нерва. Подобную процедуру повторить внизу, потом окончательная фиксация перкутанным шурупом.
>Если больной восстановлен от алкоголя и при мотивации на более длительный процесс, тогда имеется другой метод.
>Недостаток костной массы можно заместить расширением малоберцовой. На небольшое расстояние можно передвинуть медиальный
>кортекс малоберцовой в аппарате. Отрицательным моментом техники является продольная остеотомия малоберцовой.
- Не имел опыта выполнения таких операций, думаю, что в такой ситуации могут быть "подводные камни". Можно ли сделать продольную остоеотомию малоберцовой костиь не обнажая ее на всем протяжении, а это разрез см 25-30 не меньше. Проблема повреждения малоберцового нерва. Как добиться сращения между фрагментом большеберцовой кости и отщепленным трансплантатом от малоберцовой кости, не приведет ли это к появлению еще одного продольного фрагмента?
С ув Коробушкин Г
|
[
Ответить ]
|
Re: ложный сустав левой голени.
Leonid Solomin 08 Декабрь 2008, 23:54
|
Уважаемый Глеб Владимирович!
В подобной ситуации мы, очевидно, использовали бы перемещение нерасщепленной малоберцовой кости. Техника достаточно проста: двойная остеотомия fibula, ее дозированное (1-3 мм/сут) перемещение спицами с упорами. Для обеспечения лучших условий сращения целесообразно выполнить открытую адаптацию на каждом из концов перемещенного малоберцового фрагмента. Пример прилагается.

Всего наилучшего,
Л.Соломин
|
[
Ответить ]
|
( Ответить )
|
|