ВХОД ДЛЯ ПАЦИЕНТОВ
вверх
поиск
админ
главная
исходное
|
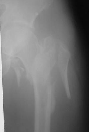
Re: Чрезвертельный перелом бедра
послал Гладков Алексей 10 Август 2009, 07:59
|
По нашему мнению линия перелома проходит вверху через латеральный отдел шейки бедра, вертельная область состоит из нескольких фрагментов. В таких условиях применить DHS или дистальную бедренную пластину LCP представляется нам сомнительным. Закрытый остеосинтез проксимальным гамма-гвоздем или PFNa невозможен т.к. нет ЭОПа.
Возможно открытый остеосинтез гвоздем PFNa?

Прилагаю Р-ы на вытяжении.
|
| Послать ответ |
Обратите внимание: Поля с жирными названиями обязательны.
Старайтесь отвечать в рамках обсуждаемой темы, а не начинать новые обсуждения.
Указывайте адекватную тему сообщения, чтобы было ясно, о чем оно.
Не послайте сообщений не по теме (оффтопик), раздраженных, грубых или обидных комментариев. Здесь это неуместно.
|