Ответить
|
Re: Чрезвертельный перелом бедра
Паськов Роман 09 Август 2009, 18:19
|
Думаю что перелом всетаки оскольчатый межвертельный, скорее всего использовали бы реконструктивный штифт, но возможно и DHS.
Неплохо бы сделать Rg контроль на вытяжении.
|
[
Ответить ]
|
Re: Чрезвертельный перелом бедра
Alexander Chelnokov 09 Август 2009, 19:08
|
А на месте каковы взгляды на эту проблему? Какие возможности доступны? Какой аспект
ситуации неясен?
Мы бы сделали закрытый остеосинтез гамма или другим прксимальным гвоздем без особых рааздумий.
|
[
Ответить ]
|
Re: Чрезвертельный перелом бедра
Бережной Сергей 09 Август 2009, 20:50
|
Перелом, на мой взгляд, все-таки чрезподвертельный. Учитывая оскольчатый характер перелома вертельной области, вполне можно рассматривать в качестве альтернативы остеосинтез фиксатором с угловой стабильностью (блокируемая пластина для дистального конца контрлатеральной бедренной кости, производство Синтез или аналог). Конечно, срок ходьбы на костылях будет подольше. Зато картинка посимпатичнее.
|
[
Ответить ]
|
Re: Чрезвертельный перелом бедра
Гладков Алексей 10 Август 2009, 07:59
|
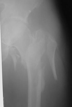
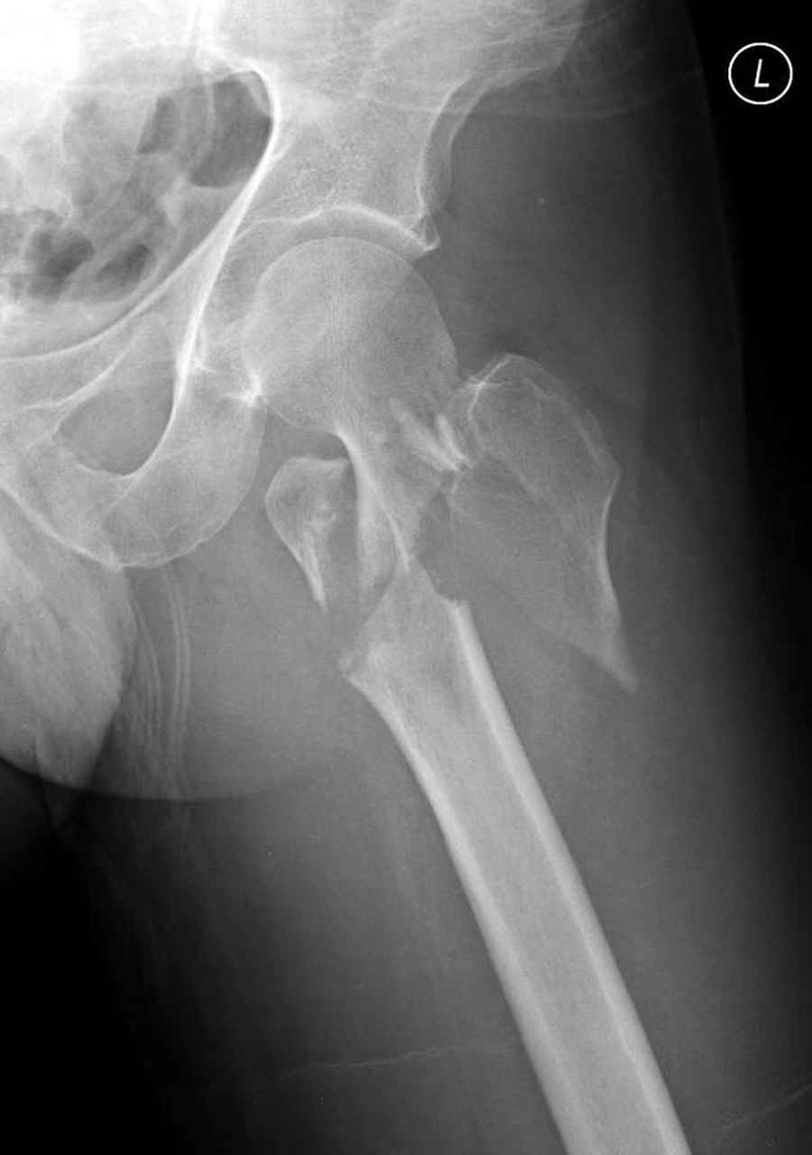
По нашему мнению линия перелома проходит вверху через латеральный отдел шейки бедра, вертельная область состоит из нескольких фрагментов. В таких условиях применить DHS или дистальную бедренную пластину LCP представляется нам сомнительным. Закрытый остеосинтез проксимальным гамма-гвоздем или PFNa невозможен т.к. нет ЭОПа.
Возможно открытый остеосинтез гвоздем PFNa?

Прилагаю Р-ы на вытяжении.
|
[
Ответить ]
|
Re: Чрезвертельный перелом бедра
Отправитель: Alexander Chelnokov 10 Август 2009, 14:15
|
ГА> фрагментов. В таких условиях применить DHS или дистальную
ГА> бедренную пластину LCP представляется нам сомнительным.
Да, с пластинкой тут не очень уютно.
ГА> Закрытый остеосинтез проксимальным гамма-гвоздем или PFNa невозможен т.к. нет ЭОПа.
Насчет "невозможен" - это чересчур. Некомфортно, трудно, долго, но сделать вполне можно.
Нужно либо тракционный стол, либо дистрактор таз-бедро, под диафиз надо будет поднимающую кпереди планку предусмотреть. Ну и ввести спицу по оси бедра через верхушку вертела (2 проекции), вскрыть канюлированным шилом вход, ввести проводник (2 проекции), рассверлить или сразу ввести стержень, убрать проводник, ввести спицу на место шеечного винта (2 проекции). Скорее всего, убрать спицу и подкорректировать положение гвоздя по глубине и ротации, еще раз спицу в шейку и 2 проекции. Ну и если все на месте, померять нужную длину винта по введенной спице. И ввести винт. Дистально можно ничего не вводить, с нагрузкой потом не торопиться только.
ГА> Возможно открытый остеосинтез гвоздем PFNa?
Открыто - теряется компонент репозиции за счет мягкотканого футляра. Можно и этим гвоздем, конечно, если это самый доступный имплантат. Хотя можно и любым другим, лишь бы была возможность предварительно ввести на место шеечного винта спицу и сделать снимок в 2 проекциях.
А с этим клинком еще там с глубиной введения могут быть проблемы.
|
[
Ответить ]
|
Re: Чрезвертельный перелом бедра
Отправитель: Дендымарченко Роман 11 Август 2009, 19:56
|
Продолжая дискуссию; проксимальным штифтом длинной версии или достаточно короткой для данного перелома?
|
[
Ответить ]
|
Re: Чрезвертельный перелом бедра
Отправитель: Alexander Chelnokov 11 Август 2009, 22:59
|
Короткие - это 180-240 мм. Здесь даже самый короткий подойдет, конечно. Наверно, без ЭОП это даже более предпочтительный вариант из-за беспроблемного дистального запирания.
|
[
Ответить ]
|
Re: Чрезвертельный перелом бедра
Отправитель: В.Машталов 12 Август 2009, 15:41
|
Я бы не рисковал с короткой версией, лучше длинную и и дистально не блокировать, чем короткую с блокированием.
В.Машталов
|
[
Ответить ]
|
Re: Чрезвертельный перелом бедра
Отправитель: Maxim Agalakov 11 Август 2009, 21:53
|
>Прилагаю Р-ы на вытяжении.
если нет возможности для закрытой операции - лечите консервативно, стояние отломков вполне приемлимое. Если пациенту 60 лет, то скорее всего он сможет перенести скелетное вытяжение и гипс. Поскольку тема обсуждается, значит проблеме не первый день, так что открытый остеосинтез сейчас скорее всего не улучшит прогноз, а периоперационных проблем может добавить.
|
[
Ответить ]
|
|
Re: Чрезвертельный перелом бедра
В.Машталов 10 Август 2009, 13:30
|
Стоит подумать и возможности консервативного лечения скелетным вытяжением.
Такие переломы неплохо репонируется на СВ и сростаются. Мы бы решали между СВ и шеечно-диафизарным штифтом. Открытая репозиция и фиксация любым видом пластин довольно травматичное мероприятие в данном случае, поэтому консервативное лечение не сбрасывайте со счетов.
С ув. В.Машталов
|
[
Ответить ]
|
Re: Чрезвертельный перелом бедра
Отправитель: Андрей Декалин 14 Август 2009, 02:12
|
Уважаемый В.Машталов, скелетное вытяжение для 60-летнего пациента скорее всего не приемлемо. ORIF, чем скорее тем лучше. С ув. Андрей.
|
[
Ответить ]
|
|
Re: Чрезвертельный перелом бедра
Нагога Александр 11 Август 2009, 00:37
|
Уважаемые коллеги!
У нас тоже нет ЭОПА, но мы часто оперируем таких пациентов открыто. Положение на здоровом боку (как при протезировании) Доступ - 120-140 мм.Перфорация вертела, введение штифта в диафиз и блокировка. Возможно в данном стучае не повредят винты минуя штифт или проволочные серкляжи.
А вообще что хочет пациент? и есть ли унего средства на современный фиксатор.
В случае если это социальная операция подойдет и клинок и DCS + винты и серкляжи. От скелетного вытяжения и коксита мы бы точно ушли бесплатно для больного.
С уважением Александр Н.
|
[
Ответить ]
|
Re: Чрезвертельный перелом бедра
Женя 11 Август 2009, 16:07
|
Надо открывать! Визуально положение окажется не столь ужасным, как на Р-гр. Все можно собрать до кучи (кроме малого вертела), а уж фиксировать - чем получится (клинок или проксимальный гвоздь, оба с проволокой). Получится неакадемично, но хорошо!
|
[
Ответить ]
|
Re: Чрезвертельный перелом бедра
Отправитель: Alexander Chelnokov 11 Август 2009, 22:50
|
Ж> Надо открывать!
Уж прямо-таки - "надо"?
Почему не ограничиться 1)восстановлением длины и 2)фиксацией шейки и головки под правильным углом к диафизу, без оглядки на положение всего промежуточного "хозяйства"?
|
[
Ответить ]
|
Re: Чрезвертельный перелом бедра
Отправитель: В.Машталов 12 Август 2009, 10:07
|
А если не открывать, а потом снимки подработать в фотошопе, тоже получится хорошо. :)
|
[
Ответить ]
|
|
Re: Чрезвертельный перелом бедра
Андрей Декалин 14 Август 2009, 02:39
|
Уважаемый Алексей, чем быстрее вы прооперируйте пациента тем лучше (ему 60!) Здесь скорее подвертельный перелом. Поэтому несмотря на отсутствие ЭОПа в Вашей клинике рекомендую исользовать длинный проксимальный штифт. Если возможности поставить штифт нет - используйте 90-градусную 4.5 мм пластину. Если вы оставите пациента на вытяжении - риск возникновения вторичных осложнений очень высок.
|
[
Ответить ]
|
Re: Чрезвертельный перелом бедра
Отправитель: В.Машталов 16 Август 2009, 11:08
|
Уважаемый Андрей!
Больному ВСЕГО 60 лет, и риск операционных осложнений при открытой репозиции ( очень не простой) и внутренней фиксации не говоря о наркозных осложнениях возможно больше, чем от консервативного лечения.
Альтернативой консерватиному лечению можно считать только БИОС, но данный случай для владеющего методикой. У нас в городском травматологическом отделении, где широко используем БИОС, где есть ЭОП, доступны импланты любых конфигураций, мы успешно часть вертельных переломов лечим консервативно и в 60, 70, 80 лет. Семь раз отмерь и один отрежь
с ув. В.Машталов
|
[
Ответить ]
|
|
Re: Чрезвертельный перелом бедра
Шакуров Рашид 18 Август 2009, 00:44
|
В г.Златоусте, межрайонном травмцентре БИОС любой локализации мы проводим уже в течение 5 лет без ЭОПА и практически не испытываем трудностей(несколько затягивается время операции на R-контроль).В данном случае мы применили бы только закрыто Гамма гвоздь или реконструктивный бедренный гвоздь с 2-мя винтами в шейку. Открыто в случае только если нет выбора можно остановится на DHS. но обязательно укрепить медиальную стенку. Для проведения операции мы используем ск. вытяжение на столе и оперируем на здоровом боку с столиками-подставками на голень, что устраняет ротационные смещения и узкий столик под бедро, устраняет смешения по ширине. Вытяжение регулирует смещение по длинне. На столе все репонирутся всегда хорошо. Можно сделать и прямой и аксиальный R-контроль. Если интересно можем выслать укладку больно на фото. При такой укладке можно оперировать спокойно одному. За год проходит до 70 операций с гамма гвоздем. результаты всегда хорошие. Интересно на чем остановитесь??, удачи
|
[
Ответить ]
|
Re: Чрезвертельный перелом бедра
Шакуров Рашид 18 Август 2009, 00:46
|
В г.Златоусте, межрайонном травмцентре БИОС любой локализации мы проводим уже в течение 5 лет без ЭОПА и практически не испытываем трудностей(несколько затягивается время операции на R-контроль).В данном случае мы применили бы только закрыто Гамма гвоздь или реконструктивный бедренный гвоздь с 2-мя винтами в шейку. Открыто в случае только если нет выбора можно остановится на DHS. но обязательно укрепить медиальную стенку. Для проведения операции мы используем ск. вытяжение на столе и оперируем на здоровом боку с столиками-подставками на голень, что устраняет ротационные смещения и узкий столик под бедро, устраняет смешения по ширине. Вытяжение регулирует смещение по длинне. На столе все репонирутся всегда хорошо. Можно сделать и прямой и аксиальный R-контроль. Если интересно можем выслать укладку больно на фото. При такой укладке можно оперировать спокойно одному. За год проходит до 70 операций с гамма гвоздем. результаты всегда хорошие. Интересно на чем остановитесь??, удачи
|
[
Ответить ]
|
Re: Чрезвертельный перелом бедра
Гладков Алексей 18 Август 2009, 09:08
|
Проблема решилась сама собой. После осторожного предложения родственникам больного преобрести современный фиксатор последовал звонок из страховой компании, сотрудник которой поинтересовался на основании чего мы не лечим больного в рамках МЭС. Поскольку из "социальных" фиксаторов у нас только пластины с клинком принято решение о консервативном лечении.
Спасибо всем за высказанные мнения и советы.
|
[
Ответить ]
|
Re: Чрезвертельный перелом бедра
Отправитель: Женя 18 Август 2009, 22:38
|
Программа госгарантий в действии!
Хорошо бы еще объявить блокируемый синтез стержнями высокотехнологичной операцией! Плюс, сюда же, артроскопию... Вот бы жилось еще лучше тем, кто числится в "ростехнологии". Супер!!!
|
[
Ответить ]
|
Re: Чрезвертельный перелом бедра
Отправитель: Женя 18 Август 2009, 23:05
|
PS.
Не "ростехнологии", а "росмедтехнологии". Хотя, все высокие технологии кончаются аккурат на выходе изделия с завода-производителя, а все остальное делается обычными людьми с нормальными мозгами и руками!
|
[
Ответить ]
|
|
Re: Чрезвертельный перелом бедра
Markushevich Michael 18 Август 2009, 19:32
|
It's tereble history. How can to make questing like this? This very familar case treatment fractures proximal part of femur.
|
[
Ответить ]
|
Re: Чрезвертельный перелом бедра
Отправитель: @ 18 Август 2009, 22:46
|
Английский язык Вам, явно, не родной. Пишите по-русски, ошибок , наверное, будет меньше.
|
[
Ответить ]
|
Re: Чрезвертельный перелом бедра
Отправитель: Mark Eidelman 24 Август 2009, 00:01
|
Et Tochno Misha,
ili pishi po anglizki bez oshibok,
ili valyai na moguchem(a to za derghavu obidno).
best
Mark
|
[
Ответить ]
|
Re: Чрезвертельный перелом бедра
Отправитель: Djoldas Kuldjanov 25 Август 2009, 20:57
|
Английский язык Вам, явно, не родной. Пишите по-русски, ошибок , наверное, будет меньше” “ ili pishi po anglizki bez oshibok, ili valyai na moguchem (a to za derghavu obidno”
"За державу" должны обижаться те, которые допускают очередную затянувшуюся перестройку в медицине, иначе как можно представить ситуацию, когда довольно молодой больной (60) не получает адекватное лечение из-за чиновничьих регулировок и отсутствия импланта. В странах развитого социализма, тем более в странах капитализма, обычно такие вопросы не возникают, поэтому стоит ли раздражаться из-за мелких языковых ошибок Миши.
Предлагаемое как вариант консервативное лечение чрезвертельных переломов существует, но это суровое наказание для больного и возврат к прошлому. Такой метод можно предложить, когда невозможно сделать операцию из-за соматического состояния при большом риске от вмешательства.
Консервативный метод из-за дороговизны обслуживания, особенно в странах с лимитированным ресурсом, и из-за высокого процента осложнения не применяется. По известным данным, в 80е годы смертность среди неоперированных пожилых больных в течение первого года после травмы достигала до 20% и около 13% в течение второго года.
Число лет не характеризирует физиологическое состояние, и возраст больного не является критерием к противопоказанию, были случаи, когда 80 летний выглядел намного здоровее, чем более молодые.
Раневые осложнения от доступов составляют около 1%, анестезиологические осложнения мизерные, навряд ли это должно оправдывать отказ от оперативного вмешательства, и поэтому ссылки на риск от наркоза и осложнения от доступов считаю отговорками.
А вот к данным операциям без рентгена, как советует специалисты, я бы отнесся скептически, как раз здесь можно натворить много ошибок, например, от неправильной установки гвоздя мимо шейки до неудовлетворительной репозиции.
Лучше пропагандировать современные методы, чем удовлетвориться пройденным, иначе как говорят "Non progredi est regredi" - лучше идти вперед, чем назад.
Потом действительно, начитавшись Златоустовских данных, навряд ли администрация пойдет на приобретение современного рентген аппарата.
Для профилактики осложнений нужно как можно быстрее больного ставить на конечность. При лимитированных возможностях подойдут менее щадящие методы, например минимальный гибридный аппарат “шейка-диафиз” или “таз-диафиз”.
Из фиксаторов, мы бы применили цефаломедуллярные, потому что они "по закону моментов" из-за короткого рычага от центра головки к диафизу и по принципу "головка диафиз" механически лучше выдерживают нагрузки, чем пластины.
Но современные пластины с угловой стабильностью не отстают от медуллярных конструкций. Межфрагментарные шурупы и имплант как нейтрализирующее создаст адекватную фиксацию.
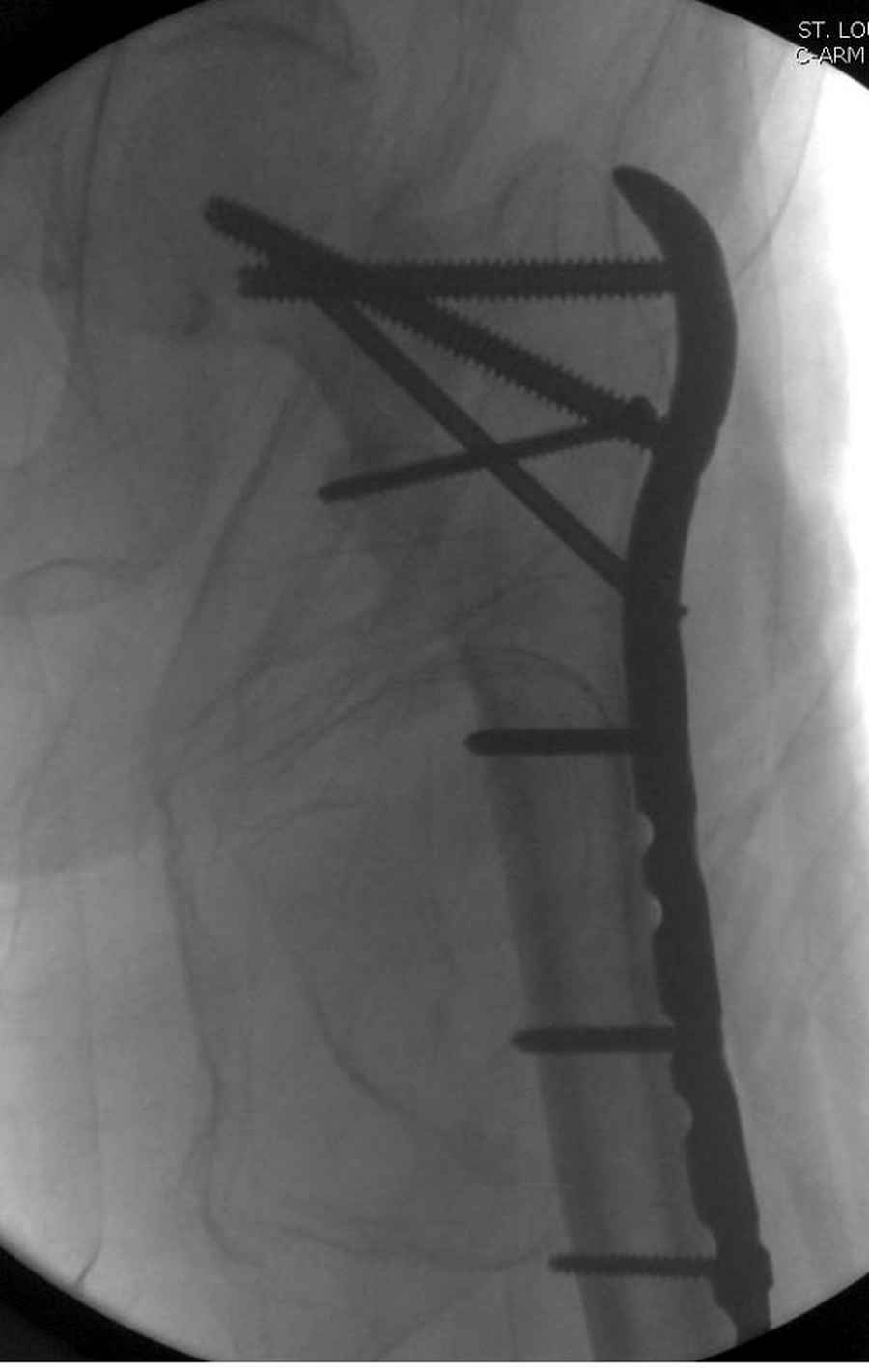
Здесь пара случаев фиксации похожих переломов:
первый высокоэнергетическая травма 36 лет

Djoldas Kuldjanov, M.D.
Department of Orthopedic Surgery
St. Louis University
|
[
Ответить ]
|
Re: Чрезвертельный перелом бедра
Отправитель: Djoldas Kuldjanov 25 Август 2009, 22:19
|
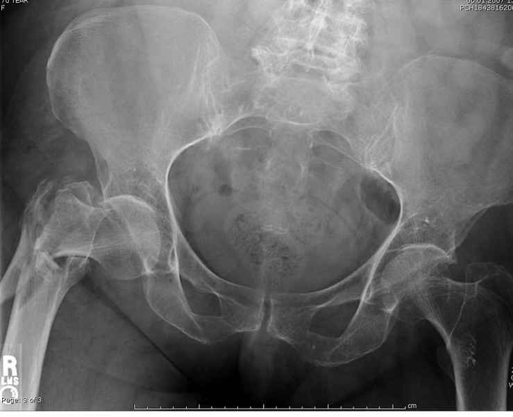
Здесь 83 года, травма в результате падения
Djoldas Kuldjanov, M.D.
Department of Orthopedic Surgery
St. Louis University
|
[
Ответить ]
|
Re: Чрезвертельный перелом бедра
Отправитель: Maxim Agalakov 26 Август 2009, 10:27
|
>Консервативный метод из-за дороговизны обслуживания, особенно в странах с лимитированным ресурсом, и из-за высокого процента осложнения не применяется.
вы же знаете, у нас в стране деньги считаются несколько иначе
>Но современные пластины с угловой стабильностью не отстают от медуллярных конструкций. Межфрагментарные шурупы и имплант как нейтрализирующее создаст адекватную фиксацию.
судя по картинкам с ЭОПа явно использовались приемы непрямой репозиции под его контролем, а так же интраоперационный ЭОП-контроль положения винтов, без такого контроля операция может ухудшить ситуацию (опять же учтите сроки) т.к. результат буде зависеть в большей степени от искусства хирурга, а не от технологии
|
[
Ответить ]
|
|
( Ответить )
|
|