ВХОД ДЛЯ ПАЦИЕНТОВ
вверх
поиск
админ
главная
исходное
|
Re: Огнестрельный перелом бедра
послал Бережной Сергей 12 Октябрь 2009, 22:37
|
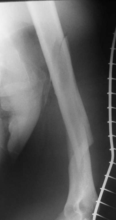
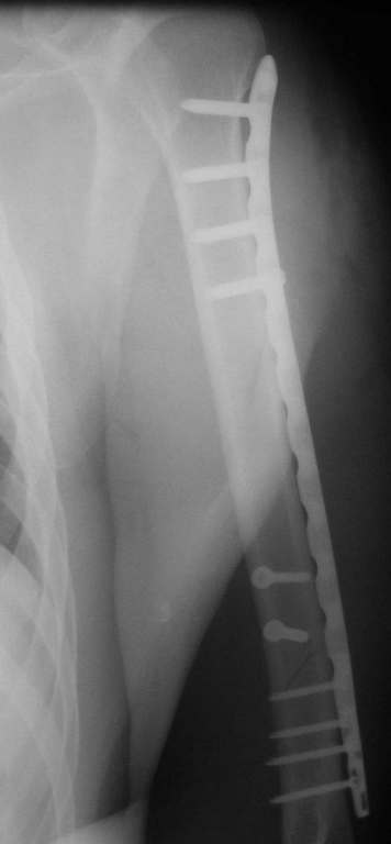
Позвольте привести пример из собственной московской практики в поддержку тактики, приведенной в данном примере. Пациент переведен из одной из московских клиник на 3 сутки после сквозного огнестрельного ранения плеча(пистолет)с ушитыми узловыми швами и дренированными резиновым выпускником ранами на внутренней поверхности плеча с умеренным серозногнойным отделяемым и похожей раной на задненаружной поверхности грудной клетки (пуля прошла через плечо и остановилась в мышцах спины). Также имелись реактивный локтевой бурсит и нейропатия локтевого нерва. При поступлении были сняты швы, начата антибиотикотерапия. Через сутки после травмы пациент прооперирован: выполнена повторная хирургическая обработка ран плеча и грудной клетки. Через отдельные доступы на наружной поверхности плеча произведен минимально инвазивный остеосинтез плечевой кости блокируемой метадиафизарной пластиной. Пациент выписан на 4 сутки после операции. Дальнейшее течение гладкое, все раны зажили первичным натяжением. Еще раз пациент был госпитализирован через 4 месяца после операции с переломом этого же плеча на границе средней и дистальной третей: коллеги по криминальному ремеслу применили к нему слишком жесткие меры убеждения. Выполнен остеосинтез путем замены и добавления винтов в дистальной части пластины. Госпитализация 2 суток. К сожалению, последние снимки не сохранились.

|
Послать ответ |
Обратите внимание: Поля с жирными названиями обязательны.
Старайтесь отвечать в рамках обсуждаемой темы, а не начинать новые обсуждения.
Указывайте адекватную тему сообщения, чтобы было ясно, о чем оно.
Не послайте сообщений не по теме (оффтопик), раздраженных, грубых или обидных комментариев. Здесь это неуместно.
|