Ответить
|
Re: Огнестрельный перелом бедра
Сергей Царицанский 12 Октябрь 2009, 00:47
|
Спасибо за интересную информацию. Нельзя ли чуть подробнее: дренирование сустава, антибиотики, двигательный режим.
|
[
Ответить ]
|
Re: Огнестрельный перелом бедра
ARANBITSKI VITALY 12 Октябрь 2009, 13:50
|
Uvajaemii kolega Nikita Zadneprovski . Vsvazi s predstavlennim vami slucaem u mena vozniklo neskolko voprosov po taktike vedenia dannogo pacienta .
1. NA skolko ia ponimau rech idet o otkritom vnutrisustavnom perelome Gastlo-3A , C-1 AO , distalnogo bedra , v takom slucaee vremennoi faktor mejdu traumoi i operaciei imeet cordinalnoe , aporoi i jiznenno vajnoe znacenie / s moei tocki zrenia mirovoi praktiki vremennoe okno do operacii v idiale ne doljno sostavlat bolee 6 casov./
2. Pervicnaia fixacia dannogo pereloma pri pomoshi dvux LOCKING PLAITE - eto s moei tocki zrenia naimenie udacnaia combinacia dla dannogo pacienta .
3.Isxoda iz moego licnogo opita , opita nashei cliniki , i v sootvetstvii s mejdunarodnimi standartami , ia scitau cto nailutshim leceniem dla dannogo pocieta / minimizirueshee opasnost gnoinix osljnenii / bilo bi : 1. nemedlennoe nalojenie EXTERNAL FIXASHION /kak opcia apparat Ilizarova /, posle shirokoi xirurgiceskoi obrabotki ran .
2 .antibioticoterapia -
/CEFOMEZIN , GARAMECIN/ vnutrivenno v tecenie 7 dnei .
3. otsrocenoe nalocenie plat cerez 2 nedeli / ili prodoljenie definitivnogo lecenie na apparate Ilizarova /.
4. Bilo bi kra'ne interesno prosledit' za dal'neishe' sud'bo' dannogo patsienta
S uvajeniem Aranbitski Vitali MD
ISRAEL . ASAF-AROFE MEDICAL CENTER
DEPORTAMENT OF ORTOPEDIC SURGERY
|
[
Ответить ]
|
Re: Огнестрельный перелом бедра
Бережной Сергей 12 Октябрь 2009, 22:37
|
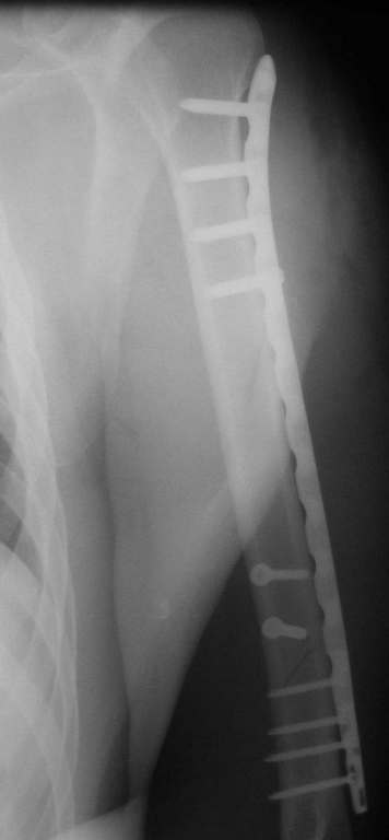
Позвольте привести пример из собственной московской практики в поддержку тактики, приведенной в данном примере. Пациент переведен из одной из московских клиник на 3 сутки после сквозного огнестрельного ранения плеча(пистолет)с ушитыми узловыми швами и дренированными резиновым выпускником ранами на внутренней поверхности плеча с умеренным серозногнойным отделяемым и похожей раной на задненаружной поверхности грудной клетки (пуля прошла через плечо и остановилась в мышцах спины). Также имелись реактивный локтевой бурсит и нейропатия локтевого нерва. При поступлении были сняты швы, начата антибиотикотерапия. Через сутки после травмы пациент прооперирован: выполнена повторная хирургическая обработка ран плеча и грудной клетки. Через отдельные доступы на наружной поверхности плеча произведен минимально инвазивный остеосинтез плечевой кости блокируемой метадиафизарной пластиной. Пациент выписан на 4 сутки после операции. Дальнейшее течение гладкое, все раны зажили первичным натяжением. Еще раз пациент был госпитализирован через 4 месяца после операции с переломом этого же плеча на границе средней и дистальной третей: коллеги по криминальному ремеслу применили к нему слишком жесткие меры убеждения. Выполнен остеосинтез путем замены и добавления винтов в дистальной части пластины. Госпитализация 2 суток. К сожалению, последние снимки не сохранились.

|
[
Ответить ]
|
Re: Огнестрельный перелом бедра
Заднепровский Никита 13 Октябрь 2009, 20:00
|
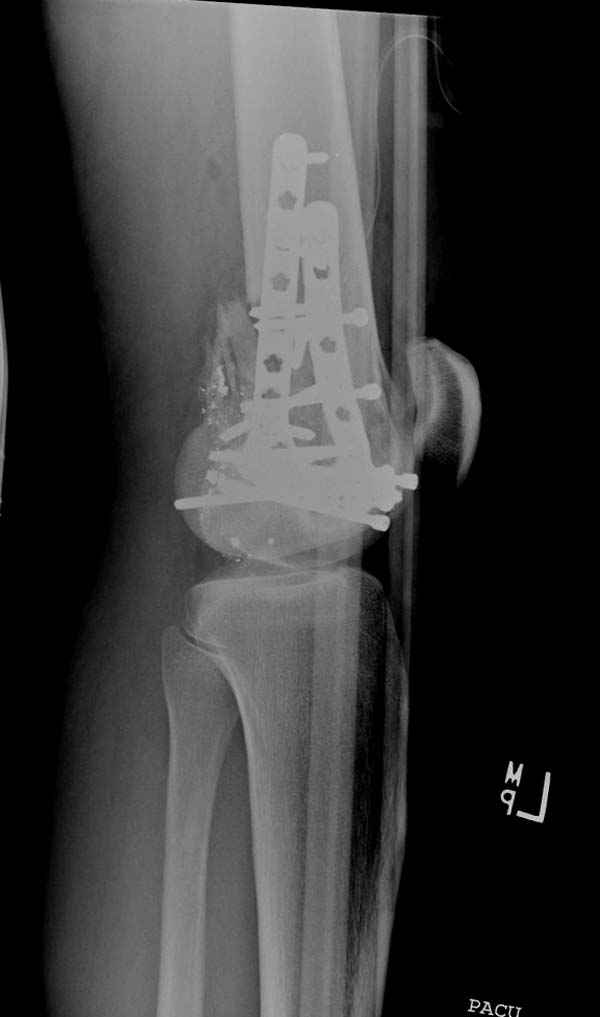
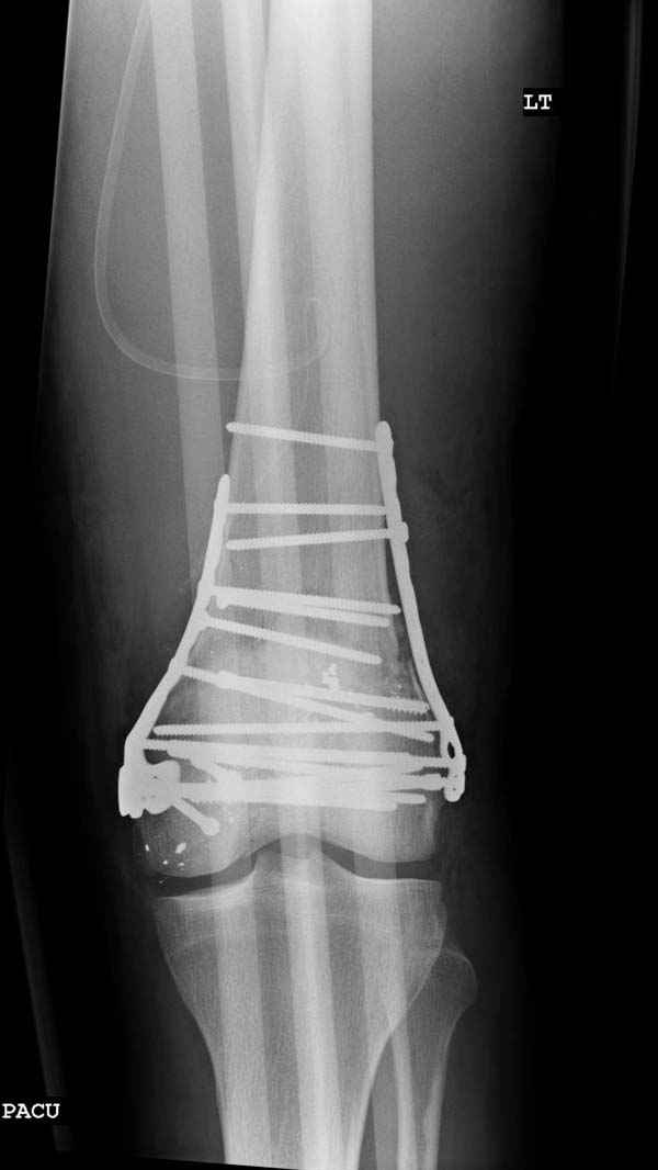
Если идет речь о классификации ран по Gustilo, тогда трудно согласиться с Вашей оценкой, там рана меньше 1 см и подходит больше к первой степени. Такие переломы можно фиксировать любым методом включая пластины и интрамедуллярный способ.
Здесь применен рутинный метод лечения огнестрельных переломов, т.е. рана теоретически чистая, что противоречит принятым ранее догмам . По принятой тактике, при огнестрельных переломах назначаются антибиотики Ancef 1gm каждые 8 часов внутривенно в течение 24 часов. Желательно первую дозу ввести непосредственно перед разрезом.
Переломы с ранами по Gustilo IIIA, согласны, подлежат к отсроченной фиксации после первичной стабилизации в аппарате наружной фиксации.
Сустав не дренировался, но медиально перед закрытием раны под фасцией уложен дренаж Hemovac, который удален через 24 часа.
Менее 30 миллилитров за последнее 3 часа - показания к удалению дренажной трубки. И тут есть свои тонкости. Есть данные, что в дренажной трубке работают 4 самых дистальных отверстия. Остальные обычно <забиваются> и способствуют возникновению тромбов и сгустков фибрина, что может явиться причиной <неработающей> дренажной системы.
Если больной продолжает оставаться в больнице, то после удаления дренажа назначаются реабилитация-разработка сустава на CPM (аппарат для принудительной разработки суставов) с увеличением амплитуды на нарастание.
Хотя многие не дожидаясь СПМ уходят домой, после прохождения теста для применения костылей, (т.е. другими словами, как только пациент становится способным передвигаться с применением дополнительных средств опоры).
|
[
Ответить ]
|
Re: Огнестрельный перелом бедра
Отправитель: Pavel, Western Galilee Hospital, Israel 14 Октябрь 2009, 00:39
|
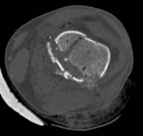
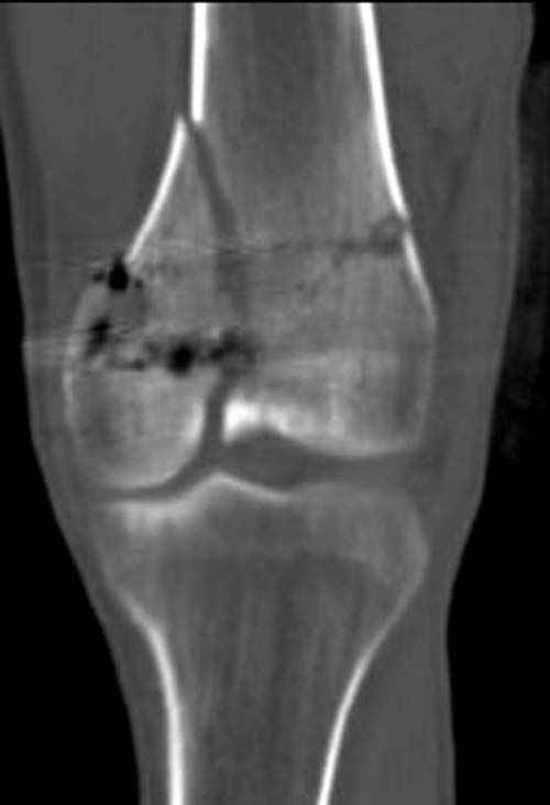
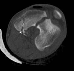
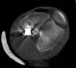
По Густило и Андерсену все high-energy переломы являются III не зависимо от степени повреждения мягких тканей. Plating такого перелома на второй день кажется немного рискованным хотя "победителей не судят". Судя по КТ, медиальный мыщелок стабильный, насколько необходимо было его фиксировать?
|
[
Ответить ]
|
|
Re: Огнестрельный перелом бедра
Ерсин Жунусов 14 Октябрь 2009, 21:50
|
Уважаемые коллеги!
Ближайший результат отличный, скорее всего отдаленный исход будет такой же.
По поводу классификации открытых переломов хотелось бы сказать, что они не всегда, особенно при огнестрельных открытых переломах, в том числе и Gustilio-Anderson, не точно отражают степень повреждения. Точечная пулевая рана мягких тканей, а костных разрушении больше. Поэтому я придерживаюсь такого мнения: истинный тип открытого перелома всегда определяется вовремя ПХО. С уважением Ерсин Жунусов.
|
[
Ответить ]
|
Re: Огнестрельный перелом бедра
Женя 17 Октябрь 2009, 02:41
|
Парни, что здесь обсуждать - сделано все красиво, качественно и быстро.
А вот наша действительоть - нынче дежурю, из другого травмотделения вызывают к больному, мол дурит. Пошел, вижу 22-летнего парня, сидящего на кровати со свешенными ногами, в обл. бугристости б/б - скоба. Сестер возмутил этот его демарш, потому и позвали. А дело в том, что сей пацан с вертельным переломом бедра уже месяц "провисел" на вытяжке, леч. врач сделал сегодня снимки (все хорошо встало!) и "обрадовал" парня - еще 2 недели на привязи, ну и тот к вечеру созрел к бунту. Парень трезвый, адекватный, уболтал его хотя-бы лечь на койку. При беседе выяснилось, что пациенту не было предложено никаких альтернатив вытяжке (ни "бюджетных", ни "коммерческих"), т.е. - запланированное консервативное лечение. Круто? Можно не комментировать, итак морда горит огнем.
|
[
Ответить ]
|
Re: Огнестрельный перелом бедра
Отправитель: Дмитрий 23 Октябрь 2009, 16:35
|
Уважаемые коллеги!
Красиво и быстро?! - две пластины + 18 шурупов.
Идеальная репозиция?! -На снимочке A-P проeкции видна "зазубрина" по суставной поверхности, латеральный снимок - тоже не идеально.
Множество мелких FB в кости.
Выписан через 3 дня после операции - как минимум,надо 7 дней i.v. антибиотикотерапию.
Даже если не возникнет септических осложнений, скорей всего исход - нетрудоспособность(disability).
IMHO- ПХО,активный дренаж, и если не аппарат наружной фиксации,то даже вытяжение за бугристость б/б кости.
Интересно узнать результаты "на сегодня".
С ув.Дмитрий
|
[
Ответить ]
|
Re: Огнестрельный перелом бедра
Отправитель: Zadneprovskiy Nikita 23 Октябрь 2009, 17:44
|
Самой интересной оказалась информация о количестве пролечиваемых огнестрельных ранениях в этом госпитале. Около 300-360 в год! Т.е. почти по одному огнестрелу в день. Кто может предоставить подобную статистику? Не думаю, что тактика клиники расчитана на лечении осложнений связанных с неправильным ведением/лечением такого вида повреждений. ;))) Второе, прием антибиотиков можно ведь продолжить и амбулаторно, необязательно при этом занимать койку в стационаре.
Но, если ув. Дмитрий имеет более весомый опыт в лечении подобных огнестрельных ранений, то пожалуйста, поделитесь своим skill and experience с клиническими примерами. Нам всем будет крайне интересно выслушать Ваше мнение.
Никита Заднепровский
|
[
Ответить ]
|
Re: Огнестрельный перелом бедра
Отправитель: Дмитрий 23 Октябрь 2009, 21:57
|
Я сторонник DAMAGE CONTROL ORTHOPAEDIC SURGERY
http://www.hwbf.org/ota/dco/pape1/exp.htm
|
[
Ответить ]
|
Re: Огнестрельный перелом бедра
Отправитель: Zadneprovskiy Nikita 23 Октябрь 2009, 23:10
|
У рассматриваемого пациента изолированное огнестрельное ранение бедра. Больной в сознании, не погибал от кровопотери, не в шоке, не в гиповолемии, в общем, компенсированный.
Какова целесообразность применения DC в данном конкретном случае???
Никита Заднепровский
|
[
Ответить ]
|
Re: Огнестрельный перелом бедра
Отправитель: Дмитрий 24 Октябрь 2009, 01:33
|
- Не только это, еще и риск септических осложнений.
И еще цитата: Штейнле А.В. "Тактика orthopaedic damage control ..."
<Сутью «Orthopaedic damage control» является ранняя быстрая временная фиксация переломов наименее травматичным способом с последующим окончательным лечением ...>
Да, вообще то, речь не об этом.Я высказал свое личное мнение по тактике лечения данных переломов, основанное как на моем опыте( думаю у каждого травматолога за 15-20 лет работы найдется вспомнить пару-тройку похожих случаев),так и на опыте моих коллег и данных литературы.
С ув.Дмитрий
|
[
Ответить ]
|
Re: Огнестрельный перелом бедра
Отправитель: Zadneprovskiy Nikita 24 Октябрь 2009, 11:53
|
>И еще цитата: Штейнле А.В. "Тактика orthopaedic >damage control ...".
http://surgery2009.tomsk.ru/index.php?option=com_content&task=view&id=265&Itemid=41
Еще одна статья из томского военно-медицинский института по этому же поводу:
Штейнле А.В. в лечении сочетанных ранений.
http://surgery2009.tomsk.ru/index.php?option=com_content&task=view&id=264&Itemid=41
Наверно Вы эти статьи имели ввиду, но почему-то выборочно вырвали из общей канвы контекста, что, согласитесь, меняет смысл сказанного.
Прошу прощения если я неразборчиво напечатал до этого. Еще раз, у больного изолированное низкоэнергетическое пистолетное пулевое ранение дистального отдела бедра. Для чего подходить к нему с позиции DC я так и неуяснил.
> Сутью является >ранняя быстрая временная фиксация >переломов >наименее травматичным способом с последующим >окончательным лечением >...
Почему-то опять цитата Вами приведена не полностью. Вот как в оригинале звучит она в статье не в урезанном виде:
<Сутью является ранняя быстрая временная фиксация переломов наименее травматичным способом с последующим окончательным лечением после полной стабилизации состояния пациентов>.
Опять же речь идет о пациентах с политравмой, пограничных состояниях, что к данному случаю не имеет никакого отношения.
> Не только это, еще и риск септических >осложнений
Считается, что такие переломы с минимальным риском инфицирования и достаточно применять антибиотики широкого спектра действия в течение 48 часов.
< : Low velocity gunshot wounds require a brief course of broad spectrum intravenous prophylactic antibiotics and limited surgical debridement of the wound. Definitive stabilization should consist of locked, reamed, intramedullary nailing for low velocity injuries, and non-reamed nailing for high velocity injuries. External or plate fixations are best reserved for the more severe Grade IIIC injuries :>
Management of civilian gunshot injuries of the femur A review of the literature
Injury, Volume 29, Issue null, Pages S18-S22
J.Tejan, R.Lindsey
http://linkinghub.elsevier.com/retrieve/pii/S0020138398001004
>IMHO- ПХО,активный дренаж, и если не аппарат >наружной фиксации,то даже >вытяжение за >бугристость б/б кости.
Да, такая тактика применялась в конце 70-х с начале 80-х годов, но имела свои недостатки. Так, лечение скелетным вытяжением длилось 47 дней и в гипсовой повязке 97 дней и связанно было с осложнениями характерными для длительной иммобилизации (контрактуры, пролежни, пневмонии и т.д.). Полностью эволюцию подхода к лечению огнестрельных ранений можно посмотреть в Rockwood and Green's Fractures in Adults.
http://books.google.com/books?id=9XCnfKcv9rcC&pg=PA464&lpg=PA464&dq=gunshot+femor+infection&source=bl&ots=qMOIFkx3ob&sig=WGyOnfSsrugCSL4adlxsEnv5nnA&hl=ru&ei=kXLiStKYIZGQsAaG0_SCAw&sa=X&oi=book_result&ct=result&resnum=1&ved=0CAgQ6AEwAA#v=onepage&q=&f=false
>Да, вообще то, речь не об этом.Я высказал свое >личное мнение по тактике лечения >данных >переломов, основанное как на моем опыте( думаю >у каждого травматолога за >15->20 лет работы >найдется вспомнить пару-тройку похожих >случаев),так и на опыте >моих >коллег и данных >литературы
Но Вы не привели ни одного клинического примера и ни списка литературы коими Вы пользовались. Может быть, действительно, эти самые 2-3 примера из Вашей 20 практики прольют свет и покажут правильное положение дел на самом деле и подскажут истинное направление куда надо двигаться.
Никита Заднепровский
|
[
Ответить ]
|
Re: Огнестрельный перелом бедра
Отправитель: Alexander Chelnokov 25 Октябрь 2009, 10:21
|
DC - подход при политравме, и не имеет отношения к стабильным пациентам с изолированным повреждением, для которых традиционная тактика Early Total Care по-прежнему вполне уместна.
Первичный остеосинтез пластинами при огнестрельном ранении, конечно, выглядит необычно для xUSSR и тех мест, где работают выпускники отечественных школ.
|
[
Ответить ]
|
|
Re: Огнестрельный перелом бедра
Шолпан 09 Январь 2011, 20:35
|
У моего сына ложный сустав шейки правого бедра. Мне необходимо связаться с проф. Д.Кульджановым для консультации. Очень Вас прошу Выслать его Email или номера телефонов.
|
[
Ответить ]
|
( Ответить )
|
|