ВХОД ДЛЯ ПАЦИЕНТОВ
вверх
поиск
админ
главная
исходное
|
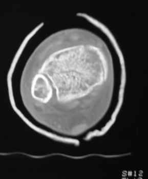
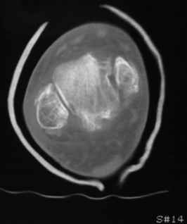
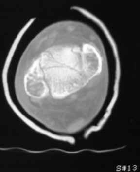
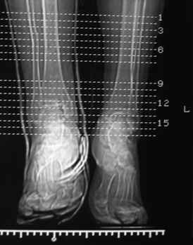
Остеопороз (продолжение 3) - данные КТ
послал Юрий Алексеевич Булахтин 07 Ноябрь 2009, 16:27
|
Уважаемые коллеги!
Продолжая тему представляю данные КТ нашей пациентки.
Вопросы к сообществу - в сообщении №2.

Юрий Алексеевич Булахтин
|
Послать ответ |
Обратите внимание: Поля с жирными названиями обязательны.
Старайтесь отвечать в рамках обсуждаемой темы, а не начинать новые обсуждения.
Указывайте адекватную тему сообщения, чтобы было ясно, о чем оно.
Не послайте сообщений не по теме (оффтопик), раздраженных, грубых или обидных комментариев. Здесь это неуместно.
|