Ответить
|
Re: Остеопороз
Alexander Chelnokov 28 Октябрь 2009, 21:15
|
ЮАБ> Рекомендуем первичный артродез.
Суставная поверхность что, сильно повреждена?
Есть снимки без гипса?
|
[
Ответить ]
|
Re: Остеопороз
Евгений Д 28 Октябрь 2009, 21:54
|
Конечно, хочется увидеть первичные рентгенограммы без гипса. Не совсем понятно, почему хочется выполнить артродез.....Выбор имплантатов для синтеза данного перелома велик, разве остеопороз является показанием для артродеза?
|
[
Ответить ]
|
Re: Остеопороз
Djoldas Kuldjanov, M.D. 28 Октябрь 2009, 23:17
|
При наличии сохранного сустава предлагамый артродез голеностопа мне кажется немного агрессивным методом решения проблемы молодой женщины.
Если из-за остеопороза имеется риск несостоятельности фиксации, тогда можно предложить консервативный метод лечения. Наверное, повторная репозиция улучшит положение отломков, и новые снимки сустава в стандартной укладке: прямая, боковая и мортиз.
Если у больной отсутствуют противопоказания к операции, тогда оперативная коррекция двухлодыжечного перелома. Современные пластины с
угловой стабильностью увеличивают шанс адекватной фиксации остеопорозных состояний, хотя стандартные методы фиксации с дополнительным гипсом также справятся с задачей.
|
[
Ответить ]
|
Re: Остеопороз
Андрей Мелешкин 28 Октябрь 2009, 23:25
|
Какова давность травмы? Покажите свежие снимки без гипса.
|
[
Ответить ]
|
Re: Остеопороз
Alexey Semenisty 29 Октябрь 2009, 00:32
|
Юрий Алексеевич, не очень понятно, т.е. совершенно не понятно, почему Вы предлагаете такую тактику? Что же Вас склоняет к выбору артродеза как способа лечения свежего(?) перелома лодыжек?
С уважением, А.Семенистый.
ГКБ № 13, Москва.
|
[
Ответить ]
|
Re: Остеопороз
Александр А. 29 Октябрь 2009, 02:56
|
Уважаемый Юрий Алексеевич!
К сожалению занком с Вами только по Ортофоруму, (очень высокого мнения о Вашем професионализме) честно - информациии действительно маловато. Но я сразу вспомнил БИОС 2008г. в Пущино, когда проф.Беренштейн на докладе по переломам дистального сегмента бедренной кости у лиц пожилого и старческого возраста, приведя в пример порядка 49 наблюдений (точно цифру не помню, да и не важно) доложил, что по их стандартам выполнено 4 или 6 первичных ампутаций, у лиц без перспективы на восстановление функции ходьбы, на что Лазарев А.Ф. в качестве реполики сказал; "А как профилактику перелома не пробовали выполнять первичную ампутацию".
Я думаю всётаки надо побороться.
Кстати через 9-10-ть часов буду оперировать больную с переломом дистального метафиза правой бедренной кости (ретроградно БИОС), больной 91 год.
С уважением Сан Саныч.
|
[
Ответить ]
|
Re: Остеопороз
Alexander Artemiev 29 Октябрь 2009, 14:53
|
Здравствуйте, Юрий.
1. Из представленных снимков в гипсе не складывается впечатление о безысходности ситуации. Зачем сразу артродез? Можно лечить конесервативно, можно оперативно. Думаю, мнения разделятся. Если это свежий перелом.
2. Если даже это финал застарелого перелома, дайте пациентке дозреть до необходимости артродеза. Пусть она приползет к Вам на одной ноге и скажет - всё, спасайте, не могу я больше...
3. Артродез голеностопного сустава - не самая невинная операция в плане прогноза качества жизни и не самая простая в плане техники и достижения
цели - анкилоза.
4. На просторах эксСССР привычнее внешний остеосинтез.
С уважением Александр Артемьев
|
[
Ответить ]
|
Re: Остеопороз
Олег В. Лавриненко 29 Октябрь 2009, 17:43
|
Все коллеги как-то враз заговорили об остеопорозе. Неужели поставили диагноз по снимкам ЧЕРЕЗ ГИПС? Не рискну. Так что диагноз остеопороза - не факт, а лишь предположение, основанное только на 62-летнем возрасте. Этого мало.
Снимков через гипс, увы, недостаточно и для ответа на вопрос Ю.А.Булахтина. Рентгенограммы - в студию!
Лечится и не в таком возрасте внешней фиксацией с очень хорошими функциональными результатами. НО: только если действительно владеете мметодикой, а не просто "накладываете аппараты". Оперировать надо всерьёз: с созданием щита сустава (лучше - тонким стержнем косо в наружную лодыжку), с рамкой, а не полукольцом на стопе...
Подробнее - увы, только после получения первичных снимков. По этим, повторюсь, обоснованность Ваших, столь радикальных, намерений, сомнительна.
О.В.Лавриненко, каф. травматологии и ортопедии Донецкого медуниверситета
|
[
Ответить ]
|
Остеопороз (продолжение 1)
Юрий Алексеевич Булахтин 02 Ноябрь 2009, 15:55
|
Уважаемые коллеги!
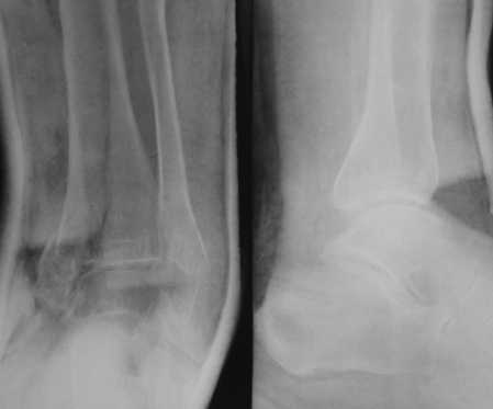
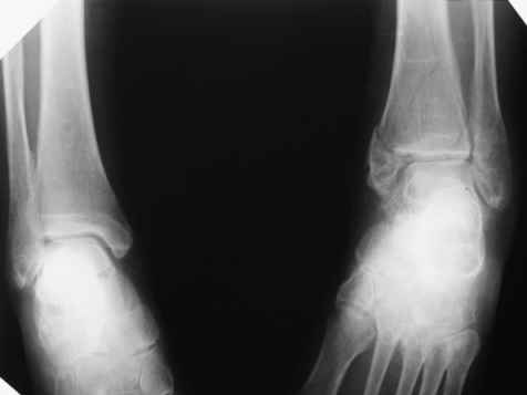
Огромное спасибо всем, кто участвует в обсуждении случая! Приношу глубочайшие извинения и участникам дискуссии и тем, чье внимание просто отвлек своим сообщением. В цейтноте получилось так, что на форум, необоснованно, отправил свои предварительные соображения. Хронология событий следующая. Пришла больная, на руках тот снимок в гипсе, который я выложил. Рассказала, что в 1999г. ломала на этой-же голени обе кости в средней 1/3. Травма тоже была неадекватно низкоэнергетическая - стояла на остановке, шагнула, оступилась - оскольчатые переломы обеих костей. Пластина на большеберцовую. Сросталось долго, линии перелома прослеживались на протяжении 5 лет. Теперешний перелом после того как оступилась в квартире.
Я порассуждал о том, что у нее есть, видимо, системные проблемы с прочностью костей и это МОЖЕТ СУЩЕСТВЕННО ПОВЛИЯТЬ НА ВЫБОР МЕТОДА ОПЕРАТИВНОГО ЛЕЧЕНИЯ, вплоть до артродеза. Предложил начать с замены гипсовой повязки и репозиции для уменьшения отека, столь ее беспокоившего. Которую и выполнил. При попытке R-контроля выяснилось, что кабинет в данный момент обесточен на неопределенный срок. Отправив больную домой я, некорректно по форме, материализовал свои соображения в виде предыдущего сообщения на Форуме.

|
[
Ответить ]
|
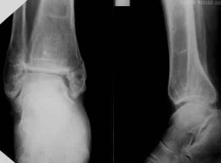
Re: Остеопороз (продолжение 2)
Юрий Алексеевич Булахтин 05 Ноябрь 2009, 10:40
|
Посмотрели снимки после репозиции - не понравилась зона синдесмоза.
Сделали 3/4-е - впечатление, что в 99-том там что-то было. На
5.11.09г. запланирована КТ.
На сегодня остаются, хотя и в более осторожной формулировке, вопросы
по дальнейшему лечению:
1. С учетом анамнеза и развалившегося метаэпифиза, можно-ли
надеяться на консолидацию если оставить все "как есть"?
2. Если "нет", то каков рациональный объем хирургической агрессии?
3. Следует-ли считать правомерным следующее предположение:
"Отказавшись от операции сейчас, под давлением аргументов об
удовлетворительном стоянии отломков, мы упускаем время для
остеосинтеза, а через три месяца, констатировав несращение,
вынуждены будем планировать артродез в гораздо менее благоприятных
условиях."
С уважением, Юрий Алексеевич Булахтин
P.S. Больная сегодня привела свой аргумент против артродеза:
"Представила себя с негнущейся стопой: боюсь, что ею я тем более буду
за все цепляться и очень скоро поступлю к Вам с новыми переломами!"
-
Косая после репозиции.JPG
79KB (81487 bytes)
|
[
Ответить ]
|
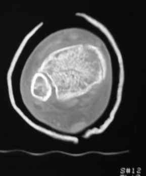
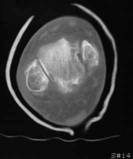
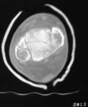
Остеопороз (продолжение 3) - данные КТ
Юрий Алексеевич Булахтин 07 Ноябрь 2009, 16:27
|
Уважаемые коллеги!
Продолжая тему представляю данные КТ нашей пациентки.
Вопросы к сообществу - в сообщении №2.

Юрий Алексеевич Булахтин
|
[
Ответить ]
|
( Ответить )
|
|