вверх
отправить
поиск
админ
главная
|
Отправлено Zadneprovskiy Nikita 23 Ноябрь 2009, 22:28
Уважаемые коллеги.
В июне 2009 года, при рассверливании канала произошел ожог передней стенки ББК. Со слов оперировавшего хирурга: «Не обратил внимания на то, что головка римера уперлась, и спохватился только в тот момент, когда прямо на глазах появилась яркая гиперемия кожи над этим местом». Никаких действий по этому поводу не предпринималось. (Интересно, а что можно было бы осуществить в таком случае?). Операция была закончена, пациент выписан. Вскоре образовался некроз, пациент лечился в стационаре. Попытка хирурга закрыть дефект ротационным кожным лоскутом не увенчалась успехом. Больной выписан.
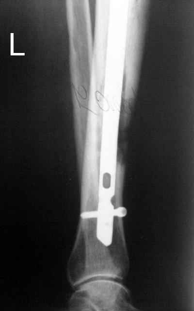
Итак, в настоящий момент больной пришел к нам с полной нагрузкой на оперированную конечность и с такой картиной (см. приложение). Участок мягких тканей с передней стенкой нижней трети ББК, выгнил и представляет дефект 2×2,5 см. На перевязке - циркулярный(?) некроз костной трубки.
Пациенту за 70 лет. Мои соображения: 1 этап - резекция tibia + косая остеотомия fibula + «острое» укорочение + IM цемент-гвоздь с а/б + beads. 2 этап (по заживлению раны) – удаление цемент-гвоздя + (LATN) Lengthening and Then Nailing. Прошу помощи по тактике.Никита Заднепровский
<
|
>
|
|
Ответить
|
Re: Некроз ББК
Alexander Chelnokov 23 Ноябрь 2009, 22:53
|
По увиденному - все это избыточно.
Сегментарного некроза не видно. Есть только краевой дефект спереди, задняя стенка вполне хорошая, и со стержнем есть условия для ее утолщения со временем. Так что проблему должна решить местная санация (если доступно, использовать VAC). Если грануляции не закроют все, что надо закрыть, придется делать пластику полнослойным лоскутом. Идеально бы - с микроососудистым анастомозом.
Вообще, случай исключительный. Не то чтобы завидно, но внезапное появление яркой гиперемии при рассверливании встречать не доводилось.
Спасибо за представленный случай.
|
[
Ответить ]
|
Re: Некроз ББК
Отправитель: Nikita Zadneprovsky 24 Ноябрь 2009, 22:58
|
Александр Николаевич, спасибо за высказанное мнение. Случай, действительно, казуистический.
|
[
Ответить ]
|
|
Re: Некроз ББК
Djoldas Kuldjanov 24 Ноябрь 2009, 22:49
|
Привет Никита,
В данный момент для лечения мягкотканого осложнения необходимо проведения I&D с очисткой краев кости и покрытием поверхности "VAC". Неоднократные вакуумирование приведет к ускорению образования грануляций и создаст благоприятные условия для улучшения трофики вокруг раны.
На грануляцию кожная пластика, и если затянется закрытие дефекта, тогда остается ротация мышц с кожной пластикой.
Djoldas Kuldjanov, M.D.
Associate Professor
Department of Orthopedic Surgery
St. Louis University
|
[
Ответить ]
|
Re: Некроз ББК
Отправитель: Nikita Zadneprovsky 24 Ноябрь 2009, 22:59
|
Спасибо за комментарии и совет. Будем придумывать VAC из того, что имеется.
|
[
Ответить ]
|
|
Re: Некроз ББК
Pavel Ivanov 24 Ноябрь 2009, 23:08
|
Никита, добрый день.
Спасибо за интересный случай.
Позволю высказать свое мнение. У меня есть сомнения, что задняя стенка большеберцовой кости осталась "здоровой". Если после первой операции костная ткань и могла остаться частично жизнеспособной, то развившаяся гнойная инфекция наверняка способствовала окончательному некрозу кости.
Я бы, наверное, после удаления штифта сосредоточился на определения жизнеспособности кости по задней поверхности. Если будут сомнения, то я бы сделал резекцию.
Тогда можно рассмотреть вопрос одновременного удаления штифта, мышечной (в данной области применим проксимально отсеченный лоскут камбаловидной мышцы) или микрохирургической (что более надежно) пластики дефекта мягких тканей, остеотомии проксимального фрагмента большеберцовой кости, остеосинтеза блокируемым штифтом с а/б покрытием, наложения простого аппарата Илизарова (можно из полуколец) для дистракции на штифте. При данном варианте пациент сохраняет возможность полной опоры на ногу, что очень важно для заживления у пожилого пациента) и отпадает необходимость в проведении дополнительный операций (при благоприятном развитии событий).
Повторяю, что все это я бы затевал, при сомнениях в жизнеспособности кости.
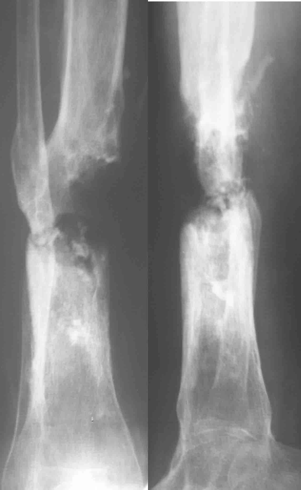
Выкладываю картинки похожей пациентки. Извините, что без окончательных снимков (сейчас их нет под рукой). Правда мы имели проблемы у данной больной после снятия аппарата, когда промежуточный фрагмент большеберцовой кости сместился на 1,5 см дистально и отошел от проксимальной части кости. До сих пор у пациентки на снимках определяется лишь тонкая полоска кости по задней поверхности за штифтом (образовалось что-то вроде маленького регенерата)в области стыковки промежуточного и проксимального фрагментов. Больная пока решила подождать. Не хочет оперироваться, так как ходит не хромая, работает.

Никита, желаю удачи.
Pavel Ivanov
Sklifosovsky Clinical and Research Institute for Emergency Medicine
Polytrauma Department
3, Bolshaya Sukharevskay sq.
Moscow, 129090 Russia
|
[
Ответить ]
|
Re: Некроз ББК
Отправитель: Nikita Zadneprovskiy 24 Ноябрь 2009, 23:11
|
Павел, здравствуйте.
> Я бы, наверное, после удаления штифта сосредоточился на определения
> жизнеспособности кости по задней поверхности.
Появления "paprika sign" или другие методики? На перевязке костная IM стенка тусклая, сухая.
С другой стороны, на R снимке склероза не видно. Интенсивность задней стенки идентична участкам выше и ниже дефекта. Скелетирования в анамнезе не было, что подразумевает наличие живой надкостницы. Опять же, какова была
глубина ожога?
> мышечной (в данной области применим проксимально отсеченный лоскут
> камбаловидной мышцы)
Павел, применить можем только перемещенный мышечный лоскут.
Были ли неудачи у этой методики лично в Вашей
практике?
|
[
Ответить ]
|
|
Re: Некроз ББК
Alexander Artemiev 24 Ноябрь 2009, 23:22
|
Здравствуйте, Никита и все-все...
Целиком поддержу мнение Павла Иванова.
> Я бы, наверное, после удаления штифта сосредоточился на определения
> жизнеспособности кости по задней поверхности.
Если будут сомнения, то я бы сделал резекцию.
Определение жизнеспособности кости или, точнее, Ваше мнение по поводу жизнеспособности кости является определяющим в тактике лечения.
Я бы не сосредотачивался на сохранении задней стенки, ища прямые или косвенные признаки её жизнеспособности, а сразу пошел на резекцию.
Тем более у Вас нет обязательств перед больным (не Вы же делали первую операцию) и, соответственно, голова холодная...
Радикальная резекция и одномоментное (или даже постепенное) сближение (acute shortening, следуя Вашей лексике) приведут к полному смыканию краев
раны и избавят Вас от хлопот с санацией и закрытием раны. Она закроется сама в течение 1,5 мес.
При этом можете одновременно пойти на удлинение в проксимальном отделе, используя любые известные Вам (и нам) методики.
Лично мне никогда не нравилась тактика низведения фрагментов, а после плотного знакомства с работами Александра Лернера я стал однозначным сторонником тактики острого укорочения, используя её не только в свежих случаях, но и в застарелых, и даже совсем застарелых...
Добавляю свой пятак, не дожидаясь завершения случая, который приберегал "на третье". Выбрал фото мягких тканей.

Кратко: мужчина за 60 лет получил травму 28 лет назад (переехало автобусом). Оперировался десятки раз, в итоге с очередным патологическим переломом, хронической язвой и гипсовой лонгетой попал ко мне... Объективно - остеомиелит, инфицированный ложный сустав (или как его назвать), флегмона по наружной поверхности
голени, укорочение около 5 см.
На операции резекция 8 см, внешний остеосинтез,одновременное сближение примерно на 4 см, а затем постепенное сближение до полного контакта в течение 3 недель. Рана с патологически измененными краями, имевшая на операции размеры примерно 4-5 на 10-12 см закрылась самостоятельно в течение примерно 2-х мес. Ну не самостоятельно, конечно, а с нашей помощью, но без пластики.
Сейчас в аппарате вытянул около 6 см в верхней трети.
Желаю удачи.
С уважением Александр Артемьев
|
[
Ответить ]
|
( Ответить )
|
|