ВХОД ДЛЯ ПАЦИЕНТОВ
вверх
поиск
админ
главная
исходное
последующие
|
Re: Перелом плеча - тактика лечения
послал Alexander Chelnokov 18 Февраль 2010, 02:02
|
>антероградный - 30 процентов имеют боль в плече, связанную с повреждением ротаторной манжеты
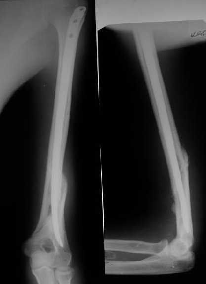
Мы в последние годы все еще используем для переломов такой локализации эластичные титановые стержни (по мотивам ярославских разработок, Зверева-Ключевского). Такой стержень можно вводить не через сухожилие надостной мышцы, а дистальнее.

Снимки до, через 1 и 2 мес. после синтеза.
|
| Послать ответ |
Обратите внимание: Поля с жирными названиями обязательны.
Старайтесь отвечать в рамках обсуждаемой темы, а не начинать новые обсуждения.
Указывайте адекватную тему сообщения, чтобы было ясно, о чем оно.
Не послайте сообщений не по теме (оффтопик), раздраженных, грубых или обидных комментариев. Здесь это неуместно.
|