вверх
отправить
поиск
админ
главная
Предыдущее
|
Re: Перелом плеча - тактика лечения
Адонин 17 Февраль 2010, 20:54
|
Кто что любит - тот то и советует. Странно, что еще нет предложений наложить аппарат:)
Золотой стандарт лечения длинного косого перелома диафиза плеча - консервативное лечение - достаточно открыть любой англоязычный учебник.
Не вижу не малейшего смысла оперировать то, что прекрасно срастется само. Пластина - 5 процентов параличей луча, 1-2 процента инфекции, стресс-переломы в будущем.
Ретроградный гвоздь славится надмышечными переломами, антероградный - 30 процентов имеют боль в плече, связанную с повреждением ротаторной манжеты
Посмотрите внизу страницы - буквалоьно несколько дней назад я инициировал обсуждение по достаточно схожему случаю
|
|
|
Ответить
|
Re: Перелом плеча - тактика лечения
Владимир 17 Февраль 2010, 21:43
|
Уважаемый Юрий Алексеевич! Сколько людей - столько и мнений. В нашей конторе сомнений нет - оперативное лечение. К чему ждать вторичных смещений. Оперируем и довольно часто. Осложнения бывают у всех - на то и хирургия. Работайте аккуратно. Имею в виду накостный остеосинтез. Хотя тема для разговора довольно обширная - что делать с фиксатором после сращения - удалять или нет? У молодого человека - вроде бы надо, но опять операция, опять нерв сниться будет. Не удалять - больному будет сниться пластина... Поговорите с больным, объяснтие все "за" и "против" - он тоже участник процесса лечения.
Вы же можете все, выберите оптимальный вариант для Вас обоих.
Пользуясь случаем - большой привет М. Васильеву (не считаю зазорным передать привет коллеге, пользуясь ресурсами сайта).
|
[
Ответить ]
|
Re: Перелом плеча - тактика лечения
Alexander Chelnokov 18 Февраль 2010, 02:02
|
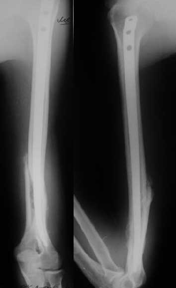
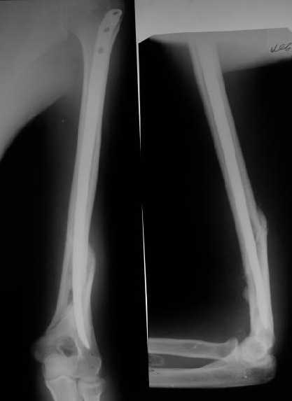
>антероградный - 30 процентов имеют боль в плече, связанную с повреждением ротаторной манжеты
Мы в последние годы все еще используем для переломов такой локализации эластичные титановые стержни (по мотивам ярославских разработок, Зверева-Ключевского). Такой стержень можно вводить не через сухожилие надостной мышцы, а дистальнее.

Снимки до, через 1 и 2 мес. после синтеза.
|
[
Ответить ]
|
( Ответить )
|
|