ВХОД ДЛЯ ПАЦИЕНТОВ
вверх
поиск
админ
главная
исходное
|
Re: Голеностопный артродез vs остеосинтез
послал Бережной Сергей 01 Май 2010, 14:39
|

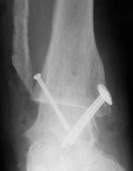
На фоне свищевой формы остеомиелита (скорее всего, речь идет об этом) о любой одноэтапной реконструктивной операции думать сложно. Если же все-таки решаться на одноэтапную операцию, то только убедившись, что гнойный процесс ограничивается внутренней лодыжкой. В этом случае возможен артродез с резекцией лодыжек (как на представленной рентгенограмме). Подобная операция позволяет относительно легко установить кости в оптимальное для артродеза положение, а также устранить гнойный очаг.
|
| Послать ответ |
Обратите внимание: Поля с жирными названиями обязательны.
Старайтесь отвечать в рамках обсуждаемой темы, а не начинать новые обсуждения.
Указывайте адекватную тему сообщения, чтобы было ясно, о чем оно.
Не послайте сообщений не по теме (оффтопик), раздраженных, грубых или обидных комментариев. Здесь это неуместно.
|