Ответить
|
Re: Голеностопный артродез vs остеосинтез
Dr. A. Liberson 01 Май 2010, 14:02
|
Well, This is a difficult case and the decision is not easy. I myself would look for every reason to fuse, for example obesity or Diabetes. Nobody would judge you if you choose reduction-a large operation on both malleoli with extensive approach, but I am not sure that this will work. You currently have an discharging incongruent joint bearing weight. I would consider a two steps procedure probably, depending on what you find inside the joint during surgery(First step- beats, second-fusion).
Good luck
AL
|
[
Ответить ]
|
Re: Голеностопный артродез vs остеосинтез
Бережной Сергей 01 Май 2010, 14:39
|

На фоне свищевой формы остеомиелита (скорее всего, речь идет об этом) о любой одноэтапной реконструктивной операции думать сложно. Если же все-таки решаться на одноэтапную операцию, то только убедившись, что гнойный процесс ограничивается внутренней лодыжкой. В этом случае возможен артродез с резекцией лодыжек (как на представленной рентгенограмме). Подобная операция позволяет относительно легко установить кости в оптимальное для артродеза положение, а также устранить гнойный очаг.
|
[
Ответить ]
|
Re: Голеностопный артродез vs остеосинтез
Отправитель: Андрей Волна 03 Май 2010, 11:00
|
Сергей, в случае гнойного остеоартрита голеностопного сустава - резекция сустава с артродезированием аппаратом (я предпочитаю
Илизарова, но, возможны варианты) не только реконструктивная, но и санирующая операция. И наоборот. Конечно, это опасно при использовании погружных конструкций. Но это одна из ситуаций, когда аппарат необходим, тк зачастую трудно добиться прекращения гнойного процесса без формирования надежного костного анкилоза. Поэтому я бы предпочел здесь одноэтапное вмешательство с послеоперационной нагрузкой весом тела в аппарате. С уважением, Волна
|
[
Ответить ]
|
|
Re: Голеностопный артродез vs остеосинтез
Алексей Семенистый 02 Май 2010, 14:51
|
При поступлении произведено вправление вывиха, трансартикулярная фиксация голеностопного сустава спицами и ПХО раны.
Когде же наконец мы прекратим применять эту порочную методику!
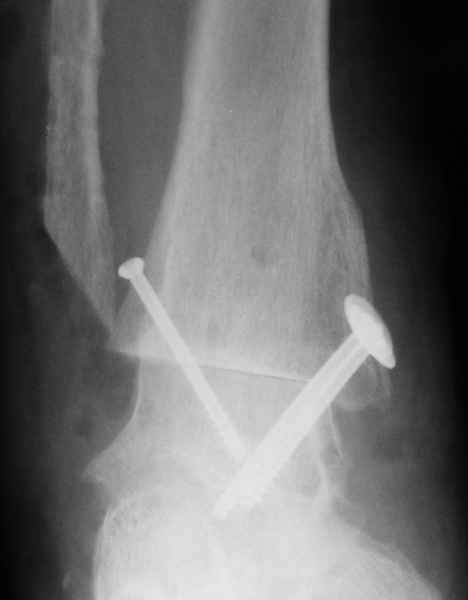
1. Остеотомия н/лодыжки по месту перелома и остеосинтез
Бесперспективно и более того опасно!
2. Артродез
Наиболее адекватный путь. Учитывая, что есть хроническая инфекция, в один этап делать нельзя. Ревизия, дебриднент, фиксация в аппарате. Закончится инфекция , приступайте непосредственно к созданию артродеза тем способом, которым владее (аппарат, винты, штифт?)
3. Консервативное лечение с последующим артродезом (когда "совсем плохо будет")
"кода совсем плохо будет", может закончится ампутацией
Стоит ли еще "побороться за этот сустав"?
Не соит!
С уважением, А.Семенистый.
ГКБ № 13, Москва.
|
[
Ответить ]
|
Re: Голеностопный артродез vs остеосинтез
Отправитель: Михаил 03 Май 2010, 17:10
|
Уважаемый Алексей! Эта порочная методика применяется во всех ЦРБ страны, т.к. "по дежурству" нет ничего более доступного и дешёвого. К сожалению!
|
[
Ответить ]
|
Re: Голеностопный артродез vs остеосинтез
Отправитель: Алексей Семенистый 03 Май 2010, 19:50
|
Есть! Например, любой АНФ: стержневой,спицевой... Они есть в любой црб. Все дело в лени и необразованности тех, кто это делает
|
[
Ответить ]
|
Re: Голеностопный артродез vs остеосинтез
Отправитель: Кучерявый Игорь 04 Май 2010, 17:41
|
А чем хуже вытяжение до операции, если невозможен АВФ? Самое простое решение. И соблюдается принцип "не навреди". )))
С уважением,
Кучерявый Игорь,
г. Сергиев Посад.
|
[
Ответить ]
|
Re: Голеностопный артродез vs остеосинтез
Отправитель: Алексей Семенистый 04 Май 2010, 18:20
|
Вытяжение хуже неадекватностью (нестабильностью) фиксации, что очень важно для заживления мягких тканей. АНФ должен быть доступен ургентно в каждой црб.
Вытяжение, если обеспечивает удержание стопы в вилке, лучше, чем трансартикулярная фиксация спицами
|
[
Ответить ]
|
Re: Голеностопный артродез vs остеосинтез
Отправитель: Кучерявый Игорь 04 Май 2010, 18:30
|
Согласен, вытяжение может рассматриваться только в таком аспекте. )))
|
[
Ответить ]
|
Re: Голеностопный артродез vs остеосинтез
Отправитель: Александр Петрушин 04 Май 2010, 21:46
|
К сожалению, не в любой! "На задворках Великой Империи" существует еще немало ЦРБ, где помощь подобным пациентам осуществляется по методикам 50-60х годов прошлого столетия и в силу ОБЪЕКТИВНЫХ причин срочный остеосинтез и АВФ не могут быть использованы. Так что скелетное вытяжение ( в качестве хотя бы временной меры) еще долго будет в арсенале лечебных методов районных хирургов и травматологов.
С уважением, Александр Петрушин
|
[
Ответить ]
|
Re: Голеностопный артродез vs остеосинтез
Отправитель: Виталий Евгеньевич Казеннов 05 Май 2010, 17:22
|
Поддерживаю. И что самое интересное, в методиках 50-60х годов было больше гуманности. О прибылях околомедицинской индустрии тогда не заботились...
Для начала -- есть ли у ЦРБ лицензия на лечение повреждений скелета?
Травматологи-то там есть? Ну конечно, в Подмосковье есть ЦРБ на тысячу коек, а у нас на Дальнем Востоке ...
С уважением,
|
[
Ответить ]
|
Re: Голеностопный артродез vs остеосинтез
Отправитель: Кучерявый Игорь 04 Май 2010, 18:13
|
По дежурству не найдется 5-7 винтов, третьтрубчатой пластиночки? Через подошву пихать спицы - заведомо инфицировать сустав, и потом уже ничего нельзя будет сделать.
|
[
Ответить ]
|
|
Re: Голеностопный артродез vs остеосинтез
Андрей Волна 02 Май 2010, 19:18
|
Согласен с Алексеем. Сохранять здесь, к сожалению, нечего. Другое дело, что и растягивать удовольствие артродезирования не стоит. Мой выбор - резекция, артродез аппаратом Илизарова. С уважением, Волна
|
[
Ответить ]
|
Re: Голеностопный артродез vs остеосинтез
Алексей Минервин 02 Май 2010, 19:20
|
Спасибо, Алексей Юрьевич и Андрей Анатольевич! Ваше мнение очень весомо. Сам склонялся к артродезу, но штифтом. Действительно, первым этапом все же лучше АВФ.
>Dr. A. Liberson: I myself would look for every reason to fuse, for example obesity...
Да, у дамы килограмм 10-15 точно лишнего веса, что тоже, как я понимаю, в пользу артродеза.
Спасибо за помощь!
А.Минервин.
|
[
Ответить ]
|
Re: Голеностопный артродез vs остеосинтез
Aleksey 03 Май 2010, 00:39
|
Я извиняюсь, но не сочтите за труд объяснить, в чём порочность трансартикулярной фиксация голеностопного сустава спицами? У нас, да и во многих местах широко применяется. Спасибо.
|
[
Ответить ]
|
Re: Голеностопный артродез vs остеосинтез
Отправитель: Андрей Волна 03 Май 2010, 14:01
|
Трансартикулярную фиксацию иногда применяют при нестабильных повреждениях голеностопного сустава.
При этом:
1. Ещё больше повреждается и так уже повреждённый в результате травмы хрящ. 5 спиц диаметром 1, 8 - суммарно практически 1см квадратный дефекта. Плюс неудачные попытки так же повреждают хрящ
2. Инфицирование хотя бы одной спицы мгновенно приводит к распространению процесса на сустав. Особенно опасна методика при открытых переломах и вывихах.
3. Контак с полом невозможен
Поэтому, там, где хочется сделать подобную фиксацию, лучше сразу же сделать внутреннюю или наружную фиксацию (АВФ) в зависимости от состояния мягких тканей.
Волна
|
[
Ответить ]
|
Re: Голеностопный артродез vs остеосинтез
Отправитель: Иван Лобанов 07 Май 2010, 21:20
|
s=пrr (квадрат, тоесть)
s сечения пяти спиц = 3,14*0,9*0,9*5 = 12,717 кв.мм
как известно, в 1 кв. см содержится 100 кв.мм, таким образом, чтобы заполнить сустав одним квадратным сантиметром железа, можно смело всверлить еще шесть таких пучков и один неполный.
Осторожнее с цифрами!
Что касается существа дела, согласен, ждать здесь нечего, только артродез. Но есть нюансы. После удаления хряща поверхности тарана и большеберцовой кости неконгруэнтны, мы широким долотом формируем плоские поверхности на контактирующих участках, конечно, при этом теряем около 1,5-2 см длины конечности, зато уж контакт так контакт.
|
[
Ответить ]
|
Re: Голеностопный артродез vs остеосинтез
Отправитель: Андрей Волна 08 Май 2010, 19:54
|
Да, да, конечно. Простите. Я ведь и в медицинский пошёл только по одной причине - что математику не сдавать... Это не шутка. Только потом понял - вроде моё...
Спасибо. Только осторожнее с резекцией!
Есть и другие варианты.
Спасибо ещё раз, с уважением,
Андрей Волна
|
[
Ответить ]
|
Re: Голеностопный артродез vs остеосинтез
Отправитель: Игорь Редько 11 Май 2010, 00:01
|
......больше 100 не наливай а то: в медицинский пошёл только по одной причине - что математику не сдавать,......, потом: диплом приобрел потому что на остановке другие не продавали, английский выучил - сокамерник на другом не разговаривал и..... - хор.настр...
|
[
Ответить ]
|
Re: Голеностопный артродез vs остеосинтез
Отправитель: Aleksey 03 Май 2010, 14:17
|
Спасибо.
|
[
Ответить ]
|
|
Re: Голеностопный артродез vs остеосинтез
Александр Н.(Самара) 04 Май 2010, 01:53
|
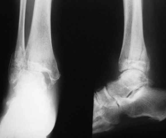
Если принять в качестве причины развития инфекции в области внутренней лодыжки трофические нарушения обусловленные неустраненным подвывихом стопы, то можно предположить что его устранение улучшит ситуацию. На представленной фотографии данных за гнойный артрит нет, имеется местное нагноение мягких тканей. Я бы попробовал накостный остеосинтез малой берцовой и мощный болт стяжку проведенный через отверстие в пластине на медиальную поверхность вне зоны инфекции, с обязательным дренированием и ревизией инфицированной области.
С уважением Александр.
|
[
Ответить ]
|
Re: Голеностопный артродез vs остеосинтез
Дедок М 04 Май 2010, 22:39
|
Лично я противник трансартикулярной фиксации спицами. НО, когда дежурный травматолог один, время часа 3 ночи, в приемном покое еще ждет человек 5 (битых, пьяных и буйных) + звонят со скорой и говорят везут сочетанную травму, возиться с аппаратом внешней фиксации просто нет возможности, Проще ПХО и фиксация спицами или скелетка.
Возможно вы предложите вызвать помощь, но коллега после дежурства.... и т.д. А общий хирург часто плохой помощник в нашем деле :(
А потом приходят проблемы в виде гнойного остеоартрита.
Такова специфика районных больниц. Вообще вся наша система оказания экстренной помощи в России гнилая и порочная.
Всем удачи
|
[
Ответить ]
|
Re: Голеностопный артродез vs остеосинтез
Отправитель: А.Семенистый 05 Май 2010, 00:56
|
Такова специфика районных больниц. Вообще вся наша система оказания экстренной помощи в России гнилая и порочная.
В общем, к сожалению, да(.. Но бороться, и успешно, с системой в рамках одной отдельно взятой больницы вполне возможно...В целом система не изменится, но в этой больнице станет лучше, и народ потянется к вам. Глядишь, и соседи пойдут по тому же пути..
|
[
Ответить ]
|
Re: Голеностопный артродез vs остеосинтез
Отправитель: Виталий Евгеньевич Казеннов 05 Май 2010, 17:05
|
Уважаемый коллега,
Извините, что не знаю Вашего имени и отчества.
Абсолютно с Вами согласен по поводу того, что в три часа ночи, зная о достаточно плотном расписании на следуюший (уже нынешний) рабочий день, монтировать вдвоём с измученной засыпающей операционной сестрой аппарат -- удовольствие из не самых приятных.
Альтернатива ранней ПХО -- отсроченная.
Обкалываем рану антибиотиками с новокаином, дочиста всё отмываем, повязки с фурацилином, гипсовая шина -- и в палату, холод местно, антибиотики внутримышечно, микроциркулянты с чем-нибудь внутривенно, обезболивающие и седативные -- по вкусу:) . Каждый день, включая выходные и праздники, повторяем инфильтрацию паравульнарных тканей антибиотиками, промывание раны, повязка с антисептикам, и без суеты делаем всё остальное с утра с адекватным обезболиванием, адекватной бригадой хоть через три дня, хоть через десять.
Осложнений -- мизер, как после чистых плановых операций.
А пока -- к битым, пьяным и буйным! Это наши люди!
Мы уже лет двадцать тяжёлые открытые повреждения так ведём, спасибо профессору Олегу Васильевичу Владимирцеву, царство ему небесное, который
написал про ОПХО докторскую диссертацию. Зачем что-то кое-как делать в три часа ночи, если можно всё сделать lege artis в 10 утра?
С уважением,
Виталий Евгеньевич Казённов,
Хабаровск
PS А что касается "гнилости и порочности" "всей нашей системы оказания экстренной помощи в России", то
1. она (эта система) худо-бедно ещё работает, и
2. она является просто частью медицинской системы (не люблю это словечко, "здравозахоронение", извините), которая является частью социальной системы в целом, или я ошибаюсь?
Интересно, как это оно всё будет работать после автономизации ЛПУ!
Это ещё цветочки...
|
[
Ответить ]
|
Re: Голеностопный артродез vs остеосинтез
Отправитель: Index 10 Май 2010, 00:26
|
что означает "инфильтрацию паравульнарных тканей"?
|
[
Ответить ]
|
Re: Голеностопный артродез vs остеосинтез
Отправитель: Игорь Редько 11 Май 2010, 00:51
|
...."Альтернатива ранней ПХО -- отсроченная. " -
Не всегда! нельзя принципы хирургии кисти переносить на всю травматологию. Необходимо в кратчайшие сроки устранить вывих или грубое смещение для профилактики трофических нарушений зафиксировать хоть чем, а после подготовки провести адекватную репозицию и фиксацию. - С уваж Редько И. - ..........отдыхал с 8-летним сыном в Турции. Здорово. Завтра работа. Буду только читать. - С уваж Редько И.
|
[
Ответить ]
|
Re: Голеностопный артродез vs остеосинтез
Отправитель: Виталий Евгеньевич Казеннов 11 Май 2010, 01:45
|
"... нельзя принципы хирургии кисти переносить на всю травматологию".
Да то-то и грустно, что по методике отсроченной первичной хирургической обработки и в хирургии кисти работают единичные отделения. А что касается травматологии вообще -- кто это применяет?
Дедовская установка "ЧЕМ РАНЬШЕ -- ТЕМ ЛУЧШЕ" незыблема, как скала. Покажите мне хотя бы один учебник, хотя бы одно руководство, где этот метод был изложен с подобающей директивностью. В "Военно-полевой хирургии" из книжки в книжку сказано об этом как о ВЫНУЖДЕННОЙ мере -- на 12-18 часов мол можно отложить операцию под прикрытием паравульнарного введения антибиотиков, а то, что лучше результаты получаются при оперирование на 3-5-7-е сутки после
травмы -- это воспринимается как ересь...
В отношении открытых вывихов и переломо-вывихов: согласен полностью, вправлять нужно при поступлении. Но, Игорь, можно открытые вывихи и
переломо-вывихи репонировать закрыто, обкалывать рану антибиотиками, мыть тщательно, вести открыто рану, перфузионный дренаж монтировать при
необходимости...
----
Что касается внутривенного введения антибиотиков вместо паравульнарного -- то бактерицидная концентрация в повреждённых тканях достигается именно при местном введении. Внутривенно -- бактериостатическая.
Архаичность фурацилина -- ну кто сказал? В чём преимущества физиологического раствора?
С уважением,
Казённов, Хабаровск
|
[
Ответить ]
|
Re: Голеностопный артродез vs остеосинтез
Отправитель: Alexander Chelnokov 11 Май 2010, 02:38
|
КВЕ> Что касается внутривенного введения антибиотиков вместо паравульнарного --
КВЕ> то бактерицидная концентрация в повреждённых тканях достигается именно при
КВЕ> местном введении. Внутривенно -- бактериостатическая.
Если кровоток сохранен, таким образом введенный препарат через минуты местно уже отсутствует.
КВЕ> Архаичность фурацилина -- ну кто сказал? В чём преимущества физиологического
Он дешевле, а толку не меньше.
|
[
Ответить ]
|
Re: Голеностопный артродез vs остеосинтез
Отправитель: Виталий Евгеньевич Казеннов 12 Май 2010, 22:58
|
Дорогой Александр,
Вы писали:
"если кровоток сохранен, таким образом введенный препарат через минуты
местно уже отсутствует."
1. Проверяли? Полностью отсутствует? Из интерстиция тоже вымывается? Откуда же тогда запах антибиотика во время операции?
2. А как насчёт недостаточно кровоснабжаемых или вообще неперфузируемых зон вокруг раны? И как туда попадёт внутривенно введённый антибиотик и в какой концентрации после "посещения" печени и лёгких разведения во ВСЕХ жидкостях организма?
КВЕ> Архаичность фурацилина -- ну кто сказал? В чём преимущества
физиологического
"Он дешевле, а толку не меньше."
Физраствор обладает бактерицидными свойствами? Или только орошает и "отсасывает" экзо- и эндотоксины, воспалительные ферменты и т.д.? Если
проводили действительно сравнение по всем правилам -- почему бы и нет...
С уважением,
Казённов
|
[
Ответить ]
|
Re: Голеностопный артродез vs остеосинтез
Отправитель: Игорь Кучерявый 12 Май 2010, 23:15
|
Мне вообще симпатична такая концепция. Но в гипсе практически невозможно добиться хорошей трофики кожи у внутренней лодыжки Или кости давят, если не странил подвывих, или гипс давит, если все вправил))), плюс фликтены и пр. В итоге все равно получаем фигу от мягких тканей. Мне больше нравится два полукольца. Их вполне хватает для дистракции и устранения подвывиха. Аппаратик валяется в сборе в перевязочной, в любое время суток провести две спицы - это даже быстрее, чем гипсовать. Через пару-тройку дней (отоспавшись после дежурства) можно подумать, чем заменить это безобразие )))
P.S. Кстати, насчет вакуумных повязок - на сколько дней обычно надо планировать этот процесс? Хочется попробовать...
--
С уважением,
Кучерявый Игорь,
г. Сергиев Посад.
|
[
Ответить ]
|
Re: Голеностопный артродез vs остеосинтез
Отправитель: Виталий Евгеньевич Казеннов 12 Май 2010, 23:48
|
На мой взгляд, два полукольца и две спицы – отличный вариант при различных повреждениях, не только голеностопного сустава, на первое время. Что-то типа Damage Control в данной ситуации.
Что касается вакуумных повязок – это от лукавого.
Помните про ажиотаж с посеребренными спицами? Тоже считали панацеей.
У нас в клинике лет двадцать назад аспирант лечил тяжёлые открытые повреждения конечностей (преимущественно кисти) абактериальной изоляцией. Стерильный воздух подавали в прозрачный пластиковый мешок, рану вели открыто, избыточное давление устраняло отёк, рана подсыхала. Микробы помирали со страшной силой, рану плюс ещё ежедневно обкалывали антибиотиками – и всё шло отлично. По мере визуализации границ некроза проводили отсроченную ПХО с необходимыми восстановительными моментами, и всё заживало пер прима. Без вакуума.
Три недостатка было:
-- дороговизна
-- техническая сложность и трудоёмкость
-- шум компрессора
С уважением,
Виталий Евгеньевич Казённов,
Хабаровск
|
[
Ответить ]
|
|
Re: Голеностопный артродез vs остеосинтез
Алексей Минервин 06 Май 2010, 00:21
|
>Я бы попробовал накостный остеосинтез малой берцовой и мощный болт стяжку проведенный через отверстие в пластине на медиальную поверхность вне зоны инфекции, с обязательным дренированием и ревизией инфицированной области.(Александр Н.)
Суть вопроса заключается не как добиться хорошей рентгенограммы, а что действительно улучшит качество жизни пациентке. Если после остеосинтеза (берем идеальный вариант течения событий) у нее сохранятся боли, будет ограничение движений, и через пару лет опять встанет вопрос об артродезе, то стоит ли оно того?
>Обкалываем рану антибиотиками с новокаином... Каждый день, включая выходные и праздники, повторяем инфильтрацию паравульнарных тканей антибиотиками (Казеннов В.Е.)
Виталий Евгеньевич! А что действительно обкалывание очага эффективнее парентерального введения антибиотиков (с точки зрения развития surgical site infection)? Irrigation and debridment не обсуждается!
С уважением, А.Минервин.
|
[
Ответить ]
|
Re: Голеностопный артродез vs остеосинтез
Антон Андрианов 08 Май 2010, 17:11
|
Невозможность восстановления сустава и очевидность артродеза достаточно обоснована коллегами.Хочется лишь заметить, что с 80-х годов, когда мы начали применять трансартикулярную фиксацию в ургентном порядке, мы видим тяжелые артрозы у большинства пациентов при восстановленной анатомии, что говорит о тяжести повреждения хряща даже парой спиц.С 90-х работаем методами АО и при корректном выполнении всех методических указаний этой группы результаты отличные.Грустно, что принятые стандартом во всем мире, методы еще у нас в странах СНГ подменяются болтами стяжками.
По поводу отсроченных операций согласен с доктором Казенновым. Аппарат в простой конфигурации, как этап, можно установить и через несколько часов свежей бригадой.Ушивание раны любой ценой не самоцель.Вызывает сомнение целесообразность ежедневного обкалывания раны антибиотиками, их внутривенное введение создает вполне достаточную концентрацию в очаге.Мы закрываем рану гемостатической губкой.А упоминание фурациллина, как антисептика - полная архаика, лучше изотонический раствор для предупреждения подсыхания раны, в идеале вакуумная губка, не раз описанная доктором Кульджановым.
|
[
Ответить ]
|
Re: Голеностопный артродез vs остеосинтез
Отправитель: Дмитрий Бондарь 15 Май 2010, 02:09
|
При использовании VAC, если высокое разрежение, рана (к сожалению ) тоже высыхает. Особенно это наблюдается у больных со скомпрометированной трофикой (диабет, облитерирующие проблемы) В этих ситуациях предпочитаю VAC instill и, что важнее, точно выставить разрежение.
С уважением Д.Б.
|
[
Ответить ]
|
|
Re: Голеностопный артродез vs остеосинтез
Алексей Минервин 05 Июнь 2010, 11:22
|
Коллеги, благодарю еще раз за дискуссию и советы. Объяснив пациентке о необходимости артродеза, она пока воздержалась от операции, мотивируя, что, собственно, боли ее и не очень-то беспокоят (ведь могу ходить!), хотя я сильно сомневаюсь о достаточно длинной компенсации. Кстати, свищ у внутренней лодыжки закрылся самостоятельно через 3-4 дня. Таким образом, на настоящее время проблема решена (остеосинтез - напрасная операция), а к артродезу она еще не готова психологически. Будем ждать, и, наверно, не так уж и долго осталось. О развитии событий, если уважаемый Ортофорум не возражает, проинформирую.
Всем спасибо.
А.Минервин.
|
[
Ответить ]
|
( Ответить )
|
|