ВХОД ДЛЯ ПАЦИЕНТОВ
вверх
поиск
админ
главная
исходное
последующие
|
Re: Ошибка в установке вертлужного компонента
послал Станислав Дмитриев 26 Май 2010, 19:10
|

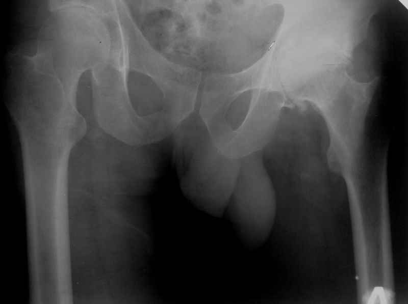
Доступ по Хардингу. Головка действительно S.
Чашка конечно же Variocup(Varioloc - ножка). После "погружения" чашки головку скорее всего придется менять на M или L.
Больной приобретал протез за счет собственных средств. То есть тут еще проблемы материального и, как следствие - этического плана.
Исходный сустав в приложении.
|
Послать ответ |
Обратите внимание: Поля с жирными названиями обязательны.
Старайтесь отвечать в рамках обсуждаемой темы, а не начинать новые обсуждения.
Указывайте адекватную тему сообщения, чтобы было ясно, о чем оно.
Не послайте сообщений не по теме (оффтопик), раздраженных, грубых или обидных комментариев. Здесь это неуместно.
|