AOTRAUMA.ORG Центр Илизарова  

Ортопедия и травматология Общие вопросы/General questions Help Информационные технологии в медицине
 вверх
 отправить
 поиск
 админ
 главная
 Предыдущее


Re: Ошибка в установке вертлужного компонента
Сергей Никитин 26 Май 2010, 16:32
Какой доступ использовали? Насколько он был травматичен? Я бы дождался полного заживления раны и через пару месяцев выполнил ревизию с заменой чашки, вкладыша и, скорее всего, головки. По снимку похоже что установлена короткая головка, после переустановки чашки в правильную позицию, скорее всего, потребуется стандартная или даже плюсовая.
  • Сообщения о Ортопедия и травматология
  • Также Сергей Никитин
  • Связаться с автором
  • Ответить

    Re: Ошибка в установке вертлужного компонента
    Станислав Дмитриев 26 Май 2010, 19:10


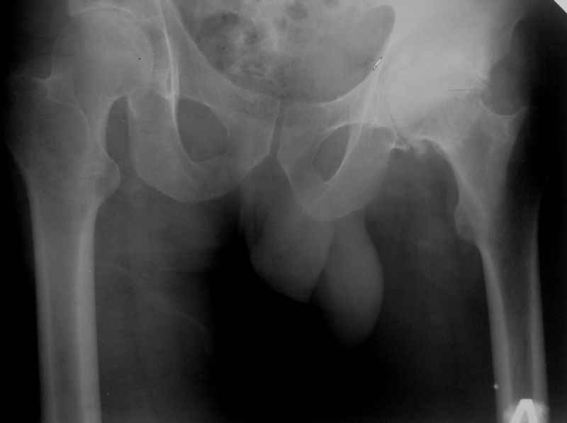
    Доступ по Хардингу. Головка действительно S.
    Чашка конечно же Variocup(Varioloc - ножка). После "погружения" чашки головку скорее всего придется менять на M или L.
    Больной приобретал протез за счет собственных средств. То есть тут еще проблемы материального и, как следствие - этического плана.
    Исходный сустав в приложении.

    [ Ответить ]

    • Re: Ошибка в установке вертлужного компонента
      Отправитель: Сергей Никитин 27 Май 2010, 14:27
      На мой взгляд, правильнее всего иметь на ревизионной операции полную линейку компонентов. Чашка тоже, скорее всего, будет больше после того как вы полноценно обработаете впадину и срубите остеофиты.


      [ Ответить ]

     

    ( Ответить )

    Powered by Zope  Squishdot Powered MedLink
    Посетитель: 0000154
      "По форме правильно, а по существу - издевательство" В.И.Ленин
    ©2001-2019Orthoforum Coordinator.
    [ Главная | Отправить сообщение | Поиск | Админ ]