ВХОД ДЛЯ ПАЦИЕНТОВ
вверх
поиск
админ
главная
исходное
|
Re: Ваше компетентное мнение - огнестрельный перелом бедра
послал Djoldas Kuldjanov 28 Июнь 2010, 22:18
|
Возможно не от хорошей жизни, но либеральная политика страны по поводу огнестрельного оружия привела к тому, что в наших ургентных Больницах Первого Уровня обслуживается несметное количество больных с повреждениями из огнестрельного оружия.
Огнестрельные повреждения костей в мирное время немного отличаются от тех военных травм, где преобладает взрывно-оскольчатые-рваные ранения конечностей. Поэтому выбор метода фиксации в мирное время в основном зависит от состоянии мягких тканей, а не по характеру кинетики повреждающего снаряда.
В нашей клинике за год через приемное отделение в среднем проходит 350-380 больных с пенетрирующими травмами, и из них около 50% с повреждениями скелета. Поэтому нас не удивляет, иногда когда за дежурство поступают 7 и более больных с повреждениями огнестрельным оружием.
Количество больных с огнестрельными ранами в мирное время зависит от штата, города и от времени года. Иногда пик поступления совпадает с доставкой в регион очередной партии наркотиков, что, наверное, связано с борьбой различных кланов за рынок.
Трудно перенести реалии одного центра для принятия в другой, где не только другое материально-техническое обеспечение, но также другие традиции и культура мышления по ведению больных с огнестрельными повреждениями. Несмотря на то, что есть небольшое различие в ведении таких больных, но все таки позволю себе рассказать про нашу тактику лечения огнестрельных переломов.
Кроме первичной фиксации переломов, самым главным в лечении огнестрельных переломов считаем профилактику ран от вторичного инфицирования. Назначаем антибиотики только в течение первых 24 часов, две дозы Ancef. Цементные антибиотические гвозди для первичной фиксации и для профилактики ран от инфицирования не применяем.
Небольшие входные пулевые раны до 1 см (см. на снимке) закрываются в течение нескольких дней самостоятельно даже без обработки. Раны более 3 см также не нуждаются в специальной обработке, и для самостоятельного закрытия ран бывает достаточной обычная обработка стенок раны "кюретажем".
Из обзора последних событии в Центральной Азии, что когда“обьязательное удаление пули” становится приоритетным, тогда теряется драгоценное время для оказания реальной помощи и зря теряются ресурсы клиники.
Условием для обязательного удаления пули считаем ее внутрисуставное расположение из-за возможного сатурнизма, или когда во время операции она без труда удаляется, а также поверхностно расположена.
Основная тактика ведения ран открытым методом - рану не закрываем швами. От вторичного инфицирования сохраняет обычная стерильная повязка. При такой тактике рана закрывается медленно образованием грануляций изнутри кнаружи в течение двух или трех недель.
Большие раны - показания к вакуммированию, и здесь оправдана тактика отсроченного закрытия ран, вплоть до мышечной пластики.
Компартамент-синдром -при огнестрельных переломах наблюдался очень редко, хотя рутинно проводился мониторинг на КС. Наши КС в большинстве были после переломов тибиал плато и после повреждения сосудов от огнестрельного оружия.
После восстановления сосудов проводили профилактику компартамент-синдрома фасциотомией, которая благоприятно действовала на проходимость, и сосуд не закупоривался вторично тромбом.
Характерным признаком травмы с низкой кинетической энергией является отсутствие "мультифрагментации и кавитации", и поэтому в данном случае лечение можно проводить любым доступным методом.
Для фиксации огнестрельных переломов бедра и длинных костей предпочтение отдаем интрамедуллярному методу фиксации, о котором еще в 1993 году написали Bergman M. Tornetta P. Kerina M. Sandhu H. Simon G. Deysine G. Journal of Trauma. [JC:kaf] 34(6):783-5
Но иногда, когда перелом расположен удобно в ране и нет необходимости обнажения кости дополнительным скелетированием, тогда первичную фиксацию можно проводить пластиной с проведением мероприятий по закрытию мягкотканых дефектов.
В наших условиях рекомендуемые коллегами линейные наружные фиксаторы из-за недостаточной стабильности как окончательная фиксация применяется крайне редко. В основном наружный фиксатор применяем как временный с дальнейшим переходом на традиционный метод фиксации. Выбор времени фиксации зависит от общего состояния или от улучшения мягкотканого покрытия.
Циркулярные фиксаторы типа Илизарова создают стабильность, но дизайн колец не позволяет адекватно манпулировать вокруг конструкции при надобности.
При отсутствии интрамедуллярной техники, которая относится к load sharing концепции можно заменить фиксацию пластинами. Load bearing, особенно кондилярные пластины, довольно солидная конструкция и такая пластина может выдержать необходимую для бедра нагрузку.
Можно уложить пластину на протяжении всего бедра с применением мини хирургических доступов, только надо согнуть пластину по контуру бедра предварительно.
Bridging technique использовал наш коллега Багавуддин из Йемена, он для фиксации переломов с огнестрельними ранами бедра применял более жесткую пластину LISS. Наличие худощавых больных упрощало работу, и позволяло выходить с достоинством из вынужденного положения при лимитированных экономических условиях.
Если нет ЭОП, тогда для упрощения операции нужно обработать стерильно обе конечности. После укладки пластины через дистальный латеральный доступ проводится фиксация одним шурупом для удержания пластины против кости и через подвертельный доступ остается уложить пластину точно в середину бедра. Любой костный держатель удержит пластину, поможет проверить ротацию и длину конечности сравнительно с другой стерильной стороной, и остается рутинная фиксация двумя или тремя шурупами в сегменте после исправления деформации.
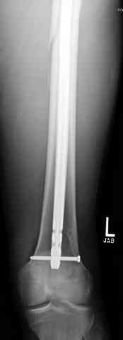
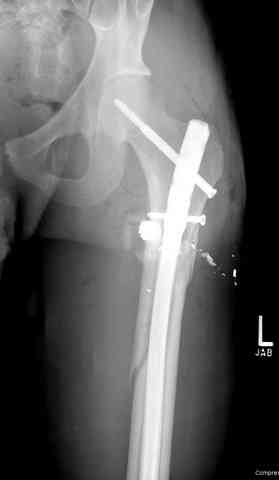
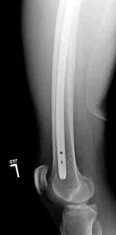
Здесь представлены несколько случаев лечения огнестрельного перелома
1 Проксимальный перелом бедра, антеградный гвоздь

2 внутрисуставной перелом дистального бедра с удалением пули
3 сегментарный перелом бедра с переломом Хоффа фрагментом, сделано из минимального доступа
Djoldas Kuldjanov, MD
Department of Orthopedic Surgery
St. Louis University Medical Center
|
Послать ответ |
Обратите внимание: Поля с жирными названиями обязательны.
Старайтесь отвечать в рамках обсуждаемой темы, а не начинать новые обсуждения.
Указывайте адекватную тему сообщения, чтобы было ясно, о чем оно.
Не послайте сообщений не по теме (оффтопик), раздраженных, грубых или обидных комментариев. Здесь это неуместно.
|