Ответить
|
Re: Ваше компетентное мнение
Alexander Chelnokov 24 Июнь 2010, 23:39
|
> Планируется на 10
> сутки аппарат внешней фиксации(спице-стержневой) или накостный металлоостеосинтез.
Почему именно на 10 сутки?
>Ваше мнение?
Закрытый интрамедуллярный interlocking остеосинтез гвоздем с антибиотиковым цементным покрытием немедленно.
|
[
Ответить ]
|
Re: Ваше компетентное мнение
Отправитель: Вадим 24 Июнь 2010, 23:53
|
Десятые сутки это не принципиально, ориентировочна около недели(все таки огнестрел)
К сожалению мы не обладаем такими имплантами, да и ЭОПа у нас нет. И для интрамедуллярного остеосинтеза по моему великовата линия перелома?!
|
[
Ответить ]
|
Re: Ваше компетентное мнение
Отправитель: Савицкий Дмитрий 25 Июнь 2010, 00:44
|
Линия в самый раз. Пусть она не смущает. А вот отсутствие ЭОПа , и достаточного опыта - это действительно уже сложнее. А есть возможность пригласить кого-нибудь владеющего interlockingом?
|
[
Ответить ]
|
Re: Ваше компетентное мнение
Отправитель: Alexander Chelnokov 25 Июнь 2010, 00:51
|
В> Десятые сутки это не принципиально, ориентировочна около недели(все таки огнестрел)
Если "все-таки огнестрел", то оптимальна экстренная хирургическая стабилизация, а не отсроченная.
В> К сожалению мы не обладаем такими имплантами, да и ЭОПа у нас нет.
Не надо никаких "таких", подойдет любой стержень, цемент и ванкомицин тоже не проблема. Если все-таки нет возможности, хорошо бы переправить пациента туда, где она есть. А в каком городе лечится пациент?
В> И для интрамедуллярного остеосинтеза по моему великовата линия перелома?!
Для интрамедуллярного остеосинтеза это идеальная линия перелома, лишь бы вверху и внизу бедра оставалось см по 4-5.
|
[
Ответить ]
|
|
Re: Ваше компетентное мнение
Белоконь Александр 25 Июнь 2010, 00:57
|
Вопросов много... Сейчас больной находится на скелетном вытяжении? При наличии гемодинамической стабильности и нормальных показателях крови, почему сразу не произведена фиксация в аппарате внешней фиксации? И почему на 10-е сутки АВФ или накостный металлоостеосинтез? А пуля в нижней трети диафиза, или где? Какая обработка раны произведена при поступлении?
Думаю, что необходимо в кратчайшие сроки выполнить хирургическую обработку раны, если это сечас необходимо (если её не делали), а именно: иссечь явно нежизнеспособные ткани (если они есть... на вряд ли) и дренировать раневой канал трубчатым дренажом, и наложить аппарат внешней фиксации.
Хотелось бы услышать мнение ортопедов-травматологов военно-медицинских академий! уж они, - в этом профи!
|
[
Ответить ]
|
Re: Ваше компетентное мнение - огнестрельный перелом бедра
Вадим 25 Июнь 2010, 12:26
|
Уважаемые коллеги,спасибо всем за то что откликнулись. Больной на скелетном вытяжении, через неделю планируется накостный остеосинтез пластиной.
|
[
Ответить ]
|
Re: Ваше компетентное мнение - огнестрельный перелом бедра
Отправитель: Alexey Semenisty 25 Июнь 2010, 22:07
|
Жаль мне этого пациента(.
Вадим, а можете подробно представить предоперпционное планирование предстоящей операции: положение пациента, доступ(ы), дизайн пластины, ее длина, дизайн, функцию и количество винтов, последовательность введения их введения, предполагаемая кровопотеря, послеоперационная
нагрузка/разгрузка???
С уважением А. Семенистый
|
[
Ответить ]
|
|
Re: Ваше компетентное мнение - огнестрельный перелом бедра
Александр А. 25 Июнь 2010, 23:23
|
Добрый вечер!
Думаю, что полную хирургическую обработку надо было делать трое суток назад тотчас при поступлении. Непойму откуда взялся срок десять суток. Из всех предложенных в данной ситуации автором способов (накостный остеосинтез выбрал бы в полседнюю очередь) при наличии соответствующего импланта, который стоит на порядок дороже доступных блокированных стержней. Использование антибактериального цементного покрытия стержня применил бы обязательно. Если тактика не изменится думаю через два, три месяца появится коментарий "прошу компетентного мнения в лечении посттравматического остеомиелита
бедра".
Спасибо.
|
[
Ответить ]
|
Re: Ваше компетентное мнение - огнестрельный перелом бедра
Alexander Artemiev 25 Июнь 2010, 23:39
|
Здравствуйте, Вадим.
Пуля от ПМ - очевидно, что ранение было т.н. низкоэнегетическим, что подтверждается в том числе спокойным состоянием мягких тканей в этом, уже отсроченном периоде.
Лечите как лечили бы НЕогнестрельный перелом. Никаких ХО, пулю специально искать не надо.
Если это как-то облегчает Вашу задачу - рад.
С уважением Александр Артемьев
Мытищи
|
[
Ответить ]
|
Re: Ваше компетентное мнение - огнестрельный перелом бедра
Юрий 26 Июнь 2010, 00:02
|
Однозначно, огнестрельные переломы стоит стабилизировать АНФ в максимально ранние сроки после получения ранения. Так же при ПХО или повторной ХО требуется фасциотомия. Эти две манипуляции приводят к улучшению паравульнарного кровотока и уменьшают вероятность развития вторичных осложнений. Дождавшись закрытия ран и при полной уверенности в отсутствии гнойных осложнений можно поднимать вопрос о конверсии наружного остеосинтеза на внутренний. Судя по снимку, пуля пистолетная, перелом не носит многооскольчатый характер, что дает основание полагать, что невысокая энергия ранения подразумевает невысокую вероятность вторичных осложнений и возможность внутреннего остеосинтеза. Конечно, БИОС в а\б муфте предпочтительнее ввиду щадящего отношения к кровообращению в заинтересованной области, но лучшая методика та, которой хорошо владеет хирург.
|
[
Ответить ]
|
Re: Ваше компетентное мнение - огнестрельный перелом бедра
Станислав Боярский 26 Июнь 2010, 11:19
|
Здравствуйте, уважаемые коллеги. Вопрос- почему не была произведена обработка огнестрельной раны сразу при поступлении, с рассечением раневого канала, иссечением нежизнеспособных тканей,удалением инородного тела ( пули), последующей фиксацией бедра АНФ и создания условий для оттока раневого отделяемого? В дальнейшем АНФ может быть заменен на погружной имплантант, лучше конечно, стержень с блокировкой. Накостный синтез в данной ситуации- не гуд.
|
[
Ответить ]
|
Re: Ваше компетентное мнение - огнестрельный перелом бедра
Paul 26 Июнь 2010, 14:45
|
У данной пули имеется латунная оболочка и свинцовый сердечник, поэтому, электрохимические процессы, септичность ее сборк исключать нельзя. Остеомиелит очень вероятен. Обязательное удаление пули. Низкоэнергетическое повреждение может быть фиксировано любым методом - даже накостно. В данном варианте наиболее целесообразен интрамедулярный (во время удаления инородного тела можно выполнить контроль вхождения стержня в дистальный отломок.
|
[
Ответить ]
|
Re: Ваше компетентное мнение - огнестрельный перелом бедра
Адонин 27 Июнь 2010, 01:20
|
Господа, а можно - мнение практика?
Пулевые ( низкоскоростные) огнестрельные переломы уже давным давно лечатся так точно, как закрытые переломы - остеосинтезом блокированным гвоздем. Для перестраховки можно дать пару дней антибиотиков, хотя, опять же, многие исследования показывают , что антибиотики практически не снижают риск инфекции ( который и так всего-то 1,6 - 2 процента).
Про иссечение пулевого канала и профилактические фасциотомии - это все очень сильно надуманное, как и про электрохимическую разность потенциалов между оболочкой пули и сердечником.
цитата из роквуд и грина - переломы у взрослых
Low-energy soft tissue wounds caused by gunshots do not require extensive debridement. Local wound care (superficial debridement, with or without skin margin excision) is carried out in the emergency department. Wounds are left to heal by secondary intention. Using this approach, we have found the prevalence of infection to be predictably low.
и еще
Because the use of antibiotics for infection prophylaxis in low-energy gunshot injuries remains controversial, attempts have been made to develop simpler antibiotic regimens, many of which can be administered in an outpatient setting . Comparisons have been made among different types, routes, and durations of antibiotic treatment . Although many fractures caused by low-velocity weapons (low-energy injury) are stable and can be treated adequately on an outpatient basis, many are unstable, requiring hospital admission and operative stabilization. Most investigators advocate at least 24 to 48 hours of intravenous antibiotic therapy for fractures treated with internal fixation . Intravenous antibiotic prophylaxis has been recommended for gunshot injuries in which large joints (hip, knee, shoulder) have been penetrated .
|
[
Ответить ]
|
Re: Ваше компетентное мнение
Адонин 27 Июнь 2010, 01:20
|
Господа, а можно - мнение практика?
Пулевые ( низкоскоростные) огнестрельные переломы уже давным давно лечатся так точно, как закрытые переломы - остеосинтезом блокированным гвоздем. Для перестраховки можно дать пару дней антибиотиков, хотя, опять же, многие исследования показывают , что антибиотики практически не снижают риск инфекции ( который и так всего-то 1,6 - 2 процента).
Про иссечение пулевого канала и профилактические фасциотомии - это все очень сильно надуманное, как и про электрохимическую разность потенциалов между оболочкой пули и сердечником.
цитата из роквуд и грина - переломы у взрослых
Low-energy soft tissue wounds caused by gunshots do not require extensive debridement. Local wound care (superficial debridement, with or without skin margin excision) is carried out in the emergency department. Wounds are left to heal by secondary intention. Using this approach, we have found the prevalence of infection to be predictably low.
и еще
Because the use of antibiotics for infection prophylaxis in low-energy gunshot injuries remains controversial, attempts have been made to develop simpler antibiotic regimens, many of which can be administered in an outpatient setting . Comparisons have been made among different types, routes, and durations of antibiotic treatment . Although many fractures caused by low-velocity weapons (low-energy injury) are stable and can be treated adequately on an outpatient basis, many are unstable, requiring hospital admission and operative stabilization. Most investigators advocate at least 24 to 48 hours of intravenous antibiotic therapy for fractures treated with internal fixation . Intravenous antibiotic prophylaxis has been recommended for gunshot injuries in which large joints (hip, knee, shoulder) have been penetrated .
|
[
Ответить ]
|
Re: Ваше компетентное мнение - огнестрельный перелом бедра
Адонин 27 Июнь 2010, 01:26
|
и еще цитата оттуда же
The introduction of interlocking intramedullary nails in the mid-1980s dramatically changed the treatment of closed and open femoral shaft fractures, including those caused by gunshots. Closed, locked intramedullary nailing currently is the preferred treatment for most femoral fractures between the femoral condyles and the lesser trochanter
|
[
Ответить ]
|
Re:
Адонин 27 Июнь 2010, 01:27
|
и еще цитата оттуда же
The introduction of interlocking intramedullary nails in the mid-1980s dramatically changed the treatment of closed and open femoral shaft fractures, including those caused by gunshots. Closed, locked intramedullary nailing currently is the preferred treatment for most femoral fractures between the femoral condyles and the lesser trochanter
|
[
Ответить ]
|
Re: Ваше компетентное мнение - огнестрельный перелом бедра
Djoldas Kuldjanov 28 Июнь 2010, 22:18
|
Возможно не от хорошей жизни, но либеральная политика страны по поводу огнестрельного оружия привела к тому, что в наших ургентных Больницах Первого Уровня обслуживается несметное количество больных с повреждениями из огнестрельного оружия.
Огнестрельные повреждения костей в мирное время немного отличаются от тех военных травм, где преобладает взрывно-оскольчатые-рваные ранения конечностей. Поэтому выбор метода фиксации в мирное время в основном зависит от состоянии мягких тканей, а не по характеру кинетики повреждающего снаряда.
В нашей клинике за год через приемное отделение в среднем проходит 350-380 больных с пенетрирующими травмами, и из них около 50% с повреждениями скелета. Поэтому нас не удивляет, иногда когда за дежурство поступают 7 и более больных с повреждениями огнестрельным оружием.
Количество больных с огнестрельными ранами в мирное время зависит от штата, города и от времени года. Иногда пик поступления совпадает с доставкой в регион очередной партии наркотиков, что, наверное, связано с борьбой различных кланов за рынок.
Трудно перенести реалии одного центра для принятия в другой, где не только другое материально-техническое обеспечение, но также другие традиции и культура мышления по ведению больных с огнестрельными повреждениями. Несмотря на то, что есть небольшое различие в ведении таких больных, но все таки позволю себе рассказать про нашу тактику лечения огнестрельных переломов.
Кроме первичной фиксации переломов, самым главным в лечении огнестрельных переломов считаем профилактику ран от вторичного инфицирования. Назначаем антибиотики только в течение первых 24 часов, две дозы Ancef. Цементные антибиотические гвозди для первичной фиксации и для профилактики ран от инфицирования не применяем.
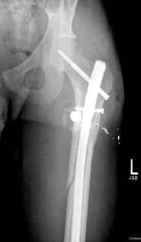
Небольшие входные пулевые раны до 1 см (см. на снимке) закрываются в течение нескольких дней самостоятельно даже без обработки. Раны более 3 см также не нуждаются в специальной обработке, и для самостоятельного закрытия ран бывает достаточной обычная обработка стенок раны "кюретажем".
Из обзора последних событии в Центральной Азии, что когда“обьязательное удаление пули” становится приоритетным, тогда теряется драгоценное время для оказания реальной помощи и зря теряются ресурсы клиники.
Условием для обязательного удаления пули считаем ее внутрисуставное расположение из-за возможного сатурнизма, или когда во время операции она без труда удаляется, а также поверхностно расположена.
Основная тактика ведения ран открытым методом - рану не закрываем швами. От вторичного инфицирования сохраняет обычная стерильная повязка. При такой тактике рана закрывается медленно образованием грануляций изнутри кнаружи в течение двух или трех недель.
Большие раны - показания к вакуммированию, и здесь оправдана тактика отсроченного закрытия ран, вплоть до мышечной пластики.
Компартамент-синдром -при огнестрельных переломах наблюдался очень редко, хотя рутинно проводился мониторинг на КС. Наши КС в большинстве были после переломов тибиал плато и после повреждения сосудов от огнестрельного оружия.
После восстановления сосудов проводили профилактику компартамент-синдрома фасциотомией, которая благоприятно действовала на проходимость, и сосуд не закупоривался вторично тромбом.
Характерным признаком травмы с низкой кинетической энергией является отсутствие "мультифрагментации и кавитации", и поэтому в данном случае лечение можно проводить любым доступным методом.
Для фиксации огнестрельных переломов бедра и длинных костей предпочтение отдаем интрамедуллярному методу фиксации, о котором еще в 1993 году написали Bergman M. Tornetta P. Kerina M. Sandhu H. Simon G. Deysine G. Journal of Trauma. [JC:kaf] 34(6):783-5
Но иногда, когда перелом расположен удобно в ране и нет необходимости обнажения кости дополнительным скелетированием, тогда первичную фиксацию можно проводить пластиной с проведением мероприятий по закрытию мягкотканых дефектов.
В наших условиях рекомендуемые коллегами линейные наружные фиксаторы из-за недостаточной стабильности как окончательная фиксация применяется крайне редко. В основном наружный фиксатор применяем как временный с дальнейшим переходом на традиционный метод фиксации. Выбор времени фиксации зависит от общего состояния или от улучшения мягкотканого покрытия.
Циркулярные фиксаторы типа Илизарова создают стабильность, но дизайн колец не позволяет адекватно манпулировать вокруг конструкции при надобности.
При отсутствии интрамедуллярной техники, которая относится к load sharing концепции можно заменить фиксацию пластинами. Load bearing, особенно кондилярные пластины, довольно солидная конструкция и такая пластина может выдержать необходимую для бедра нагрузку.
Можно уложить пластину на протяжении всего бедра с применением мини хирургических доступов, только надо согнуть пластину по контуру бедра предварительно.
Bridging technique использовал наш коллега Багавуддин из Йемена, он для фиксации переломов с огнестрельними ранами бедра применял более жесткую пластину LISS. Наличие худощавых больных упрощало работу, и позволяло выходить с достоинством из вынужденного положения при лимитированных экономических условиях.
Если нет ЭОП, тогда для упрощения операции нужно обработать стерильно обе конечности. После укладки пластины через дистальный латеральный доступ проводится фиксация одним шурупом для удержания пластины против кости и через подвертельный доступ остается уложить пластину точно в середину бедра. Любой костный держатель удержит пластину, поможет проверить ротацию и длину конечности сравнительно с другой стерильной стороной, и остается рутинная фиксация двумя или тремя шурупами в сегменте после исправления деформации.
Здесь представлены несколько случаев лечения огнестрельного перелома
1 Проксимальный перелом бедра, антеградный гвоздь

2 внутрисуставной перелом дистального бедра с удалением пули
3 сегментарный перелом бедра с переломом Хоффа фрагментом, сделано из минимального доступа
Djoldas Kuldjanov, MD
Department of Orthopedic Surgery
St. Louis University Medical Center
|
[
Ответить ]
|
Re: Ваше компетентное мнение - огнестрельный перелом бедра
Юрий Кавецкий 01 Июль 2010, 01:24
|
Здравствуйте Вадим. Думаю что нужно прислушаться к мнению уважаемого Djoldasа Kuldjanovа. Не драмматизируйте ситуацию-она достаточно простая. Пуля от Макарова это не от автомата и не минно-взрывное ранение с обширными повреждениями. Только не ищите и не гоняйтесь за пулей-не нужна дополнительная травма, не смотря на разность потенциалов, можно разворотить пол ноги.Если соберете и оставите в АВФ- получите стойкую контрактуру коленного сустава.Мы бы применили штифт с антибиотиками, если надо, наладьте внутриартериальное введение антибиотиков. Удачи. Кавецкий Ю. Главный клинический госпиталь ВВ МВД РФ.
|
[
Ответить ]
|
Re: Ваше компетентное мнение - огнестрельный перел
Отправитель: Багавдин Ахмедов 01 Июль 2010, 05:15
|
Уважаемые коллеги, хотел высказать свое мнение по лечению раненых с огн переломами. Мне закома ситуация, которую описывает Доктор Джолдас. В стране где я работаю(Йемен) все мужское население имеет при себе оружие и сохранились законы кровной мести и публичной казни и ежедневно сталкиваемся с проблемой лечения этих раненых
Повседневная практика и неудовлетворительные результаты лечения после внешней фиксации, заставила изменить тактику. Особенность региона повышенное требование к раннему и полному восстановлению объема движений в суствах , а не сроки сращения переломов.
Поэтому : сберегательная хир обработка с СОХРАНЕНИЕМ всех отломков, первичный малоинвазивный остеосинтез системой LCP
При высокоэнергетических переломах на первом этапе стержневой аппарат и через 2-3 недели Малоинвазивный внутренний остеосинтез.
Уважаемый Джолдас спасибо, за ссылку на мою работу.
Клинический пример.
|
[
Ответить ]
|
Re: Ваше компетентное мнение - огнестрельный перел
Отправитель: Кулешов Дмитрий 07 Июль 2010, 01:50
|
Глубокоуважаемый Багавдин Ахмедов! Если Вам не сложно, выложите, пожалуйста клинический пример в другом формате. Прочесть файл с расширением .pages не удается :(.
|
[
Ответить ]
|
Re: Ваше компетентное мнение - огнестрельный перел
Отправитель: Багавдин Ахмедов 17 Июль 2010, 04:25
|
Уважаемый Дмитрий напишите мне ваш E-mail чтобы отправить фото больных, у меня не получается пока отправить на форум, но постараюсь на форум тоже отправить. С уважением Багавдин
|
[
Ответить ]
|
Re: Ваше компетентное мнение - огнестрельный перел
Отправитель: Сергей 03 Январь 2011, 10:42
|
Уважаемый Багавдин Ахмедов! Пишет вам Сергей. Вы мне делали операцию в 1991 году в Прокопьевске в травмбольнице. Как с Вами связаться по электронной почте? Моя почта sergeikyznetsov@rambler.ru
|
[
Ответить ]
|
Re: Ваше компетентное мнение - огнестрельный перел
Отправитель: Сергей 03 Январь 2011, 10:42
|
Уважаемый Багавдин Ахмедов! Пишет вам Сергей. Вы мне делали операцию в 1991 году в Прокопьевске в травмбольнице. Как с Вами связаться по электронной почте? Моя почта sergeikyznetsov@rambler.ru
|
[
Ответить ]
|
Re: Ваше компетентное мнение - огнестрельный перел
Отправитель: Сергей 03 Январь 2011, 10:43
|
Уважаемый Багавдин Ахмедов! Пишет вам Сергей. Вы мне делали операцию в 1991 году в Прокопьевске в травмбольнице. Как с Вами связаться по электронной почте? Моя почта sergeikyznetsov@rambler.ru
|
[
Ответить ]
|
Re: Ваше компетентное мнение - огнестрельный перел
Отправитель: Сергей 03 Январь 2011, 10:43
|
Уважаемый Багавдин Ахмедов! Пишет вам Сергей. Вы мне делали операцию в 1991 году в Прокопьевске в травмбольнице. Как с Вами связаться по электронной почте? Моя почта sergeikyznetsov@rambler.ru
|
[
Ответить ]
|
|
Re: Ваше компетентное мнение - огнестрельный перелом бедра
Вадим 30 Октябрь 2010, 21:47
|
С некоторым опозданием сообщу, больной был прооперирован, МОС пластиной. Ни каких инфекционных осложнений не наблюдалось. На данный момент больной передвигается самостоятельно, без дополнительной опоры.Слегка прихрамывая на правую ногу.
|
[
Ответить ]
|
( Ответить )
|
|