Ответить
|
Re: Ложный сустав бедра
Alexander Chelnokov 16 Октябрь 2010, 15:00
|
Не уверен в необходимости обнажать место несращения.
Не очень понятно, куда ведет свищ.
Нельзя ли увидеть снимки бедра на протяжении, да и качеством получше? Есть фистулография?
Как делать спейсер или стержень с покрытием, тут не раз обсуждалось.
Статья R.Thonse и J.D.Convay "Antibiotic Cement-Coated Nails for the Treatment of Infected Nonunions and Segmental Bone Defects", J Bone Joint Surg Am. 2008;90:163-174 лежит тут.
Перевод ее части про изготовление см. тут.
|
[
Ответить ]
|
Re: Ложный сустав бедра
Суворов М. С. 18 Октябрь 2010, 19:22
|
Здрвствуйте. Не совсем понятно, зачем было городить такой огород? Сейчас необходимо снять остроту остеомиелита (Фистулографию надо сделать). При наличии полости и секвестров необходимо секвестрнекрэктомия, остеосинтез БИОС (типа AFN или PFN, зависит от протяженности и высоты перелома(по снимкам не очень хорошо видно)). Если отделались стержневым остеомиелитом, то можно делать все закрыто. Антибактериальная, сосудистая терапия в полном объеме.
|
[
Ответить ]
|
Re: Ложный сустав бедра
Отправитель: Alexander Chelnokov 19 Октябрь 2010, 09:01
|
> сосудистая терапия в полном объеме.
При чем тут "сосудистая терапия", и что это такое при инфицированном несращении?
|
[
Ответить ]
|
Re: Ложный сустав бедра
Отправитель: Суворов М. С. 23 Октябрь 2010, 18:33
|
Здраствуйте. Нет репозиции , нет сращения (ось, длина (ротации не видно)) не востановлены (инфицирование ятрогенное (по стержням зашла инфекции (по этому огород горидят). Сосудистая терапия - это сосудистая терапия! Согласен полностью с коллегами - закрыто не получится сделать БИОС, но надо максимально малотравматично.
|
[
Ответить ]
|
Re: Ложный сустав бедра
Отправитель: Dr Alex 23 Октябрь 2010, 21:57
|
Здравствуйте, огород городим чтоб максимально быстро поставить пациента на ноги, с такой задачей к нам и обратились, при этом боимся распространения инфекции. О мотивах выбора тактики предыдущего лечения сказать ничего не могу - к нам обратились уже с описаной в настоящий момент картиной.
|
[
Ответить ]
|
Re: Ложный сустав бедра
Отправитель: Alexander Chelnokov 24 Октябрь 2010, 01:39
|
>Сосудистая терапия - это сосудистая терапия!
Кто бы мог подумать. А к инфицированному несращению она какое отношение имеет? В каком руководстве можно про это почитать?
|
[
Ответить ]
|
|
Re: Ложный сустав бедра
Doc-android 19 Октябрь 2010, 01:27
|
Добрый день, коллеги.
Закрыто, с таким смещением, вы не сделаете корректный остеосинтез + разнесете инфекцию по всему каналу. Я бы пошел классическим путем: 1.Есть возможность, сделал фистулографию, нет, то на операции прокрасил свищевой ход зеленкой, открыл, иссек, убрал секвестры, отмыл (раз 6-10),задренировал мягкие ткани. Затем смонтировал аппарат - Вверху спицы+дуга+"мальчики", штанга, внизу стержни ( спицы неудобно вверху на такой толстой ноге, но надо сберечь кость для окончательного остеосинтеза). Аппарат исключительно для восстановления длины бедра и временной стабилизации ( без суперрепозиции).
2. 12-14 дней лечим: а/б, инфузионная, медикаментозная (тут, кто во что горазд,и что у кого есть).Главное, чтоб рана зажила, ничего не текло, в анализах (лейкоцитоз, про-кальциотонин, СОЭ и пр.) все спокойно, швы снимаем.
3. Остеосинтез. Вот теперь закрыто, снимаете аппарат и делаете о/синтез антеградно либо длинным гамма-гвоздем, либо универсальным бедренным стержнем с 2 винтами 6,5 мм проксимально, в шейку. Для ранней нагрузки гамма-гвоздь предпочтительней. Если есть время, желание и возможности для собственного роста (ну и больной помочь конечно:-)я бы сделал цементную мантию с а/б на стержень.
4. Поднимаем больную, даем нагрузку, получаем сращением.
Вперед друзья я с вами , я гордо постою за вашими спинами:) С поддержкой, Doc-android.
|
[
Ответить ]
|
Re: Ложный сустав бедра
Отправитель: Alexander Chelnokov 19 Октябрь 2010, 20:22
|
Da> 3. Остеосинтез. Вот теперь закрыто, снимаете аппарат и делаете
Da> о/синтез антеградно либо длинным гамма-гвоздем, либо универсальным
Существенная деталь - аппарат лучше снимать не до, а после введения и запирания гвоздя.
|
[
Ответить ]
|
|
Re: Ложный сустав бедра
Dr Alex 20 Октябрь 2010, 01:02
|
Спасибо Вам, уважаемые коллеги.
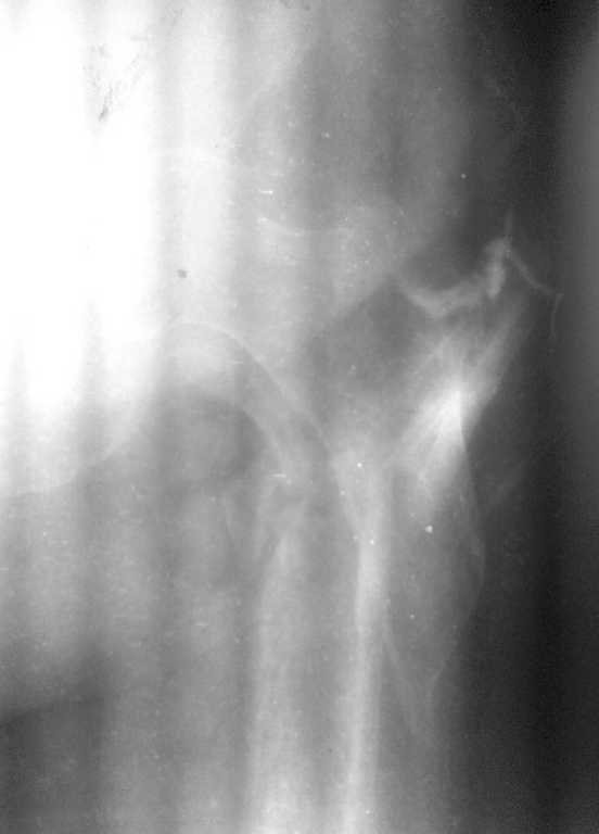
Сразу прошу прощения за качество фистулограммы... лучшего качества не можем добиться.

Фистула функционирует от случая к случаю - последние 2 дня выделений небыло, сделали контрастирование (с трудом вошло 5 мл контраста). Признаков воспаления в зоне поражения нет, лабораторные показатели в пределах нормы. Судя по распростарнению контраста - локальный остеомиелит в месте расположения стержня АВФ
План следующий: 1.контрастирование зелёнкой, ФНСЭ, дренирование+бусы с антибиотиком
2. если нет распространеия контраста в область грушевидной ямки и места перелома - БИОС стержнем с цементным покрытием
3. если распространение в указаные области есть - дренирование, бусы, заживелние раны, дистракция отломков, БИОС
Стоят следующие вопросы: 1. как Вы считаете, целесообразно ли поступить по пункту 1 и 2 в одине этап, или выполнять в два этапа
2. в стаье по изготовлению цементной мантии не указано как оставить в стержне полость для проводника ( ввестипроводник вместе со стержнем? не заклинит ли его внутри после полемиризации? мы думаем ввести проводник и двигать ним до завершения полимеризации, после чего снять трубку и востановить отверстия для болкировки закрытые цементом) у кого есть опыт, поделитесь, пожалуйста
Спасибо))
|
[
Ответить ]
|
Re: Ложный сустав бедра
Отправитель: Alexander Chelnokov 23 Октябрь 2010, 11:06
|
>мы думаем ввести проводник и двигать ним до завершения полимеризации, после чего снять трубку и востановить отверстия для болкировки закрытые цементом)
Да, все так. И даже двигать не надо, просто вставить, и после полимеризации вытащить.
Но действительно, не так уж тут критично введение именно по проводнику. Хотя и страшного особо ничего, делали мы так. Но напомню, есть даже любители цемент поместить не снаружи, а внутри полого стержня, наделав в нем отверстий.
|
[
Ответить ]
|
Re: Ложный сустав бедра
Отправитель: Dr Alex 23 Октябрь 2010, 17:41
|
Спасибо, Александр.
Нам необходимо пользоваться проводником - контролировать введение блокирующих винтов через стержень (нет ЭОПа)
|
[
Ответить ]
|
Re: Ложный сустав бедра
Отправитель: Anton Kovalenko 24 Октябрь 2010, 01:43
|
Блокирование без ЭОПа не значит - обязательное использование проводника и канюлированных стрежней. Главное, чтобы инструмент для дистального блокирования использовался полных комплектом(см. здесь).
Когда мы начинали применять БИОС , с того момента поставили около 800 стрежней и ЭОПа у нас не было. А когда он появился, никто до сих пор не соблазнился использовать "метод свободной руки" для блокирования дистальных отверстий и никакого желания его использовать нет. Прекрасно получается блокировать и без него.
|
[
Ответить ]
|
Re: Ложный сустав бедра
Отправитель: Dr Alex 24 Октябрь 2010, 23:02
|
В комплекте инструментов Chm слоник не приходил ни разу, видел его в другой больнице, не пользовались. Даже при наличии полного набора для навигатора, не всегда получается с первого раза попасть в отверстие для блокировки, если не попадаем с первого раза, в полученное отверстие в кости вводим спицу, которой как щупом пробуем куда она отклоняется (выше или ниже стержня) и соответственно отклоняем навигатор. А проводником контролируем попадание сверла, спицы, винта в отверстие, а как по другому?
|
[
Ответить ]
|
Re: Ложный сустав бедра
Отправитель: Anton Kovalenko 26 Октябрь 2010, 08:18
|
Мы тоже не сразу пользоваться стали, но когда попробовали отказаться уже не смогли ни на бедре, ни голени :) Не экономьте время на педантичной настройке дистального нацеливателя, мы собираем систему до разреза (семь раз отмерь).Если "слоник" точно попал на гвоздь - попадание с первого раза. Разумеется, чем больше и чаще ставишь, тем точнее понимаешь, что "слоник" сработал до блокирования. И потом есть другие системы нацеливания (др. фирм), не знаю что еще именно у Вас есть .
|
[
Ответить ]
|
Re: Ложный сустав бедра
Отправитель: Dr Alex 26 Октябрь 2010, 23:23
|
Спасибо, Антон. Слоник заказали, воспользуемся, собираем систему дистальной навигации заранее. Постоянного набора инструментов для БИОС в ЛУ нет, какой стержень заказал, такой инструмент передают. Сделаем канал для проводника, чтоб удостоверится в блокировке
|
[
Ответить ]
|
|
Re: Ложный сустав бедра
Dr.Mike 22 Октябрь 2010, 00:33
|
Уважаемый Dr Alex ! Думаю что зря вы принебрегаете советами Androida. Добится гладкого заживления при наличии нестабильности.. пусть даже и с четками.. У Вас бывали случаи гладкого заживления в подобных ситуациях? Если Вам не трудно, отпишите как будет протекать лечение. Заранее спасибо)
|
[
Ответить ]
|
Re: Ложный сустав бедра
Отправитель: Dr Alex 22 Октябрь 2010, 21:47
|
Уважаемый Dr.Mike, коллеги, мы ни в коем не пренебрегаем Вашими советами, для того и обсуждаем, чтоб найти оптимальный путь решения.
Выделения из свища-1 капля серозной жидкости в день, лабораторные показатели в норме. При таком коротком проксимальном фрагменте и масиве мягких тканей весьма проблематично стабильно зафиксировать отломки, при этом оставить место и структурную костную ткань для стабильной блокировки стержня. Убедить больную на АВФ тоже не просто (у неё есть горький опыт)
Случаи гладкого заживления раны в подобных и более сложных ситуациях были. Надеемся что развитию инфекции будут препятствовать бусы и мантия.
В коллективе мнения разделились - одни за двухэтапное лечение, другие за один этап

А теперь про АВФ - как провести спицы чтоб не мешать введению стержня? по рекомендации Doc-android? так как на рисунке (? Поделитесь литературой, или нарисуйте, пожалуйста. Спасибо
О лечении буду писать.
|
[
Ответить ]
|
Re: Ложный сустав бедра
Отправитель: Alex Zh. 24 Октябрь 2010, 00:02
|
Проводим спицу с напайкой в сагитальной плоскости отступив на 1 см от пульсации б.артериии. Проводим гладкую спицу спереди назад под 45 градусов в б вертел, при этом следим за стопой(седю нерв). далее если всё нормально по этой спице проводим с напайкой сзади наперед. Крепим в дуге.
|
[
Ответить ]
|
Re: Ложный сустав бедра
Отправитель: Doc-android 26 Октябрь 2010, 19:13
|
Dr Alex, добрый день. Я за двухэтапное лечение, если есть проблемы с АВФ(нежелание больной или докторов)как вариант наложить ДСВ, 2 спицы через бугристость ББК, груз 10% от массы больной, иссечь гнойный очаг и подержать до заживления.Рентген-контроль на ДСВ, если удалось растянуть по длине, то идти на закрытый синтез. Не могу разглядеть на снимках "ушел" малый вертел или нет? Если перелом из чрез-под-вертельных, то надо брать длинный гамма-гвоздь. Без ЭОПа, будет .опа, но очень интересно, 2 рентген-аппарата, лаборант бегает матерится, шейка спицами маркируется, ах молодость-молодость, приятно вспомнить.
C бусами в мягких тканях, сомнительно: инородное тело, место для гематомы, будет мешать лежать на боку,когда-то надо убирать, по-моему достаточно обработки и а/б мантии на стержне.
Успехов в нелегком труде, Doc-android.
|
[
Ответить ]
|
Re: Ложный сустав бедра
Отправитель: Dr Alex 26 Октябрь 2010, 23:09
|
Здравствуйте, Doc-android. Спасибо Вам за рекомендации!
В субботу проведна спица за бугристость ББК, вес 10 кг. Сегодня контрольные снимки - видимого удлинения в соотношении фрагментов нет, патологическая подвижность осталась. Больная тяжело переносит вынужденное положение, беспокоит боль в области перелома. Свищ с воскресенья не функционирует, признаков воспаления в проксимальном отделе бедра нет, лабораторные показатели в норме.
Малый вертел с небольшим фрагментом кортикала отломан.
План действий такой: 1. снять струп с места свища, ввести зелёнку, почистить. С бусами, в ключе сегодняшнего Вашего письма, ещё будем думать
Ушить рану, повторно обработать и укрыть поле, кожу накрыть антисептической плёнкой.
2. в связи с невозможностью растянуть скелетным вытяжением, открыть место перелома, частично освободить фрагменты, растянуть, открыть каналы при необходимости, репозиция (если не удастся - частичное укорочение) БИОС реконструктивным стержнем 10мм с покрытием антибиотиком (трубка для покрытия с внутренним диаметром 12мм).
О проведенном вмешательстве напишу. Спасибо.
|
[
Ответить ]
|
|
Re: Ложный сустав бедра
Dr Alex 28 Октябрь 2010, 22:18
|

Здравствуйте уважаемые коллеги.
Сегодня больная прооперированна.
До начала анестезии подготовлен стержень, столкнулись с такими трудностями:
1. Цемент быстро полимеризуется. В цемент добавили 4 грамма амикацина в соответствии с приведеной на форуме ранее схеме, тщательно порошок цемента и АБ перемешали, после добавления жидкого компонента цемент сразу стал густым и в шприц набрать возможности небыло, сделали колбаску и руками ввели в трубку, после чего вввели стержень и в конце закрыли трубку зажимами. Шилом наметили отверстия для блокировки и двигали проводником в стержне. Время полимеризации около 3 минуты. После остывания цемента срезали трубку, которая отделилась от цемента без проблем, и по аналогичному стержню и по меткам шила сверлом востановили отверстия для блокировки. Место для проводника в дистальном конце стержня было запаяно цементом и рассверлено проводником, в связи с чем и возникла вторая проблема
2. после репозиции по проводнику вводили стержень, проводник в нём заклинило и вытолкнуло в коленный сустав (увидели, что кожа в области надколенника натянулась) Вынули стержень и рассверлили полость в канале сверлом.
Место перелома открыли, фрагменты в рубцах, каналы закрыты, кость “сахарная”
Освободили от рубцов, каналы открыли, скусили 1см острого участка проксимального фрагмента для репозиции, заштифтовали без использования молотка, заблокировали дистально 3 винтами (один винт в сагитальной плоскости) и проксимально 2 винта.
Воспользовались слоником для сагиттальной блоктровки, всё легко получилось, спасибо, Anton Kovalenko, за такой ценный совет!
Свищевой ход не функционирует, сняли струп и зонд погрузился на 1 см под кожу, выделений нет, соответственно фистулонекрэктомия не выполнялась
К сожалению, снимки по дороге из операционной не выполнены, завтра сделаем и представим.
Спасибо Вам за помощь, рекомендации, ждём Ваши мнения по поводу проведенного вмешательства.
|
[
Ответить ]
|
Re: Ложный сустав бедра
Отправитель: Андрей Волна 30 Октябрь 2010, 22:21
|
Только сегодня прочитал данную дискуссию. Желаю пациентке здоровья и докторам удовлетворения. Но весь мой опыт подсказывает, что история эта, к сожалению, скорее всего завершится трагически. Мне думалось по ходу просмотра дискуссии исключительно о санации безо всякой фиксации, даже без вытяжения. Надеюсь, я ошибся. Искренне, Андрей
|
[
Ответить ]
|
|
( Ответить )
|
|