Ответить
|
Re: перелом мыщелка и диафиза большеберцовой кости - тактика?
Alexander Chelnokov 17 Декабрь 2010, 20:21
|
АЛ> Интересует срок проведения оперативного вмешательства,
АЛ> оптимальный выбор фиксатора (особенно интересует возможность БИОС
Интрамедуллярный остеосинтез диафизарного перелома тут возможен, но в первую очередь надо с помощью КТ уточнить повреждение суставного конца. Импрессионный перелом наружного мыщелка явный есть, может, и медиальная колонна повреждена, так что надо в первую очередь планировать открытую репозицию с замещением дефекта с фиксацией пластиной или аппаратом. Если получается технически, можно поверх уже синтезированного стержнем диафиза.
|
[
Ответить ]
|
Re: перелом мыщелка и диафиза большеберцовой кости - тактика?
Отправитель: Антон Лебединец 17 Декабрь 2010, 22:38
|
Уважаемый Александр Николаевич! Прошу прощения за некачественные сканы. КТ вообще-то реально, но сложности с транспортировкой больного в соседний корпус (такая перевозка и перекладывание для больных - дополнительная травма). По Р-граммам медиальный отдел вроде целый, но наружный мыщелок "отклячен" и суставная поверхность явно просела. У нас весь вопрос в методе фиксации или же их сочетании - одна пластина, опорная пластина и стержень (я так понял, что вы предлагаете сначала фиксировать диафиз, а потом заняться мыщелком?), винты и стержень, аппарат...Опять же состояние м/тканей (плотный отек, кровоизлияние)...
|
[
Ответить ]
|
Re: перелом мыщелка и диафиза большеберцовой кости - тактика?
Отправитель: Dr.Michalich 18 Декабрь 2010, 02:27
|
Добрый вечер!В ургентном порядке скелет,по показаниям фасциотомия 3-х футляров(малоинвазивно фасциотом),противоотечная терапия,нм гепарины, подготовка кожи и мягких тканей.После спадения отека, востановление суставной поверхности проксимального метаэпифиза б/берцовой кости,ревизия к/сустава,фиксация опорной пластиной нар.мыщелка и пластина по нар.поверхности на перелом б/берцовой кости.Ранняя разработка, поздняя нагрузка,это простой алгоритм в/суставных переломов.Для БИОС нет показаний.Если владеете, можно АВФ по Илизарову с артротомией.Удачи!
|
[
Ответить ]
|
Re: перелом мыщелка и диафиза большеберцовой кости - тактика?
Отправитель: Djoldas Kuldjanov 19 Декабрь 2010, 20:33
|
Полностью согласен с предложенным алгоритмом лечения внутрисуставных переломов, но для себя хотел бы уточнить, что означает “противоотечная терапия, нм гепарины”?
Гепарин или другие препараты применяются для "разжижения" крови и профилактики DVT, и показанием являются больные с высоким риском тромбоза, например, с ожирением, или больные с политравмой. Молодые активные больные, тем более с изолированной травмой, нуждаются в мобильности. Поэтому не всегда оправдывается агрессивный подход в назначении рискованных препаратов, тем более при лечении переломов на одном сегменте.
Для уменьшения отека мы прывыкли к применению SCD (Sequential Сompression Device) машин. Аппараты с мультиканальными возможностями, под манжетами создается давление на участок тела, и тем самым помогает уменьшить отек. В травме самым главным условием является восстановление длины конечности на вытяжении или наружными фиксаторами, иначе отек будет рассасываться намного медленнее.

Следующий вопрос по поводу фасциотомии. Вопрос периодически возникает на страницах ОртоФорума и несмотря на разборы современной лечебной тактики, многие коллеги к решению проблемы компартмент синдрома подходят поверхностно.
Односторонние переломы тибиал плато с переломом дифиза относится к высокоэнергетическим травмам. Повреждения, особенно переломы тибиал плато очень часто осложняются развитием компартмент-синдрома. Это острое состояние конечности с потерей функции нерва и мышц за счет сдавления в компартменте.
При травме период его развития очень короткий, и иногда в течение нескольких часов наступает полная потеря функции мышц конечности. Через неколько дней после травмы обычно речь будет идти о констатации "был или не был" компартамент-синдром. После развития КС уже не до фасциотомии, а наоборот, ею можно ухудшить состояние из-за вторичного инфицирования. Потерянную функцию мышц не возвратить, и лучше сохранить асептичность пространства!
Неизвестна 3х футлярная фасциотомия, если говорится насчет голени - у всех четыре компартмента: передний, наружный, задний глубокий и задний поверхностный.
Насчет малоинвазивной фасциотомии - мне кажется, это теоретический dream тех, которые никогда не встречали настоящий КС. Иногда после рассечения кожи рана в поперечнике расширяется до 5-7 см.
Компартмент-синдром не купируется консервативными методами.
Djoldas Kuldjanov, M.D.
Associate Professor
Department of Orthopedic Surgery
St. Louis University
|
[
Ответить ]
|
Re: перелом мыщелка и диафиза большеберцовой кости - тактика?
Отправитель: Djoldas Kuldjanov, M.D. 18 Декабрь 2010, 02:36
|
При наличии перелома тибиал плато не слишком ли расширяете показания блокирующего интрамедулярного остеосинтеза? И трудно поверить что невозможно транспортировать больного в соседний корпус для исследования. А тогда как c больными с политравмой или множественными сочетанними повреждениями?
Теоретически наверное можно фиксировать интрамедуллярным гвоздем, но при наличии набора пластин, какой смысль? Тем более при наличии внутрисуставного перелома интрамедулярный остеосинтез не создасть преимущества ранней нагрузки.
"Плотный отек и кровеизлияние" результат осевших мыщелков и уменьшения высоты конечности. Кондиции мягкой ткани в данном этапе не позволяет без риска делать операцию. Если у больного отсутствует вытяжение, тогда для улучшения состоянии мягкой ткани и для дистракции надо установить любой мостовидный наружный фиксатор от бедра к голени. Больной получит свободу, будеть передвигаться с помощью костылей и тогда сделайте нужные исследования включая Компьютерную Томограмму.
После утихания отеков и образования "wrinkle sign" сделать операцию на тибиал плато. Вариант длинная пластина с латеральной стороны. Надо приподнять импрессию с ауто или синтетическим графтом. Учитывая перелом медиального мыщелка antiglade пластина из минидоступа медиально..
В своем арсенале все компании имеют длинные перкутанные пластины. Преимущества примерное как от гвоздя, открывается только латеральная стороны на уровне перелома тибиал плато, а в остальном перкутанный Jig Insertion Device.
|
[
Ответить ]
|
|
Re: перелом мыщелка и диафиза большеберцовой кости - тактика?
Александр Кутков 18 Декабрь 2010, 01:37
|
Уважаемый Антон!
Мне кажется не стоит в данном случае городить огород.
Однозначно в представленном примере, в первую очередь, необходимо восстанавливать суставную поверхность, санировать повреждение внутрисуставных структур, заполнить дефект костной ткани (аутокостью или хронос-инжект, или другим остеоиндуктором, не принципиально, из того, что более доступно для Вас). Затем фиксация длинной, опорной мыщелковой пластиной с угловлй стабильностью (без рекламы, производитель не принципиально - но легальный и из известных) с учётом особенностей травмы (перелом диафиза), после сопоставления последнего в ноль. Схема установки из малых доступов, или нет, это уже как лучше умеете...
Зачем ставить ещё и стержень? Всё равно нагружать конечность рано Вы не сможете, а функциональность обеспечит и пластина, необдуманное применение конструкций компроментирует любой метод и увеличивает стоимость лечения.
PS. Ещё хотелось бы знать метод консервативного купирования компартмент синдрома.
Спасибо.
|
[
Ответить ]
|
Re: перелом мыщелка и диафиза большеберцовой кости - тактика?
Отправитель: Антон Лебединец 18 Декабрь 2010, 15:09
|
Уважаемый Александр! Спасибо за ваше мнение. Безусловно не обсуждается первоочередное восстановление сустава, но не создаст ли одна, достаточно массивная пластина дополнительных проблем (в плане компартмента (повторного?))?
Я бы больше склонялся к варианту аппаратного лечения. В плане БИОС - просто хотелось узнать мнение специалистов.
P. S. Консервативное купирование КС - вопрос интересный. Но, во-первых, достоверно КС не подтвержден (измерения внутрифасциального давления не проводилось), а клиника нечеткая, с-мы за 6-8 часов регрессировали (боли уменьшились, парестезии исчезли). Лечение согласно веяниям на Украине - холод на конечность, сосудистая терапия (представил улыбку А. Н. Челнокова), L-лизина эсцинат ("панацея"), антикоагулянты - доказательств эффективности не предоставлю :)
|
[
Ответить ]
|
|
Re: перелом мыщелка и диафиза большеберцовой кости - тактика?
Dr.Michalich 20 Декабрь 2010, 00:59
|
Не согласен,жировая эмболия: нм гепарины,эссенчиале,липостабил-профилактика осложнений забыли?Когда начнут считать страховые агенты,вам предьявят счет, это в будующем.Восточная школа травматологии Украины, за измерение давление в фасциальных футляров и раннию фасциотомию, при высокоэнегетической травме,сделайте и спите спокойно!l -лизино- эсцинат хороший препарат,но из практики -фасциотомия!Холод тоже хорошо!Желаю успехов!
|
[
Ответить ]
|
Re: перелом мыщелка и диафиза большеберцовой кости - тактика?
Отправитель: Maxim Agalakov 21 Декабрь 2010, 21:36
|
>Восточная школа травматологии Украины, за >измерение давление в фасциальных футляров и раннию >фасциотомию, при высокоэнегетической >травме,сделайте и спите спокойно
- после рекомендаций такой школы. думаю все вопросы отпали
|
[
Ответить ]
|
Re: перелом мыщелка и диафиза большеберцовой кости - тактика?
Отправитель: Dr.michalich 22 Декабрь 2010, 15:12
|
Максим,что отпало,обьясните ваш комментарий.
|
[
Ответить ]
|
Re: перелом мыщелка и диафиза большеберцовой кости - тактика?
Отправитель: Maxim Agalakov 23 Декабрь 2010, 19:40
|
Что за Восточная школа травматологов Украины, раньше не слышал?
|
[
Ответить ]
|
Re: перелом мыщелка и диафиза большеберцовой кости - тактика?
Отправитель: Dr.Michalich 24 Декабрь 2010, 18:02
|
Измерение давления фасциальных футляров,фасциотомия отпали,осталась школа?Ортрофорум существует для реальной помощи практическому врачу.Ваш ответ и вопрос,не прояснили реальную ситуацию.Ваша тактика лечения данного перелома.
|
[
Ответить ]
|
|
Re: перелом мыщелка и диафиза большеберцовой кости - тактика?
Антон Лебединец 22 Декабрь 2010, 22:40
|

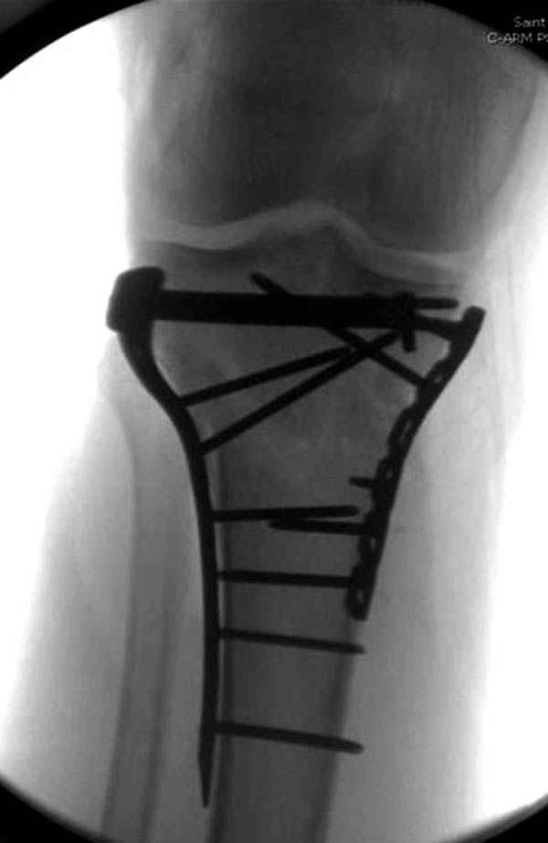
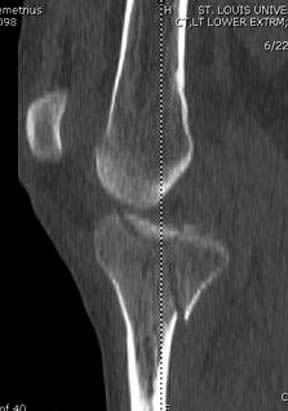
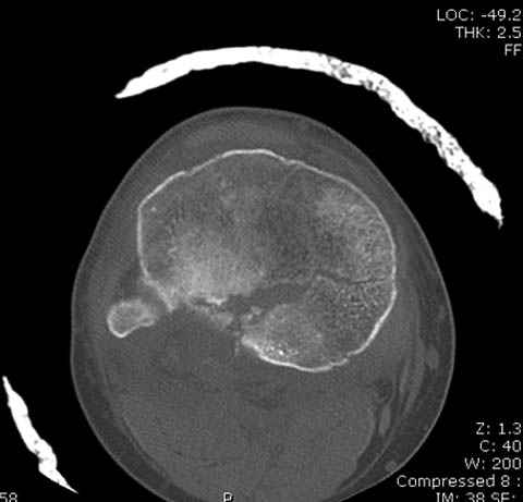
Пациенту сделали КТ - ухитрились сделать на шине Белера (не давал положить прямую ногу) - срезали передний отдел. Планируется на пятницу (24.12) на операцию - синтез длинной мыщелковой LCP-пластиной Synthes :). Отек ближе к слову умеренный (окружность голени +4 см по сравнению со здоровой). КТ и снимок на вытяжении прилагаются.
Спасибо всем за высказанные мнения, о результатах обязательно проинформирую.
|
[
Ответить ]
|
Re: перелом мыщелка и диафиза большеберцовой кости - тактика?
Антон Лебединец 29 Декабрь 2010, 23:29
|
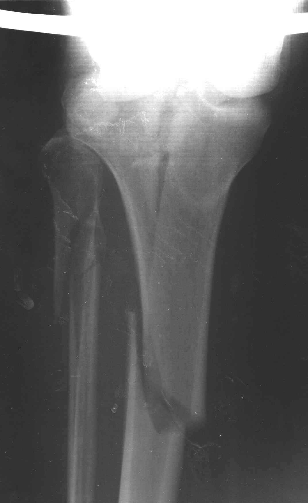
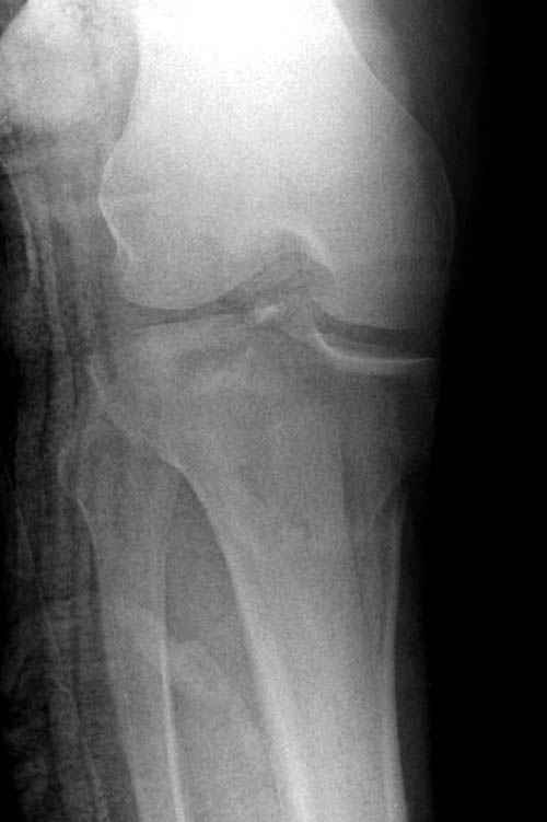
Уважаемые коллеги! В прошлую пятницу больной прооперирован - как и планировалось мыщелковая LCP от ChM. Малоинвазивно не получилось - один большой доступ :(. (но с минимальным скелетированием б/б кости). Наружный мыщелок собрали, но по контролю видно, что задне-медиальный отдел метаэпифиза смещен. Фиксировать не стали (?). 4-е сутки после операции - по м/тканям без проблем. Дополнительная иммобилизация синтетическим тутором.
Интересно услышать ваши мнения, анализ ошибок...
P. S. перелом диафиза на контроле не совсем захвачен, но проблем там нет. Приношу извинения за низкое качество Р-грамм - выполнены на сканере (фотоаппарат не работает :)) .

С уважением А. В. Л.
|
[
Ответить ]
|
Re: перелом мыщелка и диафиза большеберцовой кости - тактика?
Отправитель: Djoldas Kuldjanov 30 Декабрь 2010, 00:16
|
Интересно услышать ваши мнения, анализ ошибок...
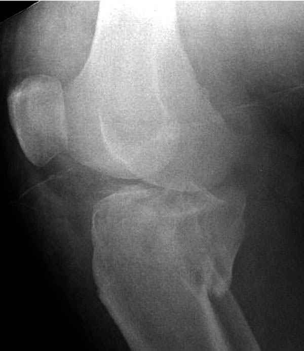
Трудно поверить, что разрекламированная Ортопедическая школа Восточной Украины позволяет такие странные снимки? На прямом снимке сохранен общий контур плато, но не известна судьба импрессии суставной поверхности. На полубоковой?, оставлен без репозиции задне-медиальный отдел, и навряд ли после такой фиксации можно удовлетвориться результатом.
Такая ситуация характерна для многих, когда принимается ошибочное решение, т.е пытаются фиксировать одним имплантом переломы двух мыщелков. Латеральная пластина приемлема только для тех случаев, когда сохраняется интактным медиальный диафизарный кортекс и отсутствует фрагментация на верхушке медиального перелома.
Здесь как раз тот случай, когда результат зависит не только от мастерства хирурга, но и от наличия современных методов исследования. Например, КТ которая поможет рассчитать направления шурупов и установку импланта. Кроме этого, поможет определиться с доступом.
На представленных предоперационных срезах КТ огромный задне-медиальный фрагмент расположен больше кзади, чем медиально. Для планирования, кроме поперечных срезов, надо ориентироваться на корональные срезы, которые укажут топографию верхушки медиального фрагмента.
При сложных переломах тибиал плато для своего рода Damage Control мы иногда применяем поэтапную тактику. Сперва оперируется одна сторона, а потом после рекондиции мягких тканей окончательный этап.
Если состояние мягких тканей позволяет, я бы предложил такой метод для вашего больного. Без предварительного планирования будет трудно, но шанс не надо упускать. Всего несколько дней после операции, и такая тактика лучше, чем недовольный молодой пациент.
Представленные снимки не информативны, нужны отдельные качественные снимки коленного сустава и голени без ротации.
Доступ к медиальной стороне задний или медиальный, через pes или в пространстве между medial gastroc мышцы.


Надеюсь, представленные снимки разных случаев помогут разобраться в тактике, и критика примется без личной обиды.
Djoldas Kuldjanov, M.D.
Associate Professor
Department of Orthopedic Surgery
St. Louis University
|
[
Ответить ]
|
|
( Ответить )
|
|