ВХОД ДЛЯ ПАЦИЕНТОВ
вверх
поиск
админ
главная
исходное
последующие
|
Re: перелом мыщелка и диафиза большеберцовой кости - тактика?
послал Djoldas Kuldjanov 30 Декабрь 2010, 00:16
|
Интересно услышать ваши мнения, анализ ошибок...
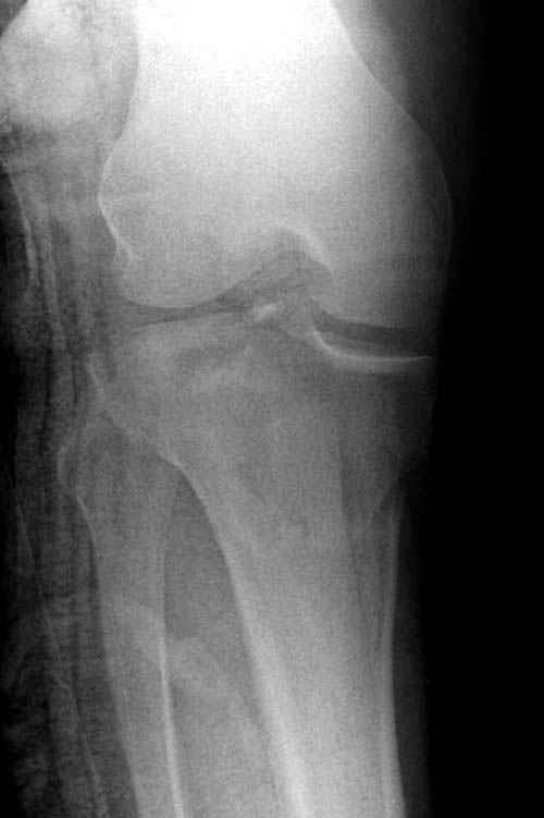
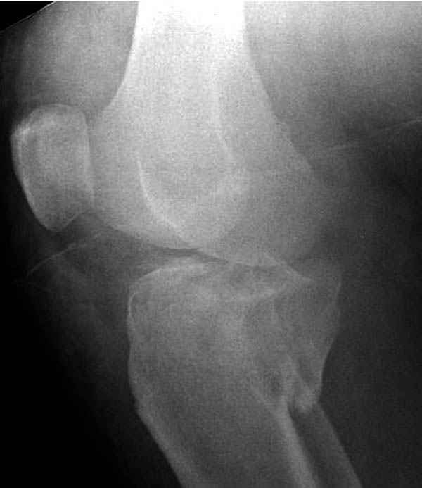
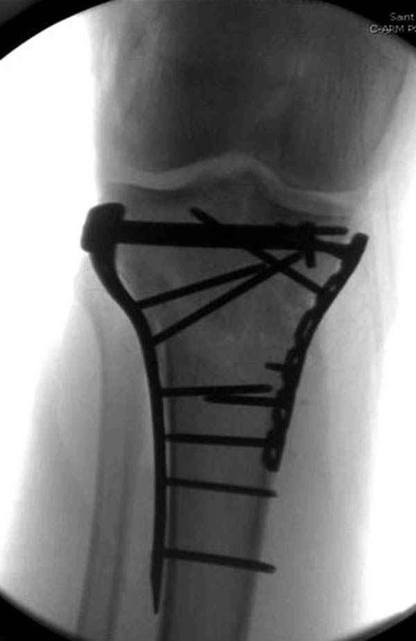
Трудно поверить, что разрекламированная Ортопедическая школа Восточной Украины позволяет такие странные снимки? На прямом снимке сохранен общий контур плато, но не известна судьба импрессии суставной поверхности. На полубоковой?, оставлен без репозиции задне-медиальный отдел, и навряд ли после такой фиксации можно удовлетвориться результатом.
Такая ситуация характерна для многих, когда принимается ошибочное решение, т.е пытаются фиксировать одним имплантом переломы двух мыщелков. Латеральная пластина приемлема только для тех случаев, когда сохраняется интактным медиальный диафизарный кортекс и отсутствует фрагментация на верхушке медиального перелома.
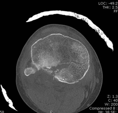
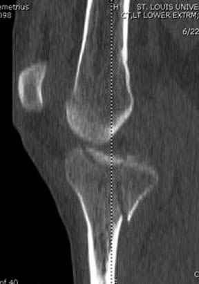
Здесь как раз тот случай, когда результат зависит не только от мастерства хирурга, но и от наличия современных методов исследования. Например, КТ которая поможет рассчитать направления шурупов и установку импланта. Кроме этого, поможет определиться с доступом.
На представленных предоперационных срезах КТ огромный задне-медиальный фрагмент расположен больше кзади, чем медиально. Для планирования, кроме поперечных срезов, надо ориентироваться на корональные срезы, которые укажут топографию верхушки медиального фрагмента.
При сложных переломах тибиал плато для своего рода Damage Control мы иногда применяем поэтапную тактику. Сперва оперируется одна сторона, а потом после рекондиции мягких тканей окончательный этап.
Если состояние мягких тканей позволяет, я бы предложил такой метод для вашего больного. Без предварительного планирования будет трудно, но шанс не надо упускать. Всего несколько дней после операции, и такая тактика лучше, чем недовольный молодой пациент.
Представленные снимки не информативны, нужны отдельные качественные снимки коленного сустава и голени без ротации.
Доступ к медиальной стороне задний или медиальный, через pes или в пространстве между medial gastroc мышцы.


Надеюсь, представленные снимки разных случаев помогут разобраться в тактике, и критика примется без личной обиды.
Djoldas Kuldjanov, M.D.
Associate Professor
Department of Orthopedic Surgery
St. Louis University
|
Послать ответ |
Обратите внимание: Поля с жирными названиями обязательны.
Старайтесь отвечать в рамках обсуждаемой темы, а не начинать новые обсуждения.
Указывайте адекватную тему сообщения, чтобы было ясно, о чем оно.
Не послайте сообщений не по теме (оффтопик), раздраженных, грубых или обидных комментариев. Здесь это неуместно.
|