вверх
отправить
поиск
админ
главная
|
Ложный сустав? после перелома типа pilon |
 |
 |
 |
Отправлено Антон Лебединец 19 Март 2011, 21:42
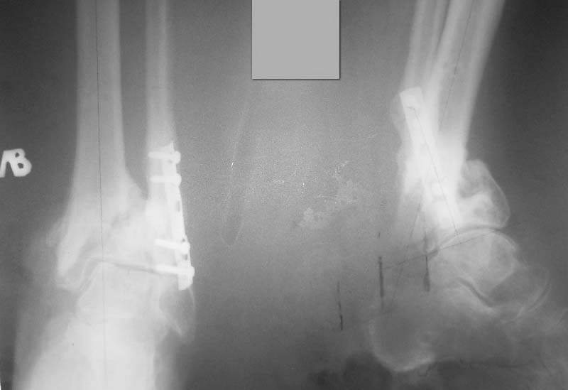
Уважаемые коллеги! Интересно ваше мнение по тактике лечения данной пациентки.Женщина 72 л соматически сохранная, умеренно полная, в мае прошлого года получила бытовую травму - открытый оскольчатый внутрисуставной перелом дистального метаэпифиза большеберцовой кости (Gustilo III-A) и поперечный перелом н/з малоберцовой кости со смещением отломков. Оперирована ургентно - открытая репозиция отломков малоберцовой кости, остеосинтез пластиной. ПХО раны голеностопного сустава, стабилизация отломков большеберцовой кости стержневым аппаратом. Репозиция отломков удовлетворительная (варус до 5 гр, рекурвация до 5 гр) - сильно за ней не гонялись, много осколков. В дальнейшем заживление ран первичное. Аппарат до 3 мес, затем гипсовая лонгета. Общий срок иммобилизации и разгрузки нижней конечности 4,5 мес - разрешена нагрузка после клинических и рентгенологических? признаков сращения. Последние 4 мес из поля зрения выпала, появилась сегодня. Беспокоят сильные боли при ходьбе, деформация голени, хромота. Р-контроль прилагается - варус 16 гр, рекурвация 35 гр (прошу прощения за качество снимков). Клинически варусно-рекурвационная деформация н/з голени, подвижность в н/з, боль. Движения в голеностопном суставе разгибание-сгибание 0/0/20. Трофика не нарушена, рубец области медиальной лодыжки плотный, спаян с подлежащими тканями. Больная хочет ходить без боли на ровной ноге (что вполне естественно). Возникает вопрос - как этого добиться? Удаление металлоконструкций, остеотомия малоберцовой на мой взгляд не обсуждаются - выполняются при любом из выбранных методов лечения (далее как мне видится в порядке предпочтения): - коррекция деформации аппаратом Илизарова с последующим БИОС ретроградным стержнем типа T2 AAN или аналогами (читал за и против данного метода, но по моему он единственный обеспечит больной раннюю нагрузку и стабильность пусть даже ценой потери ГСС (который и так уже потерян ИМХО) и ПТС). -коррекция деформации аппаратом Илизарова с оставлением этой фиксации как окончательной (необходимо ли выполнение свободной костной пластики). -открытая репозиция, остеосинтез LCP с костной пластикой. Данный метод на мой взгляд не позволит добиться хорошей стабильности, учитывая небольшой дистальный отломок и пороз кости (уже при первой операции обращала на себя "пустота" метаэпифиза), будет сопряжен с дополнительной иммобилизацией, как следствием потерей функции голеностопного сустава, невозможностью ранней нагрузки конечности. Кроме того, наиболее травматичное вмешательство, а м/ткани этой области скомпрометированы первичной травмой - как пойдет заживление. Таково мое видение проблемы. Женщине очень хочется помочь, поэтому буду рад выслушать все мнения, доводы "за" и "против" какого-то метода, другую тактику.
С уважением А. В. Л.
<
|
>
|
|
Ответить
|
Re: Ложный сустав? после перелома типа pilon
адонин 19 Март 2011, 22:53
|
открытая репозиция и артродез голеностопа и подтаранного сустава гвоздем. не вижу смысла тратить время на постепенную коррекцию аппаратом, когда костный клин, иссеченный прямо через голеностоп, решает вопрос коррекции деформации и подготовки поверхности к артродезу одномоментно.

у меня сейчас лежит больная с Шарко голеностопа, оперированная этим способом в понедельник. к сожалению, послеоперационные рентгенограммы я еще не сфотографировал. То, чтоесть - это вид сзади на голеностоп до операции и перед закрытием раны
|
[
Ответить ]
|
Re: Ложный сустав? после перелома типа pilon
Игорь Кучерявый 19 Март 2011, 23:32
|
Чем вызвана такая деформация? Если это выраженный остеопороз, то вариант видимо только один - артродез, если это - нестабильный остеосинтез+несоблюдение ограничения нагрузки в послеоперационном периоде - то видимо два. )))
Что касается голеностопного сустава - сустав вполне интактен в данном случае (ИМХО), а изменения в нем вызваны вышестоящими проблемами.
Если выбирать накостный остеосинтез LCP, можно было бы выполнить в метаэпифизарной области остеотомию большеберцовой кости с восстановлением оси, по возможность вернуть сустав на место и фиксировать блокированным листом клевера. Выбор линий остеотомии неплохо бы спланировать на компьютере, чтобы потом не было проблем с нестабильностью и нехваткой костного материала. Для анализа и расчета операции обязательно нужны также и старые рентгенограммы, где хорошо виден свежий перелом - это поможет понять суть деформации.
Насчет дефекта кости. При первой операции он был вызван разрушением мягкой спонгиозной кости при травме и сейчас не так актуален, если не гнаться за полным анатомическим восстановлением кости. Обычно дефект возникает не с медиальной стороны, а в середине, а у вас при низведении сустава появится дефект с медиальной стороны, под пластиной (на снимке).
В получившийся дефект метафиза большеберцовой - губку из таза. На малоберцовую - длинную блокированную пластину и межберцовый винт. Что касается длины малоберцовой - ее видимо удастся рассчитать только интраоперационно, после того как будет низведен и фиксирован голеностоп. Сустав конечно будет не идеален. Но, в отличие от других методов, увидеть, что получилось, можно будет сразу. Не выйдет хорошо - всегда в запасе артродез.
P.S. Мне показалось, что остеосинтез малоберцовой и стержнево
--
С уважением,
Кучерявый Игорь,
г. Сергиев Посад.
|
[
Ответить ]
|
Re: Ложный сустав? после перелома типа pilon
Игорь Девин 19 Март 2011, 23:34
|
Уважаемый Антон! Видимо, Ваша пациентка повторно травмировала ногу, т.к. произошел повторный перелом малоберцовой кости и угловая деформация на уровне верхнего винта. К тому времени костная мозоль была еще слаба, и метаэпифиз б/берцовой кости "съехал" кпереди. Что делать? Сначала диагноз: неправильно сросшийся перелом метаэпифиза большеберцовой и н/3 малоберцовой костей, рекурвационная деформация. Из диагноза вытекает тактика: корригирующая остеотомия обеих костей, повторный остеосинтез. Остеотомию большеберцовой кости следует проводить на уровне верхнего края дистального отломка по профильному снимку, поперечно, малоберцовой кости - на уровне верхнего винта. После остеотомии следует совместить оси проксимального отломка и таранной кости, устранить угловую деформацию (она разная у обеих костей). Если останутся щелевидные дефекты (спереди), заполнить их аутокостью. Остеосинтез лучше проводить пластиной с угловой стабильностью "лист клевера", малоберцовой - 1/3 трубчатой (можно ту же пластину поднять на 2 отверстия) При расположении пластины по передней поверхности б/берцовой кости не забыть спилить и сровнять нижнюю часть пластины. Можно располагать и снутри, в этом случае после остеотомии и репозиции будет необходима краевая резекция дистального фрагмента, т.к. он будет выступать в виде ступени кнутри, эту же кость можно использовать для пластики. Возможна фиксация в Аппарате Илизарова - менее предпочтительный вариант. По доступам не могу советовать, но если возможно - передний дугообразный классический для большеберцовой и наружный для м/берцовой. Открывать кожу шире, для этого продлить доступ дистальнее внутренней лодыжки.
Успехов!
И.Девин.
|
[
Ответить ]
|
Re: Ложный сустав? после перелома типа pilon
Игорь Кучерявый 19 Март 2011, 23:38
|
Мне показалось, что остеосинтез малоберцовой и стержневой аппарат на голени - это недостаточно для такого перелома и создает условия для укорочения и деформации метафиза большеберцовой кости. Да и сроки фиксации может были недостаточны.
Цитирую Я. Одесского ("Ранняя репозиция взрывных переломов дистального конца большеберцовой кости..."):
"На сегодняшний день, стандартом лечения переломов pilon являются протоколы, включающие ... Голеностопный сустав фиксируется в аппарате 6-12 недель, после чего начинается его разработка, общий срок фиксации в аппарате 12-16 недель, а для переломов проникающих до диафиза – 6 месяцев."
У вас же получается стержневой, который менее стабилен с минимальным сроком. Попробуйте собрать женщине ногу. А артродез - всегда успеете.
--
С уважением,
Кучерявый Игорь,
г. Сергиев Посад.
|
[
Ответить ]
|
Re: Ложный сустав? после перелома типа pilon
VlaD 20 Март 2011, 02:07
|
Здравствуйте коллеги!
Частота ложных суставов и повторных смещений костных отломков после оперативной стабилизации переломов пилона доходит до 30%. Каждый, кто занимается лечением таких повреждений, наверняка сталкивался с такими осложнениями. Однако лечить такие осложнения в моральном, да и в оперативном плане проще, чем свежие переломы пилона (особенно Ruedi III), поскольку к этому времени становится более или менее понятной судьба голеностопного сустава. Если в достаточной мере владеете блокированным остеосинтезом, то самым оптимальным вариантом, с моей точки зрения, будет следующий. С переднемедиального и латерального доступов выполнить поперечную остеотомию большеберцовой и малоберцовой костей в плоскости параллельной плоскости голеностопного сустава на расстоянии около 3 см от самого сустава. Это минимальное расстояние, которое позволит расположить три блокирующих винта стержня. Важен выбор самого стержня. В данном случае больше всего подходит стержень ChM, имеющий на дистальном конце помимо отверстий в сагиттальной и фронтальной плоскостях и отверстия под углом в 45 градусов, причём на минимальном расстоянии друг от друга. Остетомию и последующую репозицию костных отломков мы выполняем в репозиционном спицевом аппарате. Стержень антеградный. В данном случае не вижу никаких оснований в применении ретроградного стержня, проходящего через здоровый подтаранный и через голеностопный сустав с его до конца неопределённой функцией. Образовавшийся дефект по переднемедиальной поверхности должен быть заполнен костным трансплантатом. Пример похожего случая из нашей практики - в приложенном файле.

С уважением, VlaD.
|
[
Ответить ]
|
Re: Ложный сустав? после перелома типа pilon
Отправитель: Бережной Сергей 20 Март 2011, 02:36
|
Красивый пример, но только к данному случаю не очень-то применим. Другой характер смещения, совсем не такой дистальный фрагмент большеберцовой кости.
|
[
Ответить ]
|
Re: Ложный сустав? после перелома типа pilon
Отправитель: VlaD 20 Март 2011, 04:16
|
Дистальный фрагмент должен быть интересен только в плане его величины (которая регулируется уровнем остеотомии) и способности прочно удерживать блокирующие винты стержня. Безусловно, возникнут трудности при репозиции отломков после остеотомии. Критерий репозиции – проекция центра костномозгового канала проксимального отломка на середину суставной поверхности большеберцовой кости в обеих плоскостях при отсутствии угловых деформаций. И трудность не столько в репозиции, сколько в удержание отломков в репонированном положении на время введения, блокирования стержня и рентгенконтроля. Поэтому мы выполняем такие операции в репозиционном аппарате.
|
[
Ответить ]
|
Re: Ложный сустав? после перелома типа pilon
Отправитель: Алексей Минервин 20 Март 2011, 15:01
|
Уважаемый VlaD! А что значит синяя стрелка на Вашей презентации? Проведение одного блокирующего винта через обе кости это принципиальный момент операции?
Спасибо.
С уважением, А.Минервин.
|
[
Ответить ]
|
Re: Ложный сустав? после перелома типа pilon
Отправитель: VlaD 20 Март 2011, 17:08
|
Слайд взят из собственной презентации по лечению переломов пилона. При переломах пилона в большинстве случаев больше всего подвергается разрушению переднелатеральная и латеральная часть большеберцовой кости из-за вальгусной установки пяточной кости и флексии стопы во время травмы. Поэтому самый дистальный винт, который располагается во фронтальной плоскости, мы, путём ротации стержня, стараемся провести и в малоберцовую кость, чтобы конец блокирующего винта располагался в прочной кости и выполнял свою функцию. Не знаю, насколько это принципиально, но так как обе кости связаны между собой синдесмозом, наверное, в этом есть рациональное зерно.
|
[
Ответить ]
|
|
Re: Ложный сустав? после перелома типа pilon
Maxim Agalakov 20 Март 2011, 12:47
|
а можно фото ноги посмотреть?
|
[
Ответить ]
|
Re: Ложный сустав? после перелома типа pilon
Отправитель: Антон Лебединец 20 Март 2011, 20:56
|
К сожалению ногу не догадался сфотографировать, в среду должна появиться - постараюсь исправиться :). На вид - нога как нога с соответствующей деформацией и кожными рубцами.
|
[
Ответить ]
|
|
Re: Ложный сустав? после перелома типа pilon
Исмаил Дибиров 20 Март 2011, 20:54
|
И операция выполнена намного раньше, по структуре ткани.
|
[
Ответить ]
|
Re: Ложный сустав? после перелома типа pilon
Отправитель: Антон Лебединец 20 Март 2011, 20:59
|
Если вы о первой операции (и пока единственной) то она выполнена 26.05.2010 - знаю точно, сам оперировал. Пороз костей был отмечен изначально (и не только в метафизарном отделе ББК)
С уважением А. В. Л.
|
[
Ответить ]
|
|
Re: Ложный сустав? после перелома типа pilon
Исмаил Дибиров 20 Март 2011, 20:58
|
В 72 года артродез -выход.
|
[
Ответить ]
|
Re: Ложный сустав? после перелома типа pilon
Alexander Chelnokov 20 Март 2011, 21:44
|
Мне представляется, что чрескожная остеотомия (или без нее, тугой ложный сустав можно и закрыто мобилизовать) и постепенная коррекция, особенно если упомянуты рубцы, это оптимальное начало. Одномоментная коррекция в этой области, да в 72 г., еще и с рубцами - как-то не лежит душа. Хотя это технически выполнимо, и интраоперационный дистрактор поможет - но грубо, травматично, и чревато проблемами с тканями.
А после коррекции оси решить по окончательной фиксации. Вероятно, действительно можно будет заштифтовать. Рентгенологически сустав не потерян, так что действительно антеградно, как коллега Vlad предлагает. Имплантатов для короткого дистального отломка сейчас много. При штифтовании гвоздик должен быть сориентирован по фасу не на центр, а латеральнее, см. пример.

Впрочем, надо аппаратом максимально устранить все смещения, и уж какое положение отломков будет задано, то и будет гвоздем зафиксировано.
|
[
Ответить ]
|
Re: Ложный сустав? после перелома типа pilon
Отправитель: Maxim Agalakov 21 Март 2011, 22:23
|
Согласен с А.Н. - более прогнозируемый и менее рискованный вариант
|
[
Ответить ]
|
Re: Ложный сустав? после перелома типа pilon
Отправитель: Игорь Кучерявый 22 Март 2011, 01:22
|
При штифтовании гвоздик должен быть сориентирован по фасу не на центр, а латеральнее,
А почему латеральнее?
С уважением,
Кучерявый Игорь,
г. Сергиев Посад.
|
[
Ответить ]
|
|
Re: Ложный сустав? после перелома типа pilon
Djoldas Kuldjanov 22 Март 2011, 01:31
|
пациентка повторно травмировала ногу, т.к. произошел повторный перелом малоберцовой кости и угловая деформация на уровне верхнего винта
Это результат не повторной травмы, а типичной ошибки леченного без учета характера травмы перелома пилона . При переломах пилона укорочение конечности происходит за счет компрессии дистального метафизарного фрагмента. Поэтому при лечении необходимо замещение пустоты структурным костным графтом с нейтрализацией медиальной (Butress) пластиной. Иначе фиксированная малоберцовая после первых шагов поведет большеберцовую в варус.
Циркулярные аппараты типа Илизарова из-за равномерной нейтрализации с двух сторон могут удержать короткий дистальный сегмент до конца лечения, но односторонние наружные фиксаторы не смогут создать адекватную фиксацию. Поэтому наружные фиксаторы при свежих переломах пилона применяются в основном как временная дистрагирующая сила, а окончательную фиксацию необходимо провести после улучшения мягких тканей.
При переломах пилона устарел термин “первичный золотой час”, потому что оксигенация в области перелома падает драматически и доходит до минимума в течение первых восьми часов. Восстановление происходит очень медленно с 5-6 дня.
Из-за риска осложнений делать операцию в этом периоде не рекомендуется. Можно провести фиксацию снаружи лодыжки, потому что падение оксигенации меньше, чем на медиальной стороне.
Интрамедуллярный гвоздь - не панацея от всех видов ложных суставов, и тем более при недостатке опыта. Самое главное - надо сохранить опороспособную конечность, а ранняя нагрузка не является критерием успеха. Удаление металла через лимитированный доступ, остеотомия над суставом, закончить коррекцию, и лечение в аппарате Илизарова или Тэйлора.
Djoldas Kuldjanov, M.D.
Associate Professor
Department of Orthopedic Surgery
St. Louis University
|
[
Ответить ]
|
( Ответить )
|
|