вверх
отправить
поиск
админ
главная
|
Вывих правого плеча после остеосинтеза пеерлома проксимального отдела плечевой кости пластиной |
 |
 |
 |
Отправлено Алексей 09 Июнь 2011, 01:29
Уважаемы коллеги! Прошу помочь определиться с тактикой лечения пациентки. В феврале в отделение поступила пациентка с оскольчатым переломо-вывихом головки плечевой кости. Выполнена операция -остеосинтез блокируемой пластиной. Костная пластика не производилась. На контрольных рентгенограммах остается сублюксация головки и смещение большого бугорка. Интраоперационно бугорок подшивался с помощью лавсановых нитей. Послеоперационно: ношение косыночной повязки и пассивные движения в плечевом суставе в течение 2,5-х месяцев без особенностей. Через 2,5 месяца при попытке выполнения пассивно-активных движений произошел передний вывих плечевой кости.Вся реабилитация производилась по месту жительства. Таким образом существование вывиха в течение 1 месяца. Боли не беспокоят. Нейрососудистых нарушений в конечности нет. Что вы можете посоветовать: пластику, эндопротез, артродез? Заранее спасибо.
<
|
>
|
|
Ответить
|
Re: Вывих правого плеча после остеосинтеза пеерлома проксимального отдела плечевой кости пластиной
армен 09 Июнь 2011, 20:07
|
мне кажется ,что на послеоперационном снимке, также имеется сублюксация головки.сколько годов пациентке?
|
[
Ответить ]
|
Re: Вывих правого плеча после остеосинтеза пеерлома проксимального отдела плечевой кости пластиной
Алексей 10 Июнь 2011, 21:21
|
Пациентке 64 года
|
[
Ответить ]
|
Re: Вывих правого плеча после остеосинтеза пеерлома проксимального отдела плечевой кости пластиной
Олег 11 Июнь 2011, 01:19
|
Уважаемый коллега. На мой взгляд имеющаяся дислокация головки обусловлена на мой взгляд имеющейся у пациента обширной травмой ротаторного аппарата. В пользу данной точки зрения могу привести следующее: на представленных Вами рентгенограммах хорошо заметен отрыв большого бугорка со смещением отломков который как известно является точкой прикрепления коротких наружных ротаторов плеча. Последующая миграция данного фрагмента и неполноценная репозиция его при первичном остеосинтезе с нестабильной фиксацией на мой взгляд и обусловили создавшуюся ситуацию. то что пациента не беспокоят боли позволю подвергнуть сомнению поскольку сам занимаюсь хирургией плеча и с подобными ситуациями сталкивался неоднократно. На мой взгляд в настоящее время целесообразно проведение повторного оперативного вмешательства с адекватным восстановлением ротаторного аппарата, поскольку дальнейшее затягивание сложившейся ситуации уменьшает шанс на успех данного вмешательства.
С сожалением и уважением Олег
|
[
Ответить ]
|
Re: Вывих правого плеча после остеосинтеза пеерлома проксимального отдела плечевой кости пластиной
Отправитель: Алексей 11 Июнь 2011, 19:07
|
Спасибо вам, Олег, за ответ. То что нет болевого синдрома в покое тоже меня удивляет. Скорее всего придется сделать пластику ( с лавсановой лентой). К сожалению, прошло много времени и фрагмент большого бугорка скорее всего выделить не удастся. Функция ротаторов тоже мне видится утраченной. Будем думать.
|
[
Ответить ]
|
Re: Вывих правого плеча после остеосинтеза пеерлома проксимального отдела плечевой кости пластиной
Отправитель: Oleg Afanasjev 12 Июнь 2011, 02:29
|
Сбить акромион,выделить из рубцов наружный короткий ротатор, подшить лавсановую ленту,устранить вывих(разрыв капсулы сустава, повреждение Банкарта)место фисации ленты ложе б/бугорка.Для стабильности фиксации лентой за клюв и ость лопатки.Удачи!
|
[
Ответить ]
|
|
Re: Вывих правого плеча после остеосинтеза пеерлома проксимального отдела плечевой кости пластиной
Djoldas Kuldjanov 11 Июнь 2011, 11:49
|
Немного причин, приводящих к вывихам после фиксации переломов проксимального плеча. В результате несоответствия суставной поверхности лопатки и головки плеча из-за потери кости по задней поверхности головки плеча или в задней половине суставной впадины. Или в результате отсутствия мягкотканого покрытия, к которому можно отнести разрывы манжетки или суставной капсулы. А также когда повреждается нерв.
При вывихе плеча редко повреждается лучевой, серединный или локтевой нервы, и поэтому нормальная неврологическая функция на периферии конечности еще не доказательство интактного неврологического статуса. Но повреждения аксиллярного нерва встречаются очень часто, например, во время травмы или ятрогенное - во время неосторожных хирургических манипуляций. Отсутствие чувствительности над дельтовидной мышцой и атрофия покажет повреждение аксиллярного нерва. Потеря функции дельтовидной мышцы приводит к вывиху сустава вниз. Или повреждение n.subspinatus приводит к дисфункцию мышцы, в результате манжетка не может удержать головку.
При представлении случая на любой разбор, в том числе на ОртоФорум желательно выставить краткий анамнез травмы, возраст и вес. В выборе тактики лечения доминирующая рука, а также профессия играют важную роль. Особое внимание на профессию обращают также при оценке на инвалидность.
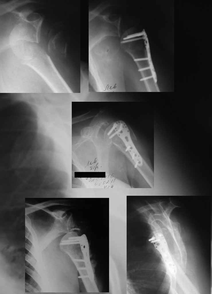
Набор мелких снимков не отражает истинную картину суставной поверхности лопатки, а также качество репозиции головки плеча. Необходимо доказать аксиальным снимком наличие покрытия головки. Правильная маркировка на рентген снимках и соответствие с выставленным диагнозом гарантирует от ошибок со стороной во время операции!
Желательно добавить клинические снимки плеча, которые покажут хирургическую доступ и состояние дельтовидной мышцы (атрофию).
Для оценки мягкотканого покрытия и положения костных отломков, а также для изучения неврологического статуса необходимо дообследовать современными методами. Например из КТ (3D) трехмерное более информативное. МРТ и электромиография дополнит понимание ситуации и облегчит принятие правильного решения.
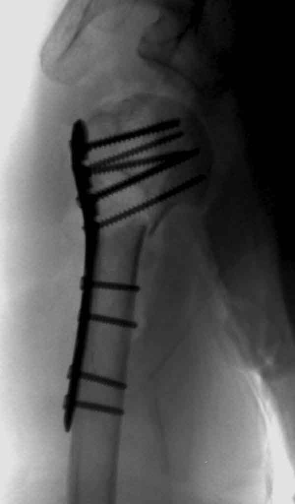
Здесь результат похожего случая, больная 87 лет, отягощенная сердечными делами и два года назад установка pacemaker и нескольких стентов. На третий день, сегодня утром сделали операцию. Послеоперационный псевдовывих связанный с релаксацией мышц и общим обезболиванием.
Djoldas Kuldjanov, M.D.
Associate Professor
Department of Orthopedic Surgery
St. Louis University
|
[
Ответить ]
|
Re: Вывих правого плеча после остеосинтеза пеерлома проксимального отдела плечевой кости пластиной
Michael Berenstein 12 Июнь 2011, 16:35
|
Уважаемые коллеги
Совершенно не простой случай. Больная 64 года с посттравматическим невправимым вывихом. Было бы хорошо узнать функциональное состояние плеча и
больной.
Для адекватного лечения необходимо знать состояние костного компонента - нужно КТ с артрографией что поможет частично оценить состояние сухожилий и лабриум. Уже по снимку можно сказать что существует большой костный дефект в задне-наружном сегменте.
Если говорить об оперативном лечении, то о протезировании можно думать если существует артроз или некроз головки плеча, в данной ситуации я бы воздержался от протезирования из за нестабильности, если хорошо сохранен делтоид то может быть реверсионный протез который более стабильный. Другой вариант восстановление мягких тканей и тут я полностью согласен с Олегом что
нужно адекватное восстановление манжетки и восстановление пассивной стабильности сустава путем подшивания капсулы (Банкарт) натяжение капсул, возможно транспозиция кораковидного отростка если есть отломана передняя часть гленоидум или другая техника в зависимомти от результата КТ и операционных находок.
В послеоперационном периоде потребуется фиксация руки в течении 1,5 месяцев и длительная поэтапная разработка иногда в течение 1-1,5 лет.
Альтернатива оперативному лечению - оставить все как есть. Больная должна быть готова к ограничению движений и функции сустава.
С уважением
Михаил Беренштейн
|
[
Ответить ]
|
( Ответить )
|
|