ВХОД ДЛЯ ПАЦИЕНТОВ
вверх
поиск
админ
главная
исходное
|
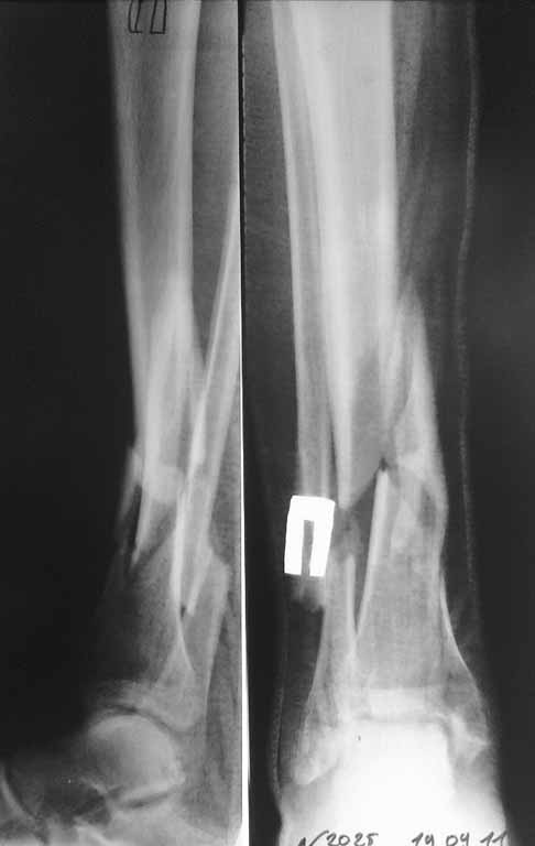
Re: Перелом бедра и голени
послал Сергей 27 Сентябрь 2011, 22:31
|

спасибо за участие. Перелом голени выложил сегодня из-за проблем с интернетом. На этой неделе запланирована попытка синтеза бедра, длинный PFN ChM, на ортопедическом столе, все-таки планирую открывать зону перелома сразу. Голень на следующей неделе.
|
| Послать ответ |
Обратите внимание: Поля с жирными названиями обязательны.
Старайтесь отвечать в рамках обсуждаемой темы, а не начинать новые обсуждения.
Указывайте адекватную тему сообщения, чтобы было ясно, о чем оно.
Не послайте сообщений не по теме (оффтопик), раздраженных, грубых или обидных комментариев. Здесь это неуместно.
|