Ответить
|
Re: Перелом бедра и голени
Alexander Chelnokov 26 Сентябрь 2011, 16:32
|
Снимка голени нет. С бедром - у нас бы скорее всего была бы сделана закрытая ротационная и флексионная остеоклазия. После получения подвижности наложили бы дистрактор, попытались бы изо всей силы растянуть. Если одномоментно не получится, то продолжили бы дистракцию несколько дней до перерастяжения, и тогда уже заштифтовали.
|
[
Ответить ]
|
Re: Перелом бедра и голени
Отправитель: Дмитрий Бондарь 28 Сентябрь 2011, 00:27
|
Приветствую, коллеги! Александр Николаевич, не приведёт ли форсированное перерастяжение к повреждению нервных стволов?
С уважением Д.Б.
|
[
Ответить ]
|
Re: Перелом бедра и голени
Отправитель: Alexander Chelnokov 28 Сентябрь 2011, 08:57
|
В основном тут надо восстановить длину до исходной, ну плюс 1 см. Так что не должно.
|
[
Ответить ]
|
|
Re: Перелом бедра и голени
Доценко Павел 27 Сентябрь 2011, 15:47
|
Каково повреждение голени, вы не сообщили1 По поводу имеющегося перелома бедренной кости: закрытая репозиция на ортопедическом столе и все возможные манипуляции (описаны А.Челноковым) хорошо. На мой взгляд, надо быть готовым к открытому вмешательству. Конечно штифт. Не короткий (возможна чрезмерная нагрузка на имплант и кость). Рассмотрите возможность рассверливания с целью вскрытия канала.Если голень диафизарная, то первым этапом дистракционный аппарат.
|
[
Ответить ]
|
Re: Перелом бедра и голени
Сергей 27 Сентябрь 2011, 22:31
|

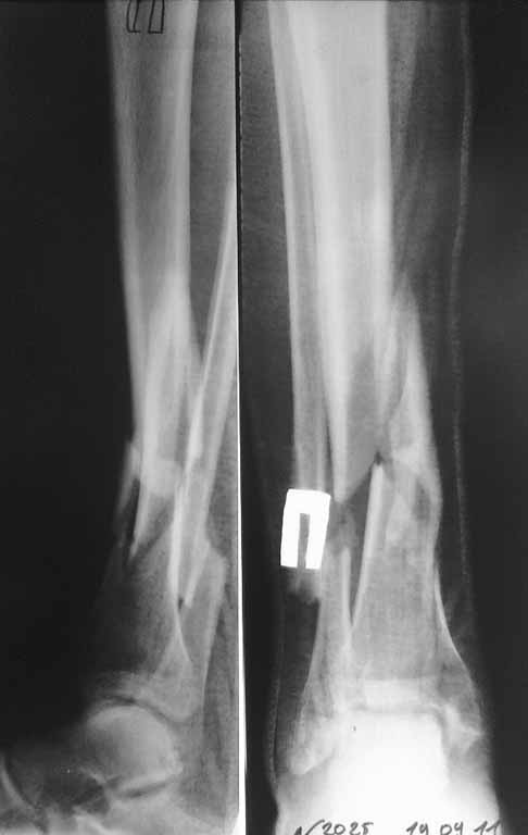
спасибо за участие. Перелом голени выложил сегодня из-за проблем с интернетом. На этой неделе запланирована попытка синтеза бедра, длинный PFN ChM, на ортопедическом столе, все-таки планирую открывать зону перелома сразу. Голень на следующей неделе.
|
[
Ответить ]
|
Re: Перелом бедра и голени
Отправитель: Др.Бахтамян из Еревана 28 Сентябрь 2011, 20:10
|
Уважаемый Сергей,
Я бы порекомендовал, если кожные покровы голени позволяют- произвести остеосинтез пластинами через общий передне-наружный доступ. И в первую очередь зафиксировать полутрубчатой 4,5мм или компрессионной 3,5мм пластиной АО перелом н/3 малоберцовой кости, чтобы стабилизировать отломки б/берцовой по длине.
Если с кожей не то- попытаться получить репозицию под ЭОП-ом и наложить аппарат АО до голеностопного сустава (собирать Илизаров - долго, нудно, да и, наверное нет необходимости...)

Удачи!
P.S. По возможности выложите послеоперационные рентгены
|
[
Ответить ]
|
Re: Перелом бедра и голени
Отправитель: Сергей Шакола 29 Сентябрь 2011, 14:32
|
Уважаемый Сергей! Следует уточнить(для уважаемого сообщества) , что переломы находятся на разных конечностях, поэтому восстановление длины бедра потребует равнозначной коррекции длины голени. Либо, как предлагает профессор Djoldas Kuldjanov, не добиваться полной репозиции и пожертвовать частью дистального отломка, сохранив ось и ротацию. Корригировать длину голени проще ввиду меньших усилий по преодолению ретракции мягких тканей. Хотя пациент молодой и желательно наиболее полно восстановить конечности. Несомненно,аппарат Илизарова собирать долго и нудно и неохота, но возможность управляемой фиксации при минимальных экономических затратах перевешивает данные "недостатки". Да и не располагаем АО фиксаторами, гексаподами. Следует учесть и то , что при одномоментной коррекции длины голени (3,5 - 4 см) могут возникнуть трудности с зашиванием и заживлением операционных доступов. Еще позволю уточнить, что клинических признаков консолидации на голени нет - подвижность полная, что не потребует остеотомии малоберцовой кости. Поэтому желаю Вам, Сергей, удачи в одномоментной коррекции деформации бедра и остеосинтезе, но нужно быть готовым к варианту Александра Николаевича - дистрактор, дозированная коррекция смещения по длине, остеосинтез.
С уважением Сергей Шакола.
|
[
Ответить ]
|
|
Re: Перелом бедра и голени
Др.Бахтамян из Еревана 28 Сентябрь 2011, 00:52
|
Уважаемый Сергей,
Судя по р-грамме, по имеющимуся "облачку" на медиальной стороне, идет консолидция отломков.
Так что - только открытое, одномоментное выправление. Осторожненько поработайте распатором, освобождая от мозоли (лучше используйте круглый распатор Кобба!) и медленно растягивайте на дистракционном ортопедическом столе, под контролем ЭОП-а.
PFN 340mm отнюдь не короткий, я бы даже сказал длинноват, для Вас он метод выбора! Готовьтесь к большой кровопотере! 1,5литра не исключено. Есть ли у Вас CellSaver?
K сожалению, Вы не указали на сторону перелома голени. Если со стороны перелома бедра, то это ухудшит ситуатцию для дистракции... Также нет снимков голени
Заранее, пожалуйста!
|
[
Ответить ]
|
Re: Перелом бедра и голени
Отправитель: Alexander Chelnokov 28 Сентябрь 2011, 09:00
|
Так что - только открытое, одномоментное выправление.Осторожненько поработайте распатором, освобождая от мозоли
[...]
Готовтесь к большой кровоптере! 1,5литра не исключено. Есть ли у Вас CellSaver?
А отчего такая обреченность на "только открытое"?
Чем большая кровопотеря так уж предпочтительней чрескожной остеотомии+остеоклазии, с аппаратом закрыто на несколько дней, а потом закрытым же штифтованием? Без cell-saver'а как раз легко получится обойтись.
|
[
Ответить ]
|
Re: Перелом бедра и голени
Отправитель: Др.Бахтамян из Еревана 28 Сентябрь 2011, 10:56
|
Уважемый Др.Челноков,
А разве при закрытой остоклазии у вас не будет кровоптери? И к тому же не факт, что остеоклазия получится. Плюс внешний фиксатор, занос кожной микрофлоры в костный канал (даже, если этот фиксатор на 7-10 дней..., вопрос сроков конверсии аппаратов не решен во всем мире). Поверьте мне, коллега, я eще 5 лет назад перелопатил литературу о конверсии аппаратов во вн. остеосинтез. До сих пор !
|
[
Ответить ]
|
Re: Перелом бедра и голени
Отправитель: Alexander Chelnokov 29 Сентябрь 2011, 01:35
|
А разве при закрытой остоклазии у вас не будет кровоптери? И к тому же не факт, что остеоклазия получится.
Кровопотеря оценивается не столько по качественному аспекту (есть/нет - капелька крови и после укола есть), сколько по количественному - является ли она клинически значимой, потребуется ли переливание крови, или вот cell saver... Так вот двухэтапный вариант как раз и привлекателен тем, что кровопотеря хотя и есть, но на порядок меньшая, чем при обширном открытом вмешательстве. Если не получится закрыто мобилизовать отломки - чрескожная остеотомия поможет.
Плюс внешний фиксатор, занос кожной микрофлоры в костный канал (даже, если этот фиксатор на 7-10 дней..., вопрос сроков конверсии аппаратов не решен во всем мире). Поверьте мне, коллега, я eще 5 лет назад перелопатил литературу
Как много хочется сказать... :-)
Во-1-х, уже довольно давно есть практически консенсус, что acute conversion в пределах 4 нед. не сопровождается высоким риском инфекции. См., например, известную статью P. Nowotarski и соавт. (2000) - полный текст здесь: http://www.jbjs.org/article.aspx?Volume=82&page=781.
Во-2-х, Ваш покорный слуга еще в далеком 2004 г. на Евротравме делал доклад Safety of secondary closed nailing after external fixation, и у нас уже тогда было несколько десятков оптимистичных наблюдений одномоментной смены аппарата на гвоздь в гораздо большие сроки, чем 4 нед.
Пропуская в-3-х, в-5-х, в-8-х... В 11-х, сейчас у многих участвующих в этом форуме коллег есть немалый успешный опыт закрытого интрамедуллярного остеосинтеза на фоне не то что высокого риска, а уже имеющейся инфекции.
Так что насчет "не решен во всем мире" - это, мягко говоря, не совсем так. И если риск инфекции все-таки высокий по другим причинам (открытый перелом, раневые проблемы, уже бывшие эпизоды местной инфекции и др.) - можно использовать титановые бесканальные гвозди, еще надежнее - antibiotic cement-coated.
|
[
Ответить ]
|
|
Re: Перелом бедра и голени
Др.Бахтамян из Еревана 28 Сентябрь 2011, 11:05
|
Дмитрий Бондарь,
Перерастяжения нервов, а в этом случае в основном страдает седалищный, а еще чаще его малоберцовая порция, не должно произойти, т.к. Вы восстанавливаете нормальную длину конечности!
|
[
Ответить ]
|
Re: Перелом бедра и голени
Др.Бахтамян из Еревана 29 Сентябрь 2011, 01:53
|
Уважаемый Alexander Chelnokov,
Со статьей Nowatorski из JBJS я конечно знаком, к сожалению не читал Вашу (если есть в и-нете, пожалуйста ссылочку,всегда рад ознакомиться!).
Но, вот, как говорил первый президент СССР, в деле сроков - консенсуса не наблюдается среди авторов.Разброс сроков громадный !
Плюс, мне очень трудно в этом случае (oскольчатый сратающийся перелом бедра) представить чрезкожную остеотомию/остеоклазию...
А насчет кровоптери при закрытом методе. Считайте, что закрытая остеотомия в этом случае -у больногоснова почти что закрытый перелом диафиза бедра.А при нем, как Вы помните, может быть кровопотеря до полутра литров.При двухэтапном лечении ему после этого потребуется длительный срок для подготовки к вн.остеосинтезу....
|
[
Ответить ]
|
Re: Перелом бедра и голени
Отправитель: Alexander Chelnokov 30 Сентябрь 2011, 00:51
|
Со статьей Nowatorski из JBJS я конечно знаком, к сожалению не читал Вашу (если есть в и-нете, пожалуйста ссылочку,всегда рад ознакомиться!).
Методичку вот эту глянуть можно.
Но, вот, как говорил первый президент СССР, в деле сроков - консенсуса не наблюдается среди авторов. Разброс сроков громадный !
Например? Что за разброс, в каких именно клинических ситуациях? Чем он, на Ваш взгляд, обусловлен?
Напомню, что есть и огромный массив неопубликованного опыта, которым как раз тут, на форуме, получается поделиться. Мы такие операции успешно делаем лет 10 без консенсуса. А его если ждать, то вообще ничего делать не получится, поскольку консенсус по всем вопросам есть только на кладбище.
Плюс, мне очень трудно в этом случае (oскольчатый сратающийся перелом бедра) представить чрезкожную остеотомию/остеоклазию...
Может, и вовсе закрыто получится мобилизовать отломки.
Как делать остеотомию-клазию, написано в многочисленных публикациях из Курганского РНЦ, наверняка у Л.Соломина в книжках есть... А так - ничего сложного, на нужном уровне делается разрез на ширину долота, сверлом делается несколько отверстий, потом надо соединить их долотом. Остаток надломить.
А насчет кровоптери при закрытом методе. Считайте, что закрытая остеотомия в этом случае -у больногоснова почти что закрытый перелом диафиза бедра.А при нем, как Вы помните, может быть кровопотеря до полутра литров.
Остеотомию, как контролируемую медицинскую манипуляцию, выполняемую в операционной, аккуратно, под анестезией, с инфузией, с немедленным обратным смыканием костной раны и наложением давящей повязки, вряд ли стоит приравнивать к повреждению, получаемому при автоаварии или падении с высоты.
Хотя при нескольких кортикотомиях на разных уровнях и разных сегоментах и кровь приходится переливать, бывает.
При двухэтапном лечении ему после этого потребуется длительный срок для подготовки к вн.остеосинтезу....
Этот срок ограничивается необходимой длительностью дистракции для восстановления длины-оси. Многие здешние участники имеют успешный опыт таких двухэтапных операций. Они много менее травматичны одномоментной открытой "разборки и зачистки" отломков, то есть еще и сохраняется вся скелетогенная ткань и кровоснабжение.
|
[
Ответить ]
|
|
Re: Перелом бедра и голени
Djoldas Kuldjanov 29 Сентябрь 2011, 01:54
|
Желательно указать активность пациента до травмы и возраст. Из снимков не хватает бокового снимка бедра и полного на всю длину снимка голени.
С момента травмы прошло более трех месяцев, и тактика лечения по восстановлению функциональной конечности отличается от первичного остеосинтеза. Не надо гоняться за идеальным сопоставлением костных отломков, а надо вести работу по восстановлению опороспособности конечности.
Большая деформация бедренной кости, и поэтому желательно первоначально восстановить бедро. Остеоклазия бедра - это контролируемое мероприятие, и в большинстве не нуждается в донорской крови. Предварительный наружный фиксатор с дистракцией поможет создать запас, что облегчит окончательный остеосинтез без усилий. Закрытый остеосинтез -привлекательный вариант, хотя не исключается подправить что то во время операции через малый доступ.
“вопрос сроков конверсии аппаратов не решен во всем мире”
Вопрос конверсии аппаратов обоснован многочисленными работами, и решен в пользу конверсии. Методологии “После Дистракции Пластина” или “После Дистракции Гвоздь” стали широко применяемыми методоми в восстановительной ортопедии.
При выборе одномоментной фиксации сокращенные мягкие ткани создадут трудности, и тогда бедренный или другой дистрактор поможет восстановить длину. Но чрезмерные усилия по восстановлению длины не всегда кончаются хорошо (нерв), и возникшую трудность можно решить небольшим укорочением дистального фрагмента. Для фиксации годится любой из фиксаторов...
По поводу голени, вариант "улучшить стояние костных отломков" открытым методом - немного рискованно, потому что результат манипуляции "распатором Кобба" с дескелетизацией фрагментов скажется немедленно. Для предупреждения осложнений и будущих дисскуссий “как победить сегментарную дефект”, желательно работать без интервенции на начавшийся репаративный процесс с максимальным сохранением костной мозоли.
Для максимального сохранения консолидации сверху мозоли можно согнуть пластину, но это крайняя мера и не обязательно подгонять показания под имеющийся имплантат. Если не удовлетворяет положение, или неполная консолидация, вместо пластины можно применить отечественный аппарат Илизарова. Спросите у докторов Соломина или Мацукатова, и они подскажут методы исправления деформации собственными "гексаподами".
Для оценки степени сращения костей голени рекомендуется сделать КТ срезы. И возможно, для голени не надо предпринимать ничего. Там процесс консолидации заканчивается, и хотя форма далека от идеала, но не так уж плоха. Уже время для нагрузки, и дайте возможности нагружать! Время покажет, и в зависимости от активности в дальнейшем можно обсудить план лечения в будущих дисскуссиях.
Djoldas Kuldjanov, M.D.
Associate Professor
Department of Orthopedic Surgery
St. Louis University
|
[
Ответить ]
|
Re: Перелом бедра и голени
Мацукатов Феодор 29 Сентябрь 2011, 21:26
|
Спасибо уважаемому Джолдасу за ссылку на мою грешную личность. Мое мнение следующее. Уважаемый Сергей! Если Вы хорошо владеете методом чрескостного остеосинтеза, то можете приступать к делу не задумываясь. На рентгеновских снимках созерцаю картину, из которой можно получить наилучший результат именно внешним остеосинтезом. Слова типа "собирать аппарат нудно и т.п", наверное, не совсем к месту. Подарите человеку полное здоровье и, как говорил ныне покойный Леонид Ильич, Вы получите чувство глубокого удовлетворения. И уважения. В данном случае травматичные методы вмешательства могут весьма негативно сказаться на и так подорванных остеогенных потенциях тканей и иметь непредсказуемые последствия. А еще лучше - пришлите пациента к нам в Курган. Обещаем выставить результаты лечения на всеобщее обозрение.

Выставляю случай не менее тяжелый. Фиксация в аппарате Мацукидиса-Шевцова 83 дня, общий срок нетрудоспособности 112 дней. Никаких проблем с остеосинтезом и с последующим лечением не было. Никаких воспалений мягких тканей. 3 перевязки за весь период лечения.Главное - захотеть.
|
[
Ответить ]
|
Re: Перелом бедра и голени
Сергей 09 Октябрь 2011, 21:00
|

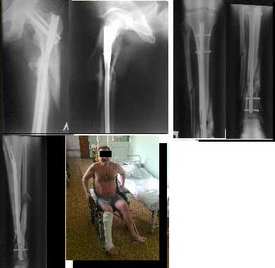
30/09/2011 синтез левого бедра PFN длинный на ортопедическом столе взакрытую.
5.10.2011 синтез правой голени стержнем Деост, в закрытую с применением дистрактора и остеотомией малоберцовой кости. Снимки в приложении. Пациент активизирован, начал передвигаться на коляске, сегодня встал с костылями.
|
[
Ответить ]
|
Re: Перелом бедра и голени
Отправитель: Alexander Chelnokov 10 Октябрь 2011, 13:32
|
Картинки мелковаты. Голень вроде совсем красиво получилась. Бедро - центральный отломок остался в сгибании. Будем надеяться, это не будет проблемой, и срастется так.
|
[
Ответить ]
|
|
( Ответить )
|
|