ВХОД ДЛЯ ПАЦИЕНТОВ
вверх
поиск
админ
главная
исходное
|
Re: Перелом бедра и голени
послал Мацукатов Феодор 29 Сентябрь 2011, 21:26
|
Спасибо уважаемому Джолдасу за ссылку на мою грешную личность. Мое мнение следующее. Уважаемый Сергей! Если Вы хорошо владеете методом чрескостного остеосинтеза, то можете приступать к делу не задумываясь. На рентгеновских снимках созерцаю картину, из которой можно получить наилучший результат именно внешним остеосинтезом. Слова типа "собирать аппарат нудно и т.п", наверное, не совсем к месту. Подарите человеку полное здоровье и, как говорил ныне покойный Леонид Ильич, Вы получите чувство глубокого удовлетворения. И уважения. В данном случае травматичные методы вмешательства могут весьма негативно сказаться на и так подорванных остеогенных потенциях тканей и иметь непредсказуемые последствия. А еще лучше - пришлите пациента к нам в Курган. Обещаем выставить результаты лечения на всеобщее обозрение.

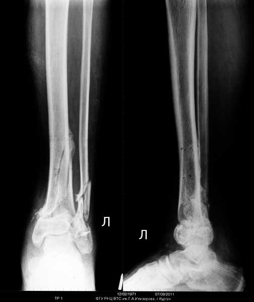
Выставляю случай не менее тяжелый. Фиксация в аппарате Мацукидиса-Шевцова 83 дня, общий срок нетрудоспособности 112 дней. Никаких проблем с остеосинтезом и с последующим лечением не было. Никаких воспалений мягких тканей. 3 перевязки за весь период лечения.Главное - захотеть.
|
| Послать ответ |
Обратите внимание: Поля с жирными названиями обязательны.
Старайтесь отвечать в рамках обсуждаемой темы, а не начинать новые обсуждения.
Указывайте адекватную тему сообщения, чтобы было ясно, о чем оно.
Не послайте сообщений не по теме (оффтопик), раздраженных, грубых или обидных комментариев. Здесь это неуместно.
|