ВХОД ДЛЯ ПАЦИЕНТОВ
вверх
поиск
админ
главная
исходное
|
Re: перелом бедра
послал Константин Никитин 08 Ноябрь 2011, 16:05
|
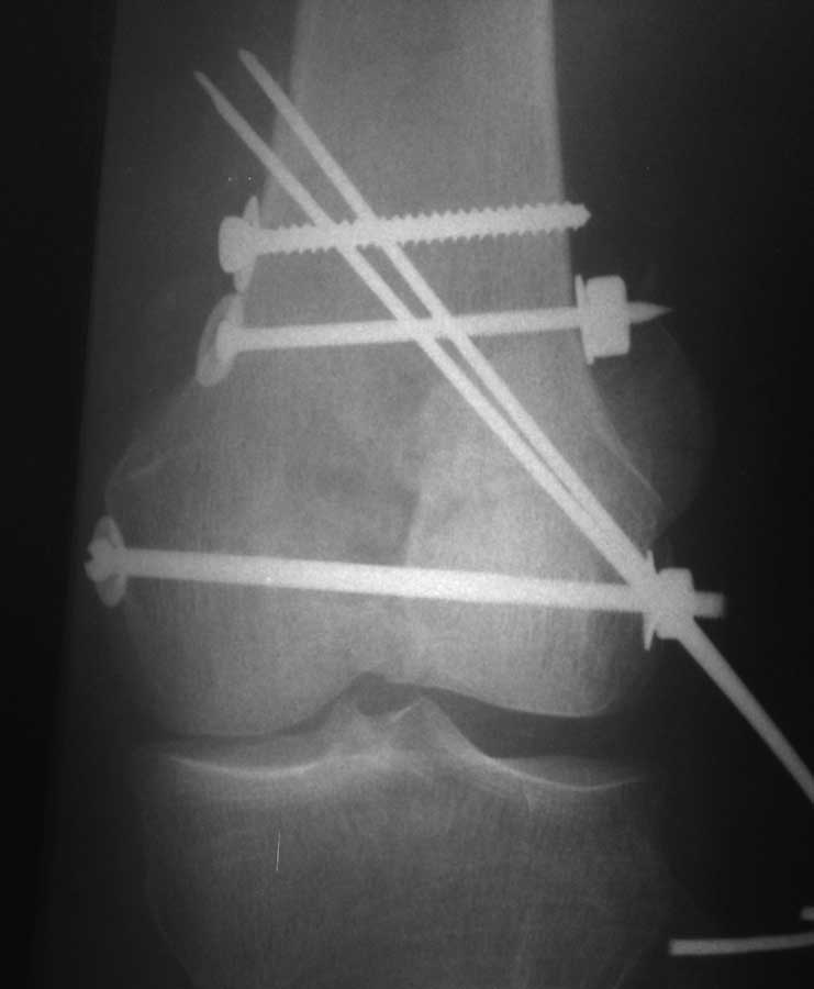
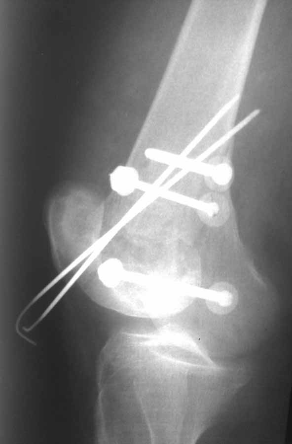
Коллеги, извиняюсь за задержку с результатом. Через медиальную артротомию обнажили н/3 бедра, отрепонировали внутренний мыщелок, затем по нему сопоставили суставную поверхность бедра с латеральным мыщелком.

Больная выписана в ортезе с регулируемым углом сгибания в колене, с рекомендациями через 3 нед. удалить спицы и начать разрабатывать сустав.
|
| Послать ответ |
Обратите внимание: Поля с жирными названиями обязательны.
Старайтесь отвечать в рамках обсуждаемой темы, а не начинать новые обсуждения.
Указывайте адекватную тему сообщения, чтобы было ясно, о чем оно.
Не послайте сообщений не по теме (оффтопик), раздраженных, грубых или обидных комментариев. Здесь это неуместно.
|