Ответить
|
Re: перелом бедра
Д.Бахтамян из Еревана 18 Октябрь 2011, 00:11
|
Уважаемый Др.Никитин,
Пожалуйста, поподробнее о Вашей пациентке
Всвязи с чем она надилась на лечении в терапии, уровень гемоглобина, сопутствующие заболевания
|
[
Ответить ]
|
Re: перелом бедра
Alexander Chelnokov 18 Октябрь 2011, 01:14
|
Остеосинтез, вестимо. КТ предварительно можно сделать, чтобы поточнее увидеть повреждения в межмыщелковой области. Перелом ближе к 33C1.
Так что можно и закрыто джойстиками под контролем сопоставить мыщелки, прошить спицами, а потом синтезировать пластиной для дистального бедра, стержнем анте- или ретроградно, или аппаратом. Не получается джойстиками - небольшую артротомию сделать.
Какие возможности доступны на месте?
|
[
Ответить ]
|
Re: перелом бедра
Volodymyr Kovalchuk 18 Октябрь 2011, 01:22
|
Похоже что перелом простой как по суставной поверхности так и по метафизу (тип 33-C1). В таком случае возможно МОС (в порядке уменьшения стоимости): дистальной бедренной LCP (в прошлом LISS-DF); DCS; угловой клинковой пластиной 95 градусов. Все перечисленные импланты возможно установить как с традиционного доступа, так и менее инвазивно (из двух/один+протоколы). Технику можно найти в (в порядке уменьшения новизны): AO Surgery reference; Tong; Ruёdi, Мюллер.
В принципе, тут вполне достаточно клинковой пластины 95 градусов которую вполне можно установить из двух доступов. После разворота клинка, его будет легче ввводить предварительно уперев в спицу.
Удачи!
|
[
Ответить ]
|
Re: перелом бедра
Константин Никитин 18 Октябрь 2011, 21:43
|
Коллеги, спасибо за комментарии. Но есть несколько но.. ЭОПа у нас нет. Больная тучная, малоподвижная. Гемоглобин 110. Находилась в терапии с ИБС. Стабильной стенокардией. В принципе стабильна, сегодня осмотрена анестезиологом-противопоказаний к с/а нет. :-).
Переломы не слишком низкие для LCP и ретроградного стержня? Кроме того, пластины ставятся по латеральной поверхности, соответственно медиальный мыщелок будет фиксирован не достаточно стабильно, на мой взгляд, только винтами. Да и для репозиции внутреннего мыщелка придется делать дополнительный разрез медиально, не так ли?
|
[
Ответить ]
|
Re: перелом бедра
Отправитель: Васюков Вячеслав 19 Октябрь 2011, 23:54
|
В этом клиническом случае особенно мудрить не следует. Открытая репозиция остеосинтез опорной мыщелковой бедренной пластиной лучше с угловой стабильностью. Это обеспечил хорошую репозицию и стабильную фиксацию , что не мало важно при таком в/суставном переломе.Желаю Вам удачи!
|
[
Ответить ]
|
|
Re: перелом бедра
Volodymyr Kovalchuk 19 Октябрь 2011, 23:34
|
Особых проблем здесь не увидел. Итак, по порядку:
Гемоглобин 110 - это очень неплохо, если сомневаетесь возьмите в операционную дозу ер. массы и плазмы.
ЭОП тут по-большому счету не нужен.
Повторюсь, мы бы сделали обычной угловой клинковой пластиной 95 градусов. Возможно применить также LCP или DCS. Чем бы вы не синтезировали, вначале надо отрепонировать мыщелки, провизорно фиксировать спицами, а затем ввести 2 (отдельных) спонгиозных винта. Уже после этого репонировать мыщелковый компонент относительно диафиза, и фиксировать. Задача восстановления длины может быть облегчена с помощью дистрактора. Медиальный доступ тут (да и вообще) не нужен. И клинок и LCP будет надежно удерживать медиальный мыщелок. Не забывайте перелом ведь простой, это не С3. Гвоздь я бы тут не рекомендовал, к тому же у вас нет ЭОП.
Удачи, вначале сделайте окрыто, закажите рентген-контроль в операционную. Потом будете из окон делать.
|
[
Ответить ]
|
Re: перелом бедра
Alexey Semenisty 20 Октябрь 2011, 00:56
|
Переломы не слишком низкие для LCP и ретроградного стержня?
Нет, не слишком. Самый раз!
внутреннего мыщелка придется делать дополнительный разрез медиально, не так ли?
Нет, не так.
Как? посмотрите здесь:
С уважением, А.Семенистый.
ГКБ № 13, Москва.
|
[
Ответить ]
|
Re: перелом бедра
Отправитель: Alexander Chelnokov 20 Октябрь 2011, 08:56
|
Как? посмотрите здесь:
:-) Опять забыли самый лучший вариант - антеградный остеосинтез...
|
[
Ответить ]
|
Re: перелом бедра
Отправитель: Alexey Semenisty 20 Октябрь 2011, 22:59
|
"Любимый" не значит "лучший")).
Специально забыли, чтобы оставить место для творчества)
|
[
Ответить ]
|
Re: перелом бедра
Отправитель: VlaD 21 Октябрь 2011, 02:08
|

Ну зачем же так. Всё-таки считается "золотым стандартом". Во вложенном файле коллаж из сохранившихся фотографий одной из операций. Всё сделано закрыто и без ЭОПа.
|
[
Ответить ]
|
|
Re: перелом бедра
Djoldas Kuldjanov 20 Октябрь 2011, 10:30
|
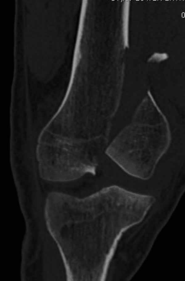
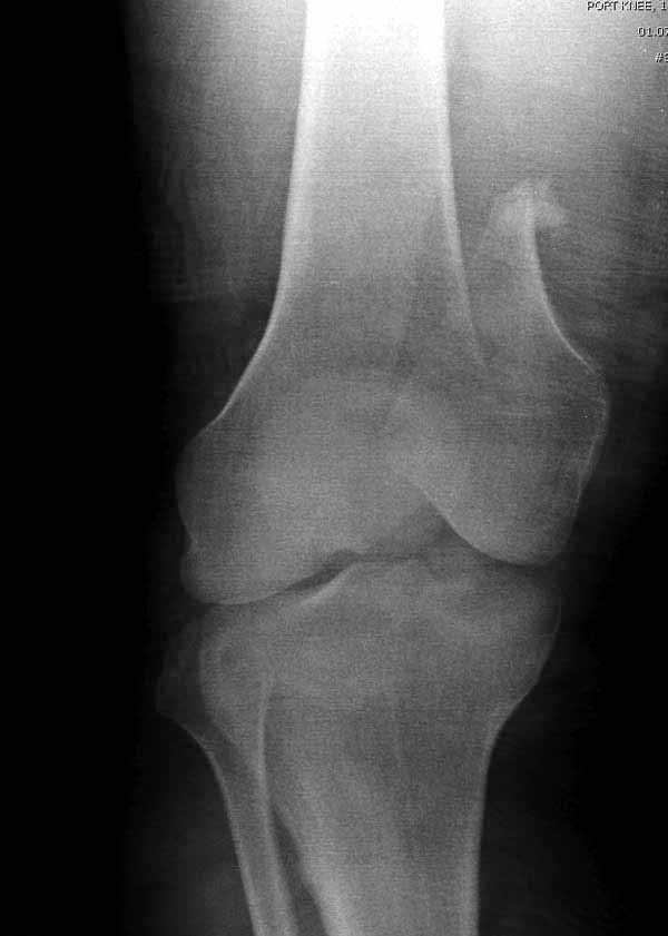
Представленный снимок не дает полную информацию. Там вроде простой перелом, но на самом деле, кроме смещенного (латерального, возможно медиального?) мыщелка на второй проекции имеется медиальный короткий дистальный фрагмент в флексии. Надо было сделать прямой снимок с захватом малоберцовой, который ориентировал бы стороны. Без КТ обычный снимок в дистракции поможет разобраться в топографии фрагментов.
Во время фиксации надо соблюдать осторожность, особенно с коротким фрагментом на другой стороне. Обычно на прямой проекции трудно заметить флексионную деформацию мыщелка и упускается адекватная фиксация. Без пластины винты не смогут удержать, и мыщелок на второй стороне может сместиться. Для фиксации надо развернуть мыщелок и удержать винтами. Качество межмыщелковой репозиции надо проконтролировать артротомией. Из всех доступов только передне-латеральный доступ (Swashbuckler) даст обзор для ревизии качества фиксации, который в будущем может быть использован для артропластики.
Кстати, из вашего снимка, если отмечены вашим рентгенологом правильно, тогда получается снимок левого колена, и, соответственно, длинный переходящий в диафиз мыщелковый фрагмент находится медиально. Если так, тогда меняется сценарий фиксации!!!
--
Djoldas Kuldjanov, M.D.
Associate Professor
Department of Orthopedic Surgery
St. Louis University
|
[
Ответить ]
|
Re: перелом бедра
Константин Никитин 20 Октябрь 2011, 20:22
|
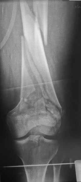
Сразу не обратил ваше внимание именно на это, что сломаны оба мыщелка, и больший является именно медиальным мыщелком, а пластины ставятся по латеральной стороне, соответственно, в этом медиальном мыщелке от пластины останутся только концы винтов, которые не обеспечат достаточной фиксации мыщелка.
|
[
Ответить ]
|
Re: перелом бедра
Отправитель: Антон Жаглин 22 Октябрь 2011, 00:32
|
И не обратите, коллега, пока не сделаете четкие анфасные снимки (лучше с дистракцией) где будет четко визуализироваться малоберцовая кость. Думается, что и КТ здесь будет уместно, дабы не пропустить возможное флексионное повреждение (перелом Hoffa).
|
[
Ответить ]
|
Re: перелом бедра
Отправитель: Djoldas Kuldjanov 23 Октябрь 2011, 11:11
|
>Сразу не обратил ваше внимание именно на это, что сломаны оба мыщелка, и больший является именно медиальным мыщелком
Спасибо за то, что обратили наше внимание! Получилась неплохая шутка! Кстати, мы тоже проводим похожие трюки среди наших клинических ординаторов, т.е., усложняя задачу, наблюдаем за ходом их решения, и, как обычно, про такие подвохи предупреждаем заранее. В Вашем посте, кроме обрезанных снимков, никто не заметил Ваше желание играть в “угадайку”.
Если бы мы имели доступ к тем материалам, которые не были выставлены на сайте, возможно, без подсказки догадались бы, что находится слева или медиально. Неполная информация ведет к неправильной трактовке и к ошибочному выбору фиксаторов. Вместо коллегиальной дискуссии получается беспредметная трата времени. Поэтому высылая материал на любой клинический разбор, желательно подготовиться более профессионально, и предоставить всю информацию про данного больного.
А теперь по поводу лечения перелома. Среди всех чрез/меж-мыщелковых переломов в 38% сопровождются переломом в корональной плоскости, т.е перелом Hoffa. Nork et al, J Orthop Trauma, 87:564, 2005.
По снимку вроде одиночный простой мыщелковый перелом, и такой внутрисуставной перелом не обязательно дистрагировать на скелетном вытяжении, потому что не не нарушается непрерывность колонны с одной стороны. И для таких простых переломов подойдет любой метод: 95 градусная пластина, Lat. Condylar Butress пластина или ретроградный гвоздь. А для особых энтузиастов которые желают антеградную фиксацию, возможно легко найти трохантер у алкоголиков или дистрофиков. А вот у откормленных Макдональдскими гамбургерами? Если поискать у них тоже можно найти, но стоит ли?
У больных как в этом случае, с вовлечением двух мыщелков правильно, что сделали вытяжение до операции. Здесь имеется флексионный компонент на другой стороне, и я бы рекомендовал операцию делать из двух доступов. Сперва фиксировать медиальную колонну custom made пластиной, обычно 1/3 тубулярной пластиной в 4.5 мм, потому что пока производители опаздывают с медиальной пластиной.
Пластину надо устанавливать на апексе перелома, иначе фрагмент начнет сползать. А на второй стороне, если имеется большой одиночный фрагмент тогда проблем не бывает, и их можно собрать компрессирующими винтами. Проблема наступает тогда когда многофрагментраность на латеральной стороне, где надо применить комбинированный метод, иногда несколькими пластинами. Или сменой позиции установки пластины, чтобы максимально прикрыть перелом и создать боковую поддержку.
Случаи могут быть разными и варианты фиксации могут быть различными. Это не эталон фиксации, и не каждый метод является "золотым стандартом". А “золотым” считается, когда внутрисуставной перелом отрепонирован на отлично и зафиксирован адекватно. Если возможно закрыто - хорошо, а так не надо искать только легкий закрытый путь, зная анатомию можно открывать, сколько надо!

Здесь пример медиальной пластины и латеральный комбинированный метод (у второго больного старый перелом тибиал плато, леченный где то и когда то)
Djoldas Kuldjanov, M.D.
Associate Professor
Department of Orthopedic Surgery
St. Louis University<>
|
[
Ответить ]
|
Re: перелом бедра
Отправитель: VlaD 23 Октябрь 2011, 22:41
|
Уважаемый Djoldas Kuldjanov!
Я не собирался принимать участие в обсуждении данного клинического случая. Считал, что в данном случае всё очевидно. Согласен с Вами, что в данном случае представляется маловероятным закрытым способом выполнить репозицию перелома и что начинать необходимо с открытой репозиции и фиксации медиального мыщелка. После этого оперировать внутрисуставной перелом латерального мыщелка как изолированный (предполагая, что медиальный мыщелок точно и надёжно фиксирован к проксимальному фрагменту), с различными вариантами его фиксации. Целью предыдущего моего поста было желание подчеркнуть возможность закрытой репозиции и фиксации некоторых видов внутрисуставных переломов дистального эпиметафиза бедренной кости методом антеградного блокированного остеосинтеза при которых «любимый» метод становится оптимальным. Согласитесь, что если мыщелки бедренной кости удалось адекватно закрытым способом репонировать и фиксировать между собой, они достаточные по величине для расположения дистальных блокирующих винтов, то такой перелом превращается в банальный перелом бедренной кости с возможностью применения интерлокинга – «золотого стандарта» для диафизарных и метафизарных переломов бедренной кости. И ещё. По многим причинам являюсь «особым энтузиастом» именно антеградного остеосинтеза. Некоторые из них. Оперируем на боку, в custom made репозиционном спицевом аппарате на обычном хирургическом столе. Для определения точки входа используем специальное прицельное устройство, которое устанавливается через проколы кожи на бедренной кости в подвертельной области, позволяющее точно с первого раза в двух плоскостях провести спицу по которой выполняется вскрытие костномозгового канала. Положение больного на боку и применение этого устройства позволяют не учитывать вес и габариты больного. Мы не ищем трохантер или piriformis fossa и в большинстве случаев даже не рассекаем кожу до проведения спицы. Рентген контроль – только для подтверждения расположения спицы.
С уважением, VlaD.
|
[
Ответить ]
|
Re: перелом бедра
Отправитель: Антон Жаглин 24 Октябрь 2011, 13:18
|
VLaD! Согласен...но не во всем. Действительно, и Вы сами это определили, гвоздь является "золотым стандартом"для ДИАФИЗАРНЫХ и метадиафизарных переломов длинных трубчатых костей ( а вот плечо???). Но в данном случае мы с Вами имеем дело с внутрисуставным повреждением и даже после успешной его репозиции и адекватной фиксации диафизарным оно от этого не стало. Зачем нужно вносить дополнительный риск вторичного смещения его внутрисуставного компонента, ведь адекватности фиксации (создание абсолютной стабильности)этой области при помощи интерлокинга и закрыто проведенных изолированных винтов добиться сложнее, нежели комплексом винты+пластина с винтами, изготовленная для переломов именно этой локализации?
Любое штифтование имеет свою главную цель- скорейшая вертикализация больного! В данном случае, когда Вы дадите нагрузку на конечность? Есть ли преимущества в нашем случае у гвоздя перед пластиной в этом аспекте?
|
[
Ответить ]
|
Re: перелом бедра
Отправитель: VlaD 25 Октябрь 2011, 21:25
|
Уважаемый Антон!
Вы затрагиваете слишком глобальные вопросы. Чтобы дать аргументированные ответы на них, необходимо коснуться основных принципов интерлокинга. Безусловно, это моё персональное мнение, основанное на личном практическом опыте и доступных мне теоретических сведениях и, может быть, в некоторой степени, не совпадающее с общепринятыми положениями. Прошу прощения за излишне длинный пост и освещение общеизвестных фактов. Существует два способа создания биомеханической системы интрамедуллярный стержень – сломанная длинная трубчатая кость. Первый способ был предложен основателем интрамедуллярного остеосинтеза Герхардом Кюнчером. Когда мы вводим какой-либо объект (стержень) в какую-либо структуру (длинную трубчатую кость), оказывается определённое давление на эту структуру, которое вызывает обратное давление на этот объект и таким образом образуется упругое взаимодействие между структурой и объектом. Кюнчер использовал эту фундаментальную идею, когда поместил стержень в костномозговой канал. Стержень имел форму трилистника в поперечном сечении и продольный разрез по всей длине стержня. Поперечное сечение стержня было шире, чем костномозговой канал, что позволяло стержню при введении деформироваться и плотно прилегать к стенкам костномозгового канала и тем самым обеспечивать стабильную фиксацию. Однако надёжность фиксации при таком способе достигалась только на уровне истмуса. Проблемной оставалась ротационная стабильность. Всё это привело к появлению блокированных стержней. Диаметр их меньше диаметра костномозгового канала, что облегчает введение. Кроме того, благодаря более толстым стенкам самих стержней, отсутствию продольного разреза и блокировочным винтам надёжность фиксации переломов значительно повышается, причём вне зависимости от их вида. Появилась возможность обеспечит стабильную фиксацию супра- и инфраистмальных переломов. Изменилась философия создания биомеханической системы «стержень-кость». Вместо плотного прилегания стержня к стенкам костномозгового канала, кость и стержень соединяются между собой с помощью блокирующих винтов, образуя при адекватном блокировании биомеханическую систему с высоким уровнем стабильности. В этой системе одинаково важное значение имеют прочностные характеристики трёх элементов: стержня, блокирующих винтов и того участка самой кости, где они расположены. Если взять за аксиому, что металлоконструкции изготовлены из качественного металла, то прочность стержня будет зависеть от его диаметра, а прочность блокирующих винтов от их диаметра и количества (не менее двух, лучше в разных плоскостях при инфраистмальных переломах). Поэтому в достижении адекватной стабильности создаваемой биомеханической системы остаются критически важными прочностные характеристики третьего элемента этой системы - самой кости дистального отломка, в которой располагаются блокирующие винты. И если они достаточны, и размер дистального отломка (даже реконструированного с адекватной фиксацией) подходит для расположения необходимого количества блокирующих винтов, то не имеет абсолютно никакого значения какой у вас перелом: диафизарный, метафизарный или даже эпифизарный. Всё это условные названия анатомических областей кости. Основополагающее, ключевое значение имеют два вышеупомянутых фактора. Возможность реализации этих двух факторов зависти от адекватного информационного обеспечения (качественные рентегнограммы и особенно КТ места проведения блокирующих винтов) и от личного опыта хирурга. Безусловно, при внутрисуставных переломах первостепенное значение должно уделяться точной анатомической репозиции суставной поверхности. Но если после её выполнения появляется возможность реализовать два вышеупомянутых требования, то не должно существовать непреодолимых препятствий для фиксации перелома самым лучшим на сегодняшний день способом – блокированным остеосинтезом. Он лучший по определению. Стержень располагается в центре механической нагрузки. Только один этот факт (а есть ещё много других) перевесит все достоинства любого накостного остеосинтеза в плане надёжности фиксации и возможности ранней нагрузки, в том числе пластинок с угловой стабильностью. Кстати, блокирующие винты в стержне являются более мощным препятствием для возникновения угловых деформаций дистального отломка, чем винты в пластинке с угловой стабильностью. Их угловая стабильность обеспечена поперечным каналом в стержне, длиной, как правило, более 1 см посередине блокирующего винта, а не 2-3 витками резьбы на головке винта на его одном конце. Это к вопросу о «риске вторичного смещения».
Однако в случае, представленном Константином Никитиным, не может быть применён ни ретроградный ни антеградный остеосинтез. Причина - нереально выполнить вышеуказанные необходимые требования, касающиеся дистальных блокирующих винтов. Из-за низкого перелома латерального мыщелка (перелом Hoffa) невозможно через него провести хотя бы 2 блокирующих винта, поскольку линия перелома мыщелка расположена либо на уровне верхушки межмыщелковой ямки либо незначительно проксимальнее. Поэтому авторам, с моей точки зрения, необходимо прислушаться к рекомендациям Джолдаса.
С уважением, VlaD.
|
[
Ответить ]
|
Re: перелом бедра
Отправитель: Антон Жаглин 27 Октябрь 2011, 13:01
|
Уважаемый VLaD! Радует уже тот факт, что мы с Вами сошлись на том, что в предложенном случае ни антеградное, ни ретроградное штифтование не является оптимальным видом лечения. В остальном...Главным критерием стабильности B1,B3 и С1,С2 типов внутрисуставных переломов для меня является наличие межфрагментарной компрессии. И если я ее добиваюсь, то считаю данный вид фиксации адекватным.(исключения есть, не о них речь). Блокированные винты в штифте создают РОТАЦИОННУЮ стабильность трубчатой кости и никогда не были блокированы в штифте (исключение- система ASLS). Cледовательно, винты в пластине и штифте выполняют абсолютно разные задачи. Разнонаправленные блокированные винты LHS в пластине могут выполнять роль "держателей пространства" в разных плоскостях, винты неблокированные выполняют роль компрессирующих, а винты в штифте- деротационные, они слишком узконаправлены и единичны для осевых нагрузок отдельных фрагментов. И меня, как практика, волнует вопрос -вертикализирую ли я больного сразу после оперции или нет. Так вот, в случае даже с простым внутрисуставным переломом штифт, в этом аспекте, не имеет никакого преимущества перед пластиной. Обсуждать диафизарные переломы смысла нет, тут все понятно. Спасибо!
С Уважением, Антон Жаглин,MD
|
[
Ответить ]
|
Re: перелом бедра
Отправитель: VlaD 29 Октябрь 2011, 02:41
|
Уважаемые коллеги Антон Жаглин и Volodymyr Kovalchuk!
Мне отнюдь не нравится форма ответа, когда чей-то пост разбирают на отдельные предложения (или даже части предложений) и на них дают ответы. Иногда предложение, вырванное из контекста, приобретает совершенно другой смысл. Но абсолютно нет времени и не вижу другого выхода, как обратиться к такой форме.
> Радует уже тот факт, что мы с Вами сошлись на том, что в предложенном случае ни антеградное, ни ретроградное штифтование не является оптимальным видом лечения.
В предложенном случае любой вид интерлокинга не только не является оптимальным, но и, с моей точки зрения, неприемлемым по причинам, обозначенным в предыдущем посте.
> Блокированные винты в штифте создают РОТАЦИОННУЮ стабильность трубчатой кости
Блокированные винты создают не только ротационную стабильность дистального отломка по отношению к стержню, а значит и по отношению к проксимальному отломку. Они обеспечивают стабильность дистального отломка во всех других плоскостях, препятствуют его смещению по длине, ширине, под углом, а также обеспечивают weight-bearing.
> и никогда не были блокированы в штифте (?)
И за что только дали такое название методу – блокированный остеосинтез?
> И меня, как практика, волнует вопрос -вертикализирую ли я больного сразу после операции или нет. Так вот, в случае даже с простым внутрисуставным переломом штифт, в этом аспекте, не имеет никакого преимущества перед пластиной.

Ответ на эту часть Вашего поста – вложенный файл. Больная оперирована неделю назад по поводу открытого перелома дистального эпиметафиза бедренной кости. После операции она идёт в рентгенкабинет для выполнения послеоперационной контрольной рентгенографии, представленной на слайдах 10 и 11. Узнав, почему её фотографируют, просила передать Вам, Антон, привет.
P.S.
Уважаемые, надеюсь, молодые коллеги. В нашем деле должны гармонично сочетаться теоретические знания и практика. Осваивайте на практике этот замечательный, но технически непростой метод. Владея им в совершенстве, вы найдёте достойный выход из многих затруднительных ситуаций, облегчите жизнь себе, и, что намного более важно, вашим пациентам.
С уважением, VlaD.
|
[
Ответить ]
|
Re: перелом бедра
Отправитель: Евгений Чекашкин 30 Октябрь 2011, 00:23
|
наружный мыщелок не дорепонироавн - это приводит к вальгусной деформации оси коленного сустава, очень критично для последующей функции.
Евгений Чекашкин
|
[
Ответить ]
|
Re: перелом бедра
Отправитель: Alexander Chelnokov 30 Октябрь 2011, 02:33
|
>>и никогда не были блокированы в штифте (?)
> И за что только дали такое название методу – блокированный остеосинтез?
Из-за ущербного перевода термина interlocking. "Межзапорный" было бы точнее, но, видимо, не очень благозвучно.
Во всяком случае, остеосинтез этот характеризуется именно запиранием гвоздя винтами выше и ниже перелома, что добавляет устойчивость против смещений по оси и ротационных.
И "блокирование" винта в гвозде тут ни при чем.
Хотя есть модификации гвоздей с резьбовыми отверстиями, и другие трюки, обеспечивающие более тугую посадку винта в отверстия.
|
[
Ответить ]
|
Re: перелом бедра
Отправитель: Антон Жаглин 30 Октябрь 2011, 22:52
|
VLaD!Спасибо за трогательные пожелания))) Чем и занимаюсь)))
Теперь принципиально:
-пластина является универсальным имплантом выбора для всех типов внутрисуставных переломов;
-винты блокированы в пластине и создают угловую стабильность в отличие от блокирующих винтов в штифте. Последние создают блок в системе кость-штифт (отсюда, кстати, и название);
-пластина дает дополнительные возможности непрямой репозиции (при помощи компрессирующих винтов по ее премоделированному контуру);
-количество отверстий под винты в пластине и возможность введения полиаксиальных винтов имеют явные преимущества перед узконаправленными винтами в штифте;
-никогда даже суперотрепонированный и стабилизированный внутрисуставной перелом не станет внесуставным и значит, что лечить эти переломы нужно по принципам внутрисуставных;
-искренне рад (я еще не потeрял такую способность))) за удачно прооперированную Вами пациентку, хотелось бы отследить ее случай и далее.
За сим кланяюсь, спасибо за интересный разговор! Начинается новая неделя, пойду "гармонично сочетать теоретические знания и практику")))
С уважением, Антон Жаглин,MD
|
[
Ответить ]
|
Re: перелом бедра
Отправитель: Alexander Chelnokov 30 Октябрь 2011, 02:08
|
Антеградное штифтование не очень годится при переломах типа C3, когда есть многооскольчатость именно суставной поверхности. А при переломах типа C1 и С2, т.е. и в обсуждаемом случае тоже, он как раз вполне оптимален. На межфрагментарную компрессию как-то не приходилось так драматически полагаться при интрамедуллярном остеосинтезе, результаты хорошие без нее были.
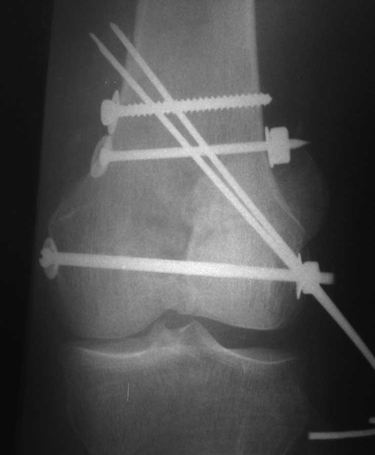
В этой терминологии мы, получается, создавали компрессию встречными спицами с упорами или reduction clamps, а потом вполне обходились запирающими винтами как позиционными. Бывает, проводим 1-2 спонгиозных винта 6,5-8 мм - вот они вполне компрессирующие.
И уже лет шесть мы используем возможность ввести в дистальное овальное отверстие 3 винта, которые именно запираются в этом отверстии, не люфтят, а обеспечивают угловую стабильность - см картинку.

Получается и стабильно, и очень дистально, нижний край отверстия в 3 мм от дистального конца гвоздя.
|
[
Ответить ]
|
Re: перелом бедра
Отправитель: VlaD 30 Октябрь 2011, 12:17
|
С моей точки зрения, безусловная ценность предложенного Вами, Александр Николаевич, стержня состоит в возможности введения блокирующих винтов максимально близко к суставной поверхности дистального отломка, что значительно расширяет показания для применения интерлокинга. Можно предположить, что в техническом плане таким образом ввести блокирующие винты является непростой задачей. Кроме того, все они расположены в одной плоскости на небольшом расстоянии друг от друга.

Мне представляется, что конструкция с максимальными прочностными характеристиками будет иметь вид предложенной во вложенном файле. Такую конфигурацию расположения блокирующих отверстий на дистальном конце имеет стержень для большеберцовой кости фирмы ChM. Для бедренной кости такой стержень мне неизвестен. Поэтому в необходимых случаях (хорошо, что такие случаи встречаются не часто), как вариант, мы используем custom made стержень.
С уважением, VlaD.
|
[
Ответить ]
|
Re: перелом бедра
Отправитель: Alexander Chelnokov 30 Октябрь 2011, 23:46
|
>Можно предположить, что в техническом плане таким образом ввести блокирующие винты является непростой задачей.
Чуть посложнее, чем один винт. Надо ввести в отверстие спицу, далее по направителю еще две, и по ним канюлированным сверлом. Ну и вводить двумя отвертками надо, чтобы раньше времени не заклинилось.
> Кроме того, все они расположены в одной плоскости на небольшом расстоянии друг от друга. Мне представляется, что конструкция с максимальными прочностными характеристиками будет иметь вид предложенной во вложенном файле.
Рационально ориентироваться на качественный аспект - проблема или решается, или нет. Переломы типа 33C1 или C2 (то есть без фронтального раскалывания мыщелков, как на показанной Вами томограмме) при обычном качестве кости успешно можно фиксировать гвоздями с фронтальными винтами. Получается, их прочностных характеристик уже достаточно.
Да, если винтов вводить больше, под разным углами, увеличить их диаметр, использовать вместо винтов что-то другое (спиральный клинок, двутавр, еще что-то), делать аугментацию цементом и т.д. и т.п., прочностные характеристики можно увеличивать. Но раз планку приемлемости для таких переломов преодолевают конструкции с фронтальными винтами, то дальнейшее количественное изменение прочности не становится качественным. То есть после девятой ложки сахара чай слаще уже не делается.
Да, есть другие ситуации (переломы C3, или остеопороз, или инфекция, или дефект, или надо завтра прыгать на свежепочиненной ноге без парашюта, или еще что-то) - там планка приемлемости может быть расположена по-другому, и минимально приемлемой будет другая конструкция.
>Такую конфигурацию расположения блокирующих отверстий на дистальном конце имеет стержень для большеберцовой кости фирмы ChM. Для бедренной кости такой стержень мне неизвестен. Поэтому в необходимых случаях (хорошо, что такие случаи встречаются не часто), как вариант, мы
Такое проведение винтов становятся критически важным при переломах типа C3. Где, как правило, без открытой репозиции не обойтись. И пластины тут предлагают больше возможностей - и винтов много, и полиаксиально можно вводить. Иногда гвозди тоже получается использовать. Раз уж колено открыли, то через него и ввести проще, и винты в разных плоскостях с кондуктором удобнее вводить. Так что ретроградные становятся привлекательнее. И большеберцовые, кстати, в качестве ретроградных бедренных очень хорошо использовать.

В приложении пример недавней операции, C3, открытая репозиция, фиксация мыщелков спицами и винтами, ретроградный синтез большеберцовым гвоздем 10,5 мм диаметром, винты 5 мм.
|
[
Ответить ]
|
Re: перелом бедра
Отправитель: VlaD 31 Октябрь 2011, 09:36
|
> = Да, если винтов вводить больше, под разным углами, увеличить их диаметр, использовать вместо винтов что-то другое (спиральный клинок, двутавр, еще что-то), делать аугментацию цементом и т.д. и т.п., прочностные характеристики можно увеличивать. Но раз планку приемлемости для таких переломов преодолевают конструкции с фронтальными винтами, то дальнейшее количественное изменение прочности не становится качественным. То есть после девятой ложки сахара чай слаще уже не делается.
Дело, безусловно, не в девятой ложке. Одним из наиболее существенных преимуществ блокированного стержня перед другими металлоконструкциями при диафизарных переломах является его универсальность. Им можно стабилизировать практически любые виды переломов. И с моей точки зрения, уже давно назрела необходимость в разработке такого же универсального стержня для дистальных переломов бедренной кости, возможности которого будут охватывать максимально широкий спектр переломов дистального эпиметафиза бедра. Мне представляется, что конструкция, описанная в моём предыдущем посте, в наибольшей степени учитывает возможные варианты переломов и обеспечит максимальную из возможных прочность их фиксации.
> = Иногда гвозди тоже получается использовать. Раз уж колено открыли, то через него и ввести проще, и винты в разных плоскостях с кондуктором удобнее вводить. Так что ретроградные становятся привлекательнее. И большеберцовые, кстати, в качестве ретроградных бедренных очень хорошо использовать.
Позволю себе напомнить коллегам ещё раз, что являюсь сторонником антеградного остеосинтеза при переломах дистального эпиметафиза бедренной кости. Такая приверженность основана не на преимуществах внесуставного введения стержня или большем проценте положительных результатов. Она основана на возможности обеспечить блокирование на минимальном расстоянии от суставной поверхности в нескомпрометированной кости и, таким образом стабилизировать максимально низкие переломы. В приведенном Вами случае самый дистальный из блокирующих винтов проведен на расстоянии более 2 см от конца стержня. Из-за того, что к стержню присоединяется кондуктор, на стержне теряется 1-1,5 см его длины, где можно было разместить отверстия для блокирования. И что более важно, вместе с потерянной для этой цели длиной стержня утрачивается для размещения блокировочных винтов, пожалуй, самая ценная часть дистального эпиметафиза бедренной кости. Проблемы дистального блокирования в разных плоскостях, локализации точки ввода стержня при антеградном остеосинтезе – это всё решаемые технические проблемы. Но антеградный остеосинтез низких дистальных переломов бедра при адекватном блокировании в нескомпрометированной кости обеспечивает решение стратегической задачи – стабильный остеосинтез и возможность нагрузки.
С уважением, VlaD.
|
[
Ответить ]
|
Re: перелом бедра
Отправитель: Alexander Chelnokov 10 Ноябрь 2011, 09:43
|
Ответил в рассылку, сюда забыл переложить...
Исправляюсь.
Приветствую,
И с моей точки зрения, уже давно назрела необходимость в разработке такого же универсального стержня для дистальных переломов бедренной кости, возможности которого будут охватывать максимально широкий спектр переломов дистального эпиметафиза бедра. Мне
Стержень для дистальных переломов - специализированный, так что, выходит, хочется "универсальный специализированный" стержень - оксюморон получается.
Безусловно, тенденция последних 5-7 лет как раз в сторону увеличения количества разнонаправленных отверстий на обоих концах.
И развиваются обе тенденции - и в сторону универсальных, и в сторону специализированных. Что хорошо.
Действительно, специализированых антеградных дистальных для бедра никто из производителей целенаправленно не позиционирует (может, не все знаю?). Производители ориентируются на рынок сбыта, который для антеградных дистальных будет, понятное дело, очень-очень ограниченный. В силу того, что несмотря на все многолетние старания немногочисленных энтузиастов, к которым отношу и себя, этот подход остается малопопулярным. И в основных "библиях" даже не упоминается. Хотя и диссертация была (Виноградский А.Е., 2007) и методичку выпустили (на weborto.net есть)...
Наш гвоздик, выпускаемый предприятием ЦИТО, тоже скорее из универсальных, хотя и с расширенными возможностями для дистальных переломов. Это овальное отверстие внизу задумывалось как динамическое для высоких переломов, очень дистально его разместили, чтобы не опасаться перелома гвоздя по этому отверстию. А возможность вот такого введения винтов, образующих "сборный клинок", обнаружилась года через 3 его применения.
положительных результатов. Она основана на возможности обеспечить блокирование на минимальном расстоянии от суставной поверхности в нескомпрометированной кости и, таким образом стабилизировать максимально низкие переломы.
:-) Где-то мы это уже слышали...
Но практика показывает, что классификации существуют не зря, и стоит пользоваться ими, а не ориентироваться на абстрактные "максимально низкие переломы". Подавляющее большинство поступающих к нам больных с дистальными переломами - это C1 и С2. И показанный в прошлом сообщении гвоздик прекрасно справляется. Наверно, сгодятся и многие современные гвозди разных производителей, типа RAFN Synthes. А вот при настоящих C3 одним гвоздем не обойтись, нужны как минимум винты мимо, а то и введение на одном уровне нескольких винтов и/или спиц веером...
В приведенном Вами случае самый дистальный из блокирующих винтов проведен на расстоянии более 2 см от конца стержня.
На этом большеберцовом стержне центр ближайшего к кондуктору отверстия в 14 мм от конца. И пример был про то, что пластина тут, скорее всего, была бы не худшим выбором.
Из-за того, что к стержню присоединяется кондуктор, на стержне теряется 1-1,5 см его длины, где можно было разместить отверстия для блокирования.
Попадался какой-то ретроградный гвоздь, где на уровне резьбового канала есть отверстие, в которое вводится винт после отсоединения кондуктора, через который это отверстие с одной стороны намечается. Можно такие и самим сверлить. Раньше частенько делали такое, когда большеберцовые гвозди использовали для проксимального плеча, например...
точки ввода стержня при антеградном остеосинтезе – это всё решаемые технические проблемы. Но антеградный остеосинтез низких дистальных переломов бедра при адекватном блокировании в нескомпрометированной кости обеспечивает решение стратегической задачи – стабильный остеосинтез и возможность нагрузки.
Боюсь, это борьба с ветряными мельницами. Если суставная поверхность собирается из кусочков мозаики, введенные сквозь гвоздь 1-2 винта в пределах 10 мм от суставной поверхности универсально проблему не решат. Для крупных фрагментов мыщелков (C1-C2) решения уже есть. Особенно когда мы лечим закрыто, чем более дистальный перелом, тем больше мы предпочитаем антеградный остеосинтез.
|
[
Ответить ]
|
|
Re: перелом бедра
Volodymyr Kovalchuk 27 Октябрь 2011, 02:41
|
VlaD, спасибо за исчерпывающий ответ. Позвольте высказать несколько комментариев.
Данный случай является далеко не самым сложным из группы переломов 33-С. И уже при нем, сложность выполнения штифтования очевидна, а сама возможность и целесообразность под большим вопросом. Естественно при более сложных внутрисуставных переломах применение штифта почти никогда не является оправданным.
Если говорить в общем, то у пожилых пациентов с остеопенией кортикальный слой в мета- и епифизарной зоне очень тонкий и хрупкий, поэтому часто даже с применением "качественного метала" блокирующие винты не являются адекватным методом удержания суставных фрагментов. Возможно винты с угловой стабильностью (Synthes ASLS) являются попыткой решить эту проблему, но цена такого решения будет на порядок выше, чем у любого предложенного ранее. Причем, без гарантированного результата. Ведь даже эксперты АО неоднократно высказывались о проблемах интрамедулярного остеосинтеза уже при низких метафизарных переломах, не говоря уже о суставных.
Штифт - хорошо при диафизарных переломах бедра и голени. Тут суставной перелом, ни один из преимуществ штифта не сработает... Вопрос, зачем?
Кстати, вспомнилось, как около года назад, делая обзор по современным методам лечения переломов проксимального отдела бедра (в основном черезвертельные), с удивлением не нашел в современной литературе данных о явном превосходстве гамма-гвоздя или других цефаломедуллярных стержней. Почти все большие исследования и систематические обзоры (включая Cochrane), указывают на одинаковые результаты лечения при использовании DHS и гамма-гвоздя. При этом (самое интересное), частота осложнений выше при использовании гамма-гвоздя. В частности, частота подвертельных переломов ниже импланта при гамме выше в 10 раз. И это при том, что гамма - самый популярный в мире интрамедуллярный фиксатор и используется по показаниям. А вы говорите, о гвоздях на внутрисуставные переломы.
Evidence-based, please!
|
[
Ответить ]
|
Re: перелом бедра
Volodymyr Kovalchuk 29 Октябрь 2011, 04:06
|
Сегодня на семинаре АО по нижней конечности очень порадовали лекции Prof Chris van der Werken (Президент AO Foundation 2006-2008).
Оказалось Кристиан очень любит клинковые пластины 95 градусов, называя их действительно универсальными имплантами для метафизарных остеопорозных переломов.
Тезисно:
- классический имплант с 1958 года
- "золотой стандарт"
- анатомическая форма
- эластичное шинирование
- оптимальная стабильность
- дешевизна
(оригинал слайда тут: http://a1.sphotos.ak.fbcdn.net/hphotos-ak-snc7/305879_10150347176068807_680188806_8355372_451803220_n.jpg)
С его слов, стоимость такой пластины равна стоимости одного блокированного винта для LCP, соответственно в сложных экономических условиях, и отсутствия леса рук при вопросе о наличии ЭОПа в наших клиниках, ответ на вопрос о выборе импланта напрашивается сам собой.
В личной беседе, Крис заметил, что в его стране (Нидерланды) молодые хирурги предпочитают LCP и LISS, считая клинковые пластины слишком сложными для установки и устарешими. Даже многие врачи обучающие резидентов не в состоянии продемонстрировать технику установки клинковой мыщелковой пластины. В практике Криса, остеосинтез пластиной 95 градусов занимает 20% при переломах бедра. При этом в 80-х годах (как сейчас в многих отечественных клиниках) он выполнял такой синтез без какого-либо интраоперационного рентген-контроля.
Очень интересно было это слушать в контексте последней лекции проф. Ван дер Веркена о доказательной медицине в травматологии. В ней он обратил внимание всех на то, что ни один имплант нового поколения не имеет доказанного значительного клинического преимущества перед имплантом предыдущего поколения.
|
[
Ответить ]
|
Re: перелом бедра
Антон Жаглин 31 Октябрь 2011, 01:12
|
VLaD!Спасибо за трогательные пожелания))) Чем и занимаюсь)))
Теперь принципиально:
-пластина является универсальным имплантом выбора для всех типов внутрисуставных переломов;
-винты блокированы в пластине и создают угловую стабильность в отличие от блокирующих винтов в штифте. Последние создают блок в системе кость-штифт (отсюда, кстати, и название);
-пластина дает дополнительные возможности непрямой репозиции (при помощи компрессирующих винтов по ее премоделированному контуру);
-количество отверстий под винты в пластине и возможность введения полиаксиальных винтов имеют явные преимущества перед узконаправленными винтами в штифте;
-никогда даже суперотрепонированный и стабилизированный внутрисуставной перелом не станет внесуставным и значит, что лечить эти переломы нужно по принципам внутрисуставных;
-искренне рад (я еще не потeрял такую способность))) за удачно прооперированную Вами пациентку, хотелось бы отследить ее случай и далее.
За сим кланяюсь, спасибо за интересный разговор! Начинается новая неделя, пойду "гармонично сочетать теоретические знания и практику")))
С уважением, Антон Жаглин,MD
|
[
Ответить ]
|
Re: перелом бедра
Volodymyr Kovalchuk 01 Ноябрь 2011, 16:31
|
Уважаемые коллеги, мне кажется мы отклонились от курса заданного автором темы. Думаю, что тут уж никто не будет спорить, что в конкретных заданных условиях было бы лучше синтезировать пластинкой.
Если говорить в общем, то на многих послеоперационных снимках после интрамедуллярного остеосинтеза даже переломов В1, определяется как бы расклинивание мыщелков. Самое интересное, что это часто происходит после уже введения стержня. То есть по сути стержень вводится в место перелома. Как показано на схеме уважаемого VlaD'а. В условиях отсутствия компрессии во фронтальной плоскости, штифт диаметром минимум 10 мм не будет особо способствовать сращению. Если сюда добавить остеопороз, и соответственно 2-3 винта в тонком епифизарном кортикале, то вполне возможна дистальная миграция (проседание) гвоздя под нагрузкой, а также дальнейшее раннее расклинивание мыщелков.
|
[
Ответить ]
|
Re: перелом бедра
Djoldas Kuldjanov, M.D. 01 Ноябрь 2011, 19:51
|
Уважаемый Константин,
Пока наши коллеги в течение нескольких дней упражняются своими глубокими познаниями о преимуществах антеградного остеосинтеза нам бы хотелось узнать о состоянии больной. Какие дополнительные исследования проводились и какой метод выбран для фиксации перелома?
|
[
Ответить ]
|
Re: перелом бедра
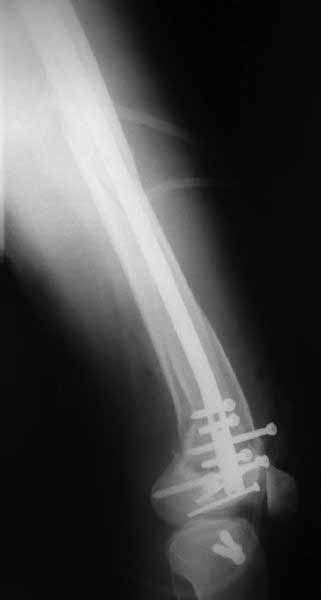
Константин Никитин 08 Ноябрь 2011, 16:05
|
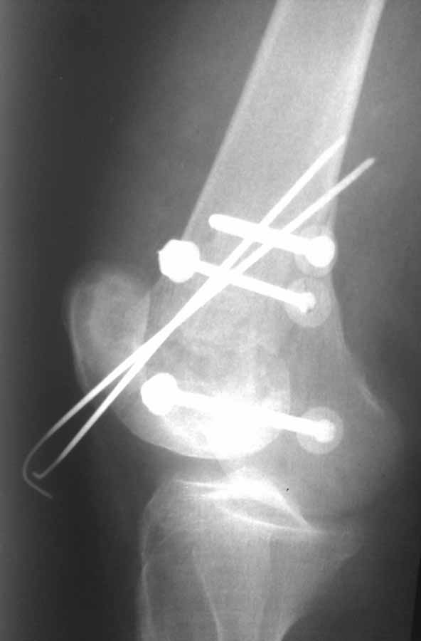
Коллеги, извиняюсь за задержку с результатом. Через медиальную артротомию обнажили н/3 бедра, отрепонировали внутренний мыщелок, затем по нему сопоставили суставную поверхность бедра с латеральным мыщелком.

Больная выписана в ортезе с регулируемым углом сгибания в колене, с рекомендациями через 3 нед. удалить спицы и начать разрабатывать сустав.
|
[
Ответить ]
|
Re: перелом бедра
Отправитель: Djoldas Kuldjanov 09 Ноябрь 2011, 23:31
|
По прямому снимку репозиция удалось, поздравляю! А с латеральной стороны подозрение на флексионный компонент латерального мыщелка остается, а снимок получился косым, надо было бы повторить.
Выбор имплантов не совсем удачный, подкожно выступающие болты в мыщелках вскоре могут привести к проблемам. Вместо солитарной фиксации болтом-стяжкой дистально можно было бы добавить пару винтов, которые создали бы ротационную стабильность и межфрагментарную компрессию.
Возможно, есть скрытый замысел, неочевидный для нас - не понятны латерально оставленные спицы. Спицы возможный очаг вторичного осложнения, и, тем более у взрослых, тонкие спицы не создают адекватную фиксацию.
|
[
Ответить ]
|
Re: перелом бедра
Отправитель: Константин Никитин 11 Ноябрь 2011, 17:33
|
Djoldas,скрытого смысла в спицах нет. Без них латеральный мыщелок получается фиксированным только к медиальному, который, в свою очередь, фиксирован к проксимальному отломку. Соответственно латеральный мыщелок не фиксирован к бедру. Спицами мы попытались создать какую-никакую-стабильность латерального мыщелка относительно проксимального отломка бедра.
Болт-стяжка, на мой взгляд, создает не меньшую межфрагментарную компрессию чем винты. Не понял относительно ротационной стабильности винтов.
|
[
Ответить ]
|
|
Re: перелом бедра
Андрей Волна 09 Ноябрь 2011, 23:49
|
Коллеги, простите, есть желание ещё подискутировать? Пластина или гвоздь, так сказать... Искренне, Андрей
|
[
Ответить ]
|
Re: перелом бедра
Отправитель: Alexey Semenisty 12 Ноябрь 2011, 01:17
|
Теперь-то точно только пластина, гвоздю места нет уже)
... Жесть!
|
[
Ответить ]
|
Re: перелом бедра
Отправитель: Константин Никитин 20 Ноябрь 2011, 01:15
|
Уважаемый, по-моему вы не разобрались даже во взаимоотношениях мыщелков, а пытаетесь что-то комментировать.
|
[
Ответить ]
|
Re: перелом бедра
Отправитель: Андрей Волна 20 Ноябрь 2011, 23:25
|
>Уважаемый, по-моему вы не разобрались даже во взаимоотношениях мыщелков, а пытаетесь что-то комментировать.
- не в бровь, а в глаз! И я ему по дружбе всегда говорю: "Куда тебе, Лёха,со св...ным рылом-то в калашный ряд!"
Хотя мне комментарий нравится, честно говоря. Мне кажется, в данном случае Алексей Юрьевич разобрался не только во взаимоотношениях мыщелков. И, при этом, остался достаточно деликатным. Отдельный респект ему за это.
Произнесённое отдельно от имени "Уважаемый" несёт уничижительный оттенок. Так в трактирах обращались к половым. Лучше искренне сказать человеку, что Вы его не уважаете, чем исповедовать подобный стиль общения. Резкость не обижает, это стиль. А подобное обращение - это попытка унизить. Я за прямые, пусть и резкие отношения в данном случае. Но, - прямые!
|
[
Ответить ]
|
Re: перелом бедра
Отправитель: Alexander Chelnokov 21 Ноябрь 2011, 01:11
|
Дорогие коллеги.
Прошу и призываю не уклоняться в взаимную перепалку (флейм), пусть даже она выглядит увлекательнее обсуждаемой проблемы (лечения переломов дистального отдела бедра).
Может, я не прав, но мне все больше кажется, что в формате нашего форума конструктивнее что-то подсказать терпеливо и доброжелательно, чем упрекать и ругать (пусть даже очень есть за что).
Многие из нас приходят сюда за ответами на насущные вопросы, а не для того, чтобы их возили фэйсом об тэйбл, Пусть об виртуальный.
Если сказать друг другу что-то язвительное и едкое - право слово, это не поможет делу - никакому. Ни профессиональной мотивации коллеги, показавшего не самое передовое решение, ни пациентам, ничему.
Раз коллега добрался сюда, потратил время и силы на подготовку презентации проблемного пациента, показал что было и что стало - ну неужели ради того, чтобы в ответ увидеть ругань и насмешки.
Увидев негативный пример - лучше бы постараться не столько разносить его в пух и прах с переходом на личности, сколько показать аналогичный позитивный. Согласен, что это более трудоемко. Но прекрасные примеры терпеливого, доброжелательного и содержательного разбора проблемы все мы здесь встречаем (авторов не называю, все и так прекрасно знают и Д.Кульджанова, и П.Иванова, и А.Волну, и А.Лазарева, и Р.Тихилова, и других замечательных наших коллег). И, кстати, кого ни спрашивал (а довелось со многими общаться) - всем нравится читать что-то содержательное, а то и иллюстрированное. А ругань как-то позитивного следа не оставляет.
|
[
Ответить ]
|
Re: перелом бедра
Отправитель: Alexey Semenisty 22 Ноябрь 2011, 02:50
|
Константин, Вы правы, иногда лучше молчать, чем говорить....
 Примеры (PDF, 196 Kb)
|
[
Ответить ]
|
|
( Ответить )
|
|