вверх
отправить
поиск
админ
главная
Предыдущее
|
Re: Ложный сустав б/ берцовой с инфицированием
Нияз 12 Ноябрь 2011, 14:42
|
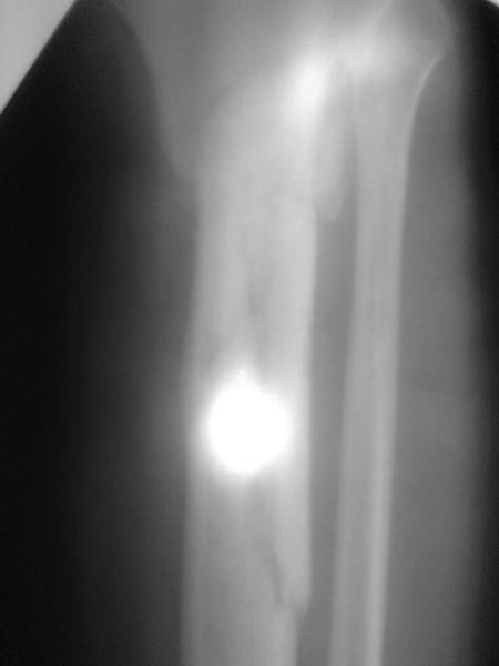
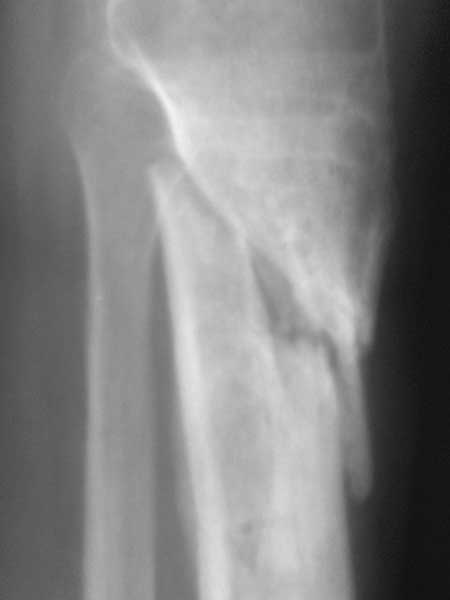
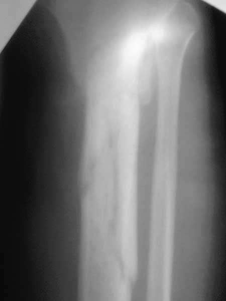
Спасибо за обсуждение.Отправил остальные R, изиняюсь за качество.

1. Есть ли у Вас наблюдения пациентов с ложными суставами голени( не тугоподвижными) пролеченных функциональными повязками и каковы их результаты ?
2.Возникновение раны склонен связывать с эпизодом спицевой инфекции нашедшей себе "уютное место" в плохо васкулизированных интерпонироанных мягких тканях между отломками. Я думаю что нет разницы где ложный сустав( в губчатой или др.) -он будет если там интерпозиция.
3.Перелом на 2 уровнях, есть искривление костно-мозгового канала. Проксимальный отломок короткий.
Отзовитесь рисковые и опытные доктора, обсуждение очень интересно.
|
|
|
Ответить
|
Re: Ложный сустав б/ берцовой с инфицированием
Игорь Девин 14 Ноябрь 2011, 19:32
|
На мой взгляд не стоит переходить к погружным методикам. Повторите внеочаговую фиксацию по Илизарову - дистракционно-компрессионный остеосинтез. Проведите остеотомию малоберцовой кости. В проксимальном отломке следует более тщательно, классически провести спицы: 2 на 1,5 см ниже суставной щели с перекрестом 90, дополнительно проведите 1 спицу на консольных приставках снутри кнаружи во фронтальной плоскости с упором, тотчас над верхушкой промежуточного отломка. 2 кольцо следует расположить под концом проксимального отломка, в нем в дальнейшем провести спицу с упором снаружи кнутри во фронтальной плоскости. До проведения спицы в среднем кольце следует смонтировать аппарат в виде трубы, 3 кольцо с 2 спицами расположить над лодыжками. После компоновки аппарата и натяжения спиц в крайних кольцах следует дать одномоментную дистракцию до напряжения аппарата. Затем следует провести встречно-боковую компрессию спицами на уровне проксимального перелома. Спицы используйте не менее 1,8 мм. В дальнейшем проводите дистракцию по 0,5 - 1 мм в сутки 10-14 дней с целью формирования межотломкового регенерата. Вся "интерпозиция" перестроится в остеогенную ткань. Затем верните аппарат в нейтральное положение (сбросьте дистракцию и убедитесь, что есть встречно-боковая компрессия или повторите ее. Уверен, что через 3 месяца консолидация завершится.
С уважением И.Девин.
|
[
Ответить ]
|
( Ответить )
|
|