ВХОД ДЛЯ ПАЦИЕНТОВ
вверх
поиск
админ
главная
исходное
|
Re: Тактика лечения политравмы?
послал Djoldas Kuldjanov 17 Июль 2012, 00:21
|
Уважаемые коллеги, извиняюсь за задержку, связанную с переездом, готовим жилье для приезжающих к нам коллег. Поэтому с небольшим опозданием продолжаю дискуссию о последовательности оказания помощи больным с политравмой....
При наличии различных сложных повреждении у одного того же больного, часто задается вопрос “How much is too much?” т.е. обьем помощи пострадавшему во время дежурства. Экстренную помощь надо оказывать в специализированных клиниках, где имеется обученный персонал и обеспечение, но на практике не все дежуранты, даже в передовых институтах, владеют нужными знаниями. Незнающий врач принесет больше вреда неумелыми действиями, чем если оставить больного на скелетном вытяжении.
В организации мероприятии Damage Control первостепенная задача сохранение от ранней смерти временной стабилизацией и последующим оказанием специализированной помощи. Независимо от того, где бы не оказана помощь, желательно стабилизировать внутрисуставные повреждения первично, затем, по улучшении состояния, окончательная фиксация остальных повреждении.
Трудно выбрать приоритет, когда имеется одинаковые по значимости, по сложности повреждения и с вовлечением различной локализации. У пожилых переломо-вывих головки бедра можно было бы проигнорировать, но у молодых такое решение привело бы к катастрофе, и поэтому приоритет первичной фиксации отдали решению переломо-вывиха таранной кости и головки бедра.
Мы понимаем патофизиологию «шока», но у нас не принято выставлять этот диагноз. Главным для нас является стабильность больного, т.е создание промежутка, когда без риска можно произвести операцию по стабилизации переломов. По канонам ATLS, мероприятия по созданию стабильности (борьба с шоком) необходимо начать с места травмы и продолжить эти мероприятия в госпитале.
Температура тела при поступлении? Уровень лактата, КЩС? Значение МНО?
Все показатели несут важную информацию о том что происходит в организме, но ссылка на эти показателей в ургентной ортопедии звучит как приговор! Показатели температуры, КЩС или INR, даже черепно-мозговая травма, никоим образом не повлияла бы на продолжения мероприятий по первичной стабилизации. КЩС и кровопотерю можно коррегировать паралельно с нахождением источника, и опыт показывает, что с такой задачей намного легче справляться в операционной, чем в палатах интенсивной терапии. Тем более такие нарушения характерны для хронических больных, чем у молодой особы...
Вообщем.., больная поступает около 2.00 дня и дальнейщая хронология: 2.27 PМ рентген грудной клетки; 2.54 РМ рентген бедра; 2.53-3.06 КТ скан, всего около 2000 срезов. Из-за беспокойства пациента (алкоголь), множественные переломы ребер – трубка в превральную полость и интубация. Около 3.45 в операционной эксплуараторная лапароскопия с последующим ушиванием брюшной полости.
Перелом позвоночника и боковую компрессию таза отнесли к стабильным переломам и не стали форсировать события до лучших времен...
“я бы собрал таран, ретроградное штифтование (без рассверливания) перелома бедра после хирургов и на последнем месте - перевернув больную на живот собрать на винтах головку, ревизию впадины и вправить вывих. из заднего доступа”
Больная стабильная после хирургических мероприятии и получив добро, приступили к закрытому вправлению таранной кости с укладкой наружного фиксатора. Затем укладка больную на бок и открытый остеосинтез перелома-вывиха головки бедра.
По характеру повреждения головка находится сзади и напрашивается задний Кохер-Лангенбек доступ, но в заднем доступе имеется риск повреждения магистрального кровоснабжения головки a. circumflexa. Более щадящая trochanteric flip (digastric osteotomy) сохранит кровоснабжение и дасть возможность работу при вывихнутом суставе.
Остеосинтез бедра не стали делать из-за множественных переломов ребер с ушибом грудной клетки и поэтом у закончили фиксацию бедра наружным фиксатором.
Около 11.00 вечера больная переведена в реанимацию, без сознания, но стабильная.. На третьий день провели стабилизацию перелома бедра антеградным остеосинтезом.
Закрытый БИОС решает множественные проблемы связанные с лечением переломов, но проблема дистальной блокировки без рентгена до сих пор остается нерешенной. Рекламированные производителями приспособления для дистальной блокировки из-за различной кривизны кости не эффективны или стоит очень дорого (Smith&Nephew SureLock). Задержка операции из-за блокировки не всегда удовлетворяет, и многих вынуждает искать альтернативные методы фиксации. С результатами таких действий, остеомиелитом и несращениями, встречаемся в ежедневной жизни..
Для решения проблемы дистальной блокировки компания DigiMed недавно предложила систему блокировки без рентгена. Пока в стране только два набора и только для антеградных гвоздей, но компания работает над созданием устроиства для других гвоздей тоже..
Результат первых случаев показала отсутствие разницы между занятиями на муляжах, а также Workshop и с удивительной точностью вывел латерально над кожей специальное сверло. Дальше по сверлу тонкий направитель и проводится сверление каннюлированным сверлом....
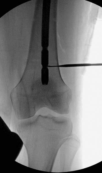
После спадения отека на стопе произведена фиксация тарана. Кстати, коллеги пересмотрели первоначальную консультацию по позвоночнику и на двух уровнях провели фиксацию. Из-за длительного постельного режима без нагрузки таз не стали оперировать...


|
| Послать ответ |
Обратите внимание: Поля с жирными названиями обязательны.
Старайтесь отвечать в рамках обсуждаемой темы, а не начинать новые обсуждения.
Указывайте адекватную тему сообщения, чтобы было ясно, о чем оно.
Не послайте сообщений не по теме (оффтопик), раздраженных, грубых или обидных комментариев. Здесь это неуместно.
|