Ответить
|
Re: Тактика лечения политравмы?
Иван 19 Июнь 2012, 01:30
|
В диагноз еще необходимо внести закрытую (?) ротационно-нестабильную травму таза с переломами лонных седалищных костей, боковой массы крестца справа.
Напрашивается реализация тактики многоэтапного хирургического лечения ("damage control"): фиксация правого бедра, правого голеностопного сустава, таза стержневыми аппаратами внешней фиксации с выполнением "ориентировочной" ручной репозиции. Возможна и фиксация левого бедра с соединением бедренной и тазовой штанг и выполнение вытяжения (независимое скелетное вытяжение). Дальнейшие действия - по стабилизации показателей гемодинамики,газообмена,гемокоагуляции, воспалительного ответа.
|
[
Ответить ]
|
Re: Тактика лечения политравмы?
Эльдар Шамадаев 19 Июнь 2012, 04:10
|
Здравствуйте. Я бы предложил:
1) Стержневой АНФ треугольником по 2-3 стержня на передние верхние ости подвздошных костей и левое бедро, для стабилизации переломов таза и дистракции за бедро, а если разрешат реаниматологи, то сначала резекция головки левого бедра;
2) Стержневой АНФ на 4-6 стержнях на диафиз правого бедра;
3) Переломовывих таранной кости: фиксация в спицевом или спицестержневом АНФ (1-2 стержня или 2 спицы ср/3 диафиза б/б кости, 2 спицы дистальный конец б/б кости, 3-4 спицы пяточная кость, 1 спица плюсневые кости), дистракция и репозиция в аппарате.
|
[
Ответить ]
|
Re: Тактика лечения политравмы?
Maxim Agalakov 19 Июнь 2012, 09:15
|
Учитывая тяжесть травмы, пациентка скорее всего попадает под DCO. Ночью стабилизировать бедро стержневым аппаратом, вывих попробовать вправить, зафиксировать гипсом или аппаратом (в зависимости от состояния кожных покровов. Таз стабилизировать простынею. Перевод в реанимацию. По стабилизации, состояния: открытое вправление, внутренняя фиксация перелома головки, тарана, АВФ на таз, штифтование бедра (последнее - можно еще отложить)
|
[
Ответить ]
|
Re: Тактика лечения политравмы?
Отправитель: Maxim Agalakov 19 Июнь 2012, 14:26
|
вправление вывиха - имелось ввиду переломовывих тарана.
|
[
Ответить ]
|
|
Re: Тактика лечения политравмы?
Evgueny Tschekashkine 19 Июнь 2012, 11:11
|
Джолдас,
Спасибо за презентацию.
пока хирурги оперировали живот, я бы собрал таран, ретроградное штифтование (без рассверливания) перелома бедра после хирургов и на последнем месте - перевернув больную на живот собрать на винтах головку, ревизию впадины и вправить вывих. из заднего доступа. Что и в какой последовательности сделали у вас, хотелось бы знать.
Совокупность травмы, критичность по времени для выживания головки бедра и тарана разве имеет какой-либо другой сценарий в середине ночи или в середине дня?
С наилучшими пожеланиями,
Е.Чекашкин
|
[
Ответить ]
|
Re: Тактика лечения политравмы?
Ivan Petrov 19 Июнь 2012, 11:33
|
Температура тела при поступлении?
Уровень лактата, КЩС?
Значение МНО?
|
[
Ответить ]
|
Re: Тактика лечения политравмы?
Отправитель: Коваленко А.Н. 26 Июнь 2012, 01:03
|
Как в конкретном случае температура, кислотно-щелочное состояние и международное нормализованое отношение повлияют на тактику лечения скелетной травмы? Какие параметры и что изменят в очередности мероприятий?
|
[
Ответить ]
|
|
Re: Тактика лечения политравмы?
Георгий 19 Июнь 2012, 12:28
|
Учитывая тяжесть травмы, согласно принципу damage control,при поступлении когда имется тяжелый шок показаны консервативные методы стабилизации переломов.
|
[
Ответить ]
|
Re: Тактика лечения политравмы?
Pavel Ivanov 19 Июнь 2012, 23:55
|
Подозрительно...... С какой целью интересуетесь?
|
[
Ответить ]
|
Re: Тактика лечения политравмы?
DoktorovAlexey 20 Июнь 2012, 20:36
|
Признаюсь опыт лечения таких больных небольшой. Но я бы, прежде всего стабилизировал кости таза АНФ (стабилизировал гемодинамику, профилактика дальнейшего развития шока…), аппарат связал бы с левым бедром для фиксации тазобедренного сустава, штифт в правое бедро или аппарат, по моему не принципиально и аппарат на первый голеностопный сустав. Конечно, если все это позволяет одномоментно сделать состояние больного и желание и возможности опер бригады. А в перспективе, синтез таранной кости и головки бедренной кости на винтах типа Barouk с вертлужной впадиной. Не совсем понятно, что с крестцово-подвздошным сочленением? Интересно что и в какой последовательности сделали Вы.
|
[
Ответить ]
|
Re: Тактика лечения политравмы?
Андрей 21 Июнь 2012, 00:59
|
Я предлагаю такую тактику:
Паралельно с челестнюками (без них не заинтубируеш) и хирургами
1. Тазовые щипцы, при невозможности (неимении) АВФ на передний отдел таза с попыткой ручной дистракции левого бедра.
2. на правое бедро фиксационный АВФ стержневого типа.
3. Попытка закрытого устранения перелома-вывиха тарана и гипс.
Далее решать по выживаемости (простите за цинизм)
З.Ы. информация не полная
1. Про ЗЧМТ нет никакой инфы(ЗЧМТ должна быть!!)
2. Про хребет бы тоже чего- написаь-то
С уважением андрей
|
[
Ответить ]
|
Re: Тактика лечения политравмы?
Всеволод Каленский 21 Июнь 2012, 01:26
|
Сложно говорить о тактике без учета основных показателей гомеостаза (САД, показатели КЩС, Нв, тромбоциты, применение вазопрессоров).
|
[
Ответить ]
|
Re: Тактика лечения политравмы?
Djoldas Kuldjanov 17 Июль 2012, 00:21
|
Уважаемые коллеги, извиняюсь за задержку, связанную с переездом, готовим жилье для приезжающих к нам коллег. Поэтому с небольшим опозданием продолжаю дискуссию о последовательности оказания помощи больным с политравмой....
При наличии различных сложных повреждении у одного того же больного, часто задается вопрос “How much is too much?” т.е. обьем помощи пострадавшему во время дежурства. Экстренную помощь надо оказывать в специализированных клиниках, где имеется обученный персонал и обеспечение, но на практике не все дежуранты, даже в передовых институтах, владеют нужными знаниями. Незнающий врач принесет больше вреда неумелыми действиями, чем если оставить больного на скелетном вытяжении.
В организации мероприятии Damage Control первостепенная задача сохранение от ранней смерти временной стабилизацией и последующим оказанием специализированной помощи. Независимо от того, где бы не оказана помощь, желательно стабилизировать внутрисуставные повреждения первично, затем, по улучшении состояния, окончательная фиксация остальных повреждении.
Трудно выбрать приоритет, когда имеется одинаковые по значимости, по сложности повреждения и с вовлечением различной локализации. У пожилых переломо-вывих головки бедра можно было бы проигнорировать, но у молодых такое решение привело бы к катастрофе, и поэтому приоритет первичной фиксации отдали решению переломо-вывиха таранной кости и головки бедра.
Мы понимаем патофизиологию «шока», но у нас не принято выставлять этот диагноз. Главным для нас является стабильность больного, т.е создание промежутка, когда без риска можно произвести операцию по стабилизации переломов. По канонам ATLS, мероприятия по созданию стабильности (борьба с шоком) необходимо начать с места травмы и продолжить эти мероприятия в госпитале.
Температура тела при поступлении? Уровень лактата, КЩС? Значение МНО?
Все показатели несут важную информацию о том что происходит в организме, но ссылка на эти показателей в ургентной ортопедии звучит как приговор! Показатели температуры, КЩС или INR, даже черепно-мозговая травма, никоим образом не повлияла бы на продолжения мероприятий по первичной стабилизации. КЩС и кровопотерю можно коррегировать паралельно с нахождением источника, и опыт показывает, что с такой задачей намного легче справляться в операционной, чем в палатах интенсивной терапии. Тем более такие нарушения характерны для хронических больных, чем у молодой особы...
Вообщем.., больная поступает около 2.00 дня и дальнейщая хронология: 2.27 PМ рентген грудной клетки; 2.54 РМ рентген бедра; 2.53-3.06 КТ скан, всего около 2000 срезов. Из-за беспокойства пациента (алкоголь), множественные переломы ребер – трубка в превральную полость и интубация. Около 3.45 в операционной эксплуараторная лапароскопия с последующим ушиванием брюшной полости.
Перелом позвоночника и боковую компрессию таза отнесли к стабильным переломам и не стали форсировать события до лучших времен...
“я бы собрал таран, ретроградное штифтование (без рассверливания) перелома бедра после хирургов и на последнем месте - перевернув больную на живот собрать на винтах головку, ревизию впадины и вправить вывих. из заднего доступа”
Больная стабильная после хирургических мероприятии и получив добро, приступили к закрытому вправлению таранной кости с укладкой наружного фиксатора. Затем укладка больную на бок и открытый остеосинтез перелома-вывиха головки бедра.
По характеру повреждения головка находится сзади и напрашивается задний Кохер-Лангенбек доступ, но в заднем доступе имеется риск повреждения магистрального кровоснабжения головки a. circumflexa. Более щадящая trochanteric flip (digastric osteotomy) сохранит кровоснабжение и дасть возможность работу при вывихнутом суставе.
Остеосинтез бедра не стали делать из-за множественных переломов ребер с ушибом грудной клетки и поэтом у закончили фиксацию бедра наружным фиксатором.
Около 11.00 вечера больная переведена в реанимацию, без сознания, но стабильная.. На третьий день провели стабилизацию перелома бедра антеградным остеосинтезом.
Закрытый БИОС решает множественные проблемы связанные с лечением переломов, но проблема дистальной блокировки без рентгена до сих пор остается нерешенной. Рекламированные производителями приспособления для дистальной блокировки из-за различной кривизны кости не эффективны или стоит очень дорого (Smith&Nephew SureLock). Задержка операции из-за блокировки не всегда удовлетворяет, и многих вынуждает искать альтернативные методы фиксации. С результатами таких действий, остеомиелитом и несращениями, встречаемся в ежедневной жизни..
Для решения проблемы дистальной блокировки компания DigiMed недавно предложила систему блокировки без рентгена. Пока в стране только два набора и только для антеградных гвоздей, но компания работает над созданием устроиства для других гвоздей тоже..
Результат первых случаев показала отсутствие разницы между занятиями на муляжах, а также Workshop и с удивительной точностью вывел латерально над кожей специальное сверло. Дальше по сверлу тонкий направитель и проводится сверление каннюлированным сверлом....
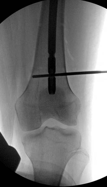
После спадения отека на стопе произведена фиксация тарана. Кстати, коллеги пересмотрели первоначальную консультацию по позвоночнику и на двух уровнях провели фиксацию. Из-за длительного постельного режима без нагрузки таз не стали оперировать...


|
[
Ответить ]
|
( Ответить )
|
|