AOTRAUMA.ORG Центр Илизарова  

Ортопедия и травматология Общие вопросы/General questions Help Информационные технологии в медицине
 вверх
 отправить
 поиск
 админ
 главная
 Предыдущее
 Весь тред


Re: Перелом бедра
Владимир 15 Март 2003, 00:53
Судя по сообщению, больному проводилось какае-то лечени. Чем произведен остеосинтез, в какие сроки посли травмы, каваи снимок после этого ?
Спасибо.
  • Сообщения о Help
  • Также Владимир
  • Связаться с автором
  • Ответить

    Re: Перелом бедра
    Alexey Rounkov 15 Март 2003, 10:05
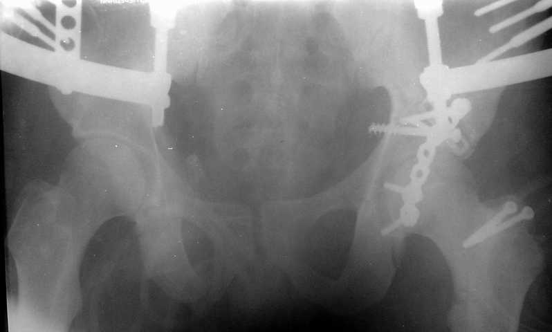
    Травма 17 ноября 2002 г., поступил к нам 1 декабря, оперирован 8-го - открытая репозиция, остеосинтез пластинками и винтами. Учитывая повреждение переднего полукольца справа, и крестца и крестцово-подвздошного сочленения слева, наложили аппарат на 2 месяца.
    Для экономии места привожу интра- и послеоперационный обзорный снимок, без дополнительных проекций.







    1

    2


    [ Ответить ]


    ( Ответить )

    Powered by Zope  Squishdot Powered MedLink
    Посетитель: 0202174
      "По форме правильно, а по существу - издевательство" В.И.Ленин
    ©2001-2019Orthoforum Coordinator.
    [ Главная | Отправить сообщение | Поиск | Админ ]