AOTRAUMA.ORG Центр Илизарова  

Ортопедия и травматология Общие вопросы/General questions Help Информационные технологии в медицине
 вверх
 отправить
 поиск
 админ
 главная


Прошло полгода - Re: Что делать? Гвоздь в tibia
Ортопедия и травматология Отправлено Alexander Chelnokov 23 Июнь 2004, 21:26
Декабрь 200322 июня 2004
В декабре прошлого года обсуждался случай бамперного перелома голени, когда молодой женщине в одной из больниц Москвы неудачно был выполнен остеосинтез гвоздем - это обсуждение можно просмотреть здесь, снимок тогдашний прилагаю.
Предлагались разные варианты (коррекция на имеющемся фиксаторе, удаление гвоздя и остеосинтез пластиной, чрескостный остеосинтез...)
Выбран был вариант с удалением гвоздя и накостным остеосинтезом.
Прошло полгода, больная начала частично нагружать оперированную конечность, будучи в пластиковом ортезе и пользуясь 2 костылями.
Две недели назад появилась патологическая подвижность :-(
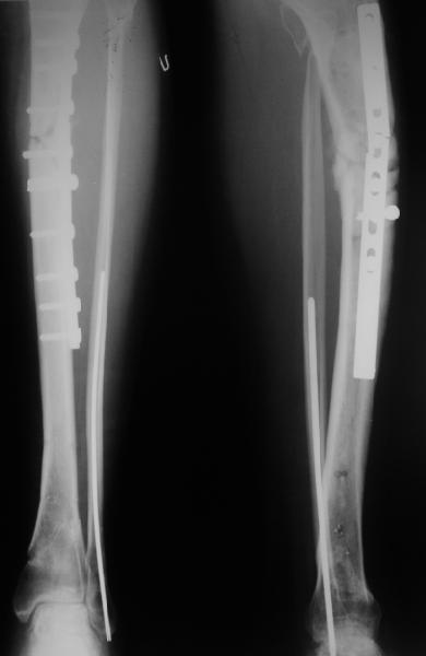
Вчера поступила к нам в отделение. Клинически определяется приличная подвижность, градусов 35 в переднезаднем направлении. На снимках еще видны фиксированная тоникм стержнем уже сросшаяся малоберцовая кость, и тоже сросшийя перелом дистального метадиафиза большеберцовой костибез признаков хирургической фиксации (?). Сегодняшний снимок также в приложении.
Планируем удаление пластинки и закрытый интрамедуллярный остеосинтез с рассверливанием.
Что скажете, коллеги? Что можно/нужно было сделать, чтобы избежать сегодняшней проблемы? Есть ли другие предложения по нынешнему плану?

<  |  >

 

  • Сообщения о Ортопедия и травматология
  • Также Alexander Chelnokov
  • Связаться с автором
  • Ответить

    Re: Прошло полгода - Re: Что делать? Гвоздь в tibia
    Evgueny Tchekashkine 24 Июнь 2004, 00:25
    Рассверливаемый гвоздь вполне подходящая фиксация в данном случае.
    *закрытость*, правда относительная получается - ведь пластину все равно придется убирать открыто. Недостаток штифтования в том , что рано или поздно железо надо будет убирать, хотя многие больные случается и *забывают* про имплантаты. В качестве альтернативы можно было бы рассмотреть костную пластику зоны подвижности с иммобилизацией в функциональной повязке Сормиенто с ранней нагрузкой на ногу. Все зависит от того , что хочет сама больная.

    Всего доброго,
    Евгений Чекашкин

    [ Ответить ]

    • Re: Прошло полгода - Re: Что делать? Гвоздь в tibi
      Отправитель: Alexander Chelnokov 24 Июнь 2004, 10:16
      >получается - ведь пластину все равно
      >придется убирать открыто.

      Перелом при этом можно не обнажать, да и вообще мы последнее время винты стали убирать через проколы, а разрез 3-4 см делать только у конца пластины (или концов, если два фрагмента).

      > Недостаток штифтования в том, что рано или поздно железо надо будет
      > убирать,

      Зачем бессимптомные фиксаторы трогать?

      >хотя многие больные случается и *забывают* про
      >имплантаты.

      На недавнем конгрессе в Праге коллеги из Германии выступали с докладом, который так и назывался "Удаление гвоздей у бессимпомных больных следует ограничить".

      > В качестве альтернативы можно было бы рассмотреть костную
      >пластику зоны подвижности с иммобилизацией в функциональной повязке

      Со времени широкого использования аппаратов к свободной пластике на диафизе не очень мы хорошо относимся, без нее обходились. Тем более, если стабильности там не будет, вывалится еще... Да еще donor site morbidity, очередное обширное вмешательство на зоне перелома...

      >Все зависит от того , что хочет сама больная.

      Известно чего - скорейшего возвращения максимально близко к своему состоянию до травмы...

      [ Ответить ]
    Re: Прошло полгода - Re: Что делать? Гвоздь в tibia
    Alexander Artemiev 24 Июнь 2004, 00:28
    Саша, складывается впечатление, что здесь просто перелом не сросся.
    И сроки для такой неблагоприятной обстановки не такие уж и большие
    Вижу три варианта, не могу даже сказать, какой лучше.
    1. Наложить еще гипс, нагружать постепенно ногу и ждать месяца 2-3.
    2.Не удаляя пластинку наложить внешний аппарат (возможно даже выполнить
    остеотомию малоберцовки), компрессия-дистракция.
    3. То же самое, но удалив пластинку.


    AC> Планируем удаление пластинки и закрытый интрамедуллярный остеосинтез
    AC> с рассверливанием.
    Если хочешь убить жалкие остатки остеогенной ткани - давай.

    AC> Что скажете, коллеги?
    Уже сказал.
    AC> Что можно/нужно было сделать, чтобы избежать
    AC> сегодняшней проблемы?
    Ну что сейчас-то уж говорить. Не повезло тётеньке.
    AC> Есть ли другие предложения по нынешнему плану?
    см. выше.
    А больная из Москвы?
    Удачи всем.
    Александр Артемьев

    [ Ответить ]

    • Re: Прошло полгода - Re: Что делать? Гвоздь в tibi
      Отправитель: Alexander Chelnokov 24 Июнь 2004, 10:17
      a> Саша, складывается впечатление, что здесь просто перелом не сросся.

      Типа того. Чуть концы подрассосались, пластинка стала распоркой, нагрузка пошла через нее, металл устал и...

      a> И сроки для такой неблагоприятной обстановки не такие уж и большие

      Несостоятельность фиксации пластинкой и несращение tibia к полугоду - в общем, обычный срок и есть, плюс-минус...

      a> Вижу три варианта, не могу даже сказать, какой лучше.
      a> 1. Наложить еще гипс, нагружать постепенно ногу и ждать месяца 2-3.

      Прогноз неопределенный, неудобства очевидные - боль, нестабильность, т.к. перелом высокий.

      a> 2.Не удаляя пластинку наложить внешний аппарат (возможно даже выполнить
      a> остеотомию малоберцовки), компрессия-дистракция.

      Компрессию без удаления пластинки если дать, то только немного сместив отломки, чтобы железки не упирались.

      a> 3. То же самое, но удалив пластинку.

      Раньше так бы и сделали.

      AC>> закрытый интрамедуллярный остеосинтез с рассверливанием.
      a> Если хочешь убить жалкие остатки остеогенной ткани - давай.

      Периостальное кровоснабжение ведь уже восстановилось? Ну и стержень - не пластинка, позволит и сближение по оси, и усталость железа куда как дольше не наступит. И рассверливание, как коллега Чекашкин напоминает, своего рода костная пластика...

      a> Ну что сейчас-то уж говорить. Не повезло тётеньке.

      Может, какую-то "мораль" из этой "басни" можно извлечь, чтобы на те же грабли не наступать?

      a> А больная из Москвы?

      Да.

      [ Ответить ]
      • Re: Прошло полгода - Re: Что делать? Гвоздь в tibi
        Отправитель: Alexander Artemiev 26 Июнь 2004, 23:38
        AC> Несостоятельность фиксации пластинкой и несращение tibia к полугоду -
        AC> в общем, обычный срок и есть, плюс-минус...
        Для свежего перелома - да, но после того как дважды ободрали косточку,
        средний срок - это 9-10 мес.


        a>> 3. То же самое, но удалив пластинку.
        AC> Раньше так бы и сделали.
        Ну и надо было делать.

        . Ну и рассверливание, как коллега Чекашкин
        AC> напоминает, своего рода костная пластика...
        Вы это рассказывайте родственникам больных...


        AC> Может, какую-то "мораль" из этой "басни" можно извлечь, чтобы на те же
        AC> грабли не наступать?
        Какая мораль?

        a>> А больная из Москвы?

        AC> Да.
        Я, конечно, не навязываюсь, но готов взяться. Даже из любви к
        искусству, чтобы доказать правоту... или публично признать ошибки.
        В качестве гонорара готов взять стоимость интрамедуллярного стержня.
        Удачи.

        Александр Артемьев

        [ Ответить ]
        • Re: Прошло полгода - Re: Что делать? Гвоздь в tibi
          Отправитель: Alexander Chelnokov 26 Июнь 2004, 23:53
          >Для свежего перелома - да, но после того как дважды ободрали косточку,
          >средний срок - это 9-10 мес.

          Нет, я не про сращение, а про несостоятельность пластины при его отсутствии - она как раз ожидаема где-то к такому сроку. В смысле, что перелом ее через 2-3 месяца уж совсем редкость у дисциплинированного пациента. Ну и до года при отсутствии сращения редкая пластина доживет.

          >>AC> Раньше так бы и сделали.
          >Ну и надо было делать.

          У нас есть сейчас есть опыт и того, и другого подхода. И убежденность, что аппарат- безоговорочно лучший вариант, осталась только для инфицированных и совсем околосуставных несращений.

          >AC> напоминает, своего рода костная пластика...
          >Вы это рассказывайте родственникам больных...

          Ну зачем так. Это, можно сказать, господствующее представление, в фундаментальных руководствах так пишут... Хотя я, честно сказать, тоже сомневаюсь. Но срастается практически всегда - и ладно.

          >AC> Может, какую-то "мораль" из этой "басни" можно извлечь, чтобы на те же
          >AC> грабли не наступать?
          >Какая мораль?

          Ну какие-то выводы... Я так и не понял логики докторов, сделавших эти операции полгода назад. Зачем было непременно переходить на пластину??? Ревизия стержня была бы во всех отношениях проще, быстрее, дешевле, менее чревата неприятностями в ближайшем и отдаленном периоде... Ди и переход на аппарат имел практически стопроцентные шансы на успех к этому сроку.

          >Я, конечно, не навязываюсь, но готов взяться.

          Спасибо за готовность помочь.. Скажу ей про твое предложение, но она свой выбор сделала. Да и позавчера оперировали. Бегает уже она, домой просится. В Москве ее наблюдать надо будет, снимки этапные делать, месяца через 2-3, если понадобиться, динамизировать гвоздик...

          > Даже из любви к
          >искусству, чтобы доказать правоту... или публично признать ошибки.

          Правоту в чем и какие ошибки?

          >В качестве гонорара готов взять >стоимость интрамедуллярного стержня.

          Это целых 2000 рублей?! Мы ж с отечественными фиксаторами для tibia работаем ;-)

          [ Ответить ]
    • Re: Прошло полгода - Re: Что делать? Гвоздь в tibi
      Отправитель: Evgueny Tchekashkine 24 Июнь 2004, 10:31
      У меня складывается впечатление, что пластина сломалась в зоне несращения б.б кости, малоберцовая сраслась в дистальной части, в области шейки м.б. сращения не видно,видимо, это и обуславливает патологическую подвижность
      Мне кажется, что коль скоро фиксатор не выполняет своей роли, то зачем его оставлять.
      Стержень - пластина - рассверливаемый стержень - не самая лучшая комбинация, много хирургии на одном сегменте.

      Преимущество рассверливаемого гвоздя в данном случае - не нужно забирать аутокость для костной пластики зоны несращения, недостаток- разрушает эндостальное кровообращение на всем протяжении костно-мозгового канала, которое и до этого уже пострадало от нерассверливаемого гвоздя.
      Но думается, что окончательное решение должно быть принято интраоперационно после удаления пластины, насколько жизнеспособно выглядит промежуточный фрагмент, вполне возможно, что в процессе репозиции фрагментов при повторной
      хирургии мобилизация промежуточного фрагмента привела к нарушению его кровоснабжения и ждать сращения от аваскулярной кости не приходится.
      Все-таки за 5 месяцев голень должна срастаться при нормальных условиях. Если промежуточный фрагмент не отличается по своим свойствам от прилежащих фрагментов, то можно фикмровать и рассверливаемым стержнем без дополнительного забора аутокости. Если же отличия очевидны - костная пластика из крыла подвздошной кости и фиксация либо в аппарате , либо в гипсовой повязке.

      > AC> Что можно/нужно было сделать, чтобы избежать
      > AC> сегодняшней проблемы?

      Более анатомичная первичная репозия. Избегать ранней динамизации гвоздя при нестабильном переломе(обеспечении статического запирания гвоздя дополнительными винтами, судя по первичному снимку, проксимальный локинг выполнен винтами, проведенными через овальные отверстия)Какой смысл имело штифтование дистального перелома мало-берцовой кости при отсутсвии фиксации в проксимальном отделе на уровне шейки м.б.?

      > Ну что сейчас-то уж говорить. Не повезло тётеньке.

      Даа уж. трудно с этим не согласиться.

      Всего доброго,
      Евгений Чекашкин

      [ Ответить ]
      • Re: Прошло полгода - Re: Что делать? Гвоздь в tibi
        Отправитель: Alexander Chelnokov 24 Июнь 2004, 18:04
        Глубокоуважаемый Evgueny,

        Thursday, June 24, 2004, 4:25:12 AM, you wrote:

        ET> шейки м.б. сращения не видно,видимо, это и обуславливает патологическую
        ET> подвижность

        Может быть. Но малоберцовую все равно трогать незачем, стабилизации tibia должно хватить...

        ET> Мне кажется, что коль скоро фиксатор не выполняет своей роли, то зачем
        ET> его оставлять.

        В принципе, если стабилизировать бывает можно без удаления, а удалять чрезмерно дорого/травматично, то можно и не трогать.

        ET> Стержень - пластина - рассверливаемый стержень - не самая лучшая
        ET> комбинация, много хирургии на одном сегменте

        Ну, тут уж ситуация такая... Так никто ж изначально не планировал. Хотя, как мне представляется, что любой из предлагавшихся полгода назад вариантов (ревизия гвоздя, или аппарат) имели больше шансов на успех.

        ET> разрущает эндостальное кровообращение на всем протяжении костно-мозгового
        ET> канала, которое и до этого уже пострадало от нерассверливаемого гвоздя.

        Это вроде ни к каким проблемам в итоге не приводит.

        ET> после удаления пластины, насколько жизнеспособно выглядит промежуточный
        ET> фрагмент,

        Меньше знаешь - лучше спишь ;-). Делать, мне кажется, стоит максимально закрыто - и ухудшать кровоснабжение в меньшей степени, и раны меньше, да и очевидных круных дефектов кости там нет, то есть в очаг ни глазом, ни пальцем нет явной необходимости лезть.

        ET> все-таки за 5 месяцев голень должна срастаться при нормальных условиях.

        А вот, при открытой репозиции дополнительно скелетировали - и не хватило для сращения...


        ET> дополнительного забора аутокости. Если же отличия очевидны - костная
        ET> пластика из крыла подвздошной кости и фиксация либо в аппарате , либо в

        Не делаем мы пластику с гвоздями, и так срастается.

        ET> Более анатомичная первичная репозия.

        Она достигается ценой скелетирования.

        ET> винтами, судя по первичному снимку, проксимальный локинг
        ET> выполнен винтами, проведенными через овальные отверстия)

        Да не попали просто в статическое отверстие, откуда все проблемы и пошли.

        ET> Какой смысл имело штифтование дистального перелома мало-берцовой
        ET> кости при отсутсвии фиксации в проксимальном отделе на уровне
        ET> шейки м.б.?

        Не знаю, возможно, сустав был совсем близко. Для меня большая загадка про нелеченный перелом дистального метадиафиза большеберцовой.

        [ Ответить ]
        • Re: Прошло полгода - Re: Что делать? Гвоздь в tibi
          Отправитель: Evgueny Tchekashkine 24 Июнь 2004, 19:54
          Спасибо за комментарии.Некоторые моменты хотелось бы прояснить...

          > ET> шейки м.б. сращения не видно,видимо, это и обуславливает
          патологическую
          > ET> подвижность
          >
          > Может быть. Но малоберцовую все равно трогать незачем, стабилизации
          > tibia должно хватить...

          -ЕЧ Большого греха в фиксации перелома м.б. кости не вижу, приходилось видеть Рг граммы с гвоздем в тибии и 3.5 мм пластина на м.б. с одной стороны улучшает ротационную стабильность, с другой,наверное, сам я такой техникой не пользовался, первоначальная фиксация м.б. кости восстанавливает длину голени и где-то облегчает репозицию основного перелома б.б кости, к сегментарным переломам м.б. видимо, это не относится.
          Стоит попробовать, может быть такой подход окажется и оправданным.

          > ET> Мне кажется, что коль скоро фиксатор не выполняет своей роли, то
          зачем
          > ET> его оставлять.
          >
          > В принципе, если стабилизировать бывает можно без удаления, а
          > удалять чрезмерно дорого/травматично, то можно и не трогать.

          - ЕЧ так-то оно так, но только зачем носить с собой лишнее железо...

          > Меньше знаешь - лучше спишь ;-). Делать, мне кажется, стоит максимально
          > закрыто - и ухудшать кровоснабжение в меньшей степени, и раны меньше,
          > да и очевидных круных дефектов кости там нет, то есть в очаг ни
          > глазом, ни пальцем нет явной необходимости лезть.

          * закрытость* все-таки получается относительная, а про *Горе от ума* и *Что делать* это в школе все проходили :-))

          > ET> все-таки за 5 месяцев голень должна срастаться при нормальных
          условиях.
          >
          > А вот, при открытой репозиции дополнительно скелетировали - и не
          > хватило для сращения...

          ЕЧ - Если бы открытая хирургия только постоянно приводила бы к замедленной консолидации или несращениям, то от нее давно бы отказались. Мои наблюдения почему - то не подтверждают этого тезиса , зачастую возникают *технические* трудности и приходится обходиться без штифтования, хотя для переломов плеча пластина все еще является золотым стандартом (поперечные и короткие косые переломы).

          > ET> дополнительного забора аутокости. Если же отличия очевидны - костная
          > ET> пластика из крыла подвздошной кости и фиксация либо в аппарате , либо
          в
          >
          > Не делаем мы пластику с гвоздями, и так срастается.

          ЕЧ - Я к этому и не призываю:-)) , в этом и нет необходимости, достаточно
          просто штифта, при замедленной консолидации с рассверливанием.

          > ET> Более анатомичная первичная репозия.
          >
          > Она достигается ценой скелетирования.
          >
          ЕЧ - Не совсем согласен, думаю, что анатомичная репозиция (совсем необязательно собирать костную мозаику) это восстановление ервоначальной длины, оси и ротации и с помощью дистракции этого можно достичь, простое чудо техники - универсальный дистрактор -очень полезная вещь в операционной

          Саша , извини, что на предыдущее письмо не ответил, К вопросу о том, что хочет больная -это все понятно - быстро и с наименьшими страданиями и неудобствами, но пути разные ..

          С наилучшими пожеланиями,
          Евгений Чекашкин

          [ Ответить ]
          • Re: Прошло полгода - Re: Что делать? Гвоздь в tibi
            Отправитель: Alexander Chelnokov 24 Июнь 2004, 19:57
            ET> -ЕЧ Большого греха в фиксации перелома м.б. кости не вижу, приходилось
            ET> видеть Рг граммы с гвоздем в тибии и 3.5 мм пластина на м.б. с одной стороны

            Да нет, я про теперешнюю ситуацию. А так - мы тоже ситезируем пластинкой, если перелом не диафиза fibula, а уже наружной лодыжки.

            ET> - ЕЧ так-то оно так, но только зачем носить с собой лишнее железо...

            А как раз потому, что вред от его вытаскивания превышает таковой от длительного ношения. Плюс экономия сил, средств и времени.

            ЕЧ>> * закрытость* все-таки получается относительная,

            Да, гематома может дренироваться, но в любом случае воздействие на ткани, окружающие перелом, получается минмальное. А недавно подмывало и вовсе оставить пластинку - убрали винты, ввели гвоздь, а потом только пластину вытащили через дополнительный маленький разрез дистально. В основном по мотиваци "нас не поймут, если оставим" ;-)

            ET> ЕЧ - Если бы открытая хирургия только постоянно приводила бы к замедленной
            ET> консолидации или несращениям, то от нее давно бы отказались.

            На диафизе большеберцовой кости - в развитых странах как раз давно отказались, насколько мне известно.

            ET> Мои наблюдения почему-то не подтверждают этого тезиса,

            Если бы все было хорошо, не было бы мотивации к предложению "рационального" и "биологического" накостного остеосинтеза, а теперь и "менее инвазивного" остеосинтеза пластинами с угловой стабильностью.

            ET> без штифтования, хотя для переломов плеча пластина все еще

            В наших условиях - плоские стержни на базе методики Зверева-Ключевского практически вытеснили пластинки на плече, по крайней мере с диафиза.

            ET> ЕЧ - Не совсем согласен, думаю, что анатомичная репозиция( совсем
            ET> необязательно собирать костную мозаику) это восстановление ервоначальной
            ET> длины, оси и ротации

            ;-)) Не-не-не, это как раз везде пишут, мол, не надо anatomical reduction, а достаточно восстановить то, что ты назвал.

            ET> и с помощью дистракции этого можно достичь, простое чудо техники
            ET> - универсальный дистрактор -очень полезная вещь в операционной

            Мы пользуемся дистракторами на базе аппарата Илизарова, это еще больше нравится.

            ET> К вопросу о том, что хочет больная -это все понятно - быстро и с
            ET> наименьшими страданиями и неудобствами, но пути разные ..

            Поэтому выберем, видимо, путь самый быстрый.


            [ Ответить ]
            • Re: Прошло полгода - Re: Что делать? Гвоздь в tibi
              Отправитель: Evgueny Tchekashkine 26 Июнь 2004, 00:55
              > На диафизе большеберцовой кости - в развитых странах как раз давно
              > отказались, насколько мне известно.
              ЕЧ - Европы с Америками в общем -то не указ, хотя знать что творится там полезно знать.
              Простой пример на развитии принципов фиксации переломов АО Ты, наверное, помнишь на ранних курсах было представлено много рентгенограм со штакетником , выстроенным из винтов и каждый фрагмент анатомично и мозаично фиксирован. и говорилось о первичном сращении и интермедиарной мозоли, формирование периостальной мозоли расценивалось как результат нестабильной фиксации и дефекта хирургической техники. Пластины стали слишком травматичными. Несколько позже все заговорили о биологической фиксации (касательно диафизарных переломов), а чуть позже появилось новое поколение пластин, для мининвазивной техники, осталось дождаться эпохи возрождения
              костной *сварки* :-)).

              >
              > Поэтому выберем, видимо, путь самый быстрый.
              ЕЧ- осталось только пожелать удачи.

              PS По возможности и при наличии времени не мог бы ты сбросить на адрес тезис или полностью свое сообщение в ПРаге по поводу лечения повреждений ключично-акромиального сочленения. Сегодня утром на конференции зашла речь как раз об этом виде повреждений, как часто встречается и в каких случаях и как часто, какие типы фиксаций.

              Заранее благодарен,
              С наилучшими пожеланиями,
              Евгений Чекашкин

              [ Ответить ]
              • Re: Прошло полгода - Re: Что делать? Гвоздь в tibi
                Отправитель: Alexander Chelnokov 26 Июнь 2004, 00:58
                ET> ЕЧ - Европы с Америками в общем -то не указ, хотя знать что творится там

                -Догоним Америку!
                -А если не догоним?
                -Тогда перегоним и подождем!

                ET> Простой пример на развитии принципов фиксации переломов АО Ты, наверное,
                [...]
                ET> пластин, для мининвазивной техники, осталось дождаться эпохи возрождения

                Развитые страны - это не только АО. Да и они, надо сказать, хоть дольше всех держались, но от концепции первичного сращения уже лет 8-10 как отошли.
                Видимо, пока распродавали в бывший СССР запасы пластин, сильно у нас это не афишировали ;-)

                >> Поэтому выберем, видимо, путь самый быстрый.
                ET> ЕЧ- осталось только пожелать удачи.

                Спасибо!
                Мы не в казино, чтоб на удачу полагаться - олжна работать технология!
                ;-)

                ET> PS По возможности и при наличии времени не мог бы ты сбросить на адрес тезис
                ET> или полностью свое сообщение в ПРаге по поводу лечения повреждений ключично-

                Выложу презентацию на сайт, кину ссылку. Или 4-5 мб почтой - не проблема?

                [ Ответить ]
    Re: Прошло полгода - Re: Что делать? Гвоздь в tibi
    Андрей 24 Июнь 2004, 03:05
    Года полтора назад был похожий случай - перелом пластинки, правда, без предшествующего неудачного остеосинтеза гвоздем. Не особо мудрствуя, снял обломки пластинки, заменил на аналогичную, но более
    длинную,к месту перелома добавил спангиозных "чипсов"
    и в результате полная консолидация.
    С уважением Андрей.
    [ Ответить ]

    Re: Прошло полгода - Re: Что делать? Гвоздь в tibi
    Владимир Старостенко 24 Июнь 2004, 10:35
    Ув. Александр. на мой взгляд самым оптимальным вариантом будет наложение аппарата ВЧКДО с последующим удалением пластины. С остеотомией малоберцовой кости.возможно такой вариант следовало бы выполнить на первом этапе.

    С ув. Старостенко В.Г. Купянск Украина.
    [ Ответить ]

    Re: Прошло полгода - Re: Что делать? Гвоздь в tibi
    Андрей Капустин 24 Июнь 2004, 10:36
    Hi everybody :-) Nice to hear you.
    Разрешите мне высказаться по данному вопросу. В данном вопросе я солидарен с коллегой Артемьевым. Но я бы сократил количество пунктов до одного. В данном случае, тактика должна быть четкой - удаление пластины, фиксация перелома
    четырехсекционным аппаратом Илизарова с обязательной остеотомией малоберцовой кости. В послеоперационном периоде по стиханию болевых явлений - дозированная нагрузка в аппарате, а с первых суток п/опер - динамическая компрессия. Результат гарантированный на 100% - 4-6 месяцев и
    консолидация достигнута.
    Если вам нужна головная боль, еще пара операций и в вашем распоряжении пара-тройка лет, то можете воспользоваться методикой внутрикостного
    остеосинтеза с рассверливанием.

    С уважением, доктор Капустин.
    [ Ответить ]

    • Re: Прошло полгода - Re: Что делать? Гвоздь в tibi
      Отправитель: Alexander Chelnokov 24 Июнь 2004, 11:33
      A> динамическая компрессия. Результат гарантированный на 100% - 4-6 месяцев и
      A> консолидация достигнута.

      Если с гвоздем все по плану - безотносительно консолидации у больного уже через 2-3 недели может быть клиническая картина здорового человека. То есть безболезненная полная нагрузка, движения, нет
      посторонних предметов на ноге...

      A> Если вам нужна головная боль, еще пара операций и в вашем
      A> распоряжении пара-тройка лет, то можете воспользоваться методикой
      A> внутрикостного остеосинтеза с рассверливанием.

      Это на основании какого опыта появляются такие устрашающие прогнозы?

      [ Ответить ]
      • Re: Прошло полгода - Re: Что делать? Гвоздь в tibi
        Отправитель: Андрей Капустин 26 Июнь 2004, 01:22
        Извините, если мое письмо было несколько
        грубовато. Но я бы хотел объяснить свою позицию. Больная перенесла два остеосинтеза. Во время первого остеосинтеза, хотя он проводился и без рассверливания, эндоост в той или иной мере был травмирован. Во время второй операции, вероятно, должны были бы быть повреждены периост и эелементы формирующейся первичной костной мозоли. Поэтому я считаю, что в данном случае консолидация закономерно должна была быть замедленной. Остеосинтез штифтом с рассверливанием, на мой взгляд окончательно разрушит эндоост, что никак не будет благоприятствовать скорейшей онсолидации. Да, я согласен с тем, что, если с гвоздем все по плану - безотносительно консолидации у больного уже через 2-3 недели может быть клиническая картина здорового человека. То есть безболезненная полная нагрузка, движения, нет посторонних предметов на ноге...
        Но существует такое понятие в механике, как усталость металла и усталостные переломы металла. Вероятно это и было причиной перелома пластины после второй операции. Поэтому через 2-3 недели человек ,может быть и будет себя чувствовать здоровым человеком, но в условиях замедленной консолидации вероятность развития усталостного перелома и повторной несостоятельности остеосинтеза, на мой взгляд, достаточно велика. И подобный опыт, к большому сожалению, у меня хоть и относительно небольшой, но все таки есть.

        My best regards. Andrew.


        [ Ответить ]
        • Re: Прошло полгода - Re: Что делать? Гвоздь в tibi
          Отправитель: Alexander Chelnokov 26 Июнь 2004, 01:23
          A> рассверливания, эндоост в той или иной мере был травмирован. Во время второй
          A> операции, вероятно, должны были бы быть повреждены периост и эелементы

          Конечно.

          A> рассверливанием, на мой взгляд окончательно разрушит эндоост, что
          A> никак не будет благоприятствовать скорейшей консолидации.

          При любом интрамедуллярном остеосинтезе на эндостальный компонент не очень-то и рассчитывают. Будем надеяться, что по задней и медиальной поверхности периостальные ткани обеспечат кровоснабжение концов. Тот промежуточный фрагмент, который оказался под пластиной, похоже, не сильно живой.

          A> вероятность развития усталостного перелома и повторной несостоятельности
          A> остеосинтеза, на мой взгляд, достаточно велика.

          Ситуация с пластиной и гвоздем в этом плане очень разная, гвоздь имеет гораздо больший запас прочности. Да еще его можно "отпереть", сняв нагрузку с металла.

          A> И подобный опыт, к большому сожалению, у меня хоть и относительно

          Нельзя ли поподробнее? О каких фиксаторах речь, какая и когда проявилась их несостоятельность?

          [ Ответить ]
    Re: Прошло полгода - Re: Что делать? Гвоздь в tibi
    V M Iyer 24 Июнь 2004, 11:14
    Dear Dr Alexander,
    Though I can never convince myself that tibial shaft #s can be succeefully treated by plate fixation, in this case plating, though not successful, has done one good thing. The fragments are aligned well making interlocking nailng easier. Though the upper end is not seen I presume it is not split any more as in the first Xray. Once you open to remove the plate it is no more a closed nailing! Would like to see the post op Xrays and the final result too. Regards.

    V M Iyer
    . Iyer Orthopaedic Centre,
    103,Railway lines Solapur India.413001.
    [ Ответить ]

    • Re: Прошло полгода - Re: Что делать? Гвоздь в tibi
      Отправитель: Alexander Chelnokov 24 Июнь 2004, 18:09
      >done one good thing. The fragments are aligned well making interlocking
      >nailng easier.

      :-) Certainly.

      >Though the upper end is not seen I presume it is not split
      >any more as in the forst Xray

      Yes, I posted this film because there was nothing interesting upper (except a fracture of the fibular neck) but we can see a (neglected?) fracture of the distal tibia, healed with some tilt.

      > Once you open to remove the plate it is no
      >more a closed nailing !

      Even if remove screws through stab wounds and make 3-5 cm incision over the end of the plate to pull it out?

      >Would like to see the post op Xrays and

      Ok, when available.

      [ Ответить ]
    Re: Прошло полгода - Re: Что делать? Гвоздь в tibia
    Квитченко Евгений 24 Июнь 2004, 20:37
    Почему, лечащий врач или больная, против остеосинтеза аппаратом внешней фиксации? В прошлый раз, я считал эту методику оптимальной.
    На сегодня, при формирующимся ложном суставе(срок более 6 мес) и сломанной пластине, я бы не стал использовать интрамедуллярный остеосинтез. Рассверлить и поставить гвоздь технически несложно, но управлять остеосинтезом можно только в аппарате. Гвоздь, даже при идеальной репозиции, через месяц будет выполнять роль распорки. Для сращения этого перелома необходима компрессия/дистракция по схеме.
    Остеотомия малоберцовой кости, удаление пластины.

    С наилучшими пожеланиями
    Евгений Квитченко
    ВОО ККБ №2 г. Хабаровск


    [ Ответить ]

    Re: Прошло полгода - Re: Что делать? Гвоздь в tibi
    Alexander Chelnokov 26 Июнь 2004, 01:07




    Декабрь 2003

    22 июня 2004


    ET> ЕЧ- осталось только пожелать удачи.

    Еще раз спасибо! Сделали вчера. Все прошло по плану, интраоперационное фото после удаления пластинки и итоговые снимки прилагаю. Гвоздь бесканальный 12 мм. Сегодня пациентка уже ходит по палате с одним костылем.

    ET> или полностью свое сообщение в ПРаге по поводу лечения повреждений ключично-
    ET> акромиального сочленения. Сегодня утром на конференции зашла речь как раз об

    Презентация целиком выложена тут, размер 4,7Мб.
    [ Ответить ]

    • Re: Прошло полгода - Re: Что делать? Гвоздь в tibi
      Отправитель: Evgueny Tchekashkine 26 Июнь 2004, 12:39
      К тебе придешь - с гвоздем уйдешь, а к Леониду придешь- с аппаратом уйдешь:-))
      Коль скоро удачу, как таковую, ты отрицаешь, (см. предыдущее послание) остается только поздравить.
      Когда планируешь динамизацию и какие критерии для этого с твоей точки зрения?

      Одна мысль вслух, касающаяся и данного случая в том числе. Последняя фотография демонстрирует современную технику имплантации/удаления фиксаторов очень наглядно. Если суммировать длины всех кожных разрезов, то приблизительно получим длину одного линейного кожного разреза для рутинного доступа к кости, при котором мышечный футляр отодвигается в сторону, а не перфорируется в нескольких местах для удаления отдельных шурупов. Вроде бы напрашивается вывод, что при видимой мини....скрытое травмирование тканей идет по макси....С первого взгляда очень привлекательно и косметично, а по сути... Что ты думаешь об этом?

      Громадное спасибо за посланную презентацию. Тема актуальна, принцип оригинален, только конструкция несколько громоздка:-))Вполне вероятно, что где-нибудь в оффисе *SMITH с племянниками* уже начали технологическую*доводку* фиксатора, заменив массивную пластину на тонкий стерженек с многоплоскостными маленькими зажимами:-)) и в недалеком будущем новое изделие с новым клеймом появится в каталоге...

      Всего доброго,
      Евгений Чекашкин

      [ Ответить ]
      • Re: Прошло полгода - Re: Что делать? Гвоздь в tibi
        Отправитель: Alexander Chelnokov 26 Июнь 2004, 13:15
        ET> К тебе придешь - с гвоздем уйдешь, а к Леониду придешь- с аппаратом
        ET> уйдешь:-))

        Надеюсь, Леонид скоро возьмет на вооружение двухэтапный подход - краткий период в аппарате (дистракция, исправление оси и т.п.) с заменой на стержень для окончательной фиксации.

        ET> послание)остается только поздравить.

        Спасибо :-)

        ET> Когда планируешь динамизацию и какие крейтерии для этого с твоей точки
        ET> зрения?

        Думаю, через 2-3 месяца - если к этому сроку не будет ярких признаков сращения.

        ET> очень наглядно. Если суммировать длины всех кожных разрезов, то
        ET> приблизительно получим длину одного линейного кожного разреза для рутинного

        Меньше. Теперешние разрезы для удаления как раз сделаны с иссечением прежнего рубца.

        ET> доступа к кости, при котором мышечный футляр отодвигается в сторону ,а не
        ET> перфорируется в нескольких местах для удаления отдельных шурупов.

        Это точно. Поэтому такой подход при латеральном положении пластинки на tibia куда более спорный, чем при медиальном. На бедре - пластинка лежит латерально, как правило, и проколы идут там же, где был бы большой разрез. На бедре разница довольно очевидна, все таки одна рана 20 см и или четыре по 1 см и + одна 4 см - не одно и то же.

        ET> Вроде бы напрашивается вывод, что при видимой мини....скрытое
        ET> травмирование тканей идет по макси...

        Это надо бы исследование провести - как влияет на функцию мышцы такой и этакий подход. Навскидку - у больной с первого дня активная тыльная флексия неплохая, до 90 градусов. В данном случае пластинка была очень кпереди, так что мышца больше оставалась кзади.

        ET> .С первого взгляда очень привлекательно и косметично, а по
        ET> сути... Что ты думаешь об этом?

        Ниток на шитье точно меньше ушло ;-) Если про косметично - то действительно через энное время пациент и все остальные будут видеть только то, что осталось в результате. А была кровопотеря 100 мл или 1,5 л, шла операция 45' или 3 часа - через годы и не вспомнить...

        ET> оригинален, только конструкция несколько громоздка:-))

        Н-н-нуууу... Боюсь, что тут скорее фактор качественный, чем количественный - есть любая железяка на надплечье или нет.

        ET> Вполне вероятно, что где-нибудь в оффисе *SMITH с племянниками*
        ET> уже начали технологическую*доводку* фиксатора, заменив массивную

        Хе! Я в рассказе про конгресс в Праге упомянул, что про лечение переломов ключицы апаратом был доклад аж из Швейцарии. Они использовали мини-фиксатор AO, так что вот тебе и поменьше. Почему-то проводили стержни спереди назад. Для чего по задней поверхности ключицы делали дополнительные разрезы и ставили туда защитники. :-/ Доктору Соломину, по-моему, не очень понравилось, он стал что-то у него спрашивать.
        Надеюсь, проблемы с компьютером у него решились, и он сможет свое впечатление высказать.

        [ Ответить ]
    Re: Прошло полгода - Re: Что делать? Гвоздь в tibia
    Виталий Е. Казенной 27 Июнь 2004, 09:35
    Уважаемые коллеги,

    С огромным удовольствие следил за вашей дискуссией, спасибо.

    Всегда к Вашим услугам,

    Директор Дальневосточного центра телемедицины,
    доцент кафедры травматологии-ортопедии ДВГМУ
    Виталий Евгеньевич Казённов, к.м.н.

    [ Ответить ]

    • Re: Прошло полгода - Re: Что делать? Гвоздь в tibia
      Отправитель: Alexander Chelnokov 27 Июнь 2004, 10:10
      А Вы полагаете, она уже закончилась? :-)

      [ Ответить ]
      • Re: Прошло полгода - Re: Что делать? Гвоздь в tibi
        Отправитель: Виталий Евгеньевич Казеннов 27 Июнь 2004, 15:39
        Да как бы да...


        [ Ответить ]
        • Re: Прошло полгода - Re: Что делать? Гвоздь в tibi
          Отправитель: Alexander Chelnokov 27 Июнь 2004, 15:59
          Надо сначала посмотреть, как события будут развиваться, и к какому результату придут.

          [ Ответить ]
    Re: Прошло полгода - Re: Что делать? Гвоздь в tibi
    Abdelsalam Eid 30 Июнь 2004, 21:22
    Hello all

    I recently faced a similar situation while nailing a middle 1\3 tibial fracture, ending in a valgus mal alignment. Do you think that lateralizing the entry point as in the discussion referred to by Alexander Chelnokov can help preventing this situation. Also, how much valgus can be accepted?




    Abdelsalam Eid, MCh, M.D.

    AFSA, Universite Rene Descartes, Paris V
    Fellow of AO/ASIF International
    Lecturer of Orthopaedic Surgery
    Faculty of Medicine, Zagazig University
    Egypt
    [ Ответить ]

    • Re: Прошло полгода - Re: Что делать? Гвоздь в tibi
      Отправитель: V. M. Iyer 30 Июнь 2004, 22:54
      You have mentioned "middle 1/3" fracture. One should not have any difficulty and should not get a valgus malalignment unless there vis a lot of comminution. Getting the guidewire in the center of the distal fragment is the trick.
      Only in the upperthird fractures do we change the entry point. Otherwise it should be in the middle.
      I will not accept anything more than 5* valgus.
      Regards
      V M Iyer

      Iyer Orthopaedic Centre,
      103,Railway lines Solapur India.

      [ Ответить ]
    • Re: Прошло полгода - Re: Что делать? Гвоздь в tibi
      Отправитель: Alexander Chelnokov 30 Июнь 2004, 23:01
      de> 1\3 tibial fracture, ending in a valgus mal alignment. Do you
      de> think that lateralizing the entry point as in the discussion

      Alignment can be controlled without change of entry point 1) use blocking ("poller") screw or better wire(s) to lever the nail on and change its direction, and/or 2) use a distractor (we prefer small wire ones).

      de> how much valgus can be accepted?

      From Rockwood & Green "Fractures in Adults", 2001:
      ================================
      The main determinant of an acceptable closed reduction is that the limb appears normal by clinical evaluation to allow prompt restoration
      of function with healing. [...]
      Consequently, to answer the question of what is an acceptable reduction, one must focus on the appearance and function of the patient's fractured limb and not merely on the x-ray.
      ================================

      [ Ответить ]
    • Re: Прошло полгода - Re: Что делать? Гвоздь в tibi
      Отправитель: Theophilus Asumu 01 Июль 2004, 18:17
      When nailing proximal tibial fractures:

      1) Choose a lateral entry point. i.e. in line with the lateral tibial spine. This prevents valguls angulation at the frature.
      2) Choose an entry point that is slightly more posterior than usual while avoidng intra-articular penetration. This avoids apex anterior angulation.
      3) Reduce the fracture before nailing. If appropriate apply pointed reduction clamps percutaneously across the fracture.
      4) If the fracture still tends to dosplace consider the use of "blocking" or "Poller" screws in the proximal fragment.

      Mr Theophilus Asumu FRCS (Tr & Orth)
      Consultant in Trauma and Orthopaedic Surgery
      Oldham
      United Kingdom

      [ Ответить ]

     

    ( Ответить )

    Powered by Zope  Squishdot Powered MedLink
    Посетитель: 0071145
      "По форме правильно, а по существу - издевательство" В.И.Ленин
    ©2001-2019Orthoforum Coordinator.
    [ Главная | Отправить сообщение | Поиск | Админ ]